Tooth fusion is extremely uncommon. Large surveys place its prevalence between 0.5% and 2.5% in the primary dentition and approximately 0.1%o in the permanent dentition, with reports involving a mandibular lateral incisor-canine pair being particularly scarce.1,2 Although fusion of a mandibular lateral incisor and canine represents the most frequent pattern in the primary dentition, the same combination in the permanent dentition is almost anecdotal and only isolated cases have been reported.3
The pathogenesis of tooth fusion remains speculative. Experimental and clinical observations have suggested that physical pressure or trauma between adjacent tooth germs may lead to necrosis of the intervening epithelium and subsequent union of the developing organs.4 Molecular studies have implicated genetic pathways such as Jagged2-mediated Notch signalling in aberrant cusp morphogenesis and tooth germ fusion, which underscores a possible hereditary contribution4. Multifactorial models also cite environmental insults, nutritional deficiencies and prenatal exposure to teratogens, while fusion has been described in syndromic contexts, including certain skeletal dysplasias such as achondroplasia.5
Tooth fusion frequently carries significant clinical sequelae. The wide developmental groove between the united crowns is notoriously plaque retentive, which predisposes the tooth to caries and localised periodontal breakdown, while the enlarged crown often disrupts arch length and tooth position, thereby generating crowding, midline deviation, or impaction of the successor tooth.6 Aesthetic disharmony and altered occlusal function further motivate intervention, and several authors have advocated timely management to avert progressive complications and minimise complex restorative needs.7
Unilateral maxillary fusion has previously been managed by tooth hemisection followed by limited orthodontic alignment, whereas a fully comprehensive orthodontic approach for bilateral maxillary fused incisors has been documented only once.8–10 Appliance therapy has similarly been reported for a geminated mandibular lateral incisor, however, because gemination preserves the full mandibular tooth complement, the case lacked the arch-length discrepancy and co-ordination challenges typical of mandibular tooth fusion.11 No larger case series or evidence-based protocols are available, especially for permanent mandibular canine-lateral incisor fusion. Therefore, the present report seeks to expand the literature by documenting the diagnosis and comprehensive orthodontic management of a patient with bilateral mandibular canine-lateral incisor fusion.
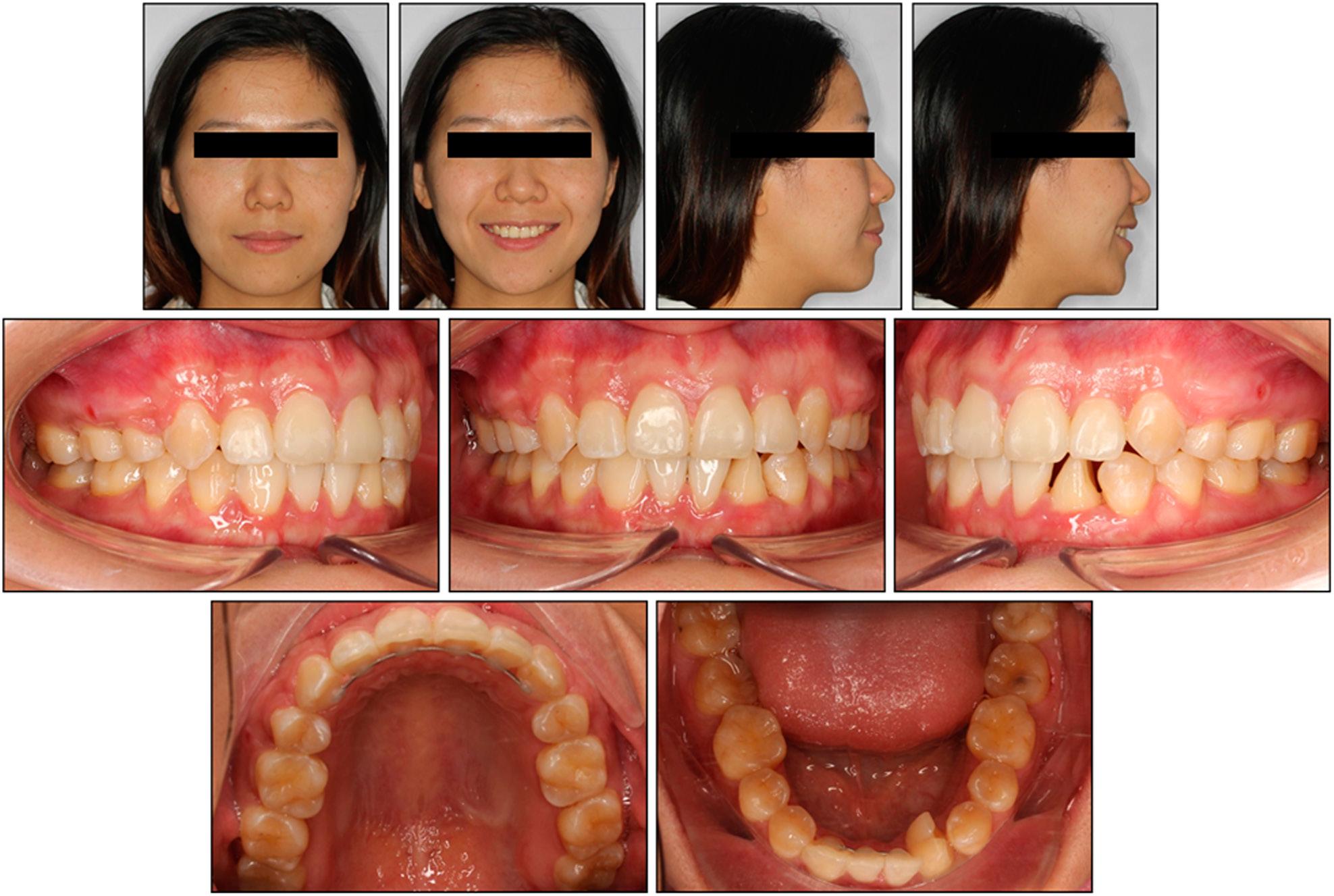
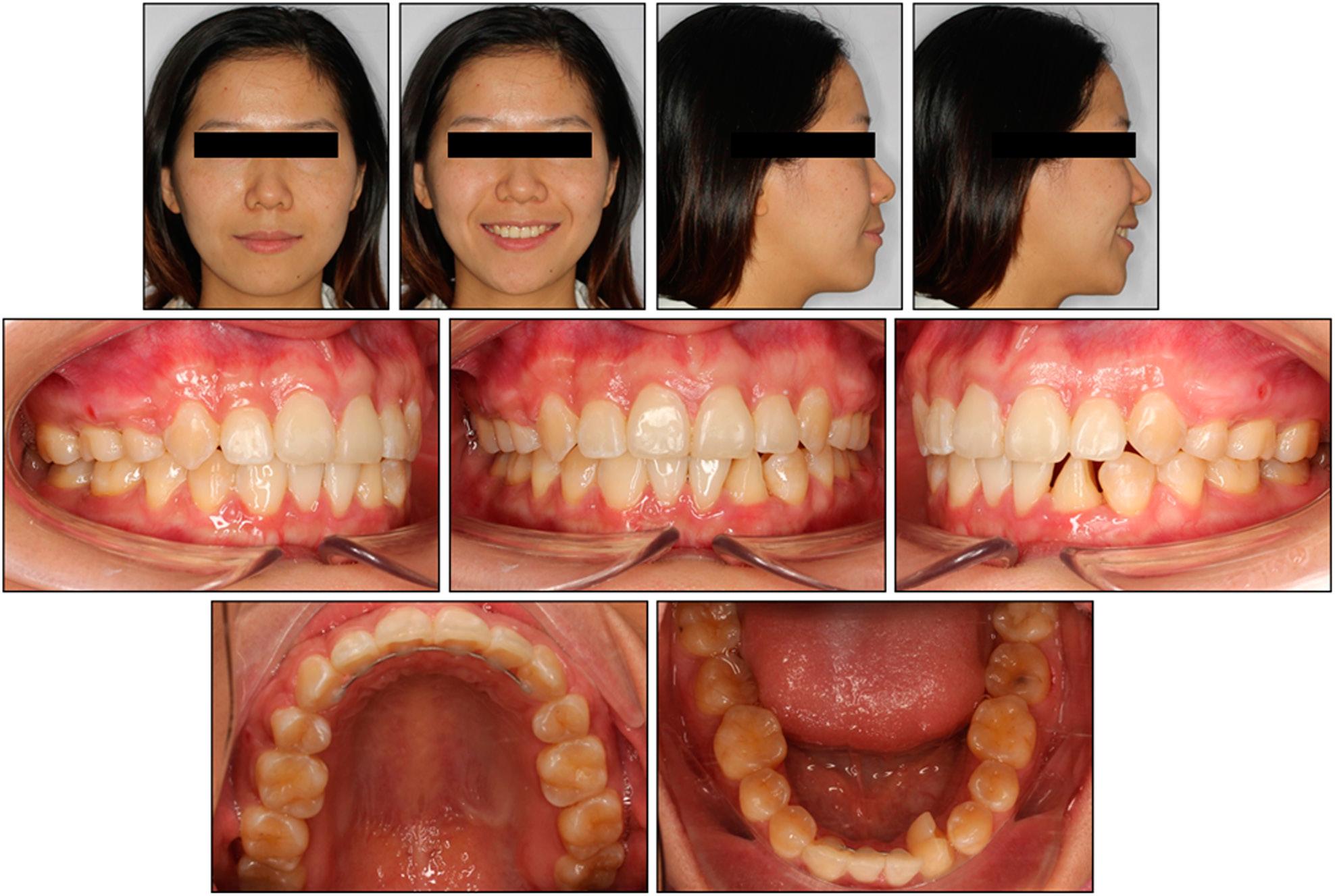
A 27-year-old female presented for orthodontic treatment complaining of crowded upper anterior teeth. Her medical history was unremarkable and she had not undergone any previous dental procedures. An extra-oral examination showed a vertically long lower facial third, an average smile line, and a convex profile (Figure 1). Facial symmetry and temporomandibular joint function were normal.

Initial extra- and intra-oral clinical photographs.
An intra-oral inspection revealed severe maxillary crowding with a 10.8 mm arch-length deficiency (Figure 2). The mandibular arch displayed mild crowding of 2.8 mm, and only four anterior teeth were present. On the left side, an enlarged bifid crown with a pronounced developmental groove was noted, suggesting incomplete fusion of the lateral incisor and canine. On the right side, a single, bulky crown larger than a normal canine and lacking any separation suggested complete fusion of the same tooth pair. Angle molar relationships were Class I bilaterally, and the fused “canine” units also occluded in Class I relationships. The maxillary dental midline co-incided with the facial midline, whereas the mandibular midline deviated 2 mm to the patient’s right.

Pretreatment maxillary and mandibular study models.
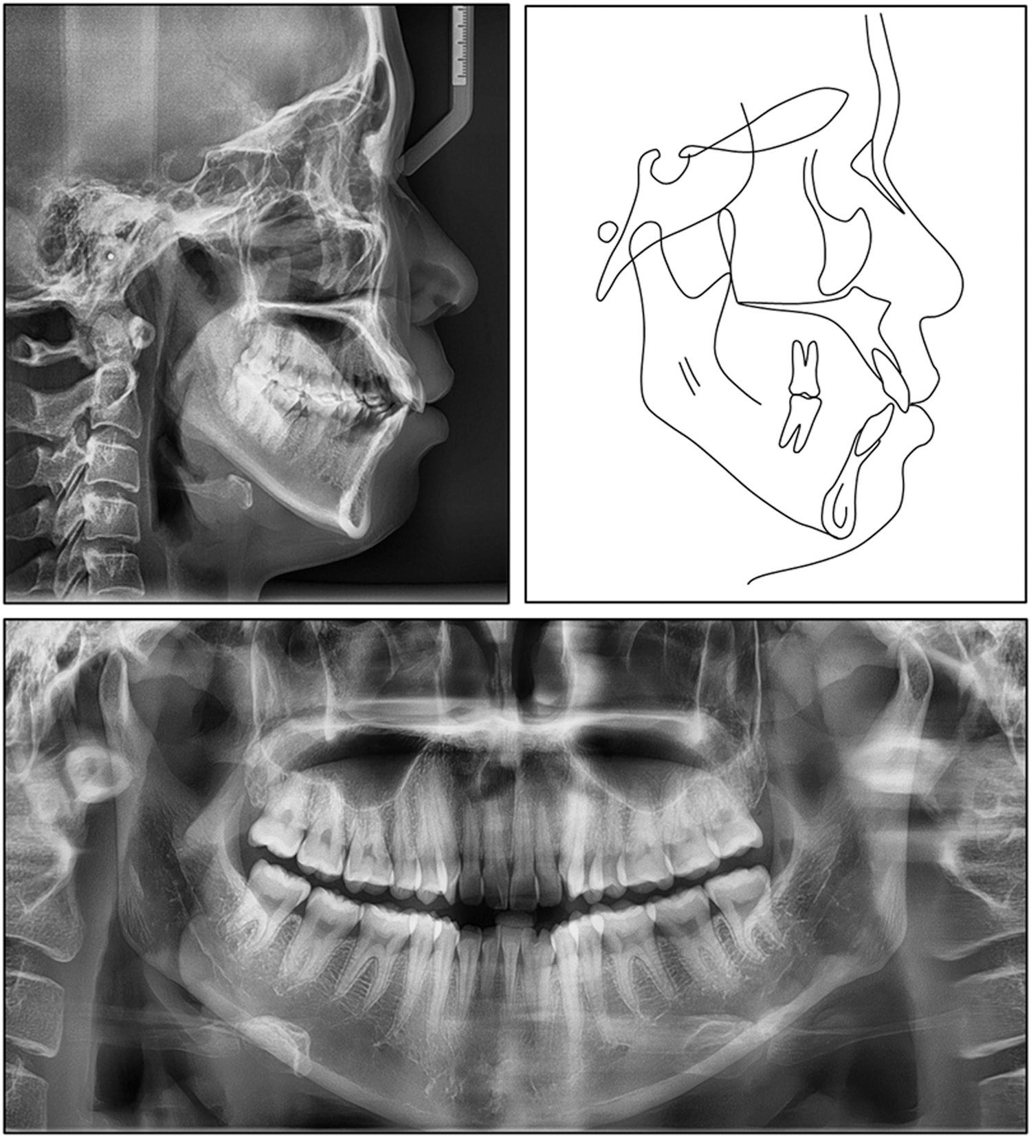
A pretreatment panoramic radiograph confirmed the presence of 30 permanent teeth with normal alveolar bone levels (Figure 3). On the left side, the fused mandibular lateral incisor-canine complex displayed two separate pulp chambers converging into a single root canal, whereas on the right, the corresponding fused tooth exhibited a single pulp chamber and a single root canal.

Pretreatment lateral cephalogram, panoramic radiograph, and tracing.
The lateral cephalogram showed a mild skeletal Class II pattern (SNA, 83.5°; SNB, 79.2°; ANB, 4.4°) with a vertical growth tendency (FMA, 33.9°; Björk sum, 402.5°; gonial angle, 129.1°) (Table I). The sagittal jaw disharmony was minimal (Wits appraisal, -0.2 mm; Pog-to-N perpendicular, -4.5 mm), and the maxilla was positioned slightly anterior to the cranial base (A-N perpendicular, +2.2 mm). The maxillary incisors were proclined and prominent (U1-SN, 106.9°; U1-NA, 23.3°, 7.0 mm), while the mandibular incisors were normally inclined (IMPA, 89.9°; L1-NB, 31.5°, 9.3 mm), generating an interincisal angle of 120.8°. The occlusal plane was steep (cant 8.5°). The overjet was 4.2 mm and overbite 2.6 mm. A soft-tissue analysis confirmed a slightly convex profile with the upper and lower lips 1.4 mm and 2.3 mm, respectively, anterior to the E-plane, while the nasolabial angle measured 86.5°.
Cephalometric measurements: pretreatment and post-treatment values compared with population norms
| Measurement | Pretreatment | Post-treatment | Normal |
|---|---|---|---|
| Skeletal | |||
| SNA (°) | 83.52 | 83.02 | 81.08 ± 3.7 |
| ANB (°) | 4.36 | 4.04 | 2.46 ± 1.8 |
| SNB (°) | 79.16 | 78.97 | 79.17 ± 3.8 |
| Wits appraisal (mm) | –0.17 | 0.21 | –0.33 ± 2.7 |
| Pog to N-Perp (°) | –4.46 | –6.05 | –1.8 ± 2.5 |
| A to N-Perp (°) | 2.15 | 1.27 | 0.4 ± 2.3 |
| Gonial angle (°) | 129.07 | 129.21 | 124.31 ± 5.4 |
| FMA (°) | 33.86 | 33.77 | 25 ± 4 |
| Bjork sum (°) | 402.49 | 402 | 397.16 ± 3.6 |
| Dental | |||
| Cant of occlusal plane (°) | 8.51 | 8.21 | 9.3 ± 3.8 |
| Upper incisal display (mm) | 4.27 | 1.72 | 2.5 ± 1.5 |
| L1 to NB (°) | 31.49 | 25.33 | 25 ± 5 |
| L1 to NB (mm) | 9.31 | 6.17 | 4 ± 2 |
| U1 to NA (°) | 23.35 | 15.87 | 22 ± 5 |
| U1 to NA (mm) | 6.98 | 3.29 | 4 ± 3 |
| Interincisal angle (°) | 120.8 | 134.75 | 128 ± 5.3 |
| IMPA (°) | 89.85 | 84.35 | 90 ± 3.5 |
| U1 to SN (°) | 106.87 | 98.89 | 105.28 ± 6.6 |
| Overbite (mm) | 2.62 | 2.26 | 2 ± 2 |
| Overjet (mm) | 4.2 | 3.02 | 2 ± 2 |
| Soft-tissue | |||
| Nasolabial angle (°) | 86.45 | 101.58 | 95 ± 5 |
| Upper lip to E-plane (mm) | 1.44 | –2.03 | 0 ± 2 |
| Lower lip to E-plane (mm) | 2.29 | –0.71 | 0 ± 2 |
A, point A; ANB, angle between N–A and N–B; E-plane, esthetic plane (Prn-Pog’); FMA, Frankfort-mandibular plane angle; IMPA, incisor-mandibular plane angle; L1, mandibular central incisor; NA, nasion-point A; NB, nasion-point B lines; N-Perp, line perpendicular to nasion; Pog, pogonion; SN, Sella–Nasion plane; SNA, angle between S–N and N–A; SNB, angle between S–N and N–B; U1, maxillary central incisor.
The case was diagnosed as bilateral fusion of the mandibular lateral incisor-canine units, complete on the right and incomplete on the left, severe maxillary crowding, mild mandibular crowding, and a mild skeletal Class II pattern with a vertical growth tendency.
The primary goals were to alleviate the severe maxillary crowding and the mild mandibular crowding, while preserving the existing Class I molar and canine relationships. Adequate space needed to be created to align the maxillary incisors, reduce the proclination, and achieve ideal overjet and overbite without further increasing lower facial height. In the mandibular arch, crowding would be relieved and the midline shifted 2 mm to the left to co-incide with the maxillary and facial midlines. A further objective was to rationalise the morphology of the fused mandibular lateral-incisor-canine units, maintaining pulp vitality and periodontal health, so that harmonious tooth size, form, and occlusal contacts could be attained. Throughout treatment, vertical control and soft-tissue balance were to be maintained, temporomandibular joint function protected, root parallelism achieved, and a stable, aesthetically pleasing occlusion established for long-term retention.
Several treatment strategies were presented and discussed with the patient. A non-extraction approach relying on extensive interproximal enamel reduction in the maxillary arch was initially considered to harmonise the Bolton ratio. Although this would preserve all teeth, the 10.8-mm maxillary deficiency made it unlikely that adequate space could be created without further proclining the upper incisors and accentuating the already convex profile.
Secondly, the extraction of one of the fused mandibular lateral-incisor-canine units along with both maxillary first premolars was proposed. Finishing with only three lower incisors and substituting the mandibular first premolars for canines would create generous space to align the upper arch without flaring the incisors. However, the removal of a lower anterior tooth would exaggerate the Bolton disproportion and, coupled with a three-incisor occlusion, would tend to produce a full-cusp Class II molar relationship. The surplus space could also cause the remaining lower incisors, initially of normal inclination, to retract and become retroclined.
Thirdly, the extraction of the two maxillary first premolars alone was explored, along with mesiodistal reduction of the enlarged fused teeth to correct the Bolton excess and again use the mandibular first premolars as canine substitutes. While this preserved both fused units, the amount of reduction required to normalise their width was so great that dentine exposure, or even pulpal involvement, was a significant risk.
Fourthly, a further plan was to maintain five lower anterior teeth (no canine substitution) and extract the maxillary second premolars, combined with selective maxillary interproximal reduction to harmonise with the five-tooth lower anterior segment. This plan would likely finish in a full-cusp Class II molar relationship, leave the mandibular midline non-coincident, and would not permit the lower incisor retraction necessary to improve the convex profile and lower-lip protrusion.
Finally, a modification of the third plan was devised. Both maxillary first premolars would be extracted, the right fused tooth would be conservatively slenderised, and the left fused tooth would be rotated 90° to present its narrower dimension to the arch. Any residual aesthetic disharmony would later be corrected with minimally invasive laminate veneers. This option avoided additional extractions, limited enamel reduction to a safe level, maintained the Class I molar relationship, and prevented further upper incisor protrusion. The 90° rotation also created space in the mandibular left quadrant, enabling a leftward shift of the lower dental midline.
Because the patient wished to minimise extractions yet did not want her facial convexity increased, the fourth treatment alternative was accepted.
Fixed 0.018 x 0.022-inch self-ligating appliances (Smartline, Medico, Korea) were bonded to both arches at the start of treatment, and 0.014-inch NiTi wires were placed for initial alignment. Over the next two months, progressive arch wire sequencing (up to 0.016 × 0.022-inch NiTi) was used to achieve levelling and alignment.
By the fourth month, space closure mechanics were initiated in the maxillary arch using 0.016 × 0.022-inch stainless-steel wires in conjunction with two Hi-Fix mini-screws (1.4 × 8 mm; Medico, Gyeonggido, Korea) placed between the maxillary second premolars and first molars. The mandibular arch, in which alignment progressed more slowly due to the rotation of the fused unit, remained on lighter NiTi wires until the seventh month. At that point, both arches were engaged with rectangular stainless-steel working wires (0.018 × 0.025-inch in the maxilla and 0.019 × 0.025-inch in the mandible), providing control for space closure and torque.
The rotational correction of the left fused mandibular tooth was achieved in stages. Initially, a button and elastic chain were applied to derotate and expose the distal proximal surface, followed by bracket bonding onto that aspect to guide the crown into proper alignment using standard arch wires. Space redistribution and anterior alignment in the mandible were assisted by interproximal enamel reduction, particularly in the anterior region.
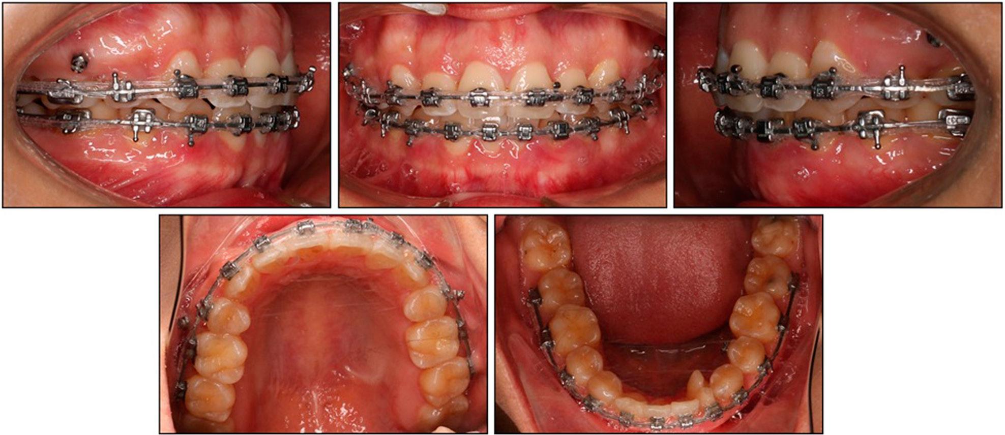
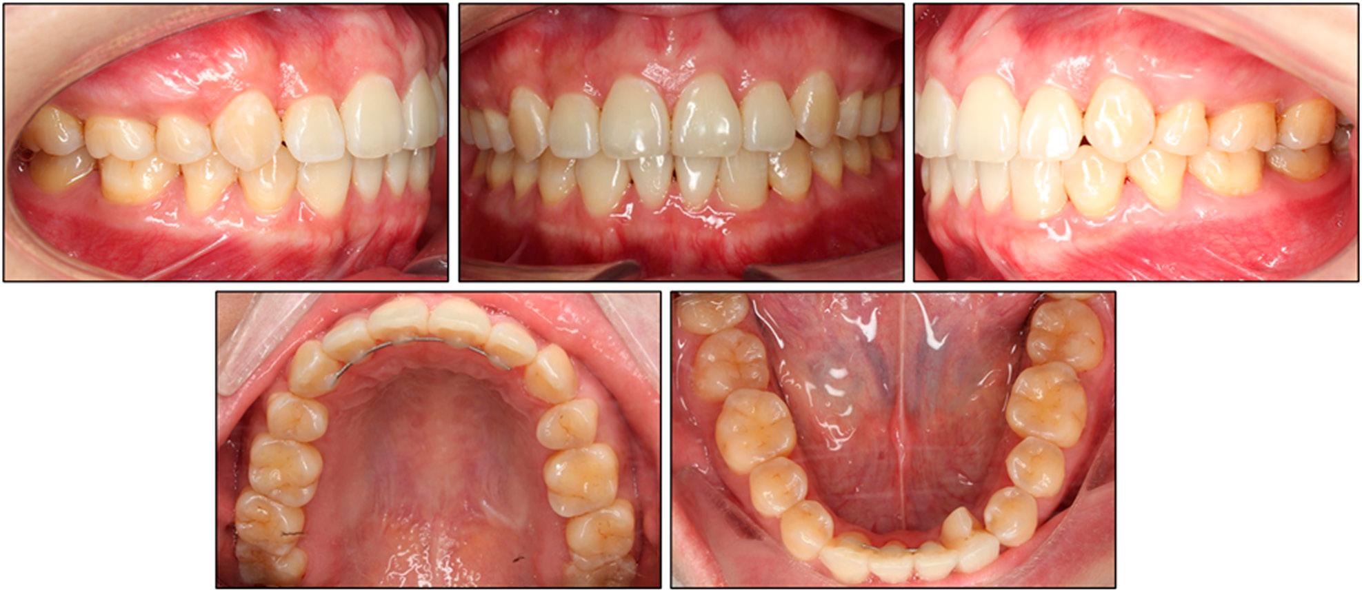
During the second year of treatment, heavier rectangular wires (0.021 × 0.025-inch NiTi and stainless steel) were introduced for final detailing and torque control. In the finishing stage, vertical elastics were applied to settle the occlusion. Plans for future laminate veneers were co-ordinated during this phase, and the space between the left fused unit and adjacent teeth was managed to accommodate this restorative procedure (Figure 4).

Clinical photographs after 13 months of treatment.
Active appliances were removed after 25 months. Lingual bonded retainers were placed in both arches and impressions taken for removable retainers and laminate veneer fabrication.12,13
The patient concluded treatment with a balanced facial appearance and a consonant smile arc (Figure 5). A soft-tissue analysis of the post-treatment cephalogram showed that both lips were now posterior to the E-plane (upper lip, -2.0 mm, lower lip, -0.7 mm) and the nasolabial angle had widened from 86.5° to 101.6°, producing a noticeably flatter profile. The incisal display at rest settled at approximately 1.7 mm, giving a natural smile line without gingival excess.

Post-treatment extra- and intra-oral clinical photographs.
Intra-orally, a stable bilateral Angle Class I molar and functional “canine” relationship was achieved (Figure 6). The mandibular dental midline was successfully moved to the left to co-incide with the maxillary and facial midlines. Overjet finished at 2.6 mm and overbite at 2.3 mm, both of which were within normal limits, and the severe maxillary crowding was resolved. The rotated left fused tooth aligned harmoniously with its neighbours, and the arch forms were well co-ordinated.

Post-treatment maxillary and mandibular study models.
A cephalometric evaluation confirmed that the skeletal base remained essentially unchanged (SNA 83.0°, SNB 79.0°, ANB 4.0°), while vertical control was preserved (FMA 33.8°). Dentally, the maxillary incisors were uprighted by almost 8° (U1-SN, 98.9°) and retracted 3.7 mm relative to NA; the mandibular incisors were tipped lingually by 5.5° (IMPA, 84.4°), increasing the inter-incisal angle from 120.8° to 134.8°. These movements accounted for the reduction in lip prominence and the improvement in smile aesthetics (Figure 7).

Post-treatment lateral cephalogram, panoramic radiograph, and tracing.
The panoramic radiograph revealed parallel roots, intact apices and maintenance of marginal bone levels around all teeth, including the fused mandibular units. Cephalometric superimpositions demonstrated moderate anchorage loss in the maxilla, evident as slight mesial migration of the first molars, while the maxillary incisors exhibited controlled lingual tipping (Figure 8). In the mandible, the remaining incisors also showed controlled tipping and a mild lingual inclination, which complemented the planned midline correction. Soft-tissue superimposition confirmed posterior lip displacement and a more harmonious chin-lip-nose relationship.

Superimposed pretreatment and post-treatment cephalometric tracings.
Collectively, these findings indicated that every treatment objective was met, with facial balance improved, lip protrusion reduced, and the incisal display optimised. A Class I occlusion with co-incident midlines and normal overbite and overjet was attained, the crowding was eliminated, the tooth roots remained within healthy bone, and the overall result was functionally stable and aesthetically pleasing. The patient was reviewed periodically, and at the follow-up visit three years later, occlusal stability and soft-tissue health were well maintained (Figure 9). Across the active phase and throughout retention, no lingual mucosal trauma, ulceration, speech, and swallowing discomfort attributable to the rotated fused tooth was reported by the patient nor observed clinically.

Three-year retention intra-oral photographs.
Although tooth fusion is uncommon, particularly the permanent mandibular canine-lateral incisor variant, its current presentation raised challenges distinct from those reported for geminated mandibular incisors.11 The present fusion produced lower-arch asymmetry and severe maxillary crowding, whereas gemination retains the full tooth complement and therefore lacks these co-ordination problems.
The present case involved an unusual combination of dental anomalies with bilaterally fused mandibular canine–lateral-incisor units, noted as complete on the right and incomplete on the left. All treatment objectives were achieved. The management was distinctive because it combined a controlled 90° rotation of the fused mandibular unit with selective extraction of both maxillary first premolars while preserving a bilateral Class I molar relationship and accurately re-aligning the lower dental midline.
A careful comparison of the four treatment strategies showed that removing the two maxillary first premolars while rotating the left fused mandibular crown by ninety degrees offered the most solid compromise for midline harmony, occlusal stability, enamel preservation and maintenance of the existing Class I relationships. A pure alignment plan with extensive interproximal reduction could not deliver the required ten-millimetre space without further proclining the already prominent maxillary incisors, which is a change linked to periodontal relapse and lip protrusion.14,15 Extracting one fused mandibular unit together with the premolars risked exaggerating the Bolton discrepancy, converting the arches toward a full-cusp Class II relationship and leaving a three-incisor anterior segment that may affect occlusal interdigitation.16,17 The plan of extracting the two maxillary first premolars and relying on reduction of the oversized mandibular fused crowns would still have required enamel removal far beyond the safe threshold associated with heightened pulpal and caries risk.18 The adopted approach addressed every shortcoming because premolar extraction relieved the maxillary crowding without flaring the incisors, the 90° rotation unlocked sufficient mandibular space to align the dental midline with the facial axis, and only conservative enamel reduction was needed on the right fused tooth. Additionally, clinical evidence supports that, in hyperdivergent cases, planned first-premolar extractions paired with incisor uprighting delivers more dependable long-term intercuspation than non-extraction mechanics.19,20 For these reasons, the chosen plan met biologic and mechanical goals more predictably than the discarded alternatives.
Compared with previous orthodontic case reports, the present management strategy differed notably in its reliance on a controlled 90° rotation of the fused mandibular unit rather than extensive interproximal reduction or additional extractions. Marra et al. achieved alignment of a geminated lower incisor through staged enamel stripping and arch expansion, but required a two-phase approach with lip bumper therapy and premolar extractions to resolve severe crowding.11 Serrano-Camacho et al. preserved fused lower incisors by extracting four premolars along with the use of palatal and lingual anchorage to create space, yet did not employ rotational mechanics around the tooth’s long axis.21 In contrast, Hashim’s hemi-section technique for a maxillary fused incisor addressed a size discrepancy by surgically dividing the crown before aligning the segments, a method not applicable for complete mandibular tooth fusion.22 According to current knowledge, this is the first mandibular tooth fusion report to employ a controlled 90° rotation of the fused unit to achieve a predictable Class I occlusion while preserving enamel integrity, pulp vitality, and periodontal health.
Although the inherent limitations of a single-patient report and the relatively short follow-up period temper broad generalisations, the present case demonstrates that a carefully controlled 90° rotation of a fused mandibular lateral incisor-canine unit can serve as a reliable adjunct for space creation when extraction options are otherwise constrained. Precise bracket positioning and staged force application around the rotational axis were critical to achieving the derotation without compromising the periodontal attachment nor root parallelism. In keeping with the patient’s preference for a minimally invasive prosthetic approach, treatment did not employ a step-out bend to move the left fused unit labially for full-coverage crown recontouring to reduce the lingual prominence; however, these adjuncts remain viable options should soft-tissue irritation or plaque-control difficulties arise. Clinicians must also appreciate the heightened caries risk posed by the persistent developmental groove and re-inforce meticulous plaque control and professional maintenance to preserve long-term periodontal health. Regular retention checks and radiographic monitoring are advisable to detect any early relapse, pulpal, or periodontal complications.
The controlled 90° rotation of a fused mandibular lateral incisor-canine unit, in combination with bilateral maxillary first-premolar extractions, provided predictable space creation, preserved pulp vitality and periodontal health, and maintained a bilateral Class I occlusion. At a three-year followup, occlusal stability, soft-tissue health, and patient satisfaction were well maintained. As proof of a concept, the present case report demonstrated that rotational mechanics can serve as a reliable adjunct for managing rare tooth fusion anomalies. Given the inherent limitations of a single-patient report and relatively short follow-up, prospective cohort studies with larger samples are needed to validate the long-term efficacy and generalisability of this approach.