Cancer, which is a disease characterized by abnormal and uncontrolled proliferation of cells and which results in death in many types of species, is one of the diseases with the highest mortality. For this reason, scientists are conducting extensive research to treat this disease (1).
With the discovery of antineoplastic chemotherapy, significant reductions in mortality and morbidity rates of cancer disease occurred. However, besides the benefits of the drugs used in chemotherapy, the long-term use of these drugs caused serious damage to tissue and organ systems in cancer patients as a result of their cytotoxic effects (2).
Doxorubicin (DOX), an active ingredient of Adriamycin (ADR), is an anthracycline antibiotic class and has been widely used in cancer treatment for more than 30 years. DOX was first obtained from Streptomyces peucetius, a fungus species. As one of the anthracycline antibiotics, ADR is the most widely used drug in the treatment against solid tumors. Moreover, ADR is also widely used in the treatment of many types of cancer, such as bladder and breast cancer (3, 4, 5, 6). Although ADR is a drug with strong antineoplastic activity in various cancers, its clinical use is limited due to its negative side effects such as cardiotoxicity (7), nephrotoxicity (8), hepatotoxicity (9) and gonadotoxicity (10).
During the elucidation of the mechanism of ADR toxicity, two main theories have been introduced. One of them states that DOX inhibits the maintenance of the topoisomerase II enzyme by intercalating with the DNA double chain and finally suppresses DNA replication and transcription. Another theory is that DOX induces oxidative stress, causing damage to healthy tissues and directing the cell to apoptosis (11). In addition, DOX causes histone separation from active chromosomes, creating a serious DNA damage (12).
Many experimental studies have reported that ADR chemotherapy causes serious hepatotoxicity (9, 13). The mechanism of ADR toxicity has been associated with the oxidative stress state associated with the formation of an excessive amount of reactive oxygen species (ROS) and/or a reduction in the antioxidant defense system that causes unbalanced normal oxygen metabolism. First, a form of semi-quinone is produced as a result of adding an electron to the quinone half of DOX, and then the quinone form is rapidly formed by the reduction of molecular oxygen to ROS (14).
The formation of excessive reactive oxygen species (ROS), suppression of the antioxidant defense system and lipid peroxidation of biological membranes cause overexpression of the genes in inflammatory pathways and may cause excessive release of pro- and anti-inflammatory cytokines such as Tumor Necrosis Factor-alpha (TNF-α) and Interleukin-17 (IL-17). Finally, the imbalance between these cytokines can induce necrosis and apoptosis. Cytokines, which are polypeptides produced and secreted by various cell types, regulate immune and inflammatory events, including a systemic response to inflammation, cell growth, healing and injury (15, 16).
Interleukin-17A (IL-17) is a founding member of a new proinflammatory cytokine family of IL-17A-17F with at least six members (17). IL-17 has powerful effects on a large number of cells of the innate immune system, especially granulocyte lineage, and is important in bridging adaptive and congenital immune systems (18). Many studies have shown that ADR activates inflammatory pathways and triggers apoptosis in many tissue types, causing overexpression of inflammatory cytokines such as TNF-α and IL-17 (19, 20, 21, 22).
Chloroquine (CLQ) is a drug used clinically as an anti-inflammatory (23) and it is used in the treatment of many inflammatory diseases such as malaria (24), rheumatoid arthritis (25) and widespread pneumonia caused by Covid-19 virus, which occurred in Wuhan, China at the end of 2019, affecting the whole World (26). The action of TNF-α, which induces the expression of other interleukins, is inhibited by the lysosomal protease inhibitor CLQ (27). CLQ therapy has been reported to increase mortality in mice by inhibiting inflammatory pathways and apoptosis (28).
The aim of this study is to investigate the effect of CLQ, an anti-inflammatory drug, on histopathological changes in liver tissue and IL-17 expression in ADR-induced liver damage in rats. For this purpose, histopathological examinations were performed to determine the ameliorative effects of CLQ on the damage caused by ADR in the liver, and changes in the IL-17 expression in the liver tissue were determined by immunohistochemical staining.
In this study, thirty-two male Wistar albino rats (8 weeks old, weighing 100-200 gr) were obtained from Hakan Cetinsaya Experimental and Clinic Research Center, Erciyes University, Kayseri, Turkey. During the experiment, rats were harbored in a 12 h light/12 h dark cycle at room temperature (20 – 24 °C) and environmental humidity. Standard chow and tap water were given to animals ad libitum. At the beginning of the experiment, the rats randomly divided into four groups as follows; The Control group (n=8) were untreated rats, ADR (n=8) group administered 2 mg/kg Adriamycin intraperitoneally (i.p) one in three days for 30 days similar to literature (29), CLQ group (n=8) group given 50 mg/kg Chloroquine for 30 days (30) and ADR plus CLQ group (n=8) given 2 mg/kg Adriamycin one in three days and 50 mg/kg Chloroquine for 30 days. After experimental procedure, animals were anesthetized with ketamine and xylazine combination and they were sacrificed after body weights were saved. Liver tissues were extracted from the animals for the histopathological, immuno-histochemical examinations.
Histopathological evaluation of the structure of the liver tissue was performed using routine histological methods. The liver tissues were fixed in 10% formalin solution for 24–48 h, dehydrated with alcohol, cleared with xylene and embedded in paraffin wax and cut into 5-μm thick sections. Hematoxylin-eosin (H&E) staining were performed for the evaluation of the histopathological changes in the liver tissue (37, 38, 39). Photographs were taken with a photomicroscope (Olympus BX51; Olympus, Tokyo, Japan) and analyzed by the study group. The liver tissue structure was examined and evaluated randomly and with standard light microscopy and were scored by the study group. While applying histopathological score, the following criteria were used; hemorrhage, necrotic hepatocytes, vacuolized hepatocytes and the appearance of hepatocyte cords. Scoring was conducted as follows: 0 = not at all, 1 = 0–25%, 2 = 26–45%, 3 = 46–75%, and 4 = 76–100%.
The immunohistochemistry method was applied according to previous studies (31, 32, 33) to investigate the changes in the immunoreactivity of IL-17 antibody in liver tissues. 5 μm sections were obtained from liver tissues embedded in paraffin blocks. The sections were kept in the oven at 60 degrees for at least 2 hours so that the paraffin melted. The tissues were deparaffinized and rehydrated using xylene and alcohol series. Sections were taken into a sterile urine container with 0.01 M citrate buffer and heated in a microwave oven at 350 W for the antigen retrieval. Then, sections were kept three times in phosphate-buffered saline (PBS) for 5 minutes. The sections were kept in 3% (w/v) H2O2 for 10 minutes to block endogenous peroxidase activity. After washing again 3 times in PBS (phosphate buffered saline), Ultra V Block solution was added to the tissues and kept in the tank for 5 minutes. After then, IL-17 (Cat. No: bs-1183R, Bioss) antibody diluted in the ratio of 1:100 were added to the tissues and incubated overnight at 4 °C. The following morning, the tissues were washed again three times with PBS and the secondary antibody (TA-125-HDX, Thermo Fisher Scientific, Waltham, MA, USA) was instilled for 10 minutes at room temperature. After washing with PBS, the immunoreaction was amplified using the streptavidin–avidin–peroxidase complex and the sections were visualized using 3,3-p-diaminobenzidine tetrahydrochloride (TA-060-HDX, Thermo Fisher Scientific, Waltham, MA, USA) lightly counter-stained with Gill hematoxylin. For the final step, increasing alcohol serial concentrations were used to remove water, the sections were then passed through xylene, and finally, they were covered with entellan. Density of IL-17 immunoreactivity were scored as follows: 0= no staining; 1= weak immunoreactivity; 2= moderate immunoreactivity; 3= strong immunoreactivity (40, 41, 42).
All statistical analyses were carried out by using GraphPad Prism version 7.00 for Mac, GraphPad Software, La Jolla, California, USA. D’Agostino Pearson omnibus test was used to identify the normal distribution of the data. In the case of normal distribution, quantitative variables were compared using one-way analysis of variance (ANOVA) and Tukey’s posthoc test. The data were expressed as the mean of normalized data±-standard deviation of the mean. p<0.05 was considered as statistically significant.
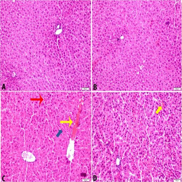
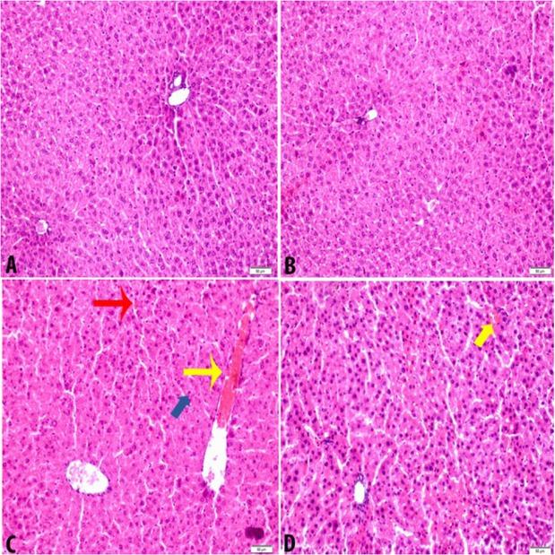
Final body weights in the ADR group decreased significantly compared to the Control group, CLQ group and the initial body weights of ADR group (p<0.05). Furthermore, body weight in the ADR +CLQ group were significantly higher compared to those of the ADR group (p<0.05) (Figure 1A). Necrotic hepatocytes, vacuolized hepatocytes and hemorrhage were observed in the ADR group and hepatocytes cords were irregular were compared to Control and CLQ group (Fig 2C). In the ADR+CLQ group, hepatocyte cords were relatively regular and necrotic and vacuolized hepatocytes and hemorrhage were less when compared to ADR group (Fig 2D). Moreover, histopathological score was higher in the ADR group when compared to Control and CLQ group. Unlikely, ADR+CLQ group showed relatively less histopathological score when compared to ADR group, suggesting an ameliorative effect of CLQ on the liver damage induced by ADR (Figure 1B).
Figure 1. A, B
(A) Changes in the body weights of the experimental animals before and after the application of the experimental procedure. (B) Final body weights in the ADR group decreased significantly compared to the Control group, CLQ group and initial body weights of ADR group (p<0.05). Furthermore, body weight in the ADR+CLQ group were significantly higher compared to those of the ADR group (p<0.05). Histopathological scores showed a significant increase in the histopathological score in the ADR group when compared to the Control and CLQ group. However, it is also seen a significant decrease in the histopathological score in the ADR+CLQ group when compared to the ADR group. Abbreviations: ADR, Adriamycin; CLQ, Chloroquine.

Figure 2 A-D
Light microscopy of liver tissue stained with H&E in experimental groups. (A) Control group (n=8) and (B) CLQ group (n=8), normal liver were observed; (C) ADR group (n=8), hemorrhage (yellow arrow), necrotic hepatocytes (red arrow), vacuolized hepatocytes (blue arrow), and irregular hepatocytes cords were observed; and (D) ADR+CLQ group, near to normal liver tissue were observed except for small hemorrhagic regions (yellow arrow); Scala bar: 50 μ. Magnification x200. Abbreviations: ADR, Adriamycin; CLQ, Chloroquine.

Immunohistochemical staining was performed by using the avidin-biotin method to determine the liver tissue expressions of IL-17. Immunohistochemical examinations demonstrated the presence of IL-17 immunoreactivity in the liver tissues of experimental groups. The IL-17 expressions in the liver tissues of CLQ group were similar to those in the Control group. Especially, IL-17 immunoreactivity was considerably increased in the liver tissue sections of ADR group. On the other hand, IL-17 expressions of ADR+CLQ were substantially less compared to those in the ADR group. Figure 3 shows the IL-17 expressions and statistical analysis of the score of immunohistochemical staining in experimental groups.
Figure 3 A-D
Immunohistochemical staining of IL-17 in the liver tissues and statistical analysis of the score of immunohistochemical staining in the experimental groups. (A) Control (n=8) and (B) CLQ (n=8) showed weak IL-17 immunostaining in the liver tissue sections; (C) ADR (n=8) group, IL-17 expression increased in the liver tissue. (D) ADR+CLQ (n=8) IL-17 expression was significantly decreased when compared to the ADR group. Arrows show the IL-17 immunopositive cells. Graph shows the statistical analysis of the score of immunohistochemical staining according to the following criteria: 0, no staining; 1, weak immunoreactivity; 2, moderate immunoreactivity; 3, strong immunoreactivity. Scala bar: 50 μ. Magnification x200. Abbreviations: ADR, Adriamycin; CLQ, Chloroquine.

Despite Adriamycin’s potent antineoplastic activity in many types of cancer, its clinical use is limited because of its detrimental side effects in many healthy organs. Many experimental studies have reported that ADR administrations cause a significant decrease in body weights in experimental animals (34). In our study, we used Wistar albino rats as experimental animals and after ADR and CLQ administrations we observed a significant decrease in body weight in the ADR group when compared to its initial body weights and those in the Control group. Moreover, we noticed that ADR administration affected a little bit the weight gain in the ADR +CLQ group when compared to Control group. We think that this decrease in body weight in the ADR group and the inhibition of the weight gain in the ADR +CLQ group may be induced by the damage of ADR on multiple organ systems in the body.
Initial and final body weights, histopathological, and IL-17 immunostaining score among experimental groups.
| Groups | Control | CLQ | ADR | ADR+CLQ | p | |
|---|---|---|---|---|---|---|
| Body weight (gr) | Initial weight | 133±10.2 | 128.3±15.6 | 211.1±9.4 | 166.5±14.5 | 0.001 |
| Final weight | 270.3±19.8* | 223.7±45.8* | 137.7±13.7* | 176.6±20.4 | 0.001 | |
| Histopathological score (0 to 3) | 0.32±0.47a | 0.40±0.49a | 2.02±0.71b | 0.60±0.57a | 0.001 | |
| Score of IL-17 staining (0 to 3) | 0.55±0.51a | 0.45±0.51a | 1.90±0.64b | 0.70±0.65a | 0.001 | |
Data are expressed as mean ± standard deviation and p<0.05 was considered as significant.
* Significant when compared to initial body weight.
There is no significant difference between the groups with same letter (a, b).
Abbreviations: ADR, Adriamycin; CLQ, Chloroquine; IL-17, Interleukin-17.
Many experimental studies have reported that ADR chemotherapy causes serious hepatotoxicity by inducing the excessive formation of ROS and the overexpression of the genes involved in inflammatory pathways, and so inhibiting the antioxidant defense system and driving cell to apoptosis (9, 13). In this experimental study, we observed that ADR administrations caused significant damage in the liver tissue including hemorrhage, necrotic hepatocytes, vacuolized hepatocytes, and irregular hepatocyte cords when compared to Control and CLQ groups. However, we also noticed that CLQ administrations ameliorated the damage induced by ADR in the liver tissue because necrotic hepatocytes and vacuolized hepatocytes were almost nonexistent in the ADR +CLQ group. Moreover, lobular hemorrhage was less, and hepatocyte cords were more regular when compared to ADR group. According to our histopathological examinations, we suggest that CLQ administrations have significant ameliorative effects in the liver tissue by inhibiting the inflammatory pathways because oxidative stress, inflammation, and apoptosis are closely related events in the many cell types in the body.
Several studies have reported that ADR chemotherapy triggers oxidative stress-related inflammation by inducing the overexpression of the genes regulating the inflammatory events. There are several cytokines and chemokines that regulates many pathways in the inflammatory events. In many experimental studies, it has been shown that ADR administration cause the upregulation of the pro- and anti-inflammatory cytokines such as TNF-α, IL-6, and IL-1β (35, 36), suggesting that a serious inflammation is triggered by Adriamycin administrations, but changes in the IL-17 expressions in the ADR-induced liver damage has not been clearly elucidated. Our study showed that IL-17 expressions were clearly observed in the liver tissue of experimental groups via immunohistochemical staining. According to our immunohistochemical results, IL-17 expression significantly increased in only ADR administered group when compared to Control and CLQ groups. However, we also observed that CLQ administrations significantly decreased the IL-17 expressions in the ADR +CLQ group. In the light of these results, we suggest that CLQ administrations may suppress the inflammation by inhibiting the IL-17 expressions in the liver tissue. However, changes in the expression of more cytokines and chemokines need to be examined to conclude that CLQ inhibits inflammation in liver tissue and protects the cell from apoptosis and it is the limitation of our study. In addition, IL-17 expression has not been previously demonstrated in ADR-induced liver injury in the literature. In our study, we think that we contribute to the literature by showing the changes in IL-17 expression in ADR-induced liver damage through immunohistochemical staining.
As a result, we suggest that Chloroquine can be used as an ameliorative agent at low doses for reducing the negative effects of Adriamycin because of its anti-inflammatory properties. Moreover, we think that the outcomes of this study will contribute to the reconsideration of existing treatment methods and the determination of new strategies in Adriamycin-induced liver damage.