LPS (a bacterial endotoxin) is a glycolipid with an amphiphilic character that is regularly used in experimental models of septic shock. LPS is released whenever gram (-) bacteria die or split (1) and lead to sepsis by stimulating the inflammatory response of the immune system. Sepsis is one of the most prevalent reason of death in intensive care units (2). Septic shock may result in severe hypotension, metabolic acidosis, organ damage, multiple organ failure, acute lung injury, and death. While respiratory failure is one of the early organ dysfunctions in sepsis, the kidney, liver, coagulation system, central nervous system, and gastrointestinal system disorders are common and are among the other problems that increase death rate. However, the oxygen-free radicals resulting from sepsis lead to tissue injury by inducing DNA damage, proteins denaturation, and peroxidation of membrane lipids (3,4). There are studies in the literature showing that antioxidant compounds applied to neutralize the effects of oxygen-free radicals have beneficial effects (5).
Propolis, a resin mixture collected by honeybees from various herbal sources, contains many useful biological compounds. There are many studies showings that propolis has antibacterial, antioxidant and anti-inflammatory activities. Most previous studies have investigated the hepatoprotective effect of propolis on LPS-induced endotoxemia. Doganyigit et al. (6) found that propolis had a hepatoprotective effect on experimental endotoxemia. In another study, it was reported that propolis and caffeic acid obstruct NO production in macrophages without that causing cytotoxicity, suppressed LPS-induced signaling pathways and did not cause hepatotoxicity by powerful anti-inflammatory activity (7). Basnet et al. (8) showed that di-caffeoylquinic acid derivatives from the propolis water extract had a stronger hepatoprotective effect than chlorogenic acid and caffeic acid. In a study investigating ethanolic extract of propolis and its active ingredients, it was reported that propolis and CAPE strongly inhibited cyclooxygenase activity in lung homogenates of LPS-treated rats, while caffeic acid, ferulic acid, pinocembrin, and chlorogenic acid and cinnamic acid did not inhibit this activity (9).
The kidney is the other organ affected by endotoxins due to the production and release of inflammatory mediators. Increased cytokine expression to protect the host from infection after acute ingestion of LPS results in the disruption of cellular redox balance (10). The overabundant ROS accumulation in renal tissues give rise to cellular damage which begins with damage to the critical super molecules like DNA, protein, and lipid (11,12). Morover, lipid peroxidation leads to various toxic effects such as declined membrane fluidity, deterioration of mitochondrial functions and impaired antioxidant enzyme functions (13). Many studies have revealed that propolis has a nephroprotective effect (14,15). Therefore, we explored the effect of propolis on nephrotoxicity excited by LPS administration.
In the present study was used to popular type propolis collected from the vicinity of the Kayseri province in central Anatolia (Turkey). The chemical content of the propolis used was determined according to the study of Silici and Kutluca (2005) (16). The chemical content of propolis used in the study is shown in Table 1.
Chemical content of propolis used in this study (GC-MS)
| Compounds | % | Compounds | % |
|---|---|---|---|
| Flavonoids | 41,2 | Aromatic acids and their esters | 27,13 |
| 4,5 dimethoxy-(2-propenyl) 2-phenol | Caffeic acid | ||
| Pinocembrin | Ferulic acid | ||
| Chrysin | Benzoic acid | ||
| Galangin | Caffeic acid phenetyhl ester | ||
| Organic and fatty acids | 12,63 | Alcohol, ketone and terpenes | 19,04 |
| Decanoic acid | 2-propen-1-ol | ||
| 4-pentenoic acid | 5-3,3-dimethyl-cyclohexanone | ||
| Cinnamic acid | 2-Nonadecanone | ||
| 3-hydroxy-4-methoxycinnamic acid | Gamma-eudesmol | ||
| 2-propenoic acid | Beta-eudesmol | ||
| 3,4-dimethoxycinnamic acid | Alpha-eudesmol | ||
| Coumaric acid | Alpha-bisabolol | ||
| 9-Octadecanoic acid | 2-propen-1-one | ||
| Octadecanoic acid |
In this study, a total of 40 Sprague Dawley female rats (200300 g; Erciyes University, Kayseri, Turkey) was used. The study was carried out with the approval of Erciyes University ethics committee (Protocol no: 10/8). The water and nutrient requirements of the rats housed in their cages were provided at 21°C and in a light / dark environment lasting 12 hours in normal day conditions.
The rats were randomly divided into five groups and treated LPS to induce endotoxemia (Escherichia coli 0111: B4; Sigma-Aldrich Chemie, Deisenhofen, Germany). The groups received the following treatment:
Group (Control): 0.1 ml of saline (0.9 % NaCl), i.p.
Group (LPS): 30 mg/kg LPS, i.p.
Group (Propolis only): 250 mg/kg of propolis (oral gavage)
Group (Propolis + LPS): 250 mg/kg propolis (oral gavage), 60 minutes before LPS
Group (LPS + Propolis): 250 mg/kg propolis (oral gavage) 60 minutes after LPS
Following the completion of the test protocol, rats were sacrificed under anesthesia and kidney tissue samples were collected. Kidneys were fixed in 10% neutral buffered formalin and embedded in paraffin for histopathological investigation (17).
Kidney tissue samples were fixed in 10% neutral buffered formalin and embedded in paraffin. Sections of 5 μm thickness were processed for routine Periodic Acid Schiff (PAS) staining. (18). Slides examined under Olympus BX51 microscope to see general histological structure.
Serum MDA levels of animals were analyzed according to the protocol described by Yoshioka et al. (19). This method is based on the measurement of the intensity of the pink-colored complex formed by thiobarbituric acid, a lipid peroxidation end product at 535 nm (20).
Data of serum MDA levels from experimental groups were analyzed by GraphPad Prism 6.0 (Graphpad Software Inc., San Diego, California) and presented as mean ± SD. Data were analyzed using one-way ANOVA and Tukey’s post-hoc test for multiple comparisons. P<0.05 was considered statistically significant.
Compared with the control and propolis group, the MDA levels increased in the group administered LPS (P<0.05). In the propolis +LPS group one hour before LPS ingestion, the MDA level was higher than the control group but lower than the LPS group (p<0.05). Similarly, the propolis + LPS group had a higher MDA level than the control group but lower than the LPS group (Fig. 1). Although MDA levels in the propolis +LPS group were lower than the LPS + propolis group, the difference between the groups was not statistically significant (P>0.05).

Serum MDA levels of groups. The histogram bar graph data are expressed as mean ± SD, and compared by compared by one-way ANOVA and Tukey’s post hoc test for multiple comparisons test (α P<0.05 versus control group; β P<0.05 vs. LPS group; γ P<0.05 vs. Propolis group; ψ P<0.05 vs. LPS + Propolis group).
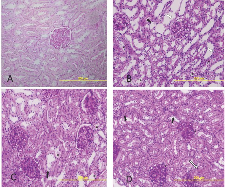
As a result of histopathological evaluation of kidney sections stained with Periodic Acid-Schiff (PAS) stain, it was observed that the normal histological structure was preserved in the control and propolis-treated groups (Fig. 2A). Tubular damage, mild ischemic damage, ischemic damage in the form of vacuolization, tubular epithelial vacuolization, vascular occlusion and glomerular atrophy were observed, especially in the kidney sections of rats treated with LPS only. (Fig. 2B). While in propolis + LPS group kidney sections of rats treated with propolis before LPS challenge showed mild ischemic injury (Fig. 2C), in group LPS + propolis sections of rats treated with propolis after LPS challenge showed mild ischemic injury, tubule epithelial vacuolization, vascular congestion and glomerular atrophy (Fig. 2D).

A: Group 1 (control animals) revealed normal kidney structure (x40, PAS). B: Group 2 (LPS) kidney sections of rats demonstrated slight tubular damage (black arrow), ischemic damage in the form of vacuolization (thin black arrow), tubular dilatation (thick white arrow) and tubule epithelial vacuolization (*) (x40, PAS). C: Group 4 (Propolis+LPS) kidney sections of rats demonstrated ischemic damage (thick black arrow), tubule epithelial degeneration (*), (x40, PAS). D: Group 5 (LPS+Propolis) kidney sections demonstrated ischemic damage (thick black arrow), vascular congestion (thin white arrow) and reduced Bowman’s space (thin black arrow), (x40, PAS).
Hydroxyl radicals resulting from oxidative stress form double bonds with lipids in cell and organelle membranes. A series of reactions occur with the resulting free radical-lipid interaction. Thus, many lipid peroxidation products such as MDA are formed (21). MDA is an end product of lipid peroxidation and a marker of oxidative damage. MDA can easily diffuse from its site of formation and is cross-linked to lipids and proteins in the membrane structure, causing deterioration of membrane integrity and permeability. In the current study, the increase the levels of MDA in serum in the group that was applied LPS display lipid peroxidation to have developed. Similarly, MDA levels are elevated in studies performed by creating an empirical endotoxemia model with LPS on many different organ systems (22,23).
Studies in recent years demonstrated that antioxidant agents improve renal damage when used immediately after bacterial infusion. For example, Garoui et al. (24), evaluated the biochemical changes in cobalt-exposed rats and investigated the potential role of Tunisian propolis versus the cobalt-exposed kidney damage. A statistically meaningful increase in plasma urea and creatinine levels was observed in treated female rats and their pups. In addition, the administration of propolis (along with cobalt-exposure) caused low levels of malondialdehyde, high antioxidant activity and abnormal histopathological changes at low severity. Similarly, there are a larger number of studies demonstrating that propolis has antioxidant activity and reduces MDA levels (20). In our study, it was observed that MDA levels decreased in the propolis+LPS, and LPS+propolis groups compared to the LPS group. This result reveals that propolis reduces oxidative stress caused by LPS.
According to light microscopic examinations exhibited normal renal corpuscles and tubules in the control and propolis groups. Tubular damage, mild ischemic damage, ischemic damage in the form of vacuolization, tubular epithelial vacuolization, vascular occlusion and glomerular atrophy were observed, especially in the kidney sections of rats treated with LPS only. The kidneys of animals given propolis prior to LPS application only had mild ischemic damage and low levels of tubular epithelium degeneration. Propolis has been shown to reduce the histopathological damage caused by LPS in the kidneys, and these results are also compatible with previous studies (6, 15).
The chemical composition of propolis used in the current study includes flavonoids (such as pinocembrin, pinobanksin, chrysin and galangin), aromatic acids (such as benzoic, caffeic and ferulic acids), aromatic acid esters (such as caffeic acid phenethyl ester), aromatic aldehydes (such as benzyl p-coumarate, benzyl ferulate, phenylethyl caffeate and cinnamyl cinnamate), and aromatic alcohols, ketones and terpenes. Among them, especially flavonoids and phenolic compounds found in the structure of propolis have been reported to have many useful biological activities. It has been reported that chrysin has potent anti-inflammatory, anti-cancer, and antioxidant properties (25). The flavanone pinocembrin has strong antifeedant, anti-inflammatory, and antioxidant activities (26).
Results from in recent year studies show that galangin, with its antioxidant and radical scavenging activities, is capable of modulating enzyme activities and push down the genotoxicity of chemicals (27). A study shows that caffeic acid phenethyl ester (CAPE), a bioactive component of propolis extract, may protect against cisplatin-induced nephrotoxicity (28) and acute treated of CAPE suppressed ischemia-reperfusion induced renal lipid peroxidation and tissue damage in rats (29, 30). Gurel et al. (31), showed the effect of CAPE and α-tocopherol on nitric oxide manufacture and antioxidant enzyme activities upon renal ischemia-reperfusion damage. The most significant results were encountered at myeloperoxidase activities, and pretreatment with CAPE importantly depressed the tissue myeloperoxidase activity showing the inibition of the neutrophil sequestration inside the kidney (31). In another study, Ogeturk et al. (32), investigated the protective effect of CAPE on carbon tetrachloride (CCl4)-induced kidney injury. CCl4 application was found to induced significant histopathological damage at the kidney. Glomerular and tubular degeneration, interstitial cell infiltration, fibrosis and vascular congestion in the peritubular blood vessels were showed in the renal cortex. It was observed that this histopathological damage was improved in rats treated with CCl4 + CAPE (32). Rossi et al. (9) investigated the effect of propolis on cyclooxygenase activity in lung samples of LPS-administration rats. They observed that propolis and CAPE strongly inhibited COX activity in lung samples of LPS-administration rats, while caffeic, ferulic, cinnamic and chlorogenic acids and pinocembrin did not inhibit this activity. In another study, it was found that quercetin (one of the propolis components) reduced LPS-induced NO production and returned ROS levels to normal (33).
In the current study, kidney sections of rats treated with LPS demonstrated tubular damage, ischemic injury, ischemic damage in the form of vacuolization, tubule epithelial vacuolization, vascular congestion and glomerular atrophy. In comparison with the kidney sections of rats treated with LPS, the administration of propolis with LPS showed a mild effect against LPS-induced kidney injury. In this study, propolis was administered at a dose of 250 mg/kg 1 hour before and after LPS administration. Both biochemical analyses (MDA level) of serum samples and histological analyses of kidney tissues show that propolis improves oxidation damage in kidneys induced by LPS.