Amivantamab is a fully human bispecific immunoglobulin 1 (IgG1) antibody targeting epidermal growth factor receptor (EGFR) and c-MET receptors.[1,2] It has been approved by the Food and Drug Administration (FDA) and European Medicines Agency (EMA) for patients with EGFR exon 20 insertion mutation-positive metastatic non-small cell lung cancer (NSCLC) that has progressed after systemic therapy with platinum-based chemotherapy.[1,2,3] Exon 20 insertion mutation occurs in about 2% of patients with NSCLC, making it the third most common EGFR mutation.[3,4,5] This mutation is associated with a poor prognosis and resistance to EGFR tyrosine kinase inhibitor (TKI), with an overall survival (OS) of 12.5 months.[6–7] Molecular testing by next-sequence generation (NGS) was recommended in all patients with advanced lung adenocarcinoma, but it was not mandatory in patients with squamous cell histology. Currently, National Comprehensive Cancer Network (NCCN) recommends molecular testing be considered in all patients with metastatic NSCLC squamous cell carcinoma and not just in patients with certain characteristics (nonsmokers, younger patients).[3]
In the CHRYSALIS trial, the most frequent adverse effects (AEs) related to amivantamab were rash (86%), infusion-related reactions (66%), paronychia (45%), hypoalbuminemia (31%), constipation (24%), stomatitis (21%), nausea, (19%) and peripheral edema (18%).[1] Grade ≥3 AEs were observed in 40% of the patients, and treatment-related grade ≥3 AEs in 16% of patients. There were no treatment-related grade 5 events. Treatment-related dose discontinuation occurred in 4% of the patients (rash, infusion-related reactions, and paronychia). Interstitial lung disease (ILD) or pneumonitis was reported in 4% of the patients, with severity grade 1 or 2, none of which led to treatment discontinuation.[1]
A 56-year-old male patient presented to the emergency department in September 2021 with complaints of cough, dyspnea, fatigue, and anorexia. He was an ex-smoker (23 pack-years) and had no relevant medical history. A chest X-ray was performed, which showed right perihilar hypotransparency with mediastinal shift and retraction of the hemidiaphragm. Thoracic computed tomography (CT) scan showed a lesion in the main right bronchus, with partial collapse of the right upper and middle lobes (figure 1). The patient underwent bronchoscopy, where an exophytic lesion was observed in the middle third of the main right bronchus. Bronchial biopsies revealed squamous cell lung cancer with negative PD-L1 expression. Brain magnetic resonance imaging (MRI) showed a left frontal superior lesion with contrast-enhancing and exuberant peripheral edema. The lesion was resected, and the histopathologic assessment was compatible with metastasis from squamous cell cancer. NGS was performed, and an insertion mutation in exon 20 of the EGFR gene was identified. After completing disease staging (TNM IVA, T2aN2M1a), chemotherapy with immunotherapy (carboplatin, paclitaxel, and pembrolizumab) was initiated in October 2021. The patient completed four cycles of treatment and showed stable disease according to the Response Evaluation Criteria in Solid Tumors (RECIST) criteria. Maintenance treatment with immunotherapy was started in January 2022. After three maintenance treatments, the patient showed progressive disease in the primary lesion according to RECIST criteria.

CT scan at diagnosis showing a right upper lobe lesion with right upper and medium lobes collapse.
An early access program to amivantamab was available in Portugal at the time, and we asked for access for our patient, which was approved in May 2022. An infusion-related reaction was observed during the first administration, with nausea, dyspnea, and sweating observed 45 min after starting the perfusion. Metoclopramide and ondansetron were administered, which led to resolution of symptoms, and perfusion was resumed. After 3 weeks of treatment with amivantamab, an acneiform rash was observed on the face and trunk (~20% of BSA, grade 2 CTCAE). A partial response was observed after 2 months.
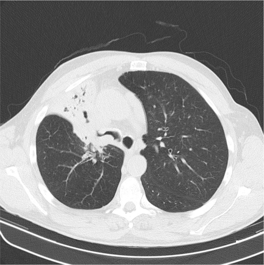
In September 2022, the patient complained of dyspnea on exertion and a dry cough for 2 weeks prior. A CT scan showed scattered ground-glass opacities in the left lung (figure 2). Amivantamab was suspended, and a bronchoalveolar lavage was performed, which showed alveolar lymphocytosis. The microbiologic examination identified Streptococcus pneumoniae, and antibiotic therapy was initiated. Imaging reassessment about 3 weeks later showed persistence of the lung opacities. A grade 2 CTCAE pneumonitis was assumed, and corticosteroid therapy with prednisolone 1 mg/kg was started. The patient reported improvement of symptoms, and a CT scan was performed after 5–6 weeks, which showed complete resolution of the radiologic abnormalities (figure 3).

CT scan after treatment with amivantamab showing scattered ground glass opacities in the left lung.

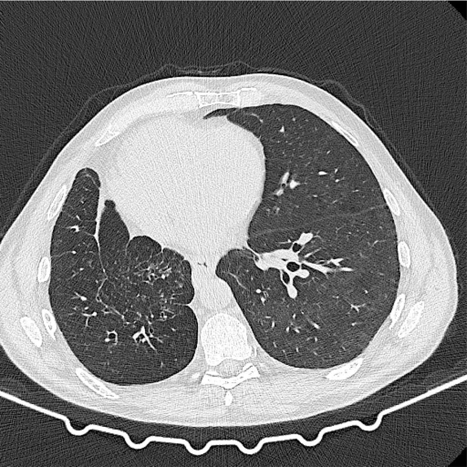
CT scan after corticosteroid treatment showing resolution of the previous opacities.
After discussion by a multidisciplinary team and given the lack of therapeutic options, it was decided to restart treatment with amivantamab at full dose in January 2023. An infusion-related reaction reoccurred in the first treatment, and cutaneous toxicity with acneiform rash also reoccurred (after four treatments). After seven treatments, there was no evidence of pulmonary toxicity, and the patient maintained a stable disease according to RECIST criteria (figure 4).

CT scan after reintroduction of amivantamab, without evidence of toxicity and stable disease.
Amivantamab is a novel therapy in the treatment of NSCLC and has become a useful resource for the treatment of patients with EGFR exon 20 insertion mutations after progression with chemotherapy, with an overall response rate of 40%[1]. It has a tolerable safety profile, with infusion-related reactions being very common in the first treatment and rare in subsequent administrations. ILD was reported in 4% of patients in the safety population of the CHRYSALIS trial (grade 1 or 2).[1] In case of suspected ILD, other causes of pulmonary infiltrates should be ruled out, such as infection or disease progression (carcinomatosis lymphangitis). In a long-term analysis of 114 patients in the safety population, with a median follow-up of 19.2 months, ILD of any grade and pneumonitis were reported in 7% of patients, and no grade ≥3 events were observed. [8] In the CHRYSALIS, PAPILLON, and MARIPOSA trials [1,9,10], treatment was withheld if ILD/pneumonitis was suspected, and in cases of symptomatic grade ≥2 pneumonitis, steroids were initiated in addition to withholding treatment. If ILD/pneumonitis is confirmed, treatment with amivantamab is discontinued. In the prescribing information for RYBREVANT®, it is recommended to withhold treatment in patients with suspected ILD/pneumonitis and permanently discontinue treatment if ILD/pneumonitis is confirmed. There is currently no evidence if restarting therapy after ILD/pneumonitis is possible and safe and if it is associated with recurrence of toxicity.
This clinical case reports the rare occurrence of pneumonitis as an AE of amivantamab, as well as the reintroduction of amivantamab without recurrence of pulmonary toxicity. To our knowledge, this is the first case reported of successful reintroduction of the drug after pneumonitis was diagnosed and without recurrence. It also stands out for the histology of the tumor harboring this mutation, since only 4% of the patients in the study which gave approval of this drug had squamous cell histology. There is a need for more evidence about the management of pulmonary toxicity in these patients, who have a bad prognosis and lack of therapeutic options after permanent discontinuation of amivantamab.