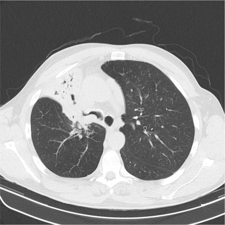
Figure 1:

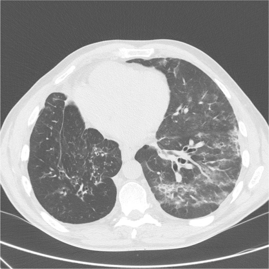
Figure 2:

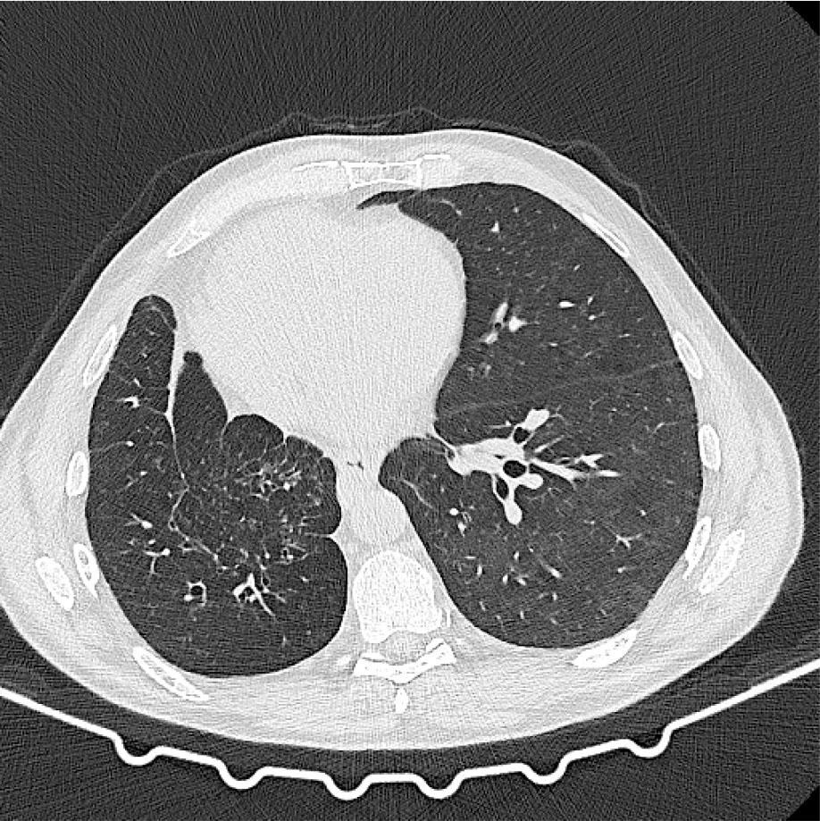
Figure 3:

Figure 4:





© 2024 Margarida Melo Cruz, Ana Filipa Silva, Sara Raimundo, Teresa Gomes, published by Helenic Society of Medical Oncology
This work is licensed under the Creative Commons Attribution-NonCommercial-NoDerivatives 4.0 License.