Chiari-like malformation (CM) is an anomaly characterized by the occipital hypoplasia, therefore a reduced volume of the caudal cranial fossa, leading to cerebellar herniation through foramen magnum, and sometimes also the brainstem. Secondary to this, the cerebrospinal fluid is obstructed, leading to the development of Syringomyelia - fluid filled cavities within the spinal cord (1).
In the Cavalier King Charles Spaniels (CKCS) these conditions are frequently diagnosed, some studies suggesting that CM is inherited in this breed (2, 3).
The clinical signs are represented by neuropathic and spinal pain, scratching, especially air scratching, scoliosis, ataxia, facial nerve paralysis, paresis, seizures, vestibular syndrome, head tremor (1, 4).
The diagnosis of CM and SM can be suspected based on the clinical signs and history, but it can be confirmed only through magnetic resonance imaging (MRI), representing an essential imaging tool in diagnosing these conditions (5).
The British Veterinary Association and The Kennel Club proposed a CM/SM grading scheme, based on the results of the MRI examinations. There are 3 grades of CM, from 0 CM – without any sign of malformation, to grade 2 CM – severe herniation of the cerebellum; and there are also 3 classification grades of SM (Table 1), from 0 – normal spinal cord, to grade 2 SM - central canal dilation with an internal diameter of 2mm or greater, separate syrinx, or pre-syrinx with or without central canal dilation (6).
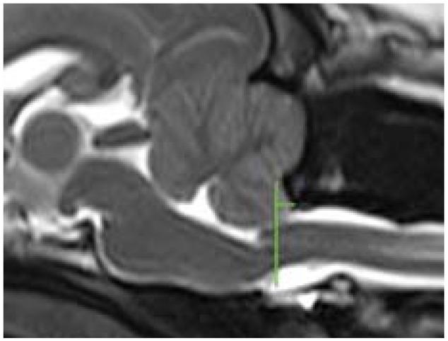
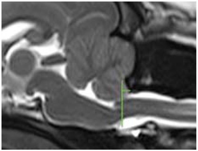
Figure 1
T2-weighted sagittal (left) and transverse (right) images of the cervical and spinal cord in a Cavalier King Charles Spaniel showing severe neuropathic pain. The green line marks the location of the transverse figure on the sagittal image - the second cervical vertebrae. The maximum diameter of the syrinx is 5.2 mm, measured in transverse plane.

This paper describes the variety of the clinical signs observed in thirty-seven CKCS dogs diagnosed with CM and SM evaluates the magnetic resonance imaging findings.
Classification grades of syringomyelia (adapted after British Veterinary Association and The Kennel Club SM grading scheme)
| Grade | Severity of syringomyelia |
|---|---|
| 0 | none |
| 1 | central canal dilation under two millimetres |
| 2 | central canal dilation of more than 2 millimetres, a pre-syrinx or syrinx |
The study was performed over a four-year period, from 2013 to 2017, at the PetCode Veterinary Hospital, Ankara, Turkey, on 37 CKCS dogs, 23 females and 14 males. The mean age of the patients was 3.6±2.1years.
All the dogs were subjected to physical and neurological examination, full diagnostic work-up, including magnetic resonance imaging scans of the brain, cervical and upper thoracic spinal cord.
To each dog was assigned a certain clinical grade of neuropathic pain, according to a neurologic pain grade classification proposed in 2009 by Cerda-Gonzalez S. and others, classified from grade 0 – normal dogs, without neuropathic pain, to grade 5 – severe scratching and paresis (7).
The patients that didn’t had full diagnostic work-up, or presented other conditions that may interfere with CM and SM, such as intracranial space-occupying masses were excluded from this study.
The MRI examination was performed on patients under general anesthesia, positioned in sternal recumbency, the scans included T1- and T2-weighted transverse and sagittal images of the brain and cervical and upper thoracic spinal cord.
The MRI scans were evaluated, and according to the British
The clinical features in 37 Cavalier King Charles Spaniel dogs diagnosed with Chiari-like malformation and Syringomyelia
| Clinical sign | Number of dogs affected | Percentage (%) |
|---|---|---|
| Neuropathic pain | 37 | 100 % |
| Spontaneous vocalization | 37 | 100 % |
| Scratching | 30 | 81% |
| Facial rubbing | 11 | 29.7% |
| Paw licking | 4 | 10.8% |
| Air licking | 4 | 10.8% |
| Tail chasing | 2 | 5.4% |
| Seizures | 1 | 2.7% |
| Unilateral facial paralysis | 1 | 2.7% |
Veterinary Association SM classification scheme, to each patient was assigned a certain degree of SM. With the help of a medical image viewer program (Horos™) we evaluated the MRI findings - cerebellar indentation or herniation through the foramen magnum, performed measurements of the spinal cord cavities, in transverse plan, and as well in sagittal plan. Syrinx dimensions and locations are evaluated using standard sequences, appearing hypointense on T1W and hyperintense on T2W images. In all cases the maximum syrinx width was measured in transverse plan (Fig. 1).
The degree of CM was estimated according to the position and length of the cerebellar vermis engaged within the foramen magnum (Fig. 2). An estimation of the degree of cerebellar herniation was performed for statistical analysis, according to a paper proposed by Lu et al., the results were count as grade 0 when the cerebellum was normal shaped, grade 1 when the herniated cerebellar vermis length was under 2 mm, and grade 2 when the length was more than 2 mm (8).
Figure 2
Mid-sagittal T2-weighted image showing cerebellar herniation. The horizontal line represents the length of the cerebellar herniation engaged within the foramen magnum.

All cases included in this study presented clinical signs of CM/SM, of which neuropathic pain and spontaneous vocalization were seen in all 37 cases. Other common clinical findings encountered were scratching (81%), facial rubbing (29.7%), paw licking (10.8%), air licking (10.8%), tail chasing (5.4%), seizures (2.7%) and unilateral facial paralysis (2.7%) (Table 2).
According to the neurologic pain grade classification proposed in 2009 by Cerda-Gonzalez S. and others, of all 37 cases six dogs matched the pain score 2, twelve cases to pain score 3 and nineteen cases to pain score 4.
The magnetic resonance imaging data revealed different grades of cerebellar herniation and cervical fluid-filled cavities within the spinal cord in all cases.
The most common Chiari like malformation MRI findings encountered are overcrowding of the caudal fossa, rostral indentation of occipital bone into the caudal fossa, abnormal shaped cerebellum with a concave caudal aspect, a pointed vermis, directed caudally through foramen magnum. According to the degree of caudal displacement of the cerebellar vermis, 24 dogs were grouped as grade 1 – the cerebellar herniation length was under 2 mm, and 13 dogs as grade 2 - more than 2 mm.
Different grades of SM were noticed, the syrinx width varies in each case, ranging from 1.2 mm to a maximum of 7.2 mm. According to the SM classification scheme, 15 dogs showed a syrinx width less than 2 mm in diameter, corresponding to grade 1 SM, and twenty-two dogs showed a syrinx of more than 2 mm, corresponding to grade 2 SM.
Other MRI findings encountered are medullary kinking (89.2%), presyrinx – spinal cord edema (51.3%) and ventriculomegaly (21.6%). The MRI findings observed in all 37 cases are exposed in Table 3.
Magnetic resonance imagining results in 37 Cavalier King Charles Spaniel dogs included in the study
| MRI finding | Number of cases affected | |
|---|---|---|
| Cerebellar herniation | 37 | |
| Degree of caudal displacement of the | Grade 1 | 24 |
| cerebellar vermis | Grade 2 | 13 |
| Syringomyelia | Grade 1 | 15 |
| Grade 2 | 22 | |
| Medullary kinking | 33 | |
| Presyrinx | 19 | |
| Ventriculomegaly | 8 |
Due to the fact that CM and SM clinical signs are various and nonspecific, it is very important to perform differential diagnosis with otitis, disc extrusion, spinal trauma or spinal tumors (9). Therefore, these conditions can only be suspected based on the clinical signs, MRI is the gold standard for CM/SM diagnosis (10). Because cervical fluid-filled cavities within the spinal cord are often extend also in to the thoracic segment, it represents a standard procedure to scan the cervical and upper thoracic spinal cord, at least until the level of the third thoracic vertebra (11).
In all cases caudal cerebellar herniation and cervical syrinxes were observed. Magnetic resonance imaging allows precise assessment of cerebellar herniation, syrinx dimensions and locations, and the presence of secondary lesions, such as medullary kinking, presyrinx and ventricular dilation. Besides MRI, other diagnostic methods are describe in the scientific literature, such as computed tomography, radiography and ultrasonography, however these methods present limitations, and it is recommended to perform MRI in order to establish the CM/SM diagnosis. Computed tomography can be used to perform cranial caudal fossa measurements, offering important information (12), and skull radiographs can be used to predict the presence of Chiari-like malformation (13). The ultrasound technique presents major limitations, it can be used for the examination of the spinal cord and caudal fossa (12).
Chiari-like malformation and syringomyelia are complex, progressive neurological disorders, causing severe neuropathic pain, the CM/SM staging is very important for establishing the treatment, management, determining the prognosis and guides the selection of surgical treatment (14).
A 2010 study performed by Lewis et al., affirm that in the Cavalier King Charles Spaniel breed CM and SM appears to be inherited (15). In the CKCS population the estimated prevalence of CM ranges from 92% to 100% (12, 7), therefore the CM/SM staging is very important for the breeding programme, the dogs presenting early onset of SM should be removed from the reproduction (6).