Lung cancer is a major global health problem. The most common pathologic variants include adenocarcinoma, squamous cells, small cells, and large cell carcinomas. Advanced bronchogenic carcinoma may spread to distant metastatic sites, mostly the liver, suprarenal glands, bones, and brain.[1]
Metastasis from primary lung cancer to the gastrointestinal (GI) tract is a rare presentation. Few case reports have been published, including cases of symptomatic GI metastasis and asymptomatic cases that were discovered unintentionally. In synchronous lung and GI malignant lesions, it is always a challenge to determine which lesion is the primary one and which is metastatic, especially if they have the same pathologic type.[2]
However, blood spread of a primary lung cancer to the thyroid gland is extremely rare. Differentiating a primary thyroid malignancy from a metastatic one is difficult because of the nonspecific clinical symptoms and radiologic findings.[1]
Our report describes two rare metastatic events from lung cancer to GI and the thyroid gland and discusses the diagnostic difficulties of unexpected or unusual presentations of metastatic lung adenocarcinoma.
A 61-year-old male patient presented with an acute abdomen. He had a history of stroke and a family history of colon cancer (his brother). Triphasic abdomen computed tomography (CT) showed collapsed thickened wall cecum with two well-defined, marginally enhancing cystic-like lesions on the outer surface of the terminal ileum. The larger one measured 4.8 × 4.5 cm with related focal luminal narrowing of the small bowel loops and marked proximal small loops dilatation. Exploration was done with right hemicolectomy, which revealed moderately differentiated adenocarcinoma with micropapillary features.
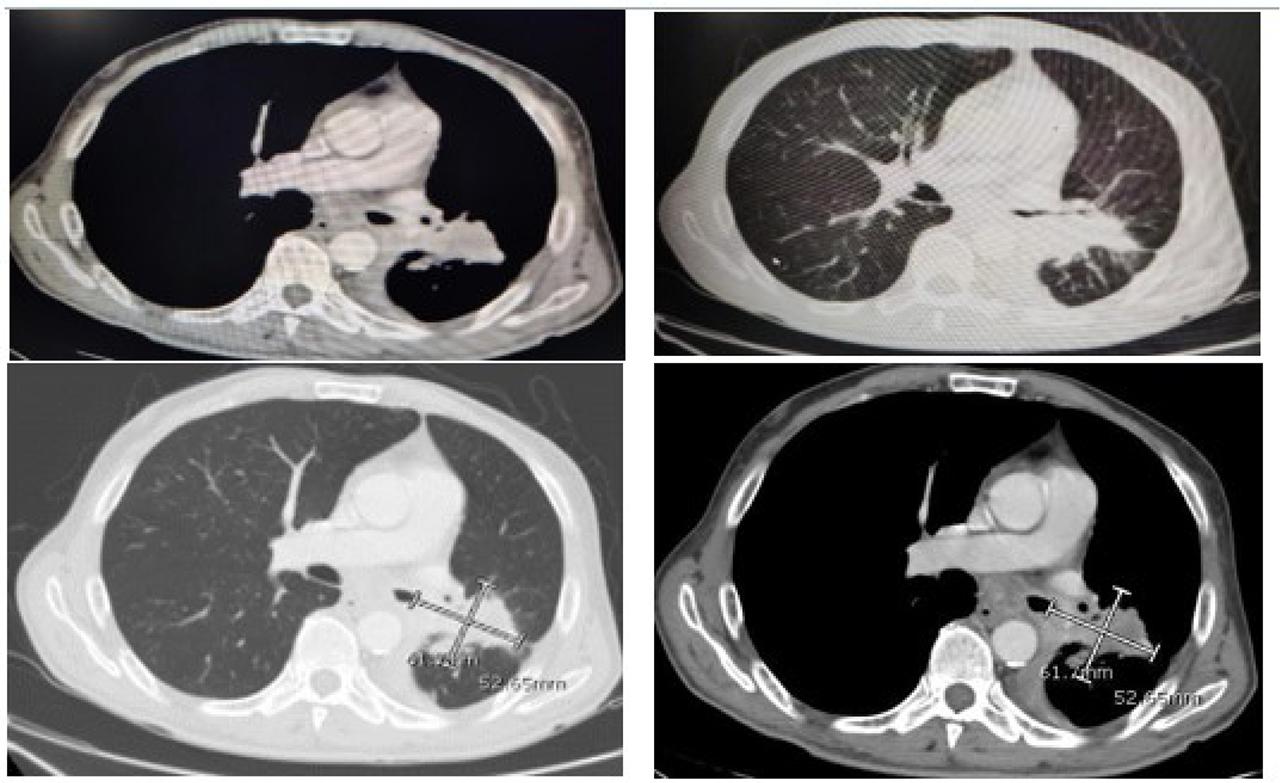
Postoperative chest, abdomen, and pelvis CT (Figure 1) showed an irregular, speculated soft tissue nodule (2.9 × 2.7 cm) in the left lower lung lobe, causing left lower posterior segmental consolidation collapse. First, it was thought to be inflammatory more than metastatic or 1ry lung lesion. A bulky right suprarenal gland and multiple sub-centimetric para-aortic and mesenteric nodes were found. No hepatic focal lesions or aggressive bony lesions were detected. Postoperative CEA and CA 19-9 levels were normal.

Chest computed tomography (CT) scan: Speculated soft tissue mass seen on the left main bronchus, measuring about 6.1 × 5.2 cm (measured lesion) and associated with subcarinal ln and minimal pleural effusion.
The patient received three cycles of Xelox (oxaliplatin with capecitabine) as an adjuvant till the result of the revision of pathology and further confirmation of the origin. The final report confirmed that this micropapillary adenocarcinoma infiltrated the whole colonic thickness from outside and 14 out of 22 dissected nodes with free proximal and distal surgical margins. Immunohistochemistry (IHC) examination of the slides (Figure 2) showed positivity for CK7, thyroid transcription factor 1 (TTF-1), and Napsin A and negativity for CK20, CDX2, GATA3, and EGFR “wild type,” denoting a lung origin. Unfortunately, chest, abdomen, and pelvis CT taken after the three cycles Xelox revealed newly developed left SRG nodules, with the largest being 12 mm in diameter (metastatic), newly developed mid-polar hypodense suspicious splenic focal lesions, with the largest measuring about 15 × 12 mm, and newly developed metastatic osteolytic bony lesions seen in the pelvic bone. The patient received one cycle of gemzar carboplatin; then he died just 4 months after his initial presentation with intestinal obstruction. In our case, intestinal obstruction was the first presentation of bronchogenic carcinoma.

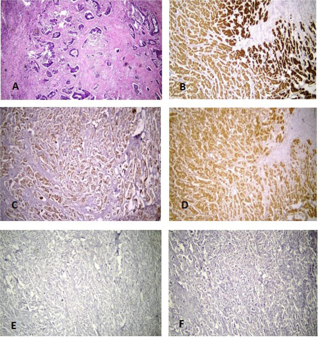
Microscopic examination. (A) (Hematoxylin and eosin; ×40). Moderately differentiated adenocarcinoma infiltrates the colonic wall. (B) (CK7 immunohistochemistry; ×40), diffuse positive. (C) (TTF-1 immunohistochemistry; ×40), diffuse positive. (D) (Napsin A immunohistochemistry; ×40), diffuse positive. (E) (CK20 immunohistochemistry; ×40), negative reaction. (F) (CDX2 immunohistochemistry; ×40), negative reaction.
A 62-year-old female patient presented with midline neck swelling, moving up and down with swallowing, mostly of thyroid origin. She was hypertensive with a history of appendectomy in childhood and two cesarean deliveries.
Neck ultrasonography revealed a normal left thyroid lobe with a 6 × 4 cm right lobe nodule (TIRADS 4) with multiple bilateral suspicious cervical nodes. The thyroid profile was normal.
Fine needle aspiration cytology (FNAC) of the thyroid nodule revealed an atypical aspirate (Bethesda 3) with no definite diagnosis, and the suspicious cervical nodes revealed cystic degeneration, which may be dysplasia, malignancy, or inflammation. This was followed by an excisional biopsy of one of the suspicious cervical lymph nodes that showed metastatic deposits positive for CK19 and TTF-1.
Neck, chest, abdomen, and pelvis CT examination revealed the following: an enlarged RT thyroid lobe with heterogenous enhancing nodules (5.3 × 5.4 cm), in contact with the right common carotid artery with fat planes in between, with minimal retrosternal extension; bilateral supra and infraclavicular nodes, with the largest of about 2.7 cm on the left side; multiple mediastinal hilar nodes, the largest being subcarinal around 6 × 3.8 cm; right pleural effusion with multiple bilateral pulmonary nodules, with the largest being about (3.6 × 2.7 cm) in the right lower lung lobe; and bulky uterus with a 5-cm fibroid inside.
We diagnosed the case as a metastatic thyroid carcinoma, and the MDT decision was to perform total thyroidectomy with bilateral neck dissection. The paraffin analysis revealed a pathologic surprise.
The pathology (Figure 3) report showed a picture of metastatic adenocarcinoma with mucoid activity, mostly of pulmonary origin. Heavy nodal infiltration was observed bilaterally; 25 out of 72 dissected nodes on the left side were positive for malignancy, while the right side had a bit less of nodal burden and four out of dissected 32 nodes were infiltrated. The tumor cells showed positive IHC staining for CK7, TTF-1, and Naspin and negativity for CK20 and thyroglobulin. P63 was also positive.

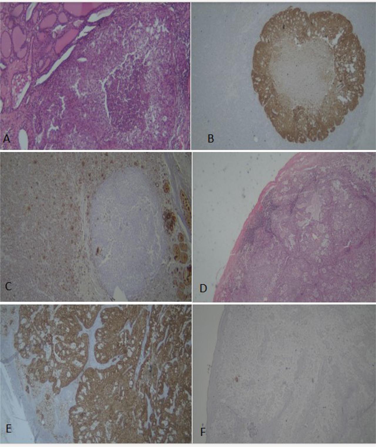
Microscopic examination. (A) (Hematoxylin and eosin; ×20). Photomicrograph that shows infiltration of thyroid gland tissue by malignant tumoral proliferation formed of malignant acini lined by multiple layers of malignant epithelial cells with moderate degree atypia and abundant pale eosinophilic to clear cytoplasm (B) (Napsin A immunohistochemistry; ×20), diffuse positive with negative reaction of the surrounding thyroid tissue. (C) (Thyroglobulin immunohistochemistry; ×10), malignant acini that show negative reaction for thyroglobulin with the positive reaction of the surrounding thyroid tissue (internal control). (D) (×10), Malignant deposits of the cervical lymph node by the same tumor tissue with a small rim of lymphoid tissue on the periphery. (E) (Napsin A immunohistochemistry; ×20), diffuse positive reaction. (F) (Thyroglobulin immunohistochemistry; ×20), negative reaction.
The patient was started treatment with taxol 350 mg/carboplatin AUC 5. Unfortunately, 3 months after surgery, the patient developed bony aches. Bone scan showed increased radioactive tracer uptake concentration at the right shoulder, right humerus, multiple bilateral ribs, D3, 5, 9- cervical 7- lumbar, 3, 5- sacrum, right femoral head, right knee, bilateral iliac bones, right femur, and left ilio-pubic bone, impressive of disseminated bone metastases.
Worldwide, lung cancer is the leading cause of cancer-related mortality.[2] It may be small cell lung cancer (SCLC) or non-small cell lung cancer (NSCLC). Adenocarcinoma, squamous cell carcinoma, neuroendocrine cancers, and carcinoid tumors represent the most common pathologic subtypes in the 2015 World Health Organization (WHO) classification.[3]
The most common metastatic site for NSCLC is the skeletal system (34%), followed by the brain (28%), suprarenal glands (17%), and the liver (13%). Metastases in the GI tract are rare, representing only 0.5%–10%.[4] The small intestine is the most reported site in the GI tract for metastases from lung cancers.[5] The colon represents the least reported metastatic site[6] The incidence of gastric metastases documented by autopsy data ranges from 0.2% and 1.7%[7]
To the best of our knowledge, 44 cases of colonic metastases from primary bronchogenic carcinoma have been reported[2]. Out of 18 cases with GI metastases from lung cancer reported by Lin et al, only four gastric and two colonic metastases were documented[8]. Only nine out of 1552 patients who had surgery for their lung cancers developed GI metastases as reported by Fujiwara et al. Out of these nine patients, the colon was the metastatic site in four cases, while the stomach was the metastatic site in just one case[9].
Synchronous colonic and gastric metastases from lung adenocarcinoma were reported for the first time by Huang et al. Unfortunately, the case was far advanced at the time of diagnosis with peritoneal deposits and multiple active bony lesions.[10]
Many authors searched for the link between pathologic subtype and GI metastatic site. Several studies reported that colonic metastases occur more in squamous cell carcinomas than in adenocarcinomas.[11]
Abdominal pain, diarrhea, electrolyte imbalance (mainly hyponatremia), melena, or hematochezia could be the initial presentation of colonic metastases. Abdominal pain due to intestinal obstruction is the most common presentation exactly like in our case, which was diagnosed by exploration for intestinal obstruction.[12]
On the contrary, thyroid metastases may be asymptomatic or may present with goiter and compression manifestations. The thyroid profile is usually normal and of little value in diagnosis[13]. Distant metastases to the thyroid gland are not a common event, with a reported incidence of 2%–3%. The incidence increases at autopsy, reaching 1%–24%. Lungs, breasts, and kidneys are the most common sites of primary cancers that could metastasize to the butterfly organ.[14].
The pathology of the reported cases of lung cancers metastatic to the thyroid included squamous cell carcinomas, NSCLC, and anaplastic small cell carcinoma. Intrathyroidal metastases from lung adenocarcinoma are not commonly reported; hence, reporting of our case is important[15].
Besides thorough history taking and meticulous clinical examination, tissue biopsy is the mainstay of diagnosis. Immunohistochemical stains play a crucial role in identifying the possible primary tumor organ. IHC stains like CK7, CK20, CK14, TTF-1, CDX2, and CK18 can differentiate metastatic lung carcinoma from primary GI cancer[16]. Both GI and pulmonary cancers show a positive reaction to CK7, while CDX2 positivity supports a GI origin. CK14 and CK18 could have positive staining to squamous cell carcinoma and adenocarcinoma, respectively[17]. TTF-1 regulates gene expression in the thyroid and the lungs. TTF-1 is useful in identifying tissues of pulmonary origin.[18] However, 13%–45% of metastatic adenocarcinomas of pulmonary origin are TTF-1 negative[19]. Napsin A is more sensitive than TTF-1 in differentiating primary lung cancers from other adenocarcinomas[20]. Both are complementary for detecting the origin of metastatic adenocarcinomas[21].
The role of positron emission tomography (PET) CT is debatable. It could distinguish the primary and secondary origin of the tumor without being able to determine the pathologic type of the tumor cells.[22]
FNAC is perfectly accurate in diagnosing primary thyroid malignancies, with a false-negativity rate of 1% and a false-positivity rate of 2%–3%. However, it is hard to diagnose metastases in the thyroid gland in the absence of a prior history of another primary cancer.[11] However, IHC and electron microscopy are crucial methods to use when FNAC results are inconclusive to distinguish between primary and metastatic tumors. Based on distinctive cytomorphologic characteristics and cell markers typical of neuroendocrine tumors, the diagnosis was made. In addition, tumor cells stained positively for TTF-1, CD56, synaptophysin, and chromogranin-A. These results are frequently observed in SCLC cases. TTF-1 expression, however, is very particular to primary thyroid tumors. The thyroid lesion specimen tested negative for both calcitonin and thyroglobulin immunoreactivity, ruling out the possibility of a primary thyroid tumor.[16]
The best way to treat GI metastases from primary lung origin is controversial. The primary choice for treating recurrent or metastatic NSCLC is chemotherapy. However, as has already been mentioned, chemotherapy-induced necrosis may raise the chance of bleeding or perforation from the GI tract[23]. Patients with stomach and/or duodenal metastases treated nonsurgically by supportive care had longer survival, according to Lee et al[24]. Five patients received GI surgery as reported by Fujiwara et al[9]; three of these patients had prolonged survival following resection without recurrence, while the other two had well-controlled postoperative GI symptoms. In contrast, four individuals with GI metastases who did not have surgery had a shorter survival time after the diagnosis. Although just a few cases of isolated GI metastases have been recorded, radical resection of these lesions can be beneficial. However, it is yet unclear how this procedure will affect a patient’s long-term prognosis. To effectively provide palliation, surgery is still required to avoid potentially fatal complications such as severe hemorrhage, blockage, and perforation. Due to obstruction of the intestine in the present case, surgery was required.[25]
There is a lot of debate in the literature on the extent of surgical resection of intrathyroidal metastases. Based on the histologic type of the primary tumor, the location of the secondary intrathyroidal lesions, the kinetics of the primary tumor, and the kind of metastatic extension (oligo- or polymetastatic), the choice to do surgery for intrathyroid metastases is made. When the rest of the workup is negative, several authors suggest total thyroidectomy. Total thyroidectomy, according to those authors, does not raise morbidity[22]. Some authors disagree with total thyroidectomy as the remainder of the thyroid gland would continue to generate hormones, some of which would have cytostatic qualities. When the primary tumor is growing fast or when there are cervical symptoms of tracheal compression, these experts recommend thyroid surgery.[1]
From the time of diagnosis of GI metastases until death, the average overall survival of individuals with primary lung cancer is highly variable. It has been reported to be around 2 months for colonic metastasis.[22] The median survival time for lung cancer with GI metastases was 94.5 days, with a range of 12–1907 days, according to Kim et al.’s report. Results are determined by key events that occurred at the first presentation and the subsequent surgery. Less favorable outcomes have been linked to bleeding, blockage, and perforation. However, it has been suggested that early identification, surgical intervention, and palliative surgical resection of the metastatic site can lead to better survival[21]. Also, there are no significant differences in the overall survival time between cancer patients with and without thyroid metastases. Detection of a secondary localization to the thyroid does not predict per se a poor prognosis. The underlying tumor’s stage and diffusion, rather than its spread to the thyroid, determines the clinical course of people with thyroid metastases.[27]
Lung cancer metastases to the GI tract are uncommon and less frequently documented in NSCLC than in SCLC. Even more unusual is the synchronous occurrence of colonic and stomach metastases from lung cancer. Radiologic and endoscopic exams can help make a diagnosis clinically, but a pathologic diagnosis is necessary.
A new thyroid lesion should be treated as potentially metastatic in any patient with a known history of cancer. Because the physician focuses on more significant lesions while performing a perfunctory thyroid exam, metastatic thyroid lesions may go unnoticed.
To better understand the clinical features and outcomes of rare lung cancer metastasis, more information is needed. However, because it may enhance survival outcomes, surgical resection should be taken into account on a palliative basis as well as in patients with resectable primary lung cancer and isolated metastases.