The prevalence of dentoalveolar trauma in an adolescent population has been reported to be 15 to 18% globally.1 Incisor protrusion, an overjet greater than 6 mm, a Class II Division 1 malocclusion, and a lack of lip coverage have been identified as possible predisposing factors related to incisor trauma.2
Maxillary anterior teeth may be lost due to avulsion or trauma-related complications. For instance, affected teeth may require extractions due to root resorption, infection or infra-occlusion. In the growing child, replacing the missing teeth is particularly challenging due to the developing dentition and alveolar bone.
The missing teeth are commonly replaced using removable partial dentures in children and resin-bonded bridges in adolescents, both of which pose challenges in achieving satisfactory aesthetics and acceptable long-term predictability.3
The autotransplantation of premolars is a treatment modality that has gained popularity in recent years. Autotransplantation is indicated in young, growing patients with missing teeth due to traumatic dental injuries or congenitally missing teeth. The main benefit is the immediate replacement of a missing tooth. Additionally, the transplanted tooth has the capacity to adapt to oral growth changes, preserves the alveolar bone ridge4–6 and elicits a normal response to orthodontic tooth movement. Observational data from a comprehensive study ranging from 1 to 13 years reported survival rates of more than 90%, with better outcomes in developing teeth with incomplete root formation.7
Two children with a 4-year follow-up after autotransplantation, orthodontic and restorative treatment to replace upper incisors previously lost to trauma and complications, is reported.
The patient was an 11-year-old boy who suffered avulsion and subluxation of his upper anterior teeth after falling from a bicycle. After the accident, he was rushed to the Children’s Emergency Clinic at the KK Women’s and Children’s Hospital where the paediatric dentist performed the immediate trauma management.
At the time of orthodontic assessment, the patient presented with a Class II division 1 malocclusion on a mild skeletal II base involving mandibular retrognathia (Table I). Facially, he had a convex profile with an acute nasolabial angle. He was in the permanent dentition with severe crowding in the lower arch. The overjet was increased at 11 mm, and the overbite was increased and complete on the palate. The upper midline had shifted 2 mm to the right of the facial midline and the lower midline was 4 mm to the right of the facial midline (Figure 1A-H).

(A–C) Pretreatment extra-oral photographs. (D—H) Pretreatment intra-oral photographs.
Cephalometric measurements (Case 1)
| Pretreatment | Posttreatment | |
|---|---|---|
| SNA (°) | 82.5 | 81.5 |
| SNB (°) | 78.0 | 78.0 |
| ANB (°) | 4.5 | 3.5 |
| WITS appraisal (mm) | -2.0 | -2.5 |
| FMA (°) | 22.5 | 23.5 |
| Lower anterior face height (%) | 52.7 | 54.3 |
| U1 to FH (°) | 135.0 | 112.0 |
| IMPA (°) | 97.0 | 99.0 |
| Interincisal angle (°) | 106.0 | 130.0 |
| Upper lip to E-line (mm) | 6.0 | 2.0 |
| Lower lip to E-line (mm) | 3.0 | 0.0 |
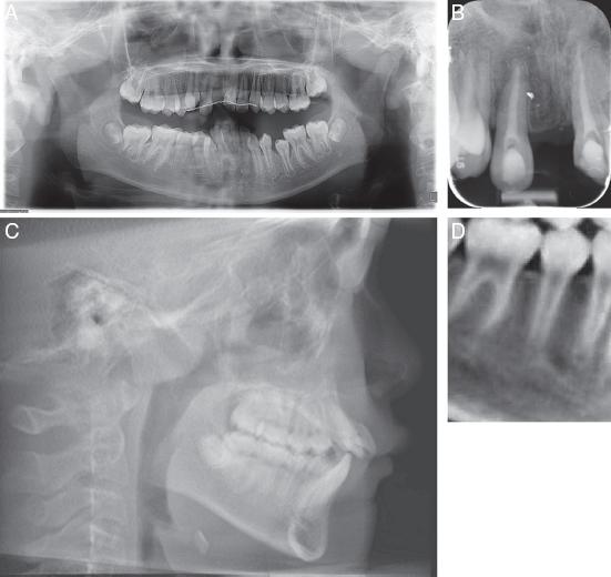
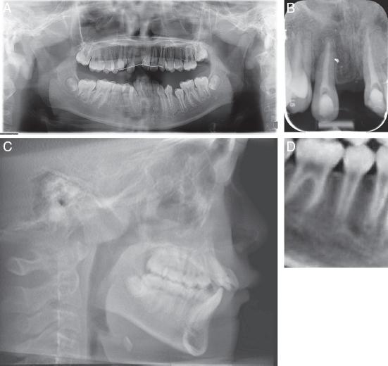
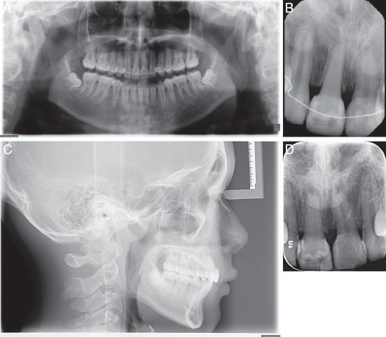
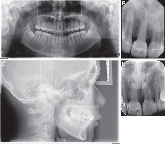
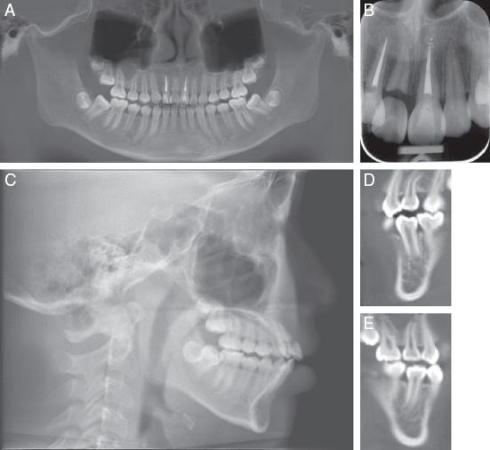
As a result of the trauma, the upper right central incisor (#11) was missing. The upper left central incisor (#21) and upper right lateral incisor (#12) were root canal treated and showed clinical and radiographic signs of ankylosis and replacement resorption (Figure 2A-D).

(A) Pretreatment dental panoramic radiograph. (B) Periapical radiograph showing resorption on the apical surfaces of #12 and #21. (C) Lateral cephalogram. (D) CBCT section showing developing tooth #45 with ¾ root length.
Several treatment options were discussed between the multidisciplinary team, the parents and patient. A restorative-only option was proposed, to remove the endodontically treated incisors and replace the three missing teeth (#12, #11, #21) with a partial denture, followed by implants at the end of growth. The multidisciplinary team found this undesirable, owing to the need for long-term dependence on a prosthesis and the risk of further atrophy of the alveolar ridge. Given the patient’s young age, his parents were keen to avoid the need for implants and additional prosthetic work in the future. An orthodontic-only plan to mesialise the upper right buccal segment was inappropriate, as both the upper right central incisor and lateral incisors were already missing and he would still require a prosthetic replacement of a single central incisor at the end of treatment.
An alternative treatment plan involving orthodontics and autotransplantation was considered to address the above concerns. The overjet and dental arch crowding would be resolved by the extractions of #12, #21, #34 and #45. The lower right second premolar (#45) was chosen to replace the upper right lateral incisor (#12) due to its root morphology and immature root apex. After transplantation, the vitality of the autotransplanted tooth would be closely monitored, and the parents were warned of the potential need for root canal treatment. After the debanding of the orthodontic appliances, composite resin restorations were planned to camouflage and enhance the aesthetics and symmetry of the upper anterior teeth.
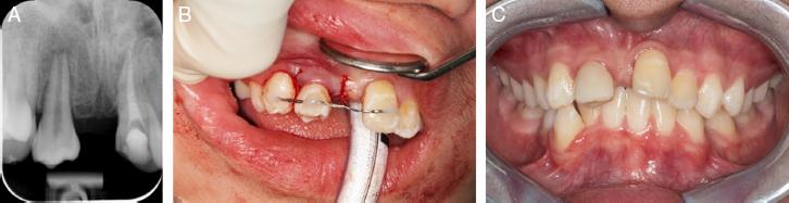
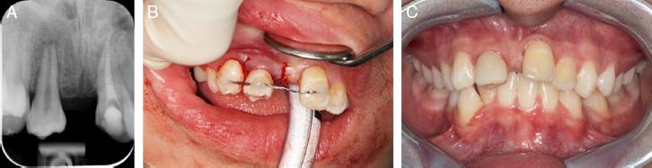
In preparation for the surgery, a cone-beam computed tomography (CBCT) study was performed to measure the dimensions of the donor tooth and the recipient site. The autotransplantation surgery was performed under general anaesthesia at the KK Women’s and Children’s Hospital. Tooth #12 was extracted and the recipient site was prepared with an implant bur to the appropriate depth, width and bucco-palatal dimensions as measured pre-operatively. Once adequate space had been created, the donor tooth #45 was atraumatically extracted and gently inserted into the recipient site within seconds. The extra-oral dry time was minimal to reduce any risk of damage to the periodontal ligament cells. The transplanted tooth was stabilised with a passive and flexible wire splint across the labial surfaces of #13 to #21 (Figure 3A-C). A follow-up review including clinical, sensitivity pulp tests and radiographic examinations were performed at 2 weeks, 1 month, 3 months, 6 months and annually after the transplantation, following the tooth avulsion guidelines as recommended by the International Association of Dental Traumatology (IADT).8

(A) Periapical radiograph taken 2 weeks post-autotransplantation. (B)Transplanted tooth secured with a flexible wire splint. (C) Composite build-up of the transplanted tooth 1-month post-autotransplantation.
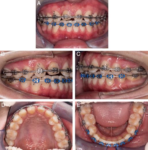
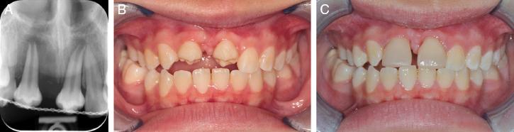
Orthodontic treatment began 6 months after the transplantation. Upper and lower pre-adjusted fixed appliances (MBT prescription, 0.022˝ × 0.028˝ slot; 3MTM Unitek Gemini) were placed. Once in 0.019˝ × 0.025˝ stainless steel wires, space closure was performed to mesialise the transplanted tooth towards the midline. Full-time Class II (3.5 oz, ¼˝) elastics were bilaterally added to support overjet reduction. Nickel-titanium coil springs were placed between #13 and #23 to prepare spaces for composite build-up (Figure 4A-E). The transplanted tooth was reshaped with selective enamel grinding on the palatal cusp to avoid heavy occlusal forces. Finishing step bends were placed to idealise the gingival margins of the transplanted teeth and increase palatal root torque on the upper incisors. The total orthodontic treatment time was 29 months. Following removal of the orthodontic appliances, the prosthodontist was able to carry out composite resin build-ups on #13 – #23. The patient was fitted with an upper fixed bonded retainer and asked to wear upper and lower vacuum-formed retainers on a night-time basis (Figure 5A-G).

(A–E) Midtreatment intra-oral photographs.

(A-C) Posttreatment extra-oral photographs. (D-G) Posttreatment intra-oral photographs.
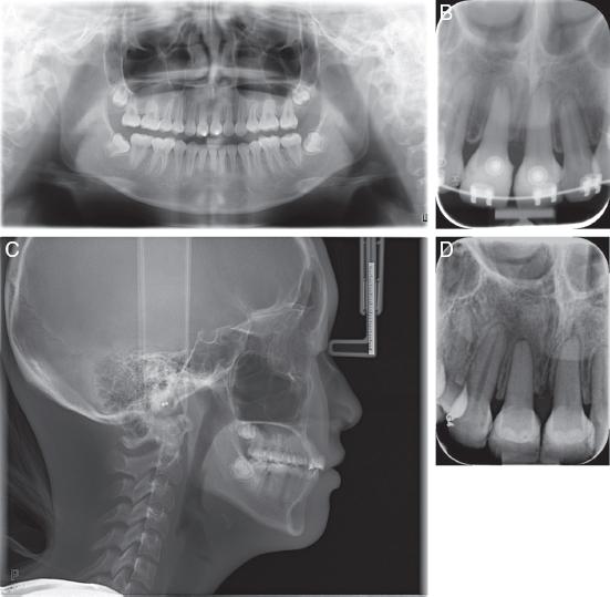
The post-treatment results showed a normal overjet and overbite. No signs of ankylosis, mobility, periodontal problems, inflammatory root resorption, nor other pathological lesions were noted on the follow-up radiographs (Figure 6A-D).

(A) Posttreatment panoramic radiograph. (B) Periapical radiograph of transplanted tooth showing good root length and pulp canal obliteration. (C) Lateral cephalogram. (D) 4-year follow-up of the transplanted tooth #45 showed blunting of the root apex and a localized concavity on the mesial aspect of the root. The tooth should be reviewed in the longer term to assess for any developing signs of root resorption.
An 11-year-old healthy girl visited the clinic with the chief complaints of an uneven smile, after suffering dental trauma to her upper incisors (Figure 7A-H). The upper right lateral incisor (#12) and upper left central incisor (#21) had been subluxated, while the upper right central incisor (#11) suffered a complicated crown fracture which extended subgingivally. Teeth #12 and #21 were root canal treated and displayed radiographic evidence of progressive replacement resorption, while #11 was decoronated 2 mm below the cemento-enamel junction for alveolar bone preservation (Figure 8A-D). She was referred by the paediatric dentist for multidisciplinary management and extractions of #12 and #21, after infra-occlusion of these teeth was observed.

(A-C) Pretreatment extra-oral photographs. (D-H) Pretreatment intra-oral photographs.

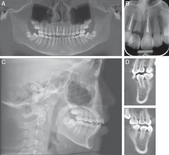
(A) Pretreatment panoramic radiograph. (B) Periapical radiograph showing decoronated #11 and crown attached; Resorption on the apical surfaces of #12 and #21. (C) Lateral cephalogram. (D) CBCT section showing developing tooth #35 with ⅔ root length and (E) Developing tooth #45 with ¾ root length.
An initial examination revealed a Class II malocclusion and a straight profile with 9 mm of incisal display on smiling. She was in the permanent dentition with a decoronated upper right central incisor (#11) and its crown bonded to the adjacent tooth for aesthetics. She had a unilateral crossbite without displacement on the right side extending from #12 to #16. Her upper dental midline had shifted to the left of the facial midline by 2 mm, and her lower second permanent molars were impacted mesio-angularly. The overjet was 6 mm and the molar relationships were a ½ unit Class II on the right and a ¼ Class III on the left (Table II).
Cephalometric measurements (Case 2)
| Pretreatment | Posttreatment | |
|---|---|---|
| SNA (°) | 84.5 | 84.0 |
| SNB (°) | 84.0 | 83.0 |
| ANB (°) | 0.5 | 1.0 |
| WITS appraisal (mm) | -2.5 | -2.0 |
| FMA (°) | 26.0 | 26.0 |
| Lower anterior face height (%) | 57.6 | 55.2 |
| U1 to FH (°) | 124.0 | 119.0 |
| IMPA (°) | 99.5 | 94.0 |
| Interincisal angle (°) | 117.0 | 123.0 |
| Upper lip to E-line (mm) | -1.0 | -1.0 |
| Lower lip to E-line (mm) | 3.0 | 1.0 |
After discussions with the patient, parent and the multidisciplinary team, the following treatment plan was agreed: (1) Extractions of #11, #12, #21, #24, #35, #45 (2) Autotransplantation of the two lower second premolars (#35, #45) to the anterior maxillary recipient sites (#12, #21) (3) Restorative build-up of the crowns of the transplanted teeth (4) Upper and lower orthodontic fixed appliances.
To avoid deviation of the upper dental midline to the right and to reduce the overjet, it was necessary to extract tooth #24. Also, extractions of the lower second premolars would help to create space for the orthodontic uprighting of the impacted #37 and #47.
Prior to the extraction of the donor teeth (#35 and #45), full mucoperiosteal flap elevation and preparation of the recipient beds at #12 and #21 were performed to minimise the exposure time of the donor teeth outside of the mouth. The thin overlying labial bone fractured off during the removal of the ankylosed #21. The lower left and right second premolars were exposed, atraumatically extracted with forceps and placed into the newly created recipient sockets 2 mm below the occlusal plane and stabilised with a passive and flexible wire splint (Figure 9A-C). Careful handling of the donor teeth was ensured to avoid disturbances of Hertwig’s root sheath. Two weeks later, spontaneous eruption of the transplanted teeth had occurred, and the palatal surfaces were trimmed to reduce occlusal interferences.

(A) Periapical radiograph taken 1 week post-autotransplantation; teeth #35 and #45 secured with a flexible wire splint. (B) Lower second premolars transplanted into the anterior maxilla region. (C) Composite build-up 2 months post-autrotransplantation.
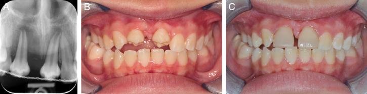
Six months later, a clinical and radiographic examination confirmed the absence of pulpal pathology and complete root development of the transplanted teeth. Fixed orthodontic appliances were placed on the upper and lower arches for levelling and alignment. Once in 0.019˝ × 0.025˝ stainless steel wires, the patient was instructed to wear asymmetric inter-arch elastics to help with the correction of upper and lower midlines and space closure (Figure 10A-E). After 28 months of active orthodontic treatment, all of the fixed appliances were removed, and the prosthodontist was able to add direct composite resin restorations onto #13 to #23 for aesthetic camouflage. Upper and lower removable vacuum-formed retainers were worn on a night-time basis.

(A-E) Midtreatment intra-oral photographs.
At the debonding stage, Class I canine and molar relationships were established, and the lower second molars had uprighted. The patient’s straight profile was preserved by careful retraction of her anterior teeth and the dental midlines coincided with her facial midline (Figure 11A-H). No signs of ankylosis, pathology nor periodontal problems were detected radiographically. The transplanted teeth exhibited an increase in root length and pulp canal obliteration was observed (Figure 12A-D). A good occlusion was achieved, and the patient was satisfied with the results of treatment.

(A-C) Posttreatment extra-oral photographs. (D-H) Posttreatment intra-oral photographs.

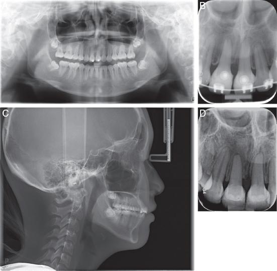
(A) Posttreatment panoramic radiograph. (B) Periapical radiograph of autotransplanted teeth showing good root length and pulp canal obliteration. (C) Lateral cephalogram. (D) 4-year follow-up of the transplanted teeth showing adequate root lengths and optimal intra-crestal bone levels. Pulp canal obliteration was seen in both transplanted teeth.
At the right age, developing lower second premolars are the teeth of choice to substitute for incisors in the anterior maxilla. Especially in the Asian population, prior to starting orthodontic treatment, premolars are frequently extracted to reduce lip protrusion and relieve dental crowding.9 In addition, the premolars are ideal candidates for autotransplantation to the upper anterior region if required before commencing orthodontic treatment. Compared with treatment alternatives like mesialisation of the upper lateral incisors, transplanted premolars present with more favourable tooth widths at the upper incisor gingival level. The upper central incisor is single-rooted and conical in shape, which easily accommodates the lower second premolars of similar morphology.
Due to the young age of the presented patients and the relatively immature root apices, a period was allowed to elapse to encourage pulpal revascularisation and continued root development. Pulpal obliteration is a regular finding associated with autotransplantation and was noted on the periapical radiographs of the three transplanted teeth but the prognosis remained good.10
Post-surgical root development of a transplanted premolar should be carefully monitored by regular periapical radiographic evaluation. In the current cases, the transplanted premolars were classified as Moorrees Stages 3 to 4, as close to ¾ root formation with open apices was noted.11 Comparing the initial premolar root presentation, Andreasen et al.12 found that favourable periodontal ligament healing was expected in at least 89% of subjects at a similar root development stage. The authors also reported that 65% of transplanted teeth had a slightly shorter root length than the normal counterparts and up to 14% exhibited no further root development,13 but these unfavourable findings were not detected in the present cases.
Continued root development and pulp canal obliteration are the typical radiographic signs of normal healing and subsequent root growth in those teeth transplanted with open apices.14–18 Skoglund and Hasselgren reported that performing surgical preparation of the recipient socket in developing transplanted animal teeth may also delay revascularisation of the transplanted tooth’s periodontal ligament, resulting in an increased risk of ankylosis.19 Since long-term rigid splinting has been shown to increase the risk of ankylosis,20 a flexible wire splint was only applied during the initial 2 weeks of the healing period. Pohl et al.21 found that allowing for mobility reduced the likelihood of ankylosis since bone repair is stimulated when functional movement of the transplanted tooth is maintained.
A meta-analysis of both immature and mature transplanted teeth17 reported long-term survival rates of 75 to 91%. This is consistent with the findings from previous individual studies which agreed that clinical success rates are affected by patient age, the stage of root development of a donor tooth, extra-alveolar duration, and surgical damage to Hertwig’s root sheath.6,14,16 Outcome failures such as ankylosis or worsening root resorption of the transplanted tooth are often in proportion to any damage to the root surface during the operation. Should the transplanted tooth develop pathology resulting in treatment, the tooth could be retained to provide space for future implant placement. Autotransplantation can be performed in teeth with completely formed roots and closed apices, but these mature teeth will require root canal treatment to avoid pulpal necrosis and inflammatory root resorption.22 The formation of a continuous lamina dura around the transplanted tooth generally occurs 3 to 9 months after transplantation,14 hence orthodontic treatment was started at 6 to 9 months, only after radiographically confirming the presence of a lamina dura.
Even if the treatment outcome is functionally ideal, treatment may be deemed unsuccessful if an acceptable aesthetic outcome is not achieved. In a study by Czochrowska,23 none of the 40 developing premolars had gingival recession and in the majority of cases, the gingival papillae adjacent to the transplanted teeth completely filled the interdental spaces. When comparing these premolars to their contralateral central incisors, there was a high level of patient satisfaction at 75%,6 which could be further improved by understanding the patient’s pretreatment expectations and delivering them accordingly.
The placement of a prosthetic implant into a missing tooth site is contraindicated in growing patients because it impedes the normal growth of the alveolar process. Unlike an artificial dental implant, natural teeth experience small but cumulative vertical changes and continued eruption into adulthood.24 In adults, a lack of interdental gingival papillae and the infra-occlusion of dental implants compared with the adjacent teeth have been reported following a long-term review.25 In the anterior maxillary region, dental implant placement can be challenging due to greying of gingival tissues in patients with a thin biotype or a high smile line. When two or more anterior teeth are missing, multiple adjacent implants could compromise the inter-implant crestal bone and produce a sub-optimal soft tissue aesthetic result.26 In patients with severe dental trauma, there can be a significant loss of alveolar bone volume, necessitating a 2-stage treatment approach, with initial bone grafting and implant placement as a second stage.27
There has been widespread application of 3D imaging and printing dental technologies in recent years. Attempts have been made to reduce autotransplantation surgical morbidity, including the fabrication of 3D-printed donor teeth replicas or surgical stents to aid the surgical procedure.28,29 These could be used to pre-prepare the recipient site before insertion of the donor tooth, potentially minimising trauma to the periodontal ligament cells and extra-alveolar time. The presented patients were treated with conventional autotransplantation techniques without the use of 3D-printed replicas since the dimensions of the uniformly single-rooted premolars were accurately measured via a high-resolution CBCT.30
The autotransplantation of developing premolars is a viable approach with predictable long-term results for replacing missing upper incisors in children. It is particularly useful in growing patients in whom dental implants are contraindicated, due to their ability to restore the natural dentition and sustain alveolar bone growth. With careful multidisciplinary planning and orthodontic treatment, these transplanted teeth can be successfully transformed to achieve a satisfactory aesthetic and functional result. Continued long-term observation of pulpal and periodontal healing after transplantation of developing premolars is essential to ensure a stable treatment outcom.