Have a personal or library account? Click to login
The utility of whole exome sequencing in diagnosing pediatric neurological disorders Cover

The utility of whole exome sequencing in diagnosing pediatric neurological disorders

By: OY Muthaffar  
Open Access
|Mar 2021

Figures & Tables

Figure 1

Parents of a child with an inherited PNPO gene mutation. They are cousins and both are heterozygous. A) Mother; B) father.
Parents of a child with an inherited PNPO gene mutation. They are cousins and both are heterozygous. A) Mother; B) father.

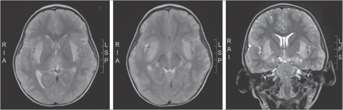
Figure 2

Brain MRI in a child with acute necrotizing encephalopathy and a positive RANBP2 gene mutation. Brain MRI showing increased T2 hyperintensity of basal ganglia (A, B, and C).
Brain MRI in a child with acute necrotizing encephalopathy and a positive RANBP2 gene mutation. Brain MRI showing increased T2 hyperintensity of basal ganglia (A, B, and C).

Homozyogous, heterozygous and variants of uncertain significance VUS groups_

Homozygous Mutations
#Sex-AgeFamily HistoryConsanguinityClinical CharacteristicsOnsetGenesVariantDiagnoses
1F-6yesyesmotor delay; hypotonia; scoliosis; respiratory difficulties in neonatal period; normal congnitions, areflexia1 yearP1EZO2pathogenic: c.273_279del, p.(Pro92Thrfs*18)piezo-type mechanosensitive ion channel component; OMIM: 613629
2M-1noyessevere hypotonia; reduced tendon reflexes; motor/speech delay; cerebellar atrophy; cerebellar cyst; elevated serum CPKbirthFKRPlikely pathogenic: c.204del, p.(Ser69Profs*60)MDDGA5 (congenital with brain/eye anomalies), type A5 (MDDGA5); OMIM: 613153
3M-2noyesvision loss; nystagmus; severe retinal dysfunction2 monthsRPGRIP1pathogenic: c.1107del, p.(Glu370Asnfs*5)Leber congenital amaurosis type 6, OMIM: 613826
4M-7noyesintractable epilepsy; global developmental delay; poor vision3 yearsTPP1pathogenic: c.616C>T, p.(Arg206Cys)neuronal ceroid lipofuscinosis type 2, OMIM: 204500
5M-8noyespoor hearing; encephalopathy; MRI: white matter changes4 yearsBTDpathogenic: c.1618C>T, p.(Arg540Cys)biotinidase deficiency
6M-6yesyesataxia; delayed motor milestones; mild intellectual delay; MRI: cerebellar atrophy1 yearSPTBN2likely pathogenic: c.6258_6261delGAGA, p.(Lys2088Glyfs*228)infantile-onset spinocerebellar ataxia type 5
7F-8yesyesataxia; delayed motor milestones; mild intellectual delay; MRI: cerebellar atrophy1 yearSPTBN2likely pathogenic: c.6258_6261delGAGA, p.(Lys2088Glyfs*228)infantile-onset spinocerebellar ataxia type 5
8M-9yesyesataxia; oculomotor apraxia; telangiectasia; MRI: cerebellar atrophy3 yearsATMlikely pathogenic: c.9066del, p.(Gly3023Alafs*10)ataxia telangiectasis
Heterozygous Mutations
9F-7nonodelayed language/motor development; intellectual disability; hypotonia; generalized seizures; infantile spasms; visual impairment; normal MRI; normal metabolic profile1 yearNTRK2pathogenic: c.1301A>G, p.(Tyr434Cys)early infantile epilectic encephalopathy type 58, OMIM: 617830
10M-3yesnoacute necrotizing encephalopathy; generalized seizures; spasticity; coma and death; brain MRI: symmetric thalamic hyperintense lesions3 yearsRANBP2pathogenic: c.1754C>T, p.(Thr585Met)acute infection-induced encephalopathy-type 3, OMIM: 608033
11M-4nonodevelopmental delay; neonatal hypotonia; autistic-like behavior; epilepsy1 yearSHANK3likely pathogenic: c.2313+1G>APhelan-McDermid syndrome, OMIM: 606232
12M-9nonoataxia; ADHD; delayed speech/ language development; motor delay; hypotonia; normal EEG and brain MRI2 yearsKAT6Alikely pathogenic: c.1483-1G>Amental retardation type 32, OMIM: 616268
13M-1nonointractable neonatal seizures; normal brain MRI1 monthPACS2pathogenic: c.625G>A, p.(Glu209Lys)early infantile epileptic encephalopathy type 66, OMIM: 618067
14F-4noyesintractable focal seizures; normal brain MRI3 monthsSCN1Alikely pathogenic: c.1377G>C, p.(Gln459His)early infantile epileptic encephalopathy type 6 (Dravet syndrom), OMIM: 607208
Variant(s) of Uncertain Significance
15M-6noyesMCA stroke; dystonia; spasticity; regression of milestones; delayed language/ motor development; focal seizures and abnormal brain myelination on MRI4 yearsITGA7 ARc.1601C>T, p.(Ala534Val)congenital muscular dystrophy/hypotonia, OMIM: 613204
16F-5noyesataxia; frequent falls; macrocephaly, epilepsy and ADHD; MRI: megalencephalic leukoencephalopathy with subcortical cysts2 yearsMLC1 ARc.275C>A, p.(Pro92His)megalencephalic leukoencephalopathy with subcortical cysts type 1, OMIM: 604004
17M-3noyesdelayed speech/language development; dyskinesia; dystonia; infantile onset of the disease; paroxysmal dystonia; MRI: brain atrophy2 yearsSLC6A3 ARc.851G>A, p.(Gly284Glu)infantile Parkinsonism dystonia type 1, DTDS, PMID: 21777827
18M-1yesyesintractable infantile spasms3 monthsPNPO ARc.256T>C, p.(Cys86Arg)PNPO, OMIM: 603287
19F-6yesyesataxia and oculomotor apraxia; brain MRI: molar tooth sign2 yearsCC2D2A ARc.916_927del, p.(Pro306_Leu309del)Joubert syndrome type 9, OMIM: 612285
20M-2noyesfair hair; global developmental delay; hearing impairment; infantile onset of the disease; motor delay; muscular hypotonia; visual impairment; focal epilepsy; MRI: brain atrophy3 monthsSPATA5 AR and TIMMDC1ac.1058A>T, p.(Asp353Val) and c.230T>C, p.Ile77Thr)EHLMRS, OMIM: 616577 mitochondrial complex I deficiency, OMIM: 618251

Cohort demographics: WES positive and negative_

Positive n (%)Negative n (%)
Males145
Females61
Total20 (77.0)a6 (23.0)
Age (mean)4.9 years4.5 years
Consanguinity14 (53.0)4 (15.0)

Whole exome sequencing negative group_

#Sex-AgeFamily HistoryConsanguinityClinical CharacteristicsOnset
1F-1noyesepilepsy and developmental delay; brain MRI: normal4 months
2M-7noyesepilepsy and developmental delay; brain MRI: normal2 years
3M-2nonointractable epilepsy; poor vision and global developmental delay; brain MRI: normal1 year
4M-12noyesglobal developmental delay; brain MRI: basal ganglia enhancement; metabolic work-up: negative6 years
5M-4yesyesintractable focal epilepsy and ADHD1 year
6M-2noyesmicrocephaly; motor delay; brain MRI: white matter changes6 months

American College of Medical Genetics and Genomics (ACMG) classification of variants [17]_

Class 1Pathogenic
Class 2Likely pathogenic
Class 3Variant of uncertain significance (VUS)
Class 4Likely benign
Class 5Benign
Language: English
Page range: 17 - 24
Published on: Mar 23, 2021
In partnership with: Paradigm Publishing Services
Publication frequency: 2 issues per year

© 2021 OY Muthaffar, published by Macedonian Academy of Sciences and Arts
This work is licensed under the Creative Commons Attribution-NonCommercial-NoDerivatives 3.0 License.