In recent years, dentistry has witnessed significant advancements in diagnostic and documentation techniques, particularly by the integration of digital imaging technologies. Of these, dental photography has emerged as an invaluable clinical tool for both diagnosis and treatment planning. Traditionally, dental photography was primarily conducted using digital single-lens reflex (DSLR) cameras which are renowned for their high-resolution capabilities and versatility. However, with the widespread accessibility of smartphones equipped with sophisticated camera technology, mobile devices have increasingly become a viable alternative for capturing dental images.1,2
A well-taken clinical photograph can provide clear visual evidence of a dental condition to serve as a medicolegal record as well as allowing clinicians to make more accurate diagnoses and develop effective treatment plans.3–5 A captured image must provide information and accurately document a clinical condition while maintaining patient confidentiality and privacy. The significance of digital photography, including the use of mobile devices (phones and tablets), has increased amidst the COVID-19 pandemic due to the predominant reliance on online communication platforms for interactions.6 The interactions include patient-submitted photographs for remote consultations, images captured by other healthcare professionals, and routine photographs taken as part of telemedicine services to be stored in the patient’s medical record. Smartphones have the potential to transform the delivery of healthcare, but they also pose a number of information governance concerns.7
The use of DSLR cameras for dental photography offers advantages over smartphone cameras because of their larger image sensors and manual control over settings related to aperture, shutter speed, and ISO. This level of control allows for greater accuracy and detail which is crucial for diagnosis and treatment planning. However, these benefits come at a higher cost, a larger device size, and the need for accessories such as a macro lens and an external flash unit. A true macro lens is particularly useful for close-up photography, as it allows for a magnification ratio of 1:1 or greater and can enable accurate measurements from photographs.8 This ensures that a standardised subject-to-camera distance can be measured and maintained, as well as the avoidance of perspective distortion.5
Lately, mobile dental photography using smartphones has become popular due to advances in sensor size and quality, plus lens technology.9 Smartphones offer user-friendly operating systems, faster processors, manual settings and multiple cameras with an optical zoom.10 They are also relatively cost-effective and convenient, which makes them a viable alternative to DSLR cameras.11,12 Nowadays, the number of dentists who prefer to use smartphone cameras instead of professional DSLR cameras is increasing exponentially due to the convenience of smartphone cameras and accessories.13,14 As a result of improvements in computational photography, it may be argued that smartphone images can now rival those taken with a DSLR camera.
Smartphone lenses are designed for everyday use and general photography. Due to their compact size and space limitations, most smartphones are equipped with a wide-angle lens as their primary lens. A wide-angle lens (used for landscapes or confined spaces) offers a broader view but distorts the subject. This distortion makes them unsuitable for capturing subjects for whom precise shape preservation is critical.9 Maryanov (2020) found that a magnification of up to five times is required to reduce this effect and Moussa et. al. (2020) suggested a minimum distance of 23cm for intraoral photography.14,15 There is a paucity of published information which offers technical and practical assistance to help clinicians take photographs that are suitable for clinical use.6
The present study aimed to evaluate the accuracy and reproducibility of linear measurements obtained from photographs captured using a smartphone camera compared to a DSLR camera, using the DSLR camera photographic measurements as the gold standard for comparison. The findings were expected to contribute valuable information regarding the potential application of smartphone technology for dental photography in clinical settings.
Ethical approval was granted by the Faculty of Dentistry Medical Ethics Committee (DF CD2210/0031 (U)). Informed consent was obtained from all participants prior to data collection thereby ensuring that their rights and confidentiality were protected. The participants were selected based on the criteria below:
- a)
Inclusion: Fully dentate adults.
- b)
Exclusion: Participants with unsatisfactory oral hygiene and with periodontal disease or undergoing orthodontic treatment.
The sample size was determined based on the mean difference and standard deviation from a previous study by Mariyanov which were 0.13 mm and 0.19 mm, respectively.15 The sample size using the matched pairs t-test with 95% power calculated for these parameters was 30. The calculations were performed using G*Power 3, version 3.1.9.6 for Windows (Heinrich Heine Universität, Dusseldorf, Germany).16 A standardised photographic protocol was employed to capture clinical images of the 30 participants meeting the inclusion and exclusion criteria. Four photographs were taken for each participant: one extraoral and one intraoral view were captured using a high-resolution DSLR camera, and the same views were repeated using a standard smartphone camera. This approach allowed for direct comparison of image quality between the two commonly utilised devices.
All of the photographs were taken in a single dental clinic in the Faculty of Dentistry, Universiti Malaya. The DSLR camera used was a Canon EOS 1300D (Canon Inc., Tokyo, Japan) with an EF100mm f/2.8L Macro IS USM lens (Canon Inc., Tokyo, Japan). For extraoral photographs, the camera settings were set in manual focus (MF) mode; speed 1/200, aperture f8, ISO 200, magnification ratio 1:5 (0.2x) at a working distance of 1.52m, with a Speedlite 430EX II flash unit accessory. For intraoral photographs, the camera settings were in manual focus (MF) mode; speed 1/200, aperture f32, ISO 100, magnification ratio 1:3 (0.33x) at a working distance of 0.49m, with a Macro Twin Lite MT-24EX (Canon Inc., Tokyo, Japan) flash accessory. Both the speedlight and twin flash were adjusted according to the brightness of the environment. The smartphone used was a Mi 10T Pro (Xiaomi, Beijing, China). Using the professional mode, the extraoral settings were autofocus, speed 1/160, ISO 200 and primary (wide-angle) lens, while the intraoral settings were autofocus, speed 1/125, ISO 50, primary (wide-angle) lens, and with a twin light accessory.17
Building on Mariyanov’s (2020) findings, which recommended optimal distances of 110 cm with 4x magnification for extraoral and 40 cm with 5x magnification for intraoral photographs, the present study employed a pilot phase to refine these parameters for the specific smartphone camera model used.15 The pilot work determined an adjusted distance of 23 cm for intraoral photographs to ensure the area of interest was fully captured within the smartphone camera’s field of view. The primary aim of magnification was to increase the working distance between the lens and the subject, thereby minimising image distortion.
Two extraoral photographs with a visible ruler were taken of each participant from the frontal view according to the established criteria below18:
Visibility of the entire face from the top of the hair to the neck.
The vertical midline of the face orientated in the middle of the image.
The mouth closed and lips relaxed.
Two intraoral photographs were taken of each participant from the frontal view with a ruler placed below the lower lip according to the established criteria below19:
The participant occluded in centric occlusion.
The camera positioned parallel to the occlusal plane.
The teeth visible from molar to molar.
The focus fixed on the maxillary canines.
From the extraoral photographs (Figure 1), five linear indicators were measured: two in the vertical axis and three in the horizontal axis:
ZA-ZA – upper face width
Or-Or – distance between Orbitale points
Ac-Ac – alar width
Tr-Me – physiognomic face height
Sn-Me – lower face height

Extraoral photograph with ruler.
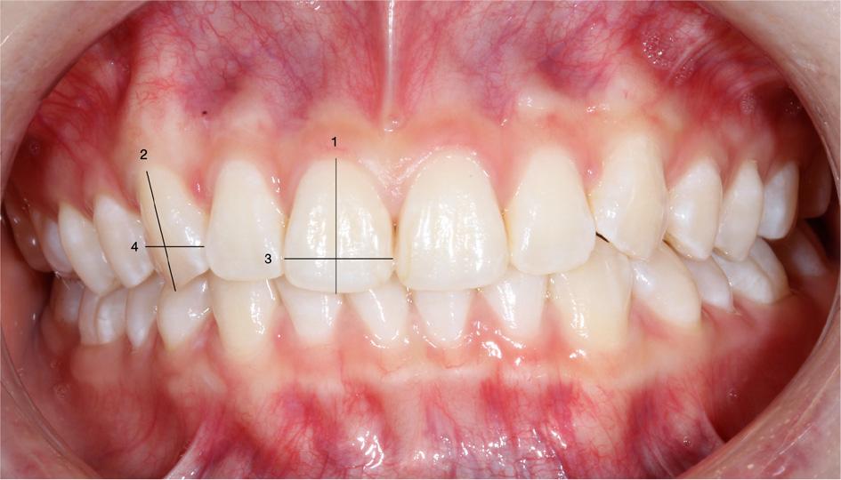
In the intraoral photographs (Figure 2), four linear parameters were measured: two in the vertical axis and two in the horizontal axis:
Incisor height: the distance from the most apical point of the gingival margin to the incisal edge of tooth 11.
Canine height: the distance from the most apical point of the gingival margin to the incisal edge of tooth 13.
Incisor width: the mesiodistal width of tooth 11.
Canine width: the mesiodistal width of tooth 13.

Intraoral photograph with ruler.
The ruler in both the extraoral and intraoral photographs was used as the fixed reference for scale computation. A cheek retractor was used when taking the intraoral photographs. Linear measurements measured on the extraoral and intraoral photographs were analysed using an image processing program (ImageJ, NIH, USA) to an accuracy of 0.01 mm. The system measured this distance in pixels and set a scale that automatically computed the measurements into the specified length unit (mm). The investigators underwent software training followed by intraexaminer and inter-examiner calibration using the intraclass correlation coefficient (ICC) prior to data collection. ICC values of > 0.90 were considered as excellent, 0.75 to 0.90 as good, 0.50 to 0.75 as moderate and < 0.50 as poor.20 Intra-examiner measurements were repeated one month after the initial assessment to evaluate consistency and accuracy over time.
A visual comparison between photographs taken with the DSLR and smartphone were recorded using PowerPoint software (Microsoft Corp., Seattle, Washington, USA). The same set of photographs captured using both devices were adjusted to the same scale according to the size of the ruler. The extraoral photographs were layered on top of one another at a position where most features were superimposed while the intraoral photographs were orientated vertically above one another and compared using the drawn vertical lines. The data was processed with IBM SPSS for Windows version 25 (IBM Corp., Armonk, N.Y., USA). A 95% confidence interval (p < 0.05) was chosen for a significance level at which the null hypothesis was rejected. Normal distribution of the data was assessed using the Shapiro-Wilk test. Accuracy was assessed using the paired t-test/Wilcoxon signed ranks test while reproducibility was assessed using the paired t-test/Wilcoxon signed ranks test and ICC.
All data was normally distributed except for parameters ZA-ZA (smartphone) and Ac-Ac (DSLR) which were negatively skewed. Therefore, the Wilcoxon signed ranks test was applied for the two parameters and the paired t-test was applied for the rest of the data which were normally distributed. The inter-examiner reliability was moderate to excellent (DSLR: 0.781 - 0.966; Smartphone: 0.668 - 0.973). In addition, the intra-examiner reliability was good to excellent for both examiner 1 (DSLR: 0.8 - 0.99; Smartphone: 0.84 - 0.994) and examiner 2 (DSLR: 0.859 - 0.998; Smartphone: 0.939 – 1.0).
As shown in Table I, the DSLR measurements had higher means and standard deviations than the smartphone measurements. Both Tables II and III demonstrated statistically significant differences (p < 0.05) between the mean values of all measurements obtained from the extraoral and intraoral photographs taken using a DSLR compared to a smartphone.
Mean and standard deviation of extraoral and intraoral measurements
| Parameter | Device | Mean (mm) | SD |
|---|---|---|---|
| ZA-ZA | DSLR | 143.59 | 11.36 |
| Xiaomi | 137.30 | 10.26 | |
| Or-Or | DSLR | 66.03 | 4.60 |
| Xiaomi | 63.83 | 4.26 | |
| Ac-Ac | DSLR | 40.97 | 3.93 |
| Xiaomi | 39.75 | 3.88 | |
| Tr-Me | DSLR | 182.85 | 13.57 |
| Xiaomi | 178.48 | 14.01 | |
| Sn-Me | DSLR | 68.83 | 5.85 |
| Xiaomi | 65.45 | 5.23 | |
| Incisor width | DSLR | 8.04 | 0.59 |
| Xiaomi | 7.81 | 0.58 | |
| Canine width | DSLR | 4.76 | 0.79 |
| Xiaomi | 4.45 | 0.78 | |
| Incisor height | DSLR | 9.52 | 0.99 |
| Xiaomi | 9.20 | 1.01 | |
| Canine height | DSLR | 8.50 | 1.16 |
| Xiaomi | 8.24 | 1.04 |
Comparison of extraoral measurements using DSLR and smartphone
| Parameter | Paired t-test | p-value | |||
|---|---|---|---|---|---|
| Mean difference in mm (SD) | Standard error mean | 95% CI of difference | t-stat (df) | ||
| ZA-ZA | 6.29 (3.24) | 0.59 | (5.08, 7.50) | 10.62 (29) | <0.001 |
| Or-Or | 2.20 (1.28) | 0.23 | (1.72, 2.68) | 9.40 (29) | <0.001 |
| Ac-Ac | 1.22 (1.36) | 0.25 | (0.71, 1.73) | 4.91 (29) | <0.001 |
| Tr-Me | 4.37 (4.54) | 0.83 | (2.68, 6.07) | 5.28 (29) | <0.001 |
| Sn-Me | 3.38 (2.42) | 0.44 | (2.48, 4.29) | 7.65 (29) | <0.001 |
Comparison of intraoral measurements using DSLR and smartphone
| Parameter | Paired t-test | p-value | |||
|---|---|---|---|---|---|
| Mean difference in mm (SD) | Standard error mean | 95% CI of difference | t-stat (df) | ||
| Incisor width | 0.22 (0.34) | 0.06 | (0.09, 0.35) | 3.54 (29) | 0.001 |
| Canine width | 0.31 (0.42) | 0.08 | (0.15, 0.46) | 3.96 (29) | <0.001 |
| Incisor height | 0.31 (0.47) | 0.09 | (0.14, 0.49) | 3.69 (29) | 0.001 |
| Canine height | 0.26 (0.39) | 0.07 | (0.11, 0.41) | 3.58 (29) | 0.001 |
A one-sample t-test (Table IV) was conducted to compare the ratio of measurements obtained from the smartphone images to the DSLR images (gold standard). All ratios were significantly different from 1.0 (p < 0.01), indicating a consistent underestimation of the smartphone-derived measurements. The greatest mean difference was observed in canine width which was approximately 6.2% smaller than the DSLR measurement, followed by Sn-Me and ZAZA.
Smartphone/DSLR ratio analysis
| Parameter | Mean Ratio (M ± SD) | t (df = 29) | p-value | Mean Difference | 95% CI of Difference |
|---|---|---|---|---|---|
| ZA-ZA | 0.9568 ± 0.0218 | -10.856 | <0.001 | -0.0432 | [-0.0513, -0.0351] |
| Or-Or | 0.9670 ± 0.0185 | -9.777 | <0.001 | -0.0330 | [-0.0399, -0.0261] |
| Ac-Ac | 0.9705 ± 0.0311 | -5.190 | <0.001 | -0.0295 | [-0.0411, -0.0179] |
| Tr-Me | 0.9760 ± 0.0246 | -5.334 | <0.001 | -0.0240 | [-0.0332, -0.0148] |
| Sn-Me | 0.9518 ± 0.0340 | -7.768 | <0.001 | -0.0482 | [-0.0608, -0.0355] |
| Incisal Width | 0.9733 ± 0.0418 | -3.505 | 0.002 | -0.0267 | [-0.0423, -0.0111] |
| Canine Width | 0.9379 ± 0.0906 | -3.755 | <0.001 | -0.0621 | [-0.0959, -0.0283] |
| Incisal Height | 0.9675 ± 0.0480 | -3.713 | <0.001 | -0.0325 | [-0.0505, -0.0146] |
| Canine Height | 0.9722 ± 0.0452 | -3.368 | 0.002 | -0.0278 | [-0.0447, -0.0109] |
The results of the ICC of the extraoral measurements are displayed in Table V revealing values of 0.987 - 1.000 which indicate excellent reproducibility. The paired t-test/Wilcoxon signed ranks test showed no statistically significant differences (p > 0.05) between the extraoral measurements obtained from the different photographs when measured on two separate occasions. The results of the ICC of the intraoral measurements are displayed in Table VI with values of 0.892 - 0.977 which indicate good to excellent reproducibility. The paired t-test showed no statistically significant differences (p > 0.05) between the intraoral measurements obtained from the different photographs when measured on two separate occasions.
Data analysis of the studied variables for extraoral measurements obtained from photographs on two separate occasions
| Parameter | Device | ICC test | Paired t-test | |||||
|---|---|---|---|---|---|---|---|---|
| ICC | p-value | Mean difference in mm (SD) | Standard error mean | 95% CI of difference | t-stat (df) | p-value | ||
| ZA-ZA | DSLR | 1.000 | <0.001 | -0.10 (0.31) | 0.06 | (-0.22, 0.02) | -1.75 (29) | 0.090 |
| Xiaomi | 0.990 | <0.001 | -0.53 (1.49) | 0.27 | (-1.08, 0.03) | -1.93 (29) | 0.106* | |
| Or-Or | DSLR | 0.997 | <0.001 | -0.14 (0.37) | 0.07 | (-0.27, 0.00) | -1.99 (29) | 0.056 |
| Xiaomi | 0.987 | <0.001 | -0.11 (0.70) | 0.13 | (-0.37, 0.15) | -0.85 (29) | 0.400 | |
| Ac-Ac | DSLR | 0.989 | <0.001 | -0.12 (0.61) | 0.11 | (-0.35, 0.11) | -1.08 (29) | 0.382* |
| Xiaomi | 0.988 | <0.001 | -0.07 (0.60) | 0.11 | (-0.29, 0.16) | -0.62 (29) | 0.538 | |
| Tr-Me | DSLR | 0.999 | <0.001 | -0.22 (0.74) | 0.13 | (-0.49, 0.06) | -1.63 (29) | 0.114 |
| Xiaomi | 0.993 | <0.001 | -0.58 (1.64) | 0.30 | (-1.19, 0.03) | -1.94 (29) | 0.062 | |
| Sn-Me | DSLR | 0.995 | <0.001 | -0.09 (0.59) | 0.11 | (-0.31, 0.13) | -0.85 (29) | 0.401 |
| Xiaomi | 0.992 | <0.001 | -0.22 (0.72) | 0.13 | (-0.49, 0.05) | -1.70 (29) | 0.101 | |
Wilcoxon signed ranks test.
Data analysis of the studied variables for intraoral measurements obtained from photographs on two separate occasions
| Parameter | ICC test | Paired t-test | ||||||
|---|---|---|---|---|---|---|---|---|
| Device | ICC | p-value | Mean difference in mm (SD) | Standard error mean | 95% CI of difference | t-stat (df) | p-value | |
| Incisor width | DSLR | 0.971 | <0.001 | -0.01 (0.23) | 0.04 | (-0.09, 0.08) | -0.15 (29) | 0.884 |
| Xiaomi | 0.955 | <0.001 | 0.05 (0.34) | 0.06 | (-0.08, 0.18) | 0.79 (29) | 0.437 | |
| Canine width | DSLR | 0.977 | <0.001 | -0.09 (0.25) | 0.05 | (-0.18, 0.01) | -1.92 (29) | 0.064 |
| Xiaomi | 0.957 | <0.001 | 0.10 (0.31) | 0.06 | (-0.02, 0.21) | 1.68 (29) | 0.105 | |
| Incisor height | DSLR | 0.892 | <0.001 | -0.06 (0.27) | 0.05 | (-0.16, 0.05) | -1.13 (29) | 0.269 |
| Xiaomi | 0.956 | <0.001 | 0.06 (0.17) | 0.03 | (-0.01, 0.12) | 1.77 (29) | 0.087 | |
| Canine height | DSLR | 0.971 | <0.001 | 0.06 (0.19) | 0.03 | (-0.01, 0.13) | 1.79 (29) | 0.084 |
| Xiaomi | 0.957 | <0.001 | 0.00 (0.23) | 0.04 | (-0.09, 0.08) | -0.04 (29) | 0.969 | |
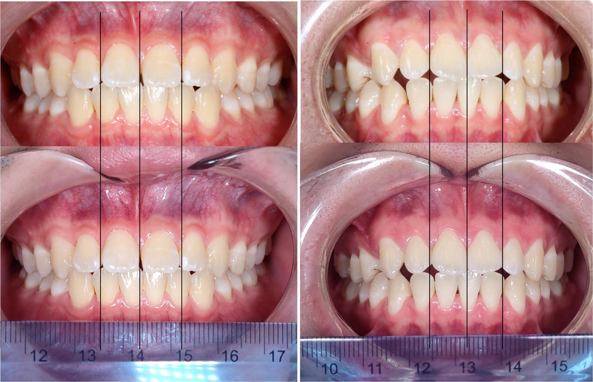
Figures 3 and 4 illustrate the visual comparison between the extraoral and intraoral photographs captured by both devices. The extraoral smartphone photographs appear smaller than their DSLR counterparts. This size difference is evident in Figure 3, in which the DSLR image was overlayed across the smartphone image and the shadow (DSLR image) indicates the size difference of the photographs taken using both devices. The intraoral photographs (Figure 4) show less size disparity between the images captured by the two devices.

Example of the visual comparison of the extraoral photographs. The photographs were superimposed over the nose and left eye. The shadow of the larger image was from the DSLR photograph.

Example of the visual comparison of the intraoral photographs. The vertical lines represent the upper incisor widths in the photographs taken with the DSLR camera (top) as the gold standard.
Despite advancements in smartphone cameras and technology, the present study found statistically significant differences in dental photograph measurements between the smartphone and the DSLR camera. The study revealed that while smartphone-derived linear measurements are reproducible, they consistently underestimated actual values compared to the DSLR images. The largest underestimation occurred in canine width at 6.2% and the smallest in Tr-Me at 2.4%. The findings differ from previous research which explored the effect of different distances and magnification on the accuracy between a smartphone compared to a DSLR.14,15 This difference could be attributed to the computational photography software and lens type employed by smartphone manufacturers. In dental photography, a macro lens is the preferred choice for both intraoral and extraoral images, as it allows high-resolution, close-up photographs to be taken from a comfortable working distance while maintaining an undistorted view replicating the clinical view.5,8
Clinical orthodontic significance depends not only on statistical p-values but on whether measurement error exceeds thresholds known to affect diagnosis or treatment. In the present study, the extraoral widths (ZA-ZA, Sn-Me) showed mean underestimations of 4.3–4.8% (3–6 mm), which were well above the ±2 mm landmark threshold, indicating both statistical and clinical significance.21 Although the canine width ratio showed the greatest underestimation (6.2%) associated with the smartphone, this corresponded to an mean difference of only about 0.31 mm (4.76 mm DSLR vs. 4.45 mm smartphone). All intraoral parameters were underestimated by 2.7% – 6.2% (0.22–0.31 mm), which, although statistically significant, remained within the ±0.5 mm tolerance reported for study model measurements.22 Despite statistical significance, the sub-millimetre differences in intraoral measurements are unlikely to affect clinical decision-making or appliance fabrication. It does, however, introduce clinically meaningful distortions for extraoral measurements.
The present study utilised a primary (wide-angle) lens (focal length 26mm) from a Xiaomi Mi 10T Pro smartphone, whereas Mariyanov (2020)15 employed a telephoto lens (focal length = 52mm) which offered double the optical magnification. A smartphone telephoto lens commonly has a focal length of 50mm to 80mm and field of view of 25°- 45°, whilst a standard smartphone wide-angle lens has a focal length of 22mm to 30mm with a field of view of 62°- 84°).23 As focal length increases, the captured field of view decreases, resulting in a more magnified subject. Consequently, a shorter distance between the camera and the subject was necessary in this study compared to that reported by Mariyanov (2020). The distance in the present study was comparable to a study by Moussa (2021)14 which recommended at least a distance of 24cm for intraoral photography using a smartphone.
The present findings further revealed that objects positioned in the centre of the frame produced photographs with minimal distortion, which resulted in a closer resemblance to DSLR images. Conversely, increased distances between landmarks were associated with greater distortion.15 Specifically, in the comparison of horizontal linear measurements, it was found that alar width exhibited the least difference compared to upper face width, while vertical linear measurements of lower face height had a smaller difference compared to total face height. However, the ratio analysis indicated that the total face height had a similar ratio to alar width, possibly due to its closer proximity to the image centre in portrait orientation. Despite efforts to reduce discrepancies by standardising the camera at 110cm with 4x magnification, the findings suggest that some distortion is still present when using smartphones for extraoral measurements. Figure 5 illustrates that distortion is more pronounced towards the edges of the image, whereas cropping of the image helps mitigate this effect. The distances between landmarks appear less distorted at the centre, thereby explaining why linear measurements of shorter landmarks in the central region are less affected compared to those near the periphery.

Illustration of barrel distortion in smartphone photography compared to a DSLR camera.
Smartphone wide-angle lenses often produce barrel distortion, in which straight lines curve outward, and resemble the shape of a barrel.9,14,15 This type of distortion causes objects near the edges of the image to appear smaller than their actual size. Even when rulers or measurement tools are used in the images, the inherent distortion results in measurements that are less compared to reality.24 Post-processing in modern smartphones, through in-built software or third-party applications, may address barrel distortion effectively, thereby making it a practical solution to achieve more accurate and high-quality images.24,25 Geometry correction algorithms, which are a key part of computational photography, leverages digital computation to overcome the limitations of traditional optics. The algorithms work by applying mathematical transformations to an image and so unwarp and straighten distorted lines and shapes. Popular apps such as Snapseed, SKRWT, Adobe Lightroom, and Adobe Photoshop Express can correct lens distortion by offering tools to straighten skewed lines, adjust perspective and remove unwanted distortions.
The inclusion of magnification introduces a trade-off, as it relies on a digital zoom. Unlike an optical zoom, which physically magnifies without quality loss, a digital zoom crops and enlarges a section of the image captured by the main sensor, which results in a loss of detail and sharpness in zoom close-up. While convenient, a digital zoom sacrifices image quality for magnification.26 The smartphone employed in the present study boasts a 108-megapixel sensor, which helps mitigate image quality loss to some extent. Smartphone manufacturers incorporate computational photography processing to further lessen the quality degradation associated with a digital zoom. These algorithms may attempt to sharpen details or reduce noise, but their effectiveness can be variable.27
In the context of clinical photography in dentistry, patient images are considered sensitive personal data in many jurisdictions, including Malaysia, where the Personal Data Protection Act 2010 (PDPA) governs their collection, use and storage.28 The PDPA requires explicit patient consent for both the capture and retention of clinical photographs, regardless of whether the images have been taken using a smartphone or a DSLR camera. While data protection requirements may vary across regions, a key consideration internationally is the difference in how devices handle image storage and security. DSLR cameras typically integrate with secure clinical systems, whereas smartphones more commonly store images locally, and potentially increase the risk of unauthorised access if adequate safeguards (e.g., encryption, access controls) are not implemented. This highlights the importance of applying device specific security measures to ensure compliance with privacy regulations, particularly when smartphones are used in clinical settings.
The present results highlight the importance of considering the impact of image distortion when utilising smartphone photography, and caution clinicians to carefully consider the distance and magnification used to minimise error. It is crucial for users of image-based measurement software to understand the variations between images captured by these two devices. The present study was limited to a single android smartphone and may not be generalisable to other available smartphones. Accuracy cannot be universally applied to all smartphones, as each brand and model may require calibration. To ensure a standardised and measurable set of photographs, a dedicated smartphone photography protocol should be established. A DSLR camera remains the preferred choice when geometric accuracy is paramount. However, for routine record-keeping for which accuracy is less critical, smartphones offer a more practical alternative, provided users understand their limitations.
Linear measurements derived from a single android smartphone model (Xiaomi Mi 10T Pro) photographs were consistently less than those obtained from DSLR images for both extraoral and intraoral parameters, most likely due to lens-related distortion. Although the differences were statistically significant, the discrepancy for intraoral photographs was not considered clinically significant (when using 5x magnification at a distance of 23cm). Measurement reproducibility was good to excellent under a standardised protocol, indicating that smartphones can yield consistent but slightly underestimated dimensions. The results should not be extrapolated to other Android or iOS devices. Future studies must evaluate a broader range of smartphone cameras (different brands, sensor sizes, lens types, and operating systems) to determine whether similar distortions occur universally or are device-specific.
