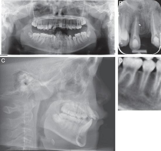
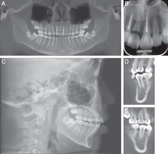
Figure 1.

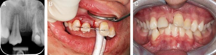
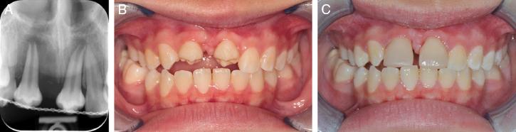
Figure 2.

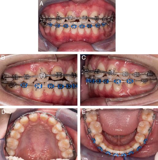
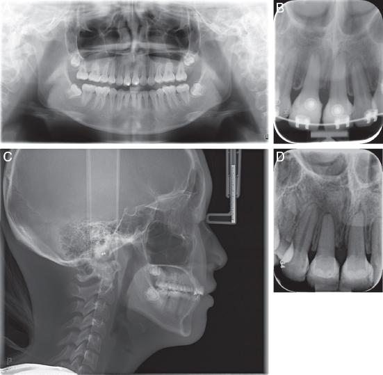
Figure 3.

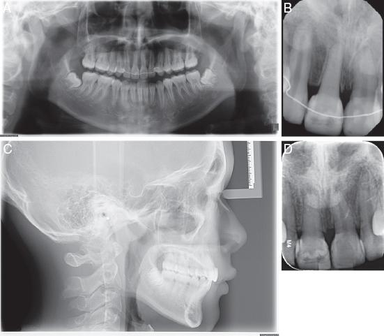
Figure 4.

Figure 5.

Figure 6.

Figure 7.

Figure 8.

Figure 9.

Figure 10.

Figure 11.

Figure 12.

Cephalometric measurements (Case 1)
| Pretreatment | Posttreatment | |
|---|---|---|
| SNA (°) | 82.5 | 81.5 |
| SNB (°) | 78.0 | 78.0 |
| ANB (°) | 4.5 | 3.5 |
| WITS appraisal (mm) | -2.0 | -2.5 |
| FMA (°) | 22.5 | 23.5 |
| Lower anterior face height (%) | 52.7 | 54.3 |
| U1 to FH (°) | 135.0 | 112.0 |
| IMPA (°) | 97.0 | 99.0 |
| Interincisal angle (°) | 106.0 | 130.0 |
| Upper lip to E-line (mm) | 6.0 | 2.0 |
| Lower lip to E-line (mm) | 3.0 | 0.0 |
Cephalometric measurements (Case 2)
| Pretreatment | Posttreatment | |
|---|---|---|
| SNA (°) | 84.5 | 84.0 |
| SNB (°) | 84.0 | 83.0 |
| ANB (°) | 0.5 | 1.0 |
| WITS appraisal (mm) | -2.5 | -2.0 |
| FMA (°) | 26.0 | 26.0 |
| Lower anterior face height (%) | 57.6 | 55.2 |
| U1 to FH (°) | 124.0 | 119.0 |
| IMPA (°) | 99.5 | 94.0 |
| Interincisal angle (°) | 117.0 | 123.0 |
| Upper lip to E-line (mm) | -1.0 | -1.0 |
| Lower lip to E-line (mm) | 3.0 | 1.0 |