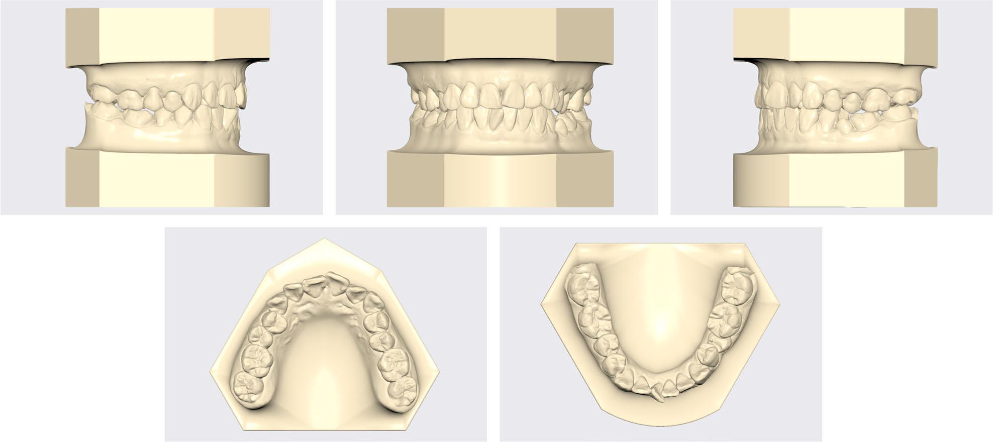
Figure 1.

Figure 2.

Figure 3.

Figure 4.

Figure 5.

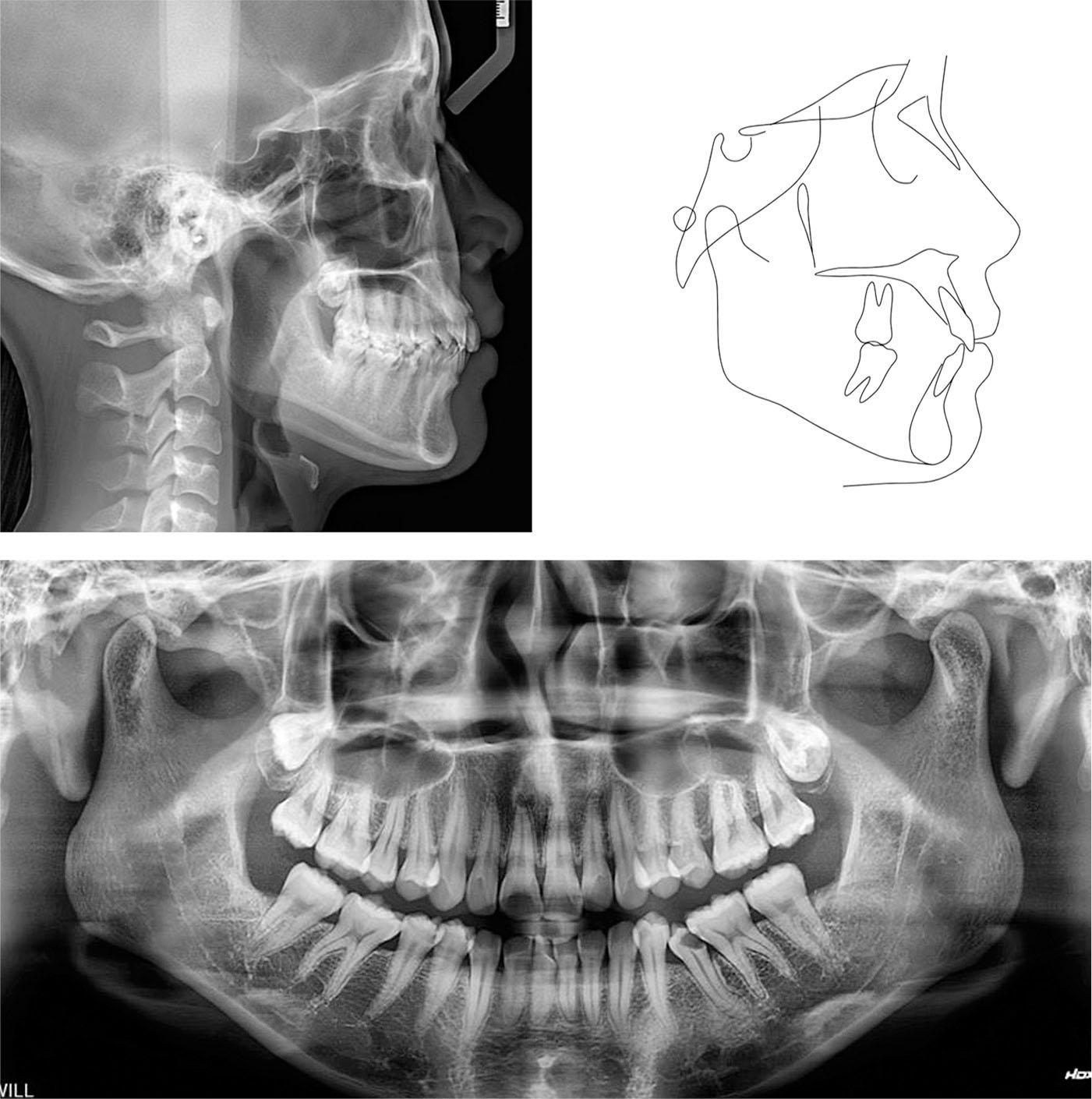
Figure 6.

Figure 7.

Figure 8.

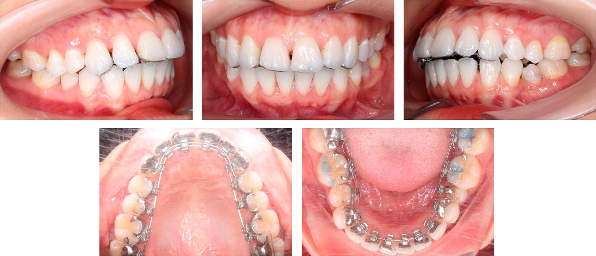
Figure 9.

Figure 10.

Figure 11.

Figure 12.

Figure 13.

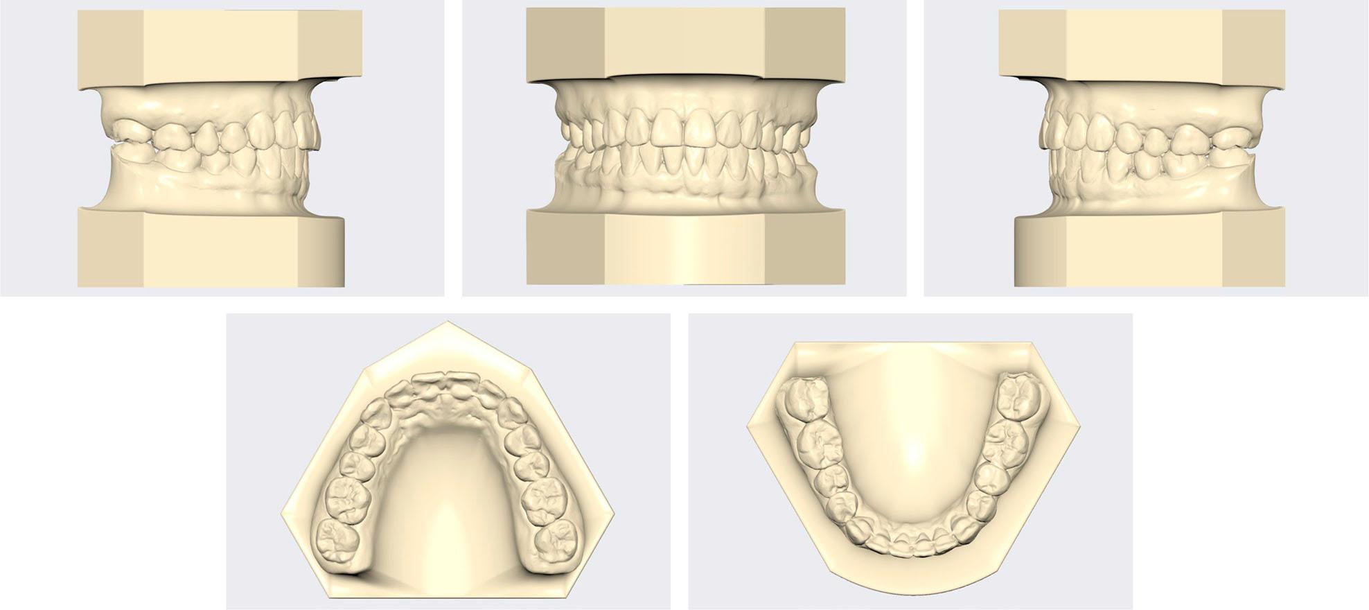
Figure 14.

Figure 15.

Cephalometric measurements
| Pretreatment | Posttreatment | |
|---|---|---|
| Skeletal | ||
| SNA (°) | 81.8 | 81.8 |
| SNB (°) | 78.2 | 77.9 |
| ANB (°) | 3.6 | 3.9 |
| FMA (°) | 27.4 | 27.8 |
| Dental | ||
| U1-SN (°) | 101.7 | 96.7 |
| U1-NA (°) | 19.9 | 14.4 |
| U1-NA (mm) | 4.5 | 2.6 |
| L1-MP (°) | 96.8 | 94.1 |
| L1-NB (°) | 31.2 | 28.2 |
| L1-NB (mm) | 6.9 | 5.5 |
| U1-L1 (°) | 125.3 | 133.5 |
| Soft tissue | ||
| E-line/UL (mm) | -1.2 | -1.4 |
| E-line/LL (mm) | -0.7 | -0.2 |