Sinonasal intestinal-type adenocarcinoma (ITAC) is a kind of primary adenocarcinoma of the sinus tract that bears similarities to intestinal adenocarcinomas in terms of morphology and immunophenotypic characteristics. With an incidence of less than one case per million person-years (0.44 per million), ITACs are rare and usually originate in the sinuses and nasal cavity[1,2]. While the nasoethmoidal complex is frequently recognized as the preferred site of origin, Jankowski et al. reported olfactory cleft to be the most common site for tumor occurrence[3].
After adenoid cystic carcinoma, ITAC is the second most prevalent kind of adenocarcinoma arising in the sinonasal region. According to Dr. Barnes, it comprises subtypes that resemble intestinal carcinomas or adenomas, as well as the healthy intestinal mucosa. Males are more frequently prone to acquire ITACs than females, with mean age being 50–64 years. The most common location for ITACs is the ethmoid sinus (40%), followed by the nasal cavity (25%) and maxillary antrum (25%). ITACs are aggressive in behavior and frequently expand locally to the orbit, skull base, and the intracranial space. They also have the inherent potential to metastatically spread to the lungs[4].
There is a substantial correlation between hardwood dust exposure and the incidence of ITAC. Occupational wood dust exposure seems to be linked to 20% of cases; the remaining cases being acquired sporadically. Long-term exposure to nickel and chromium has also been implicated in the etiology of ITAC[5].
Dr. Barnes grouped ITACs into five major groups constituted by papillary, colonic, solid, mucinous, and mixed subtypes. However, ITACs were further classified by Kleinsasser and Schroeder into three categories: transitional type (corresponding to mixed subtype), alveolar goblet cell type and signet-ring cell type (corresponding to mucinous subtype), and papillary-tubular cylindrical cell type (corresponding to papillary, colonic, and solid subtypes)[6]. While there is still much to learn about the carcinogenesis of ITAC, some progress has been achieved in recent years. CLU and LGALS4, which are markers of sinonasal lamina propria glands, seem to be elevated in cases of ITAC, particularly in well-differentiated types. There have been reports of foci of intestinal metaplasia near ITAC (27.5%), with a high percentage of dysplasia (75%). In both the ITAC and the normal mucosa, wood exposure is linked to TP53 mutation and its overexpression. According to the available data, wood dust carcinogens operate as initiating factors for sinonasal mucosal gland cells, causing carcinogenesis to proceed in a multistep manner akin to other cancer models. Wood dust is known to induce chronic inflammation, which may serve as a contributing factor[7]. Immunohistochemistry has revealed that ITACs to be positive for MUC2, CK20, CDX-2 villin, and MUC2. Further evidence indicating intestinal differentiation in ITAC has been found recently in the form of the intestinal transcription and epigenetic factor SATB-29[8,9].
Sinonasal ITAC has a low propensity for lymphatic dissemination and nodal metastases, which are indicative of the tumor’s aggressive activity, and accounts for about 2.4–8.0% of cases at presentation and 1.8–2.4% throughout follow-up. The majority of cervical metastases happen at level II, and although retrolateropharyngeal nodal metastases are probably underreported, they are nonetheless easily detectable by MRI or CT. Metastases to distant locations are observed in 1.7% of cases during presentation and 12.8% of cases throughout the phase of follow-up[10].
For ITAC patients, surgery is the primary therapeutic option. Adjuvant intensity-modulated radiation therapy (IMRT) is typically administered after surgery. On the other hand, adrotherapy, which is a form of radiation therapy that operates by utilizing charged particles like protons and carbon ions instead of X-rays for delivering radiation and chemotherapy, is becoming more important in the age of multimodal, history-driven treatment plans for sinonasal carcinoma[11].
This paper reports a case of well-differentiated intestinal adenocarcinoma of sinonasal region with paranasal sinus destruction which is associated with unusual radiographic appearance.
A 61-year-old male patient reported to Oral Medicine and Radiology department with the chief complaint of swelling with respect to right middle one third of face along with double vision. The history given by the patient pointed toward a duration of about 2–3 months, with swelling gradually increasing in size with the patient experiencing visual problems along with epistaxis and nasal obstruction for the past 2 weeks. Patient works in timber factory and was a chronic snuff dipper and discontinued the habit 1 month back. Weight loss or loss of appetite was not reported by the patient. No history of paresthesia was addressed by the patient and past medical and personal history were noncontributory in nature.
On extraoral examination, facial asymmetry was noted as a result of a diffuse swelling measuring approximately 5 × 4cm in greatest dimensions with respect to middle one third of right side of face. The swelling extended medially involving the ala of nose, laterally along the vertical line drawn from outer canthus of eye, superiorly involving the infraorbital region with sunken eyes, and inferiorly along the right commissure of lip as seen in Figure 1A–1D. The overlying skin exhibited same color as that of surrounding skin. On palpation, the swelling was firm to bony hard in consistency and tender with no irregularities palpable along the margins of the swelling. Examination of regional lymph node revealed fixed right submandibular lymph node measuring nearly 2 × 2 cm, which was hard and nontender on palpation.

Extraoral swelling seen with respect to middle one third of right side of face. 1A and 1B: Extension of swelling involving the ala of nose medially, laterally along the vertical line drawn from outer canthus of eye, superiorly involving the infraorbital region with sunken eyes, and inferiorly along the horizontal line drawn from right commissure of lip. 1C: Bird’s view showing the swelling involving the infraorbital region with respect to right side with subsequent shrinking of right eye. 1D: Left profile view showing the normal appearance when compared to the right side.
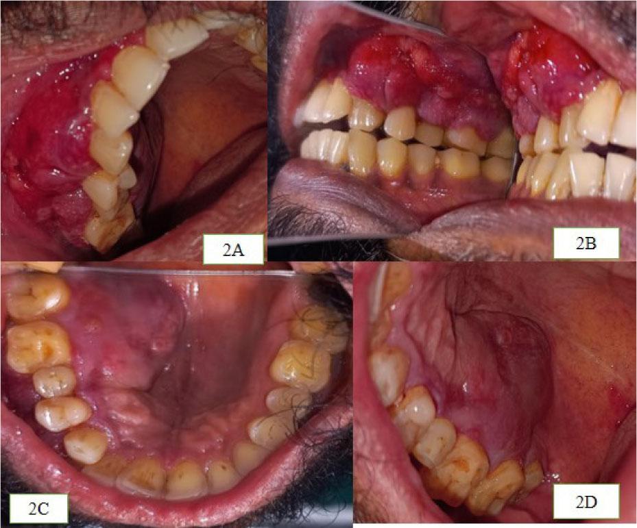
A highly proliferative vascular growth measuring approximately 4 × 3 cm in greatest dimensions was seen intraorally extending from the attached gingiva with respect to 12 to interdental space between 16 and 17 and superiorly involving the buccal vestibule. Within the palatal aspect, a well-defined ovoid swelling measuring nearly 4 × 3cm extending from the interdental space between 15 and 16 was seen crossing the midline and posteriorly extending till the junction of hard and soft palate (Figure 2A–2D). The overlying surface was irregular and was interspersed with erythematous areas. The entire right maxillary segment from 11 to 17 region was mobile, and obliteration was palpable at the buccal vestibular region with respect to 14–16 region. The teeth were all tender on percussion and exhibited grade III mobility.

Intraoral swelling present with respect to vestibular region and palate. 2A and 2B: Proliferative vascular growth seen extending from the attached gingiva with respect to 12 to interdental space between 16 and 17 and superiorly involving the buccal vestibule 2C and 2D: Well-defined ovoid swelling seen extending from the interdental space between 15 and 16 was seen crossing the midline and posteriorly extending till the junction of hard and soft palate.
Based on the history and clinical findings, a provisional diagnosis of intraosseous carcinoma followed by malignancy of salivary gland with adenoid cystic carcinoma and mucoepidermoid carcinoma was considered. In differential diagnosis carcinomas arising from right maxillary antrum, benign odontogenic tumors like adenomatoid odontogenic tumor and squamous odontogenic tumor were listed.
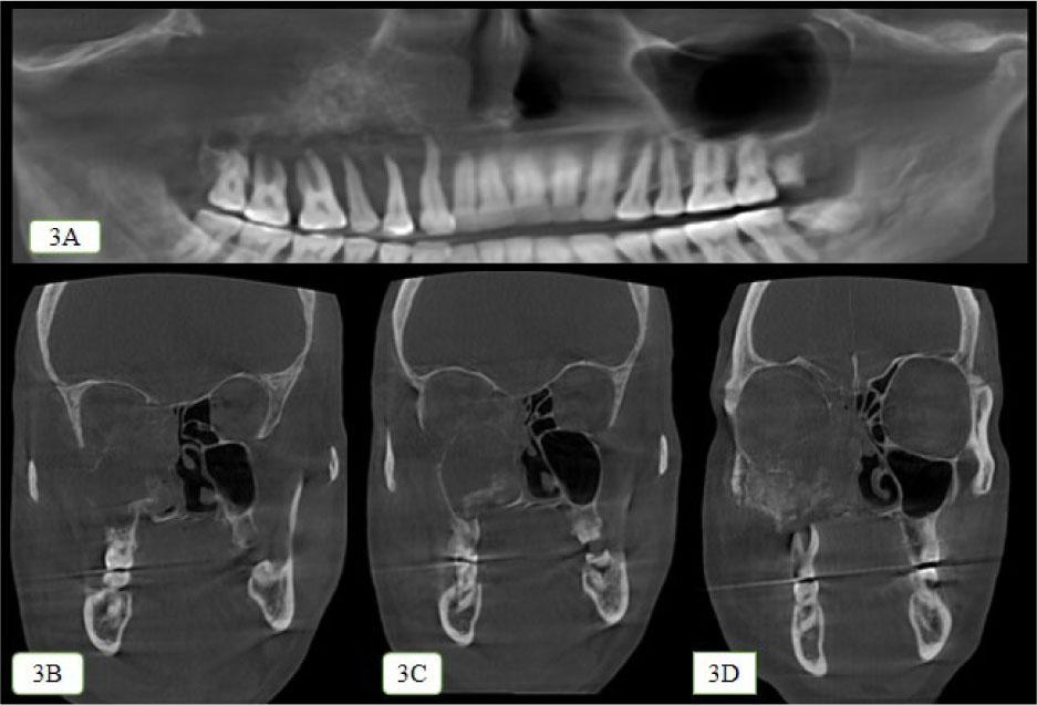
Radiographic investigation by cone beam computed tomography revealed an ill-defined mixed radiolucent radiopaque lesion in the right maxilla, extending mediolaterally from nasal septum to zygoma and superoinferiorly from right orbit to maxillary alveolus and palate along with destruction of alveolar bone, floor, medial wall, and lateral wall of right maxillary sinus as seen in Figure 3A–3D.

CBCT images showing the radiographic presentation of the lesion. 3A: Panoramic reconstructed image showing an ill-defined mixed radiolucent radiopaque lesion in the right maxilla, extending mediolaterally from nasal septum to zygoma and superoinferiorly from right orbit to maxillary alveolus and palate along with bone loss present around 13–18 region. 3B, 3C, 3D: Axial section showing the destruction of the floor of right orbit, anterolateral, and posterolateral wall of right maxillary sinus and nasal septum.
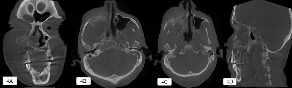
The destruction pattern manifested in the form of radiolucent spikes like projections seen arising within the anterolateral wall of right maxillary sinus mimicking the sun ray appearance as seen in osteosarcoma (Figure 4A–4D).

The unique radiographic pattern shown by adenocarcinoma as a result of destruction. 4A: Coronal section showing the mixed radiolucent radiopaque lesion causing destruction of nasal septum and giving rise to sunburst appearance. 4B and 4C: Axial section showing the mixed radiolucent radiopaque lesion showing destruction of nasal septum and zygoma giving the sunburst appearance. 4D: Sagittal section showing the sunburst pattern with respect to the floor of right maxillary sinus and nasal septum along with bone loss seen with respect to 13–18 region.
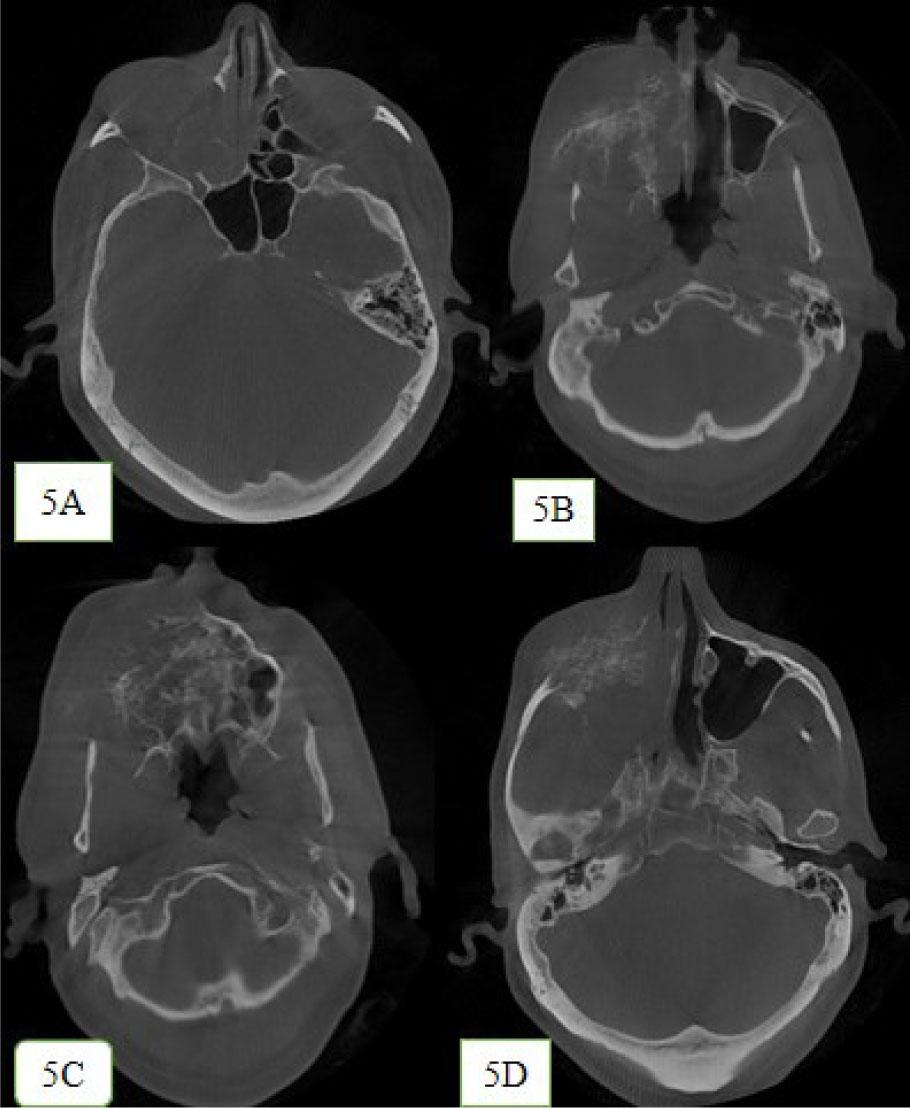
The lesion was seen crossing the midline in the posterior region with complete destruction of floor of orbit and cortical bone on the right side (Figure 5A–5D). Haziness was seen within the substance of sphenoidal sinus, right maxillary, ethmoidal, and frontal sinuses, indicating the involvement of paranasal sinuses.
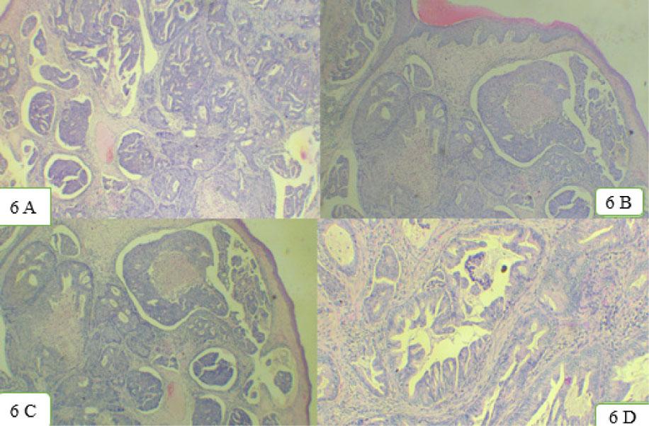
Incisional biopsy was performed, and on histopathological examination, pleomorphic tumor cells exhibiting hyper chromatic vesicular nuclei and eosinophilic cytoplasm were arranged in glandular, cribriform, and papillary pattern. Glands with intraluminal necrosis were noted along with lymphovascular and perineural invasion (Figure 6A–6D). The final diagnosis of well-differentiated intestinal sinonasal adenocarcinoma was rendered.

Destruction pattern of the lesion in axial view. 5A: Destruction of the right lateral wall of nasal cavity and inferior turbinates. 5B: Mixed radiolucent radiopaque lesion caused destruction of anterolateral and posterolateral wall and floor of right maxillary sinus and nasal cavity. 5C: The mixed radiolucent radiopaque lesion seen crossing the midline of the palate at the posterior region. 5D: Mixed radiolucent radiopaque lesion produces sunburst appearance at the right zygoma region

Histopathological images. 6A–6D: Pleomorphic tumor cells exhibited hyper chromatic vesicular nuclei and eosinophilic cytoplasm were arranged in glandular, cribriform, and papillary pattern. Glands with intraluminal necrosis were noted along with lymphovascular and perineural invasion.
Surgery was planned for the patient followed by radiation therapy. Despite the ongoing treatment process, which was palliative in nature, the prognosis was considered to be poor.
Primary tumors exhibiting glandular differentiation in the sinonasal region are known as sinonasal adenocarcinomas. Due to its histologic and immunohistochemical resemblances to colon rectal carcinomas, sinonasal ITAC is an uncommon tumor that poses diagnostic challenges. Of all the sinonasal malignancies, sinonasal adenocarcinomas are the third most frequent in occurrence, which accounts for 5–10% of cases[1].
The majority of ITAC cases are seen in men occurring during fifth to seventh decades of life. A developing soft tissue mass, pain, altered facial contours, diplopia, foul-smelling discharge, nasal obstruction, rhinorrhoea, and epistaxis are the most typical symptoms seen among the patients[12]. Our patient presented with developing soft tissue mass that resulted in facial asymmetry, epistaxis, and double vision.
Recent research findings indicated that there may be clinical distinctions between ITAC that occurs sporadically and those that occurs following chronic wood dust exposure. 85–95% of occurrences of cancers linked to occupational exposure afflicted men, and the ethmoid sinuses are the primary site for occurrence of the same. Much like other nonglandular sinonasal carcinomas, nonexposure-related adenocarcinomas often occur in the maxillary sinus. In women, sporadic tumors are common and maxillary antrum is involved in 20–50% of cases. In contrast to tumors of the nasal cavity and ethmoid sinus, which manifests symptoms prior to invasion of the surrounding structures, maxillary sinus tumors do not exhibit symptoms until they are well advanced in their development[13]. Our patient had occupational exposure along with past habit of snuffing, and the symptoms exhibited by the patient indicated toward the paranasal sinus spread.
The invasive components of the tumor plays a major role in its clinical appearance. Typically, early-stage symptoms of nasal congestion and obstruction that resemble sinusitis are seen arising from those that originate in the nasal cavity and ethmoid region. However, tumors originating in the sinuses manifest later in life, frequently exhibiting symptoms such as headaches, facial pain, proptosis and diplopia, or neurological abnormalities, which are indicative of invasion and compression of surrounding structures[3].
These tumors resemble colonic adenocarcinoma in terms of presentation. The most prevalent form of ITAC shares characteristics with normal gland-forming colonic adenocarcinoma; in many cases, the biopsy samples are identical to those from a primary colonic tumor.
A differential diagnosis involving immunohistochemistry and a systemic investigation is necessary for an intestinal-type tumor found with respect to sinonasal canal. ITACs and colorectal carcinomas exhibit similar expressions of CK20, CDX-2, villin, and MUC2. The presence of ITAC is indicated by CK7 expression in the tumor. Moreover, ITACs are more frequently linked to neuroendocrine differentiation and weak CEA expression than colonic adenocarcinomas[14]. The immunohistochemical and histopathological findings associated with ITACs are summarized in Table 1[15].
Immunohistochemical and Histopathological features of Intestinal Sinonasal Adenocarcinoma.
| IMMUNOHISTOCHEMICAL MARKERS | HISTOPATHOLOGICAL FEATURES |
|---|---|
| Pancytokeratin and CK7: Indicates keratin producing cells | Tubulo-glandular architecture: Consists of tubules and glands |
| MUC2: Mucin protein | Papillary appearance: Papillary elements |
| CK20, CDX2, and SATB2: Negative inITAC | Colonic resemblance: Histopathological resemblance to colonic adenocarcinoma |
| S100 protein, SOX10, and Discovered on GIST-1(DOG1): Indicatesneuroendocrine differentiation | Signet ring cell morphology |
| Carcinoembryonic Antigen (CEA): Weak expression than colonicadenocarcinoma | Goblet cells : Present in papillary and mucinous subtypes |
| Chromogranin: Numerous Chromogranin positive cells compared tocolonic adenocarcinoma | Positive mitotic activity |
Because of the mucin content inside, sinonasal adenocarcinomas usually show up as soft-tissue masses with calcified patches. For higher grade lesions in particular, they can lead to bone degradation. In our case, the lesion exhibited a sunray appearance constituted by thin, straight bony spicules that resulted from a periosteal bone response. Osteosarcoma, chondrosarcoma, Ewing sarcoma, central hemangioma, and metastatic prostate and breast malignancies are among the highly aggressive and rapidly developing tumors that most frequently exhibit this hypothesized pattern and should be considered in the radiographic differential diagnosis[16].
In contrast to adenocarcinomas, which might show expansion or destruction, osteosarcomas demonstrate aggressive bone destruction. Although both may manifest as a soft-tissue tumor, calcifications indicative of mucin synthesis are more common in adenocarcinomas. The “sunburst” periosteal reaction is characteristic of osteosarcomas, but adenocarcinomas could exhibit less noticeable periosteal alterations. Radiographically, the new bone matrix produced by osteosarcomas can be visualized, whereas in case of adenocarcinoma, this feature is absent[17].
Both chondrosarcoma and sinonasal adenocarcinoma have the potential to be locally aggressive and erode the surrounding bone. Chondrosarcomas frequently manifest as diverse, multilobulated lesions with a chondroid matrix, while adenocarcinomas manifest as masses of soft tissue with internal calcifications. Based only on imaging features, it may be challenging to distinguish between the two[18]. In contrast to Ewing’s sarcoma, which exhibits a large soft tissue mass, periosteal reaction, and lytic destruction of bone, sinonasal adenocarcinoma usually presents as a more benign-appearing mass with variable attenuation and occasional calcifications[19]. The central hemangiomas are frequently involved in bone remodeling, whereas adenocarcinoma promotes destruction of bone. On MRI, sinus adenocarcinomas usually exhibit uniform enhancement, while core hemangiomas can exhibit a “snowball” pattern of enhancement[20].
The main obstacle faced in diagnosing ITAC is attributed to its histopathological and immunohistochemical similarity to colorectal carcinomas, which renders its differentiation from metastatic lesions challenging. This is especially crucial since, despite their local aggression, ITACs rarely exhibit metastasis. ITACs have the ability to resemble the cell shape and glandular architecture of colorectal adenocarcinomas, which could lead to misdiagnosis[21].
Management generally consists of the following: postoperative radiation therapy should be carried out if there are risk factors for recurrence (positive or unclear margins, risk histological subtypes, perineural invasion), while complete surgical resection is advised in early disease (stages I and II). The ideal course of treatment for locally advanced disease (stages III and IV) is surgical resection combined with adjuvant radiation therapy. For candidates who are not fit for surgical procedures, radiation or chemo-radiotherapy may be an alternative to definitive surgery[13]. With a 5-year survival rate between 46% and 83% and a high (30–60%) local recurrence rate, ITAC has an intermediate prognosis. Even while ITAC is less likely than other sinonasal malignancies to spread, in advanced stages, it may show local invasion of the skull[22].
Although distant metastases are uncommon, this tumor is locally aggressive and has a >50% local recurrence rate. In view of the 5-year cumulative survival rate being only 40%, investigations have been undertaken to explore novel therapeutic strategies in an effort to enhance the prognosis. A number of factors can impact the prognosis, including occupational wood dust exposure, tumor budding, and histological subtypes. ITACs caused by wood dust exposure typically have a better prognosis, with a five-year survival rate of 50% compared to sporadic instances (20–40%). Specific subtypes, such as signet-ring cell carcinoma, may have less favorable outcomes than papillary subtypes. Literature evidence indicates that black race and age above 75 years comprise the negative prognostic factors[23].
The recent literature has documented varying frequencies of P16 together with mutations in BRAF, EGFR, TP53, KRAS, and EGFR. KRAS mutations have also been reported to be associated with a favorable prognosis in ITAC[24].
A rare case of well-differentiated sinonasal adenocarcinoma has been reported along with clinical, radiographic, and histopathological findings that showcased the aggressive nature of the malignancy. Multimodal therapeutic approach comprising of surgery, radiotherapy, and chemotherapy with periodic follow-up may enhance the prognosis associated with sinonasal adenocarcinoma.