Following its introduction in 2003, customised lingual appliances have become widely used and applied for the successful treatment of many complex malocclusions.1–3 Customised lingual appliances have the advantages of higher bonding strength due to extended customised bracket bases and easier rebonding of failed brackets.4,5 Customised lingual brackets have also been proven to reduce the incidence of white spot lesions compared with labial brackets.6
Customised lingual appliances have made lingual orthodontics easier so that there is confidence in applying the technique in routine practice.7 The inaccuracy of the direct manual procedure of lingual bracket placement and wire bending may be minimised due to the advancement of computer-aided design and manufacturing (CAD/CAM). Recent studies have proven the high accuracy in achieving planned treatment outcomes using customised lingual appliances8,9 which may also be combined with fixed functional appliances for the treatment of complex Class II malocclusions.10
At present, several brands of customised lingual appliances are available and include Incognito (3M Unitek, Monrovia, CA, USA), Harmony (American Orthodontic, Sheboygan, WI, USA), WIN (Lingual System, Bad Essen, Germany), eBrace (Riton Biomaterial, Guangzhou, China), and Lingual Matrix, (Mumbai, India). These systems share a common feature in that the customised brackets and arch wires are designed and produced by the manufacturers, which leads to disadvantages related to delayed initial bonding due to the delivery time and the need for bracket and arch wire re-orders if the appliances are lost or broken. Additionally, the laboratory fee for customised lingual appliances is usually high due to the complex manufacturing process.
The growing popularity of orthodontic software and three-dimensional (3D) designing freeware has enabled orthodontists to create customised lingual brackets and arch wires. The designs may be sent to a local dental laboratory or the manufacturing process could become totally in-office if the orthodontist acquires a 3D metal printer. If so, the manufacturing time could be shortened, the need for appliance reorders avoided, and the accompanying laboratory costs could also be reduced, which would make lingual orthodontic treatment using customised brackets more cost-effective and versatile.
The present article describes, in detail, the digital workflows for the design and manufacture of customised double-slotted lingual brackets and arch wires and demonstrates appliance efficiency via a non-extraction case report.
A 26-year-old female patient presented with a chief complaint of crowding in both arches. Her medical and dental history were non-contributory. The patient requested comprehensive orthodontic treatment with an aesthetic appliance.
The extraoral examination revealed a slightly convex profile with a normal nasolabial angle (Figure 1). The patient also had a mild facial asymmetry as the chin deviated to the right side. During posed smiling, approximately 70% of the upper incisor crown height was visible. No sign of a temporomandibular joint disorder was noted.

Pretreatment facial and intraoral photographs.
On intraoral examination, the patient had a mild Class III molar relationship on both sides, a mild Class III canine relationship on the right side, and a Class I canine relationship on the left side (Figure 2). The upper and lower arch forms were ovoid. There was moderate crowding in both arches with arch length discrepancies of 7.8 mm and 7.9 mm in the upper and lower arch, respectively. The maxillary and mandibular right central incisors were in an edge-to-edge relationship. The mandibular molars and second premolars were mesially inclined. The upper dental midline was co-incident with the facial midline, but the lower dental midline deviated 1.5 mm to the left.

Pretreatment models.
The lateral cephalometric analysis revealed a skeletal Class I relationship with a normally positioned maxilla and mandible (SNA, 81.8°; SNB, 78.2°; ANB, 3.6°). The lower anterior facial height was within the normal range (FMA, 27.4°). The upper incisors were normally inclined (U1-SN,101.7°) while the lower incisors were slightly proclined (L1-MP, 96.8°). The soft tissue findings showed that the upper and lower lips were normally placed (upper lip to E-line, -1.2 mm; lower lip to E-line, -0.7 mm) (Table I). The panoramic radiograph showed the presence of all teeth except the mandibular third molars and confirmed the mesial inclination of the mandibular molars and second premolars (Figure 3).
Cephalometric measurements
| Pretreatment | Posttreatment | |
|---|---|---|
| Skeletal | ||
| SNA (°) | 81.8 | 81.8 |
| SNB (°) | 78.2 | 77.9 |
| ANB (°) | 3.6 | 3.9 |
| FMA (°) | 27.4 | 27.8 |
| Dental | ||
| U1-SN (°) | 101.7 | 96.7 |
| U1-NA (°) | 19.9 | 14.4 |
| U1-NA (mm) | 4.5 | 2.6 |
| L1-MP (°) | 96.8 | 94.1 |
| L1-NB (°) | 31.2 | 28.2 |
| L1-NB (mm) | 6.9 | 5.5 |
| U1-L1 (°) | 125.3 | 133.5 |
| Soft tissue | ||
| E-line/UL (mm) | -1.2 | -1.4 |
| E-line/LL (mm) | -0.7 | -0.2 |
ANB, A point, nasion, B point; FMA, Frankfort mandibular plane angle; L1, lower central incisor; LL, lower lip; MP, mandibular plane; NA, nasion point A; NB, nasion point B; SNA, sella nasion point A; SNB, sella nasion point B; U1, upper central incisor; UL, upper lip.

Pretreatment radiographs and tracing.
The following treatment objectives were established: (1) to align and level the dentition; (2) to correct the Class III molar and canine relationships to Class I; (3) to correct the edge-to-edge occlusion and achieve a normal overjet and overbite; (4) to correct the lower dental midline deviation; (5) to preserve the upper incisor inclination and retract the lower incisors; (6) to maintain the lower anterior facial height; and (7) to maintain the upper and lower lip position.
Due to the moderate crowding, the extraction of the four second premolars was the first treatment consideration. However, this option would retract the upper and lower incisors, which may flatten the facial profile. The second option was a non-extraction treatment plan in which space creation would be achieved by the combination of interproximal stripping, molar uprighting, and total arch distalisation. Because the patient did not want tooth extractions and the teeth had a triangular morphology which facilitated interproximal reduction, the second option was selected.
Initially, the patient chose customised lingual appliances for the upper arch and labial stock ceramic brackets for the lower arch. However, the day following bonding, the patient requested the replacement of the ceramic brackets with customised lingual appliances in the lower arch to achieve maximum aesthetics and remove the prominence of her lower lip due to the bulk of the lower labial brackets.
Initially, a digital impression was obtained and the data imported into orthodontic software (Autolign, Diorco, Gyeonggi-do, Korea) for tooth and gingiva segmentation. Subsequently, an ideal orthodontic setup was constructed incorporating corrected tip and torque values based on the established treatment objectives (Figure 4). Upon patient approval, a virtual double-slotted lingual bracket set was selected from the software library and placed on the virtual setup models according to the arch form. The arch form could be modified so that the brackets were positioned as close as possible to the lingual tooth surfaces. After confirmation of the final bracket positions, the teeth and accompanying brackets were virtually moved back to the presenting malocclusion situation. The initial models with attached brackets were exported as standard triangular language (STL) files and imported into freeware (Meshmixer, Autodesk, California, USA) to design the customised lingual appliances.

Orthodontic setup and virtual bracket placement.
The customised lingual bracket base was created by selecting an area of the lingual tooth surface and using ‘extrude’ or ‘offset’ commands. The base of the virtual stock bracket was removed and the bracket body was digitally joined to the bracket base to form the customised lingual bracket. The bracket bases could be engraved with tooth numbers for identification purposes. After designing all customised brackets, the data were exported as STL files and 3D-printed using a cobalt-chromium alloy, selective laser melting technology, and a metal 3D printer (NCL-M1100, Chamlion, Nanjing, China). Alternatively, wax patterns of the customised brackets could be formed using a resin 3D printer and castable resin following which, the brackets could be cast via the ‘lost wax’ technique. The fabricated brackets were finally sandblasted with 50 μm aluminum oxide particles at 3 bar pressure and polished using a metal polishing kit (PN 0309B, Shofu, Tokyo, Japan). Additionally, the brackets were put on the patient’s 3D-printed study models to perform required adjustments of the bracket bases to achieve a precise fit against the tooth lingual surfaces.
The virtual initial models incorporating the designed customised lingual brackets were also exported and printed using a 3D printer (Sonic Mighty 4K, Phrozen, Hsinchu, Taiwan) to make indirect bonding trays by a double-layer thermoforming technique.11 The inner soft layer was formed from BIOPLAST foil (Scheu, Iserlohn, Germany) while the outer hard layer was constructed from BIOCRYL foil (Scheu, Iserlohn, Germany). Alternatively, transparent silicone or 3D-printed indirect bonding trays could also be used.
Treatment commenced by bonding all teeth with 0.018” × 0.025” double-slotted customised lingual brackets except the mandibular right central incisor due to inadequate space. A dual-cured resin cement (RelyX U200, 3M Unitek, Monrovia, CA, USA) or a low-viscosity orthodontic adhesive (Enlight, Ormco, Glendora, CA, USA) combined with a universal primer (Single Bond Universal, 3M Unitek, Monrovia, CA, USA) may be used. The initial alignment and levelling were achieved using 0.012”, 0.014”, and 0.016” nickel-titanium round arch wires combined with open coil springs to open space for the mandibular right central incisor and left second premolar. Because of the flexibility of nickel-titanium arch wires, they were difficult to shape and so stock arch wires (Lingual straight wire, Ormco, Glendora, Calif) were selected from three standard arch forms at this initial period.12,13 The arch wire customisation is of minimal importance at this early stage because the nickel-titanium arch wires would not immediately express their arch form due to their flexibility. After gaining enough space, the mandibular right central incisor was bonded directly guided by the customised bracket base. The arch wire sequence was restarted from a 0.012” nickel-titanium round arch wire and progressed through stiffer arch wires.
Treatment continued using 0.016” × 0.016” and 0.016” × 0.022” stainless steel customised arch wires which were engaged to fully express bracket prescription values and arch form. The pre-determined arch forms were exported from the software and printed at a 1:1 ratio to serve as templates. The customised lingual arch wires were formed from straight lengths of wire by using a lingual turret to form the anterior arch curve. Subsequently, a hollow-chop or three-prong plier was used to shape the lateral angled arch wire segments until they matched the templates (Figure 6).14

Customised lingual bracket design.

Customised straight lingual arch wire forming.
After 5 months of levelling and alignment, the overjet increased and a Class II molar and canine relationship developed on the left side (Figure 7). Using a diamond disc (SuperFlex, Edenta, Kaltbrunn, Switzerland), interproximal reduction was performed in both arches from the left to the right first molars which reduced the proximal surface of each tooth by approximately 0.3 mm. Two miniscrews (diameter, 1.6 mm; length 8 mm; Medico, Gyeonggi-do, Korea) were placed in the palatal alveolar bone between the maxillary first and second molars. Entire upper arch distalisation forces of approximately 200 g on each side were applied by power chain from the miniscrews to four anterior lingual brackets. Power chains were also applied to the lower arch to close interproximal reduction spaces. The patient was also instructed to wear Class II elastics on the left side and anterior cross elastics (3/16-inch, 3.5 oz) for lower midline correction.

Upper incisor proclination and increased overjet after the levelling and alignment stage.
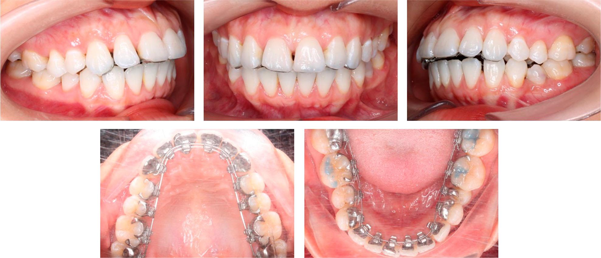
After 5 months of distalisation, a normal overjet and co-incident midlines were obtained. Two labial ceramic brackets were bonded to the maxillary first and second premolars and first-order bends were placed in 0.016” × 0.022” stainless steel customised arch wires to improve tooth alignment (Figure 8). Additionally, labial composite buttons were bonded to apply vertical elastics for occlusal settling. The finishing stage, which took 2 months, resulted in a total treatment time of 12 months. After appliance removal, fixed retainers were bonded to both arches for long-term stability.

Finishing stage with composite buttons for applying vertical settling elastics.
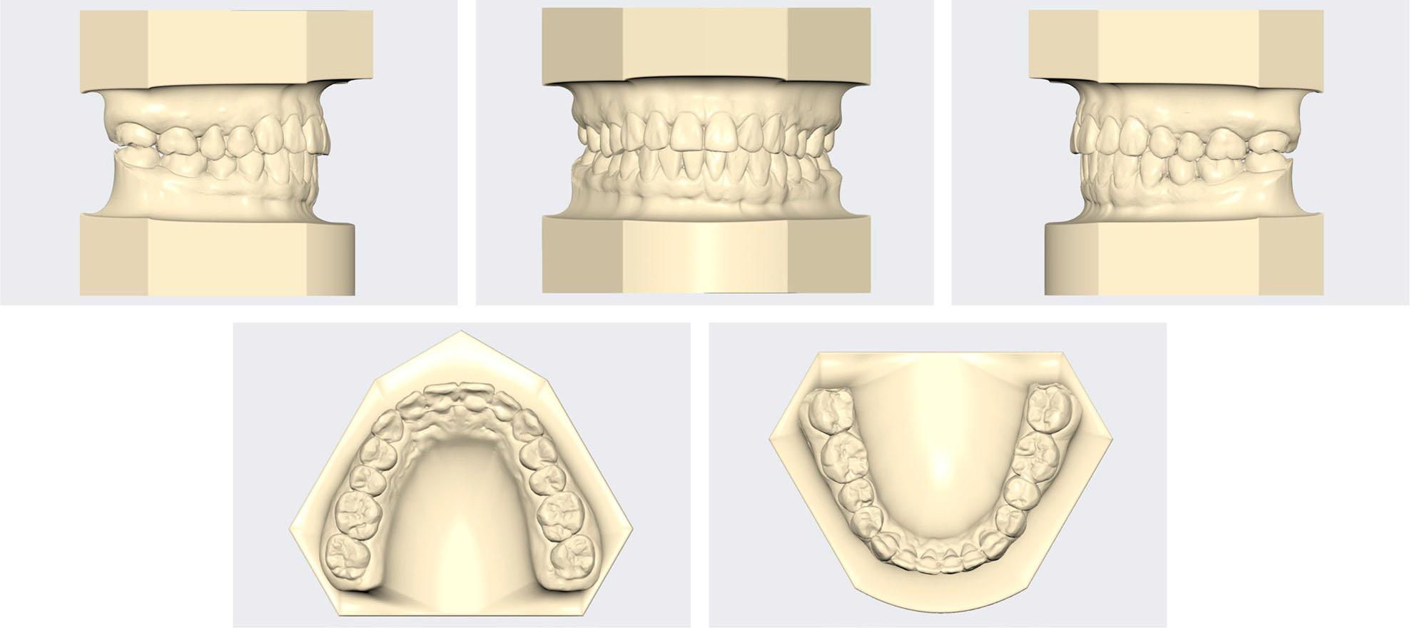
An evaluation of the treatment outcome showed that all treatment objectives were achieved producing a well-aligned dentition and improved smile aesthetics (Figure 9). The anterior crowding was addressed with solid Class I canine and molar relationships on both sides and a normal overbite and overjet. The upper and lower dental midlines were co-incident with the facial midline and the interdigitation was excellent (Figure 10). The occlusal space for prosthetic restoration of the mandibular left second molars was adequately created. The upper incisal display improved but several black triangles were evident despite the triangular tooth shape inviting interproximal reduction.

Post-treatment facial and intraoral photographs.

Post-treatment models.
A lateral cephalometric analysis showed a reduction in the proclination of the upper and lower incisors (U1-SN, 96.7°; L1-MP, 94.1°) despite the non-extraction treatment strategy (Figure 11). The lower anterior facial height slightly increased (FMA, 27.8°). The upper and lower lip projections were maintained (upper lip to E-line, -1.4 mm; lower lip to E-line, -0.2 mm). The panoramic radiograph showed good root parallelism without signs of root resorption. The uprighting of the mandibular molars and second premolars was apparent. The cephalometric superimpositions further confirmed the retraction of the upper and lower incisors, the slight extrusion of the upper incisors, the intrusion of the lower incisors, and the uprighting of the mandibular molars (Figure 12).

Post-treatment radiographs and tracing.

Overall and regional cephalometric superimpositions of the initial (black) and final (red) lateral cephalometric tracings.
The one-year post-retention records showed that the treatment results were stable without signs of relapse (Figure 13). The patient was satisfied with the treatment outcome and the aesthetics of the lingual appliances during treatment.

One-year retention photographs.
The obvious advantages of 3D-printed customised double-slotted lingual brackets include simplicity and versatility. When orthodontists design and even manufacture customised lingual brackets, lingual treatment may become easier and more efficient. Also, the treatment fee could be reduced as the laboratory costs are minimised allowing more patients to receive lingual orthodontic treatment, especially in developing countries.
The rebonding of failed brackets is easier and more accurate with customised brackets due to the accurate fit between the bracket bases and the lingual tooth surfaces, which is similar to bonding a laminate veneer or Maryland bridge. As a consequence, direct bonding could be accurately performed without the need for an indirect bonding tray. A debonded bracket may be sandblasted to remove all adhesive prior to replacement and to avoid the need for a new bracket. Occlusal rests may be added to molar and premolar brackets to further enhance bonding guidance and retention.
In cases of severe crowding or impacted teeth, in which the lingual tooth surface is inadequately exposed for scanning and creating a customised bracket base, initial space opening could be performed. A second intraoral scan may be taken for the design of customised brackets by incorporating the new data into the orthodontic setup once the lingual tooth surface has been sufficiently exposed.
Using the selective laser melting technique, nickel-chromium, cobalt-chromium or titanium alloys may be chosen to fabricate 3D-printed customised brackets. When using titanium alloys, anodising could be performed to manipulate the oxide layer on the bracket surface for colour variation (Figure 14). Different colours could be achieved by varying the voltages to meet the patient’s preferences.

Titanium bracket color variation by anodising.
The use of straight customised lingual arch wires simplifies the arch wire forming process because manufacturer-provided arch wires usually have bends that can only be made by expensive wire-bending robots. Moreover, straight arch wires may facilitate space closure in extraction cases as the presence of bends may interfere with the lingual brackets during anterior retraction. Additionally, straight arch wires exhibit higher stiffness compared to bent wires, potentially leading to more effective arch form expression, tip and torque control, and reduced bowing effects.15
The double-slotted design of lingual appliances was chosen because engaging two arch wires in two directions allows for better simultaneous control over first and second-order movements.16,17 Alternatively, single-slot lingual brackets may also be selected from the software library. However, the reduced bracket widths and inter-bracket spans of lingual appliances would reduce the rotation and angulation control when only one arch wire is engaged unless a time-consuming double overtie technique is applied.
Previous authors support the use of customised resin bases combined with stock lingual brackets instead of customised metal bases.18 However, bonding strength may be reduced by the resin bases as the bracket failure could occur at the bracket-base interface or cohesive failure may occur within the resin bases. Furthermore, the rebonding of failed brackets with customised resin bases would require transfer trays. Additionally, self-ligating brackets have not yet been fabricated with metal 3D printing due to the complexity of the sliding door mechanism.
In the present case report, customised lingual appliances were selected to enhance bonding strength and minimise the risk of bracket debonding, especially as the patient lived in a remote area. Throughout treatment, only one debond occurred, which was the mandibular left second molar bracket, possibly because of the difficulty in saliva isolation. Additionally, a non-extraction treatment plan was chosen because of the tendency for lingual tipping of the incisors in extraction cases treated using lingual appliances and strong molar anchorage.19 Furthermore, more gingival black triangles might result from an extraction treatment plan due to the triangular tooth shape. The mandibular molars were effectively uprighted without the use of Class III elastics nor mandibular miniscrews, showing good tip control of the customised lingual appliances. The biomechanical properties of limiting lower incisor proclination during the levelling stage of lingual appliance therapy might also contribute to the uprighting of the mandibular molars.20
The potential limitations of the technique include the high costs associated with metal 3D printers, which may pose challenges for in-office implementation. Additionally, the laboratory costs of fabricating 3D-printed customised lingual brackets are slightly higher compared to a stock system. Furthermore, self-ligating lingual brackets have not yet been fabricated using metal 3D printing due to the complexity of the sliding gate mechanism.
Printing inaccuracy is another possible challenge, especially in bracket slot precision, compared to stock brackets manufactured by high-precision industrial processes. The build angle during the 3D printing of customised brackets should be set at nearly 90° to ensure that all parts of the bracket are adequately supported and accurately printed (Figure 15). Printing supports should not be placed in the bonding bases of customised brackets to maintain an accurate fit between these areas and the lingual tooth surfaces. Incorrect bracket orientation during 3D printing might result in some parts lacking support and being inaccurately printed.

Correct orientation of the bracket during 3D printing (left). Incorrect orientation leads to unsupported areas (red) which would be incorrectly printed (right).
Because material consumption during the 3D printing of customised brackets is very low, multiple copies of each bracket could be printed simultaneously to offset potential printing errors.
After printing, the accuracy of bracket slots must be verified using a full-size arch wire to identify any incorrectly printed brackets. Brackets that do not allow complete engagement of a full-size arch wire are removed. Based on the author’s experience with more than 20 bonded cases, the prevalence of accurate bracket slots was approximately 85%.
A further possible limitation is the difficulty in polishing 3D-printed brackets because of their small size and the lack of industrial polishing machines. Additionally, 3D-printed brackets typically exhibit higher roughness compared to cast brackets, which may present additional challenges during the polishing process.
With technological advancement, the future of 3D-printed customised lingual appliances is promising. The orthodontic software should be enhanced to incorporate a customised lingual bracket design feature, thus facilitating the design process and saving time. Furthermore, artificial intelligence can be applied to assist in the orthodontic setup and customised bracket design process. In the future, the decreasing cost of 3D metal printers will likely facilitate the in-office implementation of the technique. The technical difficulties should be addressed to enable the printing of customised self-ligating lingual brackets. Furthermore, studies should be conducted to compare the accuracy of customised brackets fabricated with selective laser melting and lost wax casting methods Figure 5.
With the advancement of 3D-printing technology, orthodontists are able to design and manufacture customised lingual appliances, which may increase treatment versatility and reduce treatment costs. The presented case report showed that 3D-printed customised lingual appliances combined with miniscrews could successfully manage moderate crowding by a non-extraction approach over a short treatment time. Additional studies with large sample sizes should be conducted to confirm the effectiveness of the technique.