Figure 1. A, B

Figure 2 A-D

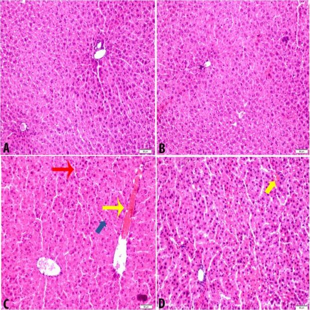
Figure 3 A-D

Initial and final body weights, histopathological, and IL-17 immunostaining score among experimental groups_
| Groups | Control | CLQ | ADR | ADR+CLQ | p | |
|---|---|---|---|---|---|---|
| Body weight (gr) | Initial weight | 133±10.2 | 128.3±15.6 | 211.1±9.4 | 166.5±14.5 | 0.001 |
| Final weight | 270.3±19.8* | 223.7±45.8* | 137.7±13.7* | 176.6±20.4 | 0.001 | |
| Histopathological score (0 to 3) | 0.32±0.47a | 0.40±0.49a | 2.02±0.71b | 0.60±0.57a | 0.001 | |
| Score of IL-17 staining (0 to 3) | 0.55±0.51a | 0.45±0.51a | 1.90±0.64b | 0.70±0.65a | 0.001 | |