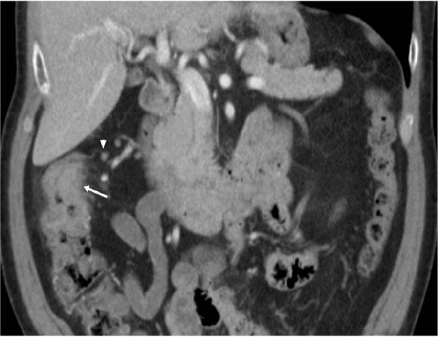
Figure 1:

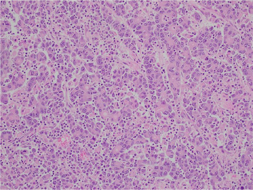
Figure 2:

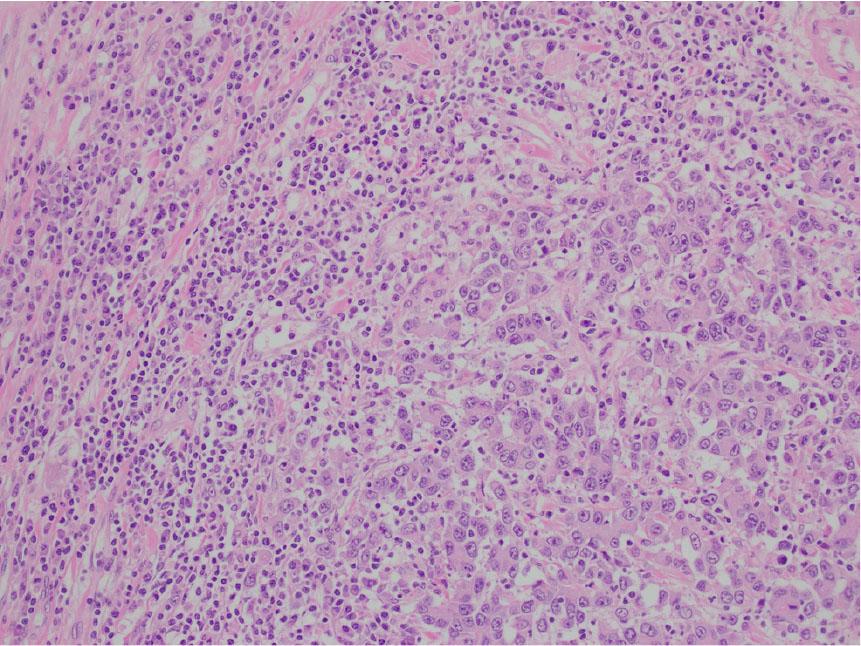
Figure 3:




© 2025 Lakshmi Manogna Chintalacheruvu, Vamsi Krishna Chilluru, Narendra Babu Gutta, Heather Barrett, published by Helenic Society of Medical Oncology
This work is licensed under the Creative Commons Attribution-NonCommercial-NoDerivatives 4.0 License.