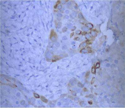
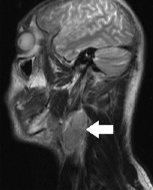
Figure 1.

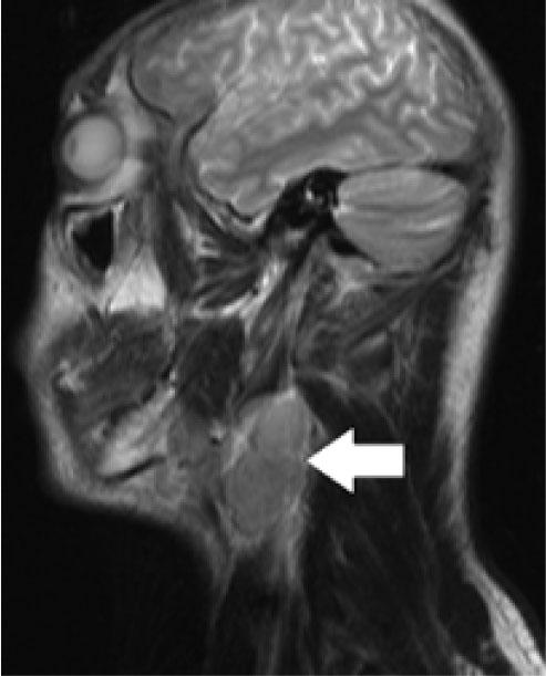
Figure 2.

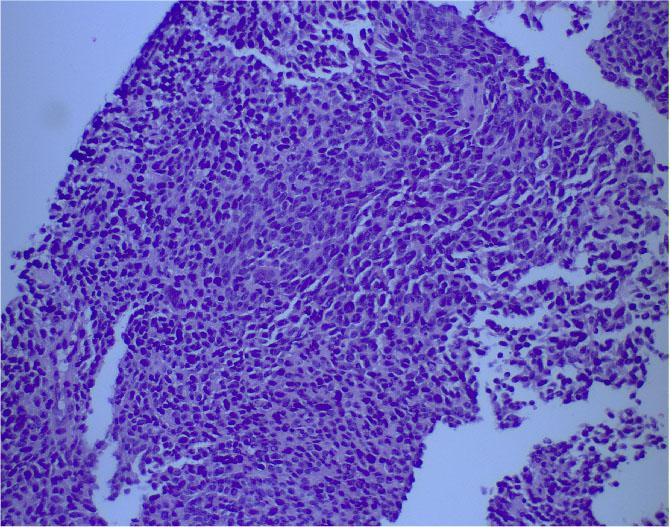
Figure 1.

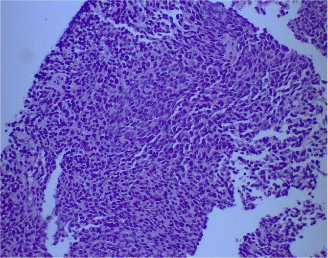
Figure 2.

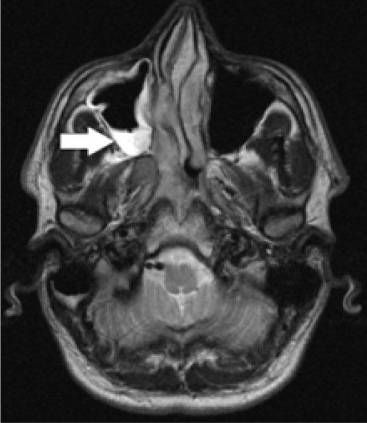
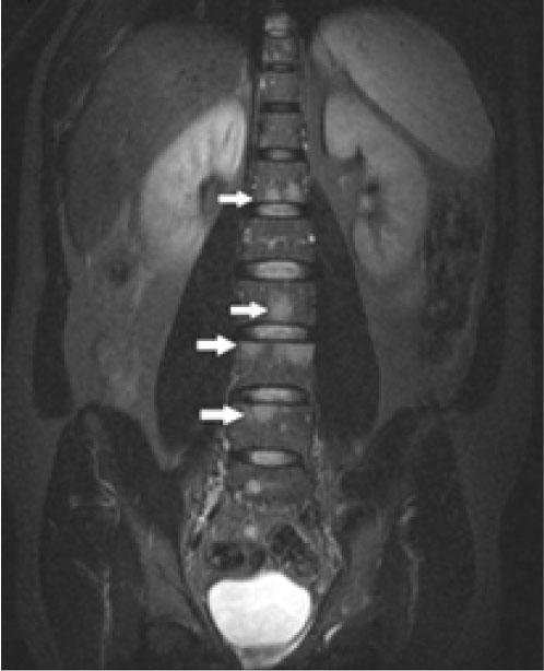
Figure 3.

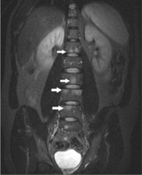
Figure 4.

Figure 5.

j_fco-2024-0001_tab_002
| Characteristic | LCNEC | |
|---|---|---|
| Age | 59 (27 – 86) | 66.5 (39–84) |
| Male (%) | 39 | 79 |
| Type of Biopsy (%) | ||
| • Bronchoscopic | 14.6 | 21 |
| • CT-guided | 0 | 10.5 |
| • Surgical | 85.3 | 68.4 |
| Smoking Status (%) | ||
| • Never | 34.2 | 2.6 |
| • Current | 34.2 | 76.3 |
| • Former | 31.7 | 21 |
| Symptoms Leading to Diagnosis (%) | ||
| • Asymptomatic | 63.4 | 36.8 |
| • Hemoptysis | 12.2 | 10.5 |
| • Cough | 12.2 | 31.5 |
| • Dyspnea | 9.8 | 31.5 |
| • Recurrent respiratory infections | 2.4 | 7.9 |
| Location (%) | ||
| • Left upper lobe | 9.7 | 21.0 |
| • Left lower lobe | 21.9 | 13.1 |
| • Right upper lobe | 21.9 | 36.8 |
| • Right middle lobe | 24.3 | 2.6 |
| • Right lower lobe | 12.2 | 15.8 |
| • Lingula | 2.4 | 2.6 |
| Stage (8th TNM Edition) (%) | ||
| • IA | 41.4 | 7.9 |
| • IB | 7.3 | 5.2 |
| • IIA | 12.2 | 7.9 |
| • IIB | 9.7 | 7.9 |
| • IIIA | 14.6 | 7.9 |
| • IIIB | 4.8 | 5.2 |
| • IIIC | 0 | 5.2 |
| • IVA | 4.8 | 23.6 |
| • IVB | 4.8 | 28.9 |
| • Ki67% | 7 (1–30) | 70 (40–90) |
j_fco-2024-0001_tab_001
| TABLE | InterD (N=701) (N/%) | ProD (N=430) (N/%) | p | OR (95%CI) |
|---|---|---|---|---|
| Males | 416/63.7 | 214/55.4 | 0.008 | 1.4 (1.1–1.8) |
| Metastasis | 535/79.0 | 259/67.3 | <.0001 | 1.8 (1.4–2.4) |
| HTAs | 597/85.4 | 338/79.2 | 0.007 | 1.5 (1.1–2.1) |
| ESA | 133/19.0 | 61/14.2 | 0.038 | 1.4 (1.0–2.0) |
| Radiotherapy | 126/18.18 | 106/24.9 | 0.007 | 0.7 (0.5–0.9) |
| History of Bleeding | 2/0.3 | 6/1.4 | 0.031 | 0.2 (0.0–1.0) |
| Heart or vascular disease | 139/28 | 80/35.4 | 0.044 | 0.7 (0.5–0.9) |
| Immobility | 43/6.1 | 46/10.7 | 0.006 | 0.6 (0.4–0.8) |
| Lung disease | 20/4.0 | 17/7.5 | 0.048 | 0.5 (0.3–0.9) |
| Metabolic disease | 96/19.3 | 60/26.6 | 0.028 | 0.7 (0.5–0.9) |
| Surgery | 269/38.4 | 250/58.3 | <.0001 | 0.5 (0.4–0.6) |
| Bleedings | 11/1.6 | 11/2.6 | 0.242 | 0.6 (0.3–1.4) |
| Thrombotic events | 11/1.6 | 20/4.7 | 0.002 | 0.3 (0.2–0.7) |