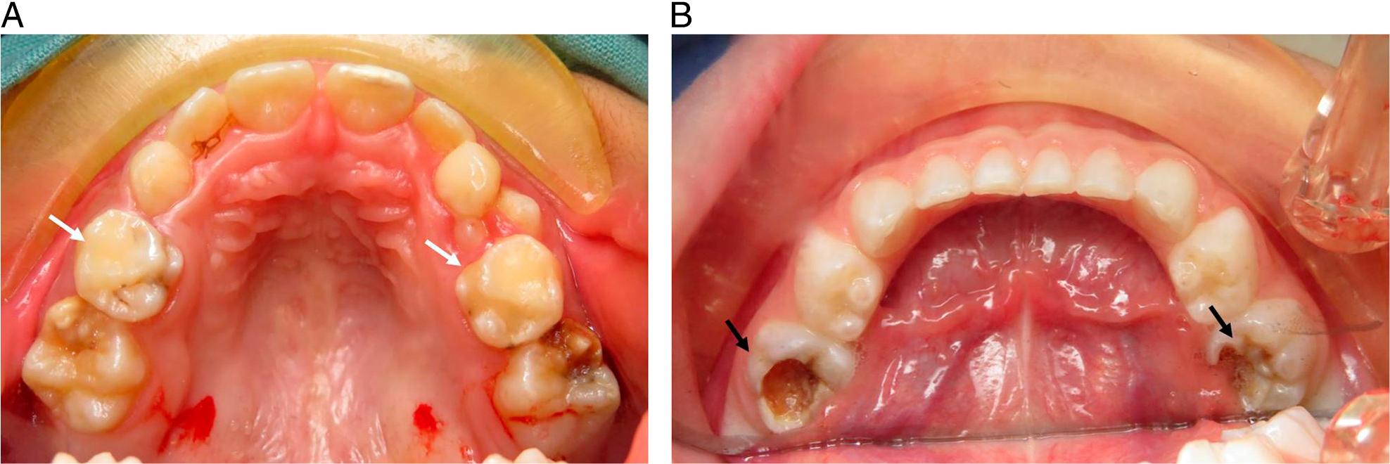
Figure 1.

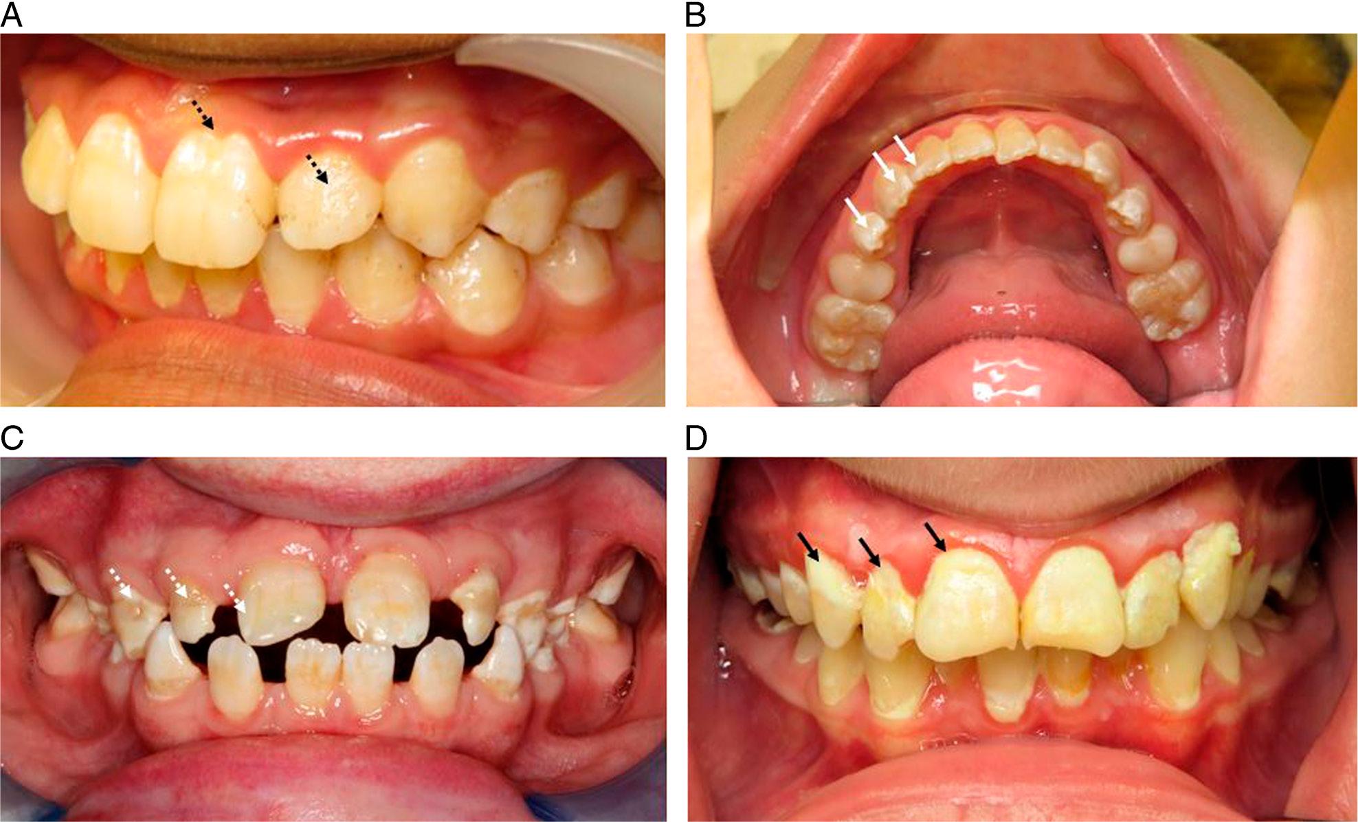
Figure 2.

Figure 3.

Wurzburg Working Group treatment guide
| Index | Description |
|---|---|
| 0 | No MIH |
| 1 | MIH |
| • No breakdown | |
| • No hypersensitivity | |
| 2 | MIH |
| • Breakdown | |
| • No hypersensitivity | |
| 2a | • Extension of defect < 1/3 |
| 2b | • Extension of defect e 1/3 to < 2/3 |
| 2c | • Extension of defect ≥ 2/3 or/and defect close to the pulp or extraction or atypical restoration |
| 3 | MIH |
| • No breakdown | |
| • Hypersensitivity | |
| 4 | MIH |
| 4a | • No breakdown |
| 4b | • Hypersensitivity |
| 4c | • Extension of defect < 1/3 |
| • Extension of defect ≥ 1/3 to < 2/3 | |
| • Extension of defect ≥ 2/3 or/and defect close to the pulp or extraction or atypical restoration |
Classification of MIH60
| Category | Characteristics |
|---|---|
| Mild |
|
| Moderate |
|
| Severe |
|
A proposed charting system to record observation as per the EAPD diagnostic criteria_ (Adapted from59)
| Criteria | |
|---|---|
| 0 | No visible enamel defect |
| 1 | Enamel defect, not MIH/HSPM |
| 11 | Diffuse opacities |
| 12 | Hypoplasia |
| 13 | Amelogenesis imperfecta |
| 14 | Hypomineralisation defect (not MIH/HSPM) |
| 2 | Demarcated opacities |
| 21 | White or creamy demarcated opacities |
| 22 | Yellow or brown demarcated opacities |
| 3 | Post eruptive breakdown |
| 4 | Atypical restoration |
| 5 | Atypical caries |
| 6 | Missing due to MIH/HSPM |
| 7 | Cannot be scored |
Prevalence of MIH by country
| Country | Author (date) | Age | N | Criteria | %MIH |
|---|---|---|---|---|---|
| Argentina | Biondi et al. (2011)14 | 11 | 1098 | DDE | 15.9 |
| Brazil | Souza et al. (2013)15 | 7 –12 | 1151 | EAPD | 12.3 |
| Brazil | Tourino et al. (2016)16 | 8 –9 | 1181 | EAPD | 20.4 |
| Bulgaria | Kukleva et al. (2008)17 | 7 –14 | 2960 | 3.6 | |
| Chile | Harz et al. (2023)18 | 6 –12 | 1270 | EAPD Mathu-Muju | 12.8 |
| China | Yi et al. (2021)19 | 12 –15 | 6523 | EAPD | 10 |
| Jordan | Hamdan et al. (2020)20 | 8 –9 | 1412 | EAPD | 13.2 |
| Germany | Dietrich et al. (2003)21 | 10 –17 | 2408 | mDDE | 5.6 |
| Germany | Preusser et al. (2007)22 | 6 –12 | 1022 | 5.9 | |
| Germany | Petrou et al. (2014)23 | 8 –9 | 2395 | EAPD | 10.1 |
| Germany | Kühnisch et al. (2015)24 | 10 | 1048 | EAPD | 13.6 |
| Germany | Amend et al. (2020)25 | 10 –17 | 2408 | EAPD | 5.6 |
| Greece | Lygidakis et al. (2008)26 | 5.5 –12 | 3518 | 10.2 | |
| Greece | Kevrekidou et al. (2015)27 | 8 –14 | 2335 | EAPD | 21 |
| Hong Kong | Cho et al. (2008)28 | 11 –14 | 2635 | 2.8 | |
| India | Parikh et al. (2012)29 | 8 –12 | 1366 | EAPD | 9.2 |
| India | Mittal et al. (2014)30 | 6 –9 | 1792 | EAPD | 6.3 |
| India | Krishnan et al. (2015)31 | 9 –14 | 4989 | EAPD | 7.3 |
| India | Yannam et al. (2016)32 | 8 –12 | 2864 | EAPD | 9.7 |
| India (Kerala) | Emmatty et al. (2020)33 | 8 –15 | 5318 | EAPD | 4.1 |
| Iran | Shojaeepour et al. (2020)34 | 8 –12 | 2507 | EAPD | 5.1 |
| Italy | Condò et al. (2012)35 | 4 –15 | 1500 | Unclear | 7.3 |
| Italy | Nisii et al. (2022)36 | 7 –8 | 3611 | MIH-SSS | 18.2 |
| Japan | Sakurai and Shintani (2014)37 | 6 –12 | 1753 | 11.9 | |
| Japan | Saitoh et al. (2018)38 | 7 –9 | 4496 | EAPD | 19.8 |
| Jordan | Zawaideh et al. (2011)39 | 7 –9 | 3241 | 17.6 | |
| Kenya | Kemoli et al. (2008)40 | 6 –8 | 3591 | Visual inspection from photographs | 13.7 |
| Lithuania | Jasulaityte et al. (2007)41 | 7 –9 | 1277 | EAPD | 14.9 |
| Nigeria | Oyedele et al. (2015)42 | 8 –16 | 2107 | 12.7 | |
| Norway | Afzal et al. (2023)43 | 8 –9 | 3013 | EAPD | 28.2 |
| Saudi Arabia | Almuallem et al. (2022)44 | 8 –12 | 1562 | EAPD short form | 15.2 |
| Singapore | Ng et al. (2014)45 | 7 –8 | 1083 | EAPD | 12.5 |
| Switzerland | Grieshaber et al. (2022)46 | 7.4 –15.7 | 1252 | MIH TNI | 14.8 |
| Switzerland | Abdelaziz et al. (2022)47 | 4 –12 | 32142 | Index devised by researchers | 6.6 |
| Syria | Al-Nerabieah et al. (2023)48 | 8 –11 | 1138 | EAPD | 39.9 |
| Turkey | Sönmez et al. (2013)49 | 7 –12 | 4049 | 7.7 | |
| Turkey | Koruyucu et al. (2018)50 | 8 –11 | 1511 | EAPD | 14.2 |
| Turkey | Kılınç et al. (2019)51 | 9 –10 | 1237 | EAPD | 11.5 |
| UK | Balmer et al. (2012)52 | 12 | 3233 | mDDE | 15.9 |
Prevalence of MIH in Australia and New Zealand
| Country | Author (date) | Children (n) | Criteria | MIH (%) |
|---|---|---|---|---|
| Australia | Gambetta-Tessini, Marino et al. (2018)53 | 327 | EAPD | 14.7 |
| New Zealand | Mahoney and Morrison (2009)54 | 850 | mDDE | 14.9 |
| New Zealand | Mahoney and Morrison (2011)55 | 235 | mDDE | 18.8 |
| Australia | Arrow (2008)56 | 550 | mDDE | 22 |
| Australia | Balmer, Laskey et al. (2005)57 | 24 | mDDE | 44 |
| New Zealand | Beckett, Wheeler et al. (2022)58 | 82 | EAPD | 77 |