Wolf-Hirschhorn syndrome (WHS) is a 4p deletion syndrome (MIM 194190-Online Mendelian Inheritance in Man - 2023), 4p monosomy, 4p syndrome, with a broad range of clinical manifestations, such as intellectual disability and profound speech disabilities, growth deficiency and the hallmark facies named “Greek warrior helmet facies”. Three authors: Cooper [1], Hirschhorn [2] and Wolf [3] have reported the 4p deletion syndrome between 1961–1965, which became known as Wolf-Hirschhorn syndrome in 1965. The typical facial appearance, intellectual disability, hypotonia, growth delay and seizures, are considered minimal mandatory manifestations for diagnosing the syndrome [4]. Additional features may include: feeding difficulties, orofacial cleft, cardiac, renal and urogenital malformations (hypospadias, cryptorchidism or both), skeletal and dental anomalies, diaphragmatic hernia, omphalocele, hearing loss, recurrent infections and other complications [5,6,7]. In the 16p.3 chromosomal region, the existence of a minimum critical region of 165 Kb was defined as responsible for the characteristic phenotype [8]. The WHSC1 gene is included in the critical region (WHSCR) characteristic for the syndrome and is considered the main candidate gene involved in general development delay, characteristic facial dysmorphism and growth delay. Together with other candidate genes, such as WHSC2 (Wolf-Hirschhorn syndrome candidate 2) and LETM1 (Leucine Zipper And EF-Hand Containing Transmembrane 1), these are all major contributors to the WHS pathogenesis [9,10]. It is well known that the variability of phenotypic manifestations in WHS has been proportionate to the extent of the partial deletion in 4p [11]. In this study, we re-evaluated the case of a male patient with characteristic facial appearance for Wolf-Hirschhorn syndrome. The boy was first examined and diagnosed at 11 months, with follow-up at the ages of 4 and 16.
The male proband at 11 months of age was referred to Genetics for evaluation and testing for growth retardation and hypotonia. Then again, at the age of 4, for assessing the development, walking defects and absence of language, and then, once more at the age of 16.
We do not have any data regarding family history and physical parameters at birth, since he was brought from the orphanage for consultation at 11 months.
Measurements of growth parameters are presented in standard deviations (SD) for the ages when he was examined:
| At 11 months: | G=5700g, T=65cm PC=42cm |
| SD: −3.54 for waist | |
| SD: −4.4 for weight | |
| SD: −3.25 for the cranial perimeter (PC) | |
| At 4 years: | G=12.3kg, T=91cm PC=47cm |
| SD: −2.68 for waist | |
| SD: −2.46 for weight | |
| SD: −2.27 for PC | |
| At 16 years: | G=47kg, T=148cm PC=51 |
| SD: −2.94 for waist | |
| SD: −1.54 for weight | |
| SD: −2.75 for PC |
Characteristically, there is severe delay of postnatal development and microcephaly is present. Postnatal growth and development are far behind for his age.
Clinical features that are frequently associated with WHS, such as high forehead, frontal bossing, high frontal hairline, hypertelorism, high arched eyebrows, a wide nasal bridge, short philtrum, micro-retrognathia, low set years, were present in this case (Figure 1). All these facial features were found upon consultation at the ages of 11 months, 4 years, and 16 years, as can be seen in the patient’s photos (Figure 1).
Skeletal problems present in this case were scoliosis, small hands and feet, brachydactyly, clinodactyly, tapering fingers. There is slight cutaneous syndactyly between the second and third toe (Figure 2). The dermatoglyphic pattern was unusual because the thenar crease was absent and there was a short hypoplastic mid-palmar crease. The fifth finger had a single flexion crease on its volar surface (Figure 3b). X-ray examination of hands at 11 months (Figure 4a) and 16 years (Figure 4b) revealed the relative shortness of tubular bones, especially of distal and middle phalanges.
The child also presented an episode of unprovoked, generalized tonic-clonic seizures at 6 months, which were controlled with anticonvulsants (phenobarbital). EEGs at 4 years of age were normal, in both the awake and drowsy states, and no seizure activity was present. He achieved independent walking by 26 months of age, and during infancy he presented mild hypotonia. He pronounced his first word at the age of 4. At the age of 16, his language is very poor, limited to only six simple words. The adolescent communicates with the family with the help of non-verbal gestures and vocalizations. He can assist with dressing and feeding himself, but otherwise depends on his maternal assistant’s support.
Cognitive abilities were deficient and the Simon–Binnet test determined a severe intellectual disability. On the neurocognitive level, his developmental quotient (IQ) was 21, with the major delay occurring in speech. He could not attend school due to lack of language but followed cognitive stimulation therapies.
Clinical and ultrasound examinations of other organs and systems were normal.
The child has downturned corners of the large mouth and a high-arched palate (Figure 3a).
At 11 months - absence of dental eruption;
At 4 years - the patient had delayed dental eruption, with only 16 teeth;
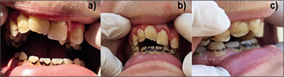
At 16 years - dental examination was extremely difficult due to the mental handicap. Because of poor oral hygiene, multiple caries and residual roots are present, with marbling of the lower frontal incisors. He also presents enamel hypoplasia. The inflammatory periodontal index clearly indicates the presence of gingivitis (Figure 5).
Through correlation with the orthopantomography, the following aspects were highlighted (Figures 5, 6): the right superior central incisor insufficiently erupted, rotated mesially; both incisors with slight palatoversion; transposition between the left lateral incisor and canine. In addition, the patient has an open bite and the median line is deviated to the right. Supplementary, we found agenesis of third inferior molars on the orthopantomography (Figure 6).
On the profile teleradiography, the CS5 stage of maturation of the cervical vertebrae can be observed. CS5 stage is reached at an average age of 14.6 +/− 1.1 years, according to Yan Gua and al [12]. CS5 stage is the penultimate stage of cervical vertebra maturation and the last CS6 stage appears at an average age of 15.6 +/−1 year, according to the same authors. This aspect leads us to the conclusion that skeletal development is delayed, the information being consistent with the information obtained from other studies. The curvature of the cervical vertebrae may suggest hyperkyphosis, but more investigations are needed for confirmation.
Interpretation of teleradiographic analysis reveals the following aspects:
Facial typology. The facial pattern represents the reduced total facial height (total facial angle - reduced).
Mandibular growth. The lower facial floor is reduced. The direction of mandibular growth is with anterior rotation (counterclockwise).
Mandible shape. Mandibular body (horizontal ramus) is short. The posterior vertical dimension is reduced.
Skeletal relationships: Facial depth shows sagittal deficiency (retrognathism) within one standard deviation. The jaw shows a sagittal deficiency (maxillary hypoplasia) within one standard deviation.
Dental report shows the upper molar in the correct sagittal position, open interincisal angle (palatoversion of upper incisors), and lower incisors in infraocclusion, retropositioned in slight lingual eversion.
The cephalometric analysis (Table 1) is important in acknowledging the alterations of the craniofacial features and for evaluating the growth pattern. The analysis can be used to monitor changes over time and for the orthodontics in an eventual treatment. The cephalometric data was analyzed using the Heb.Uni. software program (Table 2).
Cephalometric analysis based on the profile teleradiography
| MEASUREMENT | NORMAL VALUE | VALUE | DIFFERENCE | BIAS | |
|---|---|---|---|---|---|
| Cranial Base Evaluation | |||||
| Cranial deflection O | 27.0 | 26.1 | −0.9 | ||
| Ant. Cranial Length mm | 64.0 | 58.2 | −5.8 | ||
| Post. Cranial Length mm | 43.5 | 32.7 | −10.8 | ||
| Face Typology | |||||
| Total Facial Height O | 60.0 | 46.5 | −13.5 | ••• | |
| Facial Taper O | 68.0 | 72.3 | 4.3 | • | |
| Mandible Growth Direction | |||||
| Facial axis O | 90.0 | 94.8 | 4.8 | • | |
| Lower Facial Height O | 46.0 | 41.7 | −4.3 | • | |
| Mandible Shape | |||||
| Mandibular arc O | 27.2 | 48.2 | 21.0 | ••• | |
| FMA O | 21.5 | 20.2 | −1.3 | ||
| Corpus Axis mm | 77.4 | 59.9 | −17.5 | ••• | |
| Posterior Facial Height mm | 64.0 | 60.8 | −3.2 | • | |
| Skeletal Relations | |||||
| Convexity mm | 0.0 | 0.6 | 0.6 | • | |
| A-N-Ba O | 63.0 | 62.1 | −0.9 | ||
| Maxillary Depth O | 90.0 | 88.3 | −1.7 | ||
| Facial Depth O | 91.7 | 87.6 | −4.1 | • | |
| Dental Condition | |||||
| Upper 6 to PTV mm | 21.0 | 19.6 | −1.4 | ||
| Lower 6 to PTV mm | 24.0 | 14.5 | −9.5 | ••• | |
| Interincisal angle O | 126.0 | 148.6 | 22.6 | •• | |
| Upper 1 to Lips Embrasure mm | N/A | 8.3 | N/A | •• | |
| Lower 1 Extrusion mm | 1.2 | −1.6 | −2.8 | •• | |
| Lower 1 to A-Po mm | 1.0 | −2.7 | −3.7 | • | |
| Lower 1 to A-Po angle O | 22.0 | 20.1 | −1.9 | • | |
| Esthetic | |||||
| Li’/E-line mm | −3.8 | 3.8 | 7.6 | • | |
Retrognathia in Cephalometry Heb.Uni. Analysis
| Descriptor | Meas | Type | Mean | Sd | Patient | Graph | Comment |
|---|---|---|---|---|---|---|---|
| Maxilla To Cranium | |||||||
| SNA | Deg | 82.0 | 2.0 | 83.65 | − ( * )+ | ||
| NA TO F.H. | Deg | 90.0 | 6.0 | 93.4 | − ( * )+ | ||
| Mandible To Cranium | |||||||
| FACIAL ANGLE | FH-N-Pog | Deg | 87.8 | 3.6 | 93.56 | − ( * )+ | Mandible forward to Base |
Conventional cytogenetic analysis was performed at 11 months. The cytogenetic study was carried out using peripheral blood lymphocytes with GTG banding, according to the standard procedures at 550 band resolution, and 30 metaphases were analyzed and karyotyped as per ISCN guidelines (2016). We used an Olympus BX51 fluorescent microscope (Olympus Life Science Europa GmbH, Hamburg, Germany) for the analysis, the Andor iXon3 897 CCD camera and the standard MetaSystems karyotype (MetaSystems GmbH, Altussheim, Germany). Image analysis and karyotyping was performed using the ISIS analysis system (Metasystems, Germany). We found a low rate of cells with abnormal aspect in the sample. This cytogenetic evaluation revealed a mosaic karyotype. Out of the 30 metaphases analyzed, only 2 showed a 4p deletion and 28 normal cells were observed. The karyotype was 46,XY,del (4)(p16.3) [6.6%]/46,XY[93.4%].

Distinctive clinical facial features of the proband: age 11 months (a, b), age 4 years (c, d) age 16 years (e, f).

Clinodactyly of the hands (a) and anomaly of the feet (b)

High-arched palate (a) and abnormal dermatoglyphics (b)

X-ray examination of hands at 11 months (a) and 16 years (b)
The patient was re-evaluated cytogenetically at the age of 4. Additionally, we performed Fluorescent In Situ Hybridization (FISH), using the same microscope and camera as for cytogenetic evaluation. A commercial Wolf-Hirschhorn syndrome probe was used following the manufacturer’s instructions (Vysis, Abbott laboratories, IL). FISH was carried out using Vysis Inc Wolf-Hirschhorn Region Probe LSI WHS Spectrum Orange (4p16.3), CEP 4 Spectrum Green on one slide (Figures 8 a, b).

Transposition between the left lateral incisor and canine (a) open bite (b) enamel hypoplasia and dental caries (c) at 16 years

Orthopantomography at 16 years

Profile Teleradiography (a); Ricketts lateral analysis (b) at 16 years

FISH analysis. FISH finding in chromosome 4 with green signal corresponding to centromere region and red signal corresponding to 4p.16.3 region. The green arrow showed the deletion of chromosome 4 and the red arrow indicated normal chromosome: a) the FISH sample shows chromosomes 4 without deletion; b) FISH test shows 4p monoallelic deletion
Due to the “happy” facial aspect, we performed a differential diagnosis for Williams syndrome with a FISH probe specific Vysis Williams Region Probe (7q11.23 LSI ELN Spectrum Orange and 7q31 D7S486, D7S522 Spectrum Green).
FISH analysis was performed on interphase cells, as well as on metaphase cells from lymphocytes cultured from peripheral blood, using the commercially available probes Vysis Wolf-Hirschhorn Region Probe LSI WHS Spectrum Orange (4p16.3), CEP 4 Spectrum Green on one slide. 200 interphase cells were evaluated on the first slide and a 65% percent mosaic 4p16.3 deletion was revealed with the nuclear in situ hybridization (nuc ish) p16.3(WHSx1)[130]/(WHSx2)[70] (Figure 8 a, b). Also, the FISH analysis ruled out the Williams syndrome.
Wolf–Hirschhorn syndrome is a contiguous gene deletion syndrome caused by haploinsufficiency of the genes encompassed in the 4p16, with a minimal critical region of 165kb [8]. The diagnosis is based on cardinal clinical signs: facial dysmorphia with a highly evocative appearance, growth retardation, hypotonia, intellectual disability, seizures or EEG anomalies. Several patients with chromosome 4p deletions have been described extensively in literature, with more than 300 reported cases worldwide in 2015 [13], but other cases have also been reported so far. The incidence is estimated at 1/20,000–1/50,000 births, with a female predilection of 2:1. The distinctive cranio-facial features that facilitate suspicion of the syndrome are considered as minimum criteria for clinical diagnosis, as well as mild-to-severe mental retardation, hypotonia, growth delay [14]. The syndrome has great clinical and cytogenetic variability. The main clinical features associated with WHS are microcephaly (90%), intellectual disability (75%), low birth weight (77%), short stature (25–66%), muscular hypotonia (90%), skeletal anomalies (60%–70%), seizures (50–85%), congenital heart defects (31–45%), and structural brain malformations (25%) [15,16]. In addition, other manifestations were: hearing loss (25%–50%), ophthalmologic abnormalities such as iris coloboma, microphthalmia and strabismus (25%–50%), and urinary tract abnormalities, such as renal agenesis, oligomeganephronia, bladder exstrophy, cystic renal dysplasia/hypoplasia, and obstructive uropathy), cardiac (25%–50%) and eyelid ptosis can be seen in about 50% [13,14]. Intellectual disability of variable degrees, as well as intellectual impairment, were noted in most of the published cases. Intelligence ranged from moderately-to-severely impaired [13, 16]. Most of the above-mentioned clinical features were also seen in this case. Recent reports have made comprehensive contributions to the Wolf-Hirschhorn syndrome phenotype [13, 17, 18].
This case also has distinctive face features including high forehead, hypertelorism, broad nose, smaller lower part of the face, retrognathism, short philtrum with downturned mouth.
Studies that used a 4p tiling BAC array CGH on 21 patients with WHS established that a portion of the telomere, measuring 1.8 to 3 Mb, is the critical region for the characteristic facial features for the syndrome [7]. Concerning the facial dysmorphia correlated with the patient’s age, data from literature is contradictory. While some reports in the literature specify that facial phenotype is more nonspecific with age [14, 18, 19, 20], other reports find that in adults the phenotype is similar to the one in children [21, 22].
There are studies claiming that dental manifestations such as delayed tooth eruption, bruxism, dental agenesis, especially oligodontia and micrognathia, cone-shaped teeth, enamel hypoplasia, worn teeth, dental attrition and discoloration of permanent dentition, as well as congenital taurodontism in the primary dentition, spacing, and over-retained misshapen primary molars, are the manifestations with variable expression in the clinical picture of the syndrome, possibly due to the extent and the specific locus of the chromosomal deletion [14, 23, 24, 25]. This patient presents some of these dental characteristics, such as delayed tooth eruption, bruxism, enamel hypoplasia, dental agenesis. Data from literature concluded that, in oligodontia, the main MSX1 gene placed at 4.9Mb of telomere [26, 27, 9], and other genes located outside the critical region, can be involved in this anomaly [25] because oligodontia has also been found in patients with deletions smaller than 2.7 Mb [7,25].
A study from Romania describes 7 cases of Wolf-Hirschhorn syndrome with variable manifestations in phenotype, which were confirmed by genetic analyses: karyotype and/or Multiplex ligation-dependent probe amplification (MLPA) [28]. The dentition aspects were present in only 3 cases. Trying to establish a correlation between the extent of deletion and dental anomalies, it results from the above-mentioned report that a more severe anodontia occurs with a greater deletion, just as the study of Limeres et al [25] mentions, that the minimal region associated with oligodontia in their cohort is in the interval of 2.3–5.5 Mb.
Regarding the cephalometric analysis, based on the measurement of various soft tissues and dento-skeletal landmarks, in order to assess the facial proportions and establish the growth pattern, we did not find any references in literature.
Severe speech delay is the outstanding clinical symptom in this case, also observed in the other reports [29]. It is cited that intellect is deficient, and speech is usually limited, or even absent, and communication is only reserved for simple tasks [30, 31]. A study on patients, aged 4–17 years, has found that cognitive impairment can be mild to severe, with an average IQ = 44.1 [29]. Our case was assessed with IQ = 21, i.e., severe intellectual disability. Since it was not possible to communicate with the boy, it is possible that the declining IQ score resulted from the absence of language.
The study of Fisch et al. [32] compared the cognitive appearance between a group of 19 children with WHS and a control group of 26 children with other subtelomeric deletions −11q25 Jacobsen syndrome, 2q37 deletion and deletion/duplication due to inversion 8p21–23. The conclusion was that mental retardation is much more severe in patients with WHS, compared to the control group. As for social skills, they are better in patients with WHS, as in our case [32].
If a correlation was found for some of the cases, the literature also presented atypical situations regarding the genotype-phenotype relationship [5,33].
Regarding the relationship between the LETM1 (Leucine Zipper And EF-Hand Containing Transmembrane 1) gene and seizures, the literature data is contradictory. In a study, 6 out of 8 subjects with 4p terminal deletions that keep the LETM1 gene have had convulsions, whereas other 7 cases with interstitial deletion, including the LETM1 gene, did not present convulsions [28]. As for seizures, our patient presented these manifestations in only one episode at the age of 6 months. However, the literature mentions that seizures tend to disappear with age [15].
The cases of WHS syndrome with cytogenetic mosaic aspect were rare and the authors underlined that the patient phenotype had only a few manifestations [34, 35, 36, 37]. This case with 4p deletion in mosaic has a more complex clinical aspect compared to literature reports. The deletion is in general telomeric but may be interstitial in the 4p chromosome. It has been suggested that the clinical phenotype is correlated with the amount of deletion and can be grouped into 3 major subgroups correlated with the severity: mild form, where the deletion is <3.5 Mb, associated with minimal manifestations (mild intellectual disability, possible fluent language, and usually independent walking by the age of 2–3 years;); medium, the phenotype described as “classical”, with a deletion between 5 and 18 Mb, characterized by specific facial phenotype, severe intellectual disability, delay or absence of speech, late walking, malformations; and the severe form, where the deletion is over 22 Mb, with very severe intellectual delay, facial anomalies, severe scoliosis, psychotic behavior, and multiple anomalies [11].
Other syndromes with similar aspects that involve growth retardation, intellectual disability and facial dysmorphism are Williams, Cris Du Chat, or Angelman syndrome. We made the differential diagnosis with the Williams syndrome based on the happy face and good social behavior, which was infirmed through the FISH analysis. The Cris Du Chat syndrome can also have overlapping features with WHS, such as poor growth, intellectual deficit and microcephaly, but the hallmarks of this syndrome are distinctive facial features and a high-pitched, shrill cry [38]. During teenage years it could be confused with Angelman syndrome, due to severe speech impairment, but Angelman presents specific movement and balance problems (ataxia) [39].
One limitation of the study was that there are no molecular genetic investigations of this case, which are important in their own way, as some genes of the microdeletion in the short arm of chromosome 4 have been associated with specific features that define certain aspects of the Wolf Hirschhorn phenotype. Surely, an Array GH analysis would have precisely indicated the size of microdeletion in the 4p chromosome with haploinsufficiency of genes in this region, thus detecting the genotype–phenotype correlation in the syndrome, but the Array GH analysis fails to detect the state of chromosomal mosaicism.
This report contributes to the clinical spectrum of Wolf-Hirschhorn syndrome, from infant to young teenager, including severe growth retardation, absence of speech and friendly behavior, corresponding to the specific cytogenetic anomalies. Concerning the particularities in this case with a complex clinical aspect, from a cytogenetic point of view, the karyotype had the cytogenetic formula in mosaic, which has rarely been reported in literature. The severity of the symptoms in mosaic Wolf-Hirschhorn may depend on the amount of deletion, but more research is needed.
Moreover, this article presents, for the first time in literature, the aspects of cephalometric analysis in a patient with Wolf-Hirschhorn syndrome. Further studies are necessary in order to clarify the pattern of craniofacial development. In patients with Wolf-Hirschhorn syndrome, cephalometric analysis can provide valuable information about their craniofacial characteristics, which can be useful in diagnosis, treatment planning and monitoring of the condition over time.