Cone-beam computed tomography (CBCT) is widely used for the three-dimensional examination of the oral structures due to precise visualisation that may not be apparent in two-dimensional radiographs. The structures that are visible on CBCT images depend on the field of view (FOV) of the machine. A CBCT scan with a large FOV is useful in oral surgery, orthognathic surgery and oral implantology for the evaluation of bone volumes and the proximity of vital structures.1 However, imaging of the entire skull will require a large FOV greater than 160 mm2,3 compared to a small FOV of approximately 50 mm.4 A CBCT scan with a restricted FOV captures the image of a small area of interest such as the maxilla or the mandible. In this situation, the base of the skull, the orbits and auditory meatus which serve as reference points and planes on a lateral cephalogram, may not be visible.
The advantages of images taken using a CBCT with a small FOV are that there is less scatter and therefore better resolution.3,4 A small FOV creates high-resolution images at a very low exposure to ionising radiation and without extensive reconstruction time that would be associated from larger FOV systems due to the greater file sizes to be processed.4 A restricted FOV reduces the volume that may be examined.
Small FOV systems concentrate on structures with which the average clinician is most familiar such as the dental arches or individual temporomandibular joints. There is less detail regarding the cranial cavity, ear, paranasal sinuses and neck structures.4 A CBCT scan with a small FOV is used during routine orthodontic treatment to check the position of a mini-implant, locate an impacted canine or evaluate the temporomandibular joint. A CBCT scan taken for these purposes may be further used to assess the progress of orthodontic treatment.
A commonly used method for evaluating skeletal and dental discrepancies of the head is cephalometric analysis. This is performed on lateral head films that are commonly captured for orthodontic diagnosis, planning and treatment evaluation. Recently, CBCT-generated two-dimensional lateral cephalograms have been used for the measurement of the skull and associated structures. However, significant differences have been found in the linear and angular measurements between the conventional lateral cephalogram and CBCT-synthesised cephalometric radiographs2 and reference points measured in the vertical and horizontal planes.3 Magnification has been encountered in CBCT-generated lateral cephalograms and distortional corrections may be required.2 The frequently used reference plane in CBCT-generated lateral cephalograms is the SN plane (Sella-Nasion plane) or the FH plane (Frankfurt horizontal plane) similar to conventional lateral cephalograms.5–9 However, visualisation of the SN plane requires imaging of the base of the skull produced by a standard CBCT scan with a large FOV.10 Furthermore, this reference plane may not be visible in a CBCT scan with a small FOV that captures a relatively smaller region that omits the skull base. Hence, it is not possible to use the SN plane as a landmark in these scans and so there is a need to identify structures within the area of interest that can be used to provide references.
Although the section of the facial skeleton that is visible in a small FOV CBCT scan taken for the maxillary region is limited, it is possible to identify potential reference planes that can be used for measurement of specific dental parameters. In the present study, an attempt has been made to use the palatal and occlusal planes in the region of the maxillary molars to measure the change in axial inclination of the maxillary central incisor and the maxillary first permanent molar and to determine if there is any difference in these measurements when compared with those obtained from a conventional lateral cephalogram.
The null hypothesis was that the palatal and molar occlusal planes cannot be used as reference planes in a CBCT with a small FOV to measure a change in axial inclination of the maxillary central incisor and the maxillary first permanent molar.
Therefore, the aim of the present study was to compare the change in axial inclination of the maxillary central incisor and the maxillary first permanent molar using the palatal plane and the molar occlusal plane as a reference planes identified on a CBCT scan with a small FOV and with the same parameters measured on a lateral cephalogram using the palatal plane as a reference.
This was an observational and analytical study. The study was approved by the scientific review board of Saveetha University (SRB/SDC/FACULTY/20/ ORTHO/03) and ethical clearance was obtained to conduct the study (SRB/SDC/Faculty/20/ ORTHO/03). A total of eighteen patients undergoing orthodontic treatment in the department of orthodontics were selected. To avoid treatment bias, all patients requiring the same treatment protocol and treatment mechanics were chosen. Of these, three patients were excluded due to incomplete records. The inclusion criteria identified patients greater than fifteen years of age of both genders with a full complement of teeth and presenting with a mild to moderate arch length tooth-size discrepancy. All patients required a treatment protocol that involved the distal movement of the entire maxillary arch using mini-implants. Patients less than fifteen years of age, with a severe sagittal or vertical discrepancy, medically compromised, periodontally compromised or with a temporomandibular disorder and those who had already undergone orthodontic treatment were excluded from the study. Written informed consent was obtained from all patients.
MBT brackets (0.022” slot) were bonded to the upper and lower arches in all patients. Levelling and aligning was achieved until a 0.018″ × 0.025″ stainless steel wire was passive in the slot. Stainless steel miniimplants (12 mm × 8 mm) were placed between the maxillary second premolar and the first permanent molar using an orientating stent11 following adequate infiltrative anaesthesia.12 A distalising force of 200 g was bilaterally placed by pre-calibrated NiTi coil springs extending from the mini-implants to crimpable hooks placed on a 0.018″ × 0.025″ stainless steel base arch wire between the maxillary lateral incisor and the maxillary canine.
The patients were reviewed periodically for six months. A lateral cephalogram and CBCT scan of the maxilla was taken for all patients prior to the start of arch distalisation (T1) and six months later (T2).
All lateral cephalograms were taken in natural head position and subsequently checked for magnification error which was invariably greater than a ratio of 1:1. The axial inclination of the maxillary central incisor was measured as the angle formed by the long axis of the tooth to the palatal plane drawn from the anterior nasal spine to the posterior nasal spine. The axial inclination of the maxillary first permanent molar was measured by the angle formed by the long axis of the first permanent molar drawn from the tip of the mesiobuccal cusp to the apex of the mesiobuccal root of the maxillary first permanent molar with the palatal plane. A single measurement was made on the lateral cephalogram denoting the axial inclination of the maxillary central incisor (U1 to palatal plane) and the axial inclination of the first permanent molar (U6 to palatal plane). On the CBCT scan, both the right and left sides may be accurately visualised and were therefore measured individually. The measurements made on the lateral cephalogram were compared with the measurements made on the DICOM images from each side.
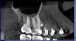
The CBCT scan was taken using a Sidexis XG 2.6.3 machine (2016 Sirona Dental Systems, GmbH) whose specifications were 90 kV, 9 to 12 mA, 8 to 14-sec exposure time, 200 μm voxel resolution and a 80 × 80 mm field of view. The patient’s head was positioned in the CBCT machine such that the sagittal plane lay along the patient’s midline and the Frankfurt horizontal plane from the upper border of the tragus of the ear to the infra-orbital rim was positioned parallel to the floor. The DICOM images of the maxilla along with the dentition were viewed using Galileos software 1.9 (Sirona Dental Systems, GmbH). The maxillary central incisor was evaluated on the tangential window of the implant-aligned view. The same images could also be viewed on the cross-sectional window of the panoramic view. However, the tangential window of the implant-aligned view provided a greater area of view compared to the cross-sectional window of the panoramic view. The DICOM images of the maxillary central incisor were sequentially viewed from the right to the left side. As the different slices were viewed, the entire length of the maxillary central incisor along with the palatal plane was visible in only one or two images. The definitive image was therefore selected. The palatal plane was drawn between the anterior and posterior limit of the palate and the long axis of the incisor was drawn to the palatal plane. The angle formed between the long axis of the maxillary tooth and the palatal plane was measured individually on each side to determine the axial inclination of each central incisor (Figure 1).

Shows the measurement of the axial inclination of the maxillary central incisor using the palatal plane as reference on the CBCT scan.
The axial inclination of the maxillary first permanent molar was measured using the molar occlusal plane as a reference. This was evaluated using the tangential window on the panoramic view which was kept in the region of the maxillary molars. As the DICOM images were viewed from the right to the left side in the region of the molars, the maxillary palate was not visible in the posterior region and hence the palatal plane could not be used as a reference plane. However, the entire length of the maxillary first and second permanent molars was visible in only one or two images. One definitive image was selected and the molar occlusal plane was drawn horizontally from the distal cusp of the maxillary second permanent molar to the mesial cusp of the maxillary first permanent molar. The long axis of the tooth was drawn along the mesiobuccal cusp to the mesiobuccal root apex of the maxillary first permanent molar (Figure 2). The angle between the molar occlusal plane and the long axis of the molar was recorded separately on both the right and left side.

Shows the measurement of the inclination of the maxillary first permanent molar using the molar occlusal plane as reference on the CBCT scan.
All measurements were performed by a single operator. Since it was not possible to mask the patient’s name on the CBCT data, blinding of the images was not possible. However, the lateral cephalograms were taped such that the patient details were not available during measurement.
The Shapiro–Wilk test was performed to check the normality of data distribution. Descriptive statistics were applied to determine the mean age and gender profiles. The independent t-test was used to compare the measurements made on the CBCT scan and the lateral cephalogram at the start of distal movement of the maxillary arch and six months after distalisation. The accuracy, the agreement between methods and reliability were investigated using the Bland–Altman plots with linear regression to determine proportional bias. Kappa statistics were applied to measure intra-operator reliability. The p-value was set at 0.05.
The sample consisted of fifteen patients whose mean age was 19.6 ± 4.36 years. There were six males and nine females with a mean age of 22.17 ± 5.27 years and 17.89 ± 2.76 years, respectively (Table I). The Kappa statistics showed that the intra-operator measurements were reliable at a value of 0.89.
Shows the demographics of the patients included in the study
| Male | Female | Total | |
|---|---|---|---|
| N | 6 | 9 | 15 |
| Mean age (SD) in years | 22.17 | 17.89 | 19.6 |
| (5.27) | (2.76) | (4.36) |
The Shapiro-Wilk test showed a normal distribution of data. The comparison of pre-treatment values of axial inclination of the maxillary central incisor measured on the CBCT scan and lateral cephalogram with the palatal plane as a reference did not show a statistically significant difference on both the right and left sides (p = 0.206 and p = 0.411), respectively (Table II). Similarly, a comparison of post-treatment values of axial inclination of the maxillary central incisor measured on the CBCT scan and lateral cephalogram with the palatal plane as a reference did not show a statistically significant difference between the right and left sides (p = 0.398 and p = 0.620), respectively (Table II).
Showing the comparison of pre-treatment and post-treatment measurements between the CBCT image and cephalogram in the maxillary arch
| Pre-distalisation measurements | Post-distalisation measurements | |||||||||||
|---|---|---|---|---|---|---|---|---|---|---|---|---|
| N | Side | Parameters | CBCT Mean (SD) | Lateral Cephalogram Mean (SD) | Difference Mean (SE) | 95% Cl | Sig. (2- tailed) | CBCT Mean (SD) | Lateral Cephalogram Mean (SD) | Difference Mean (SE) | 95% Cl | Sig. (2- tailed) |
| 15 | Right side | Axial inclination of U1 (°) | 118.04 | 120.80 | –2.76 | –7.13 | 0.206 | 1 16.22 | 1 18.27 | –2.047 | –6.93 | 0.398 |
| Axial inclination of M1 (°) | 80.32 | 90.60 | –0.28 | –14.33 | 0.000* | 82.33 | 93.80 | –11.47 | –15.94 | 0.000* | ||
| Left Side | Axial inclination of Ul (°) | 1 18.96 | 120.80 | –1.84 | –6.36 | 0.41 1 | 1 17.23 | 1 18.27 | –1.03 | –5.25 | 0.620 | |
| Axial inclination of M1 (°) | 78.65 | 90.60 | –11.95 | –15.96 | 0.000* | 80.33 | 93.80 | –13.47 | –18.41 | 0.000* | ||
Axial inclination of U1 – Long axis of the maxillary central incisor to the palatal plane.
Axial inclination of M1 – Long axis of the maxillary first permanent molar to the molar occlusal plane on CBCT and long axis of the maxillary first permanent molar to the palatal plane on lateral cephalogram.
*P≤0.05 is statistically significant.
The comparison of the pre-treatment values of axial inclination of the maxillary first permanent molar measured on the CBCT scan and lateral cephalogram with the palatal plane and molar occlusal plane as the references, respectively, showed a statistically significant difference (p value of 0.000 and 0.000) on both sides (Table II). The same applied for the post-treatment measurements. This was likely because of the difference in the reference plane used, namely, the palatal plane on the lateral cephalogram and the molar occlusal plane on the CBCT scan.
There was no statistically significant difference in treatment change (T1–T2) when measured on the CBCT scan and lateral cephalogram. There was no statistically significant difference in the change in axial inclination of the maxillary central incisor and maxillary first permanent molar due to treatment to a 95% confidence interval of -1.82 to 4.19 and -4.48 to 3.05 with a p-value of 0.425 and 0.701, respectively, on the right side and 95% confidence interval of -1.76 to 4.79 and -4.41 to 2.79 and p-value of 0.350 and 0.650, respectively, on the left side (Table III). It may be therefore inferred that the palatal plane and the molar occlusal plane identified from the CBCT scan can be used for evaluating treatment change and so the null hypothesis was rejected.
Showing the comparison treatment change achieved and level of significance when measured with lateral cephalogram and CBCT
| Right side | Left side | ||||||||||
|---|---|---|---|---|---|---|---|---|---|---|---|
| N | Treatment change (T1-T2) | CBCT Mean (SD) | Lateral Cephalogram Mean (SD) | Difference Mean (SE) | 95% Cl | Sig. (2- tailed) | CBCT Mean (SD) | Lateral Cephalogram Mean (SD) | Difference Mean (SE) | 95% Cl | Sig. (2- tailed) |
| 15 | Change in axial inclination of M1 (°) | –2.01 | –3.20 | 1.19 | –1.82 | 0.425 | –1.68 | –3.20 | 1.52 | –1.76 | 0.350 |
| Change in axial inclination of U1 (°) | 1.82 | 2.53 | –.71 | –4.48 | 0.701 | 1.72 | 2.53 | –0.81 | –4.41 | 0.650 | |
U1 – maxillary central incisor, M1 - maxillary first permanent molar.
*P≤0.05 is statistically significant.
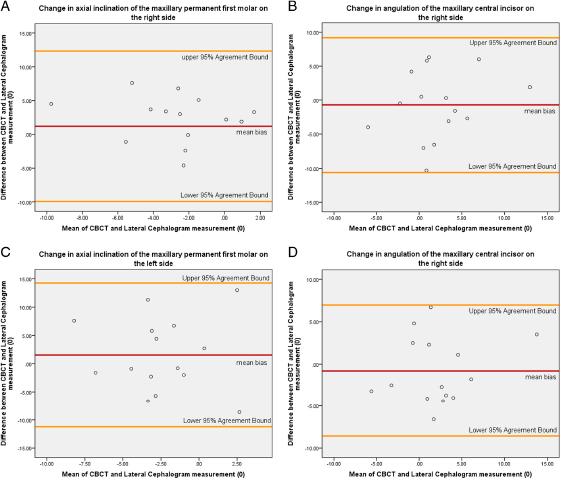
Figure 3 shows the Bland–Altman plots to check the reliability of treatment change measured by the two methods. Based on the plot, a linear regression analysis was performed for all of the parameters (Table IV). The linear regression did not show a statistical significance for the various parameters (Table IV) and there was no proportional bias identified between the two groups.

Shows the Bland–Altman plot to evaluate method of agreement of the various parameters evaluated in the study.
Shows the linear regression analysis done after the Bland Altman test depicted in fig 3 and the presence or absence of proportional bias for each of the parameters between CBCT and lateral cephalogram
| Unstandardized Coefficients | Standardized Coefficients | ||||||
|---|---|---|---|---|---|---|---|
| Parameters | B | Std. Error | Beta | t | Sig. | R2 | Standard error of estimate |
| Change in axial inclination of the maxillary permanent first molar on the right side | –0.487 | 0.538 | –0.243 | –0.905 | 0.382 | 0.059 | 5.71 |
| Change in angulation of the maxillary central incisor on the right side | 0.258 | 0.313 | 0.223 | 0.824 | 0.425 | 0.050 | 5.11 |
| Change in axial inclination of the maxillary permanent first molar on the left side | –0.096 | 0.613 | –0.043 | –0.156 | 0.878 | 0.002 | 6.74 |
| Change in angulation of the maxillary central incisor on the left side | 0.143 | 0.247 | 0.159 | 0.580 | 0.572 | 0.025 | 4.06 |
* Statistical significance = p ≤ 0.05 with 95% confidence interval.
No harm was done to the patients as the radiation exposure was within permissible limits. The effective dose for a CBCT scan using a small FOV ranges from 5 to 488 μSv which is far less than a CBCT scan of medium or large FOV which ranges from 46 and 916 μSv.10,13
Lateral cephalograms are the most commonly-used conventional imaging technique for diagnosis, planning and orthodontic treatment assessment.10 However, some of the landmarks are not clearly visible due to overlap of bilateral structures.5,6,14 While CT-generated lateral cephalograms are being used more frequently, there is controversy over the reliability of cephalometric measurements made on a CT-generated lateral cephalogram.13,15–22 A comparison of the reliability and accuracy of CBCT measurements with direct measurements made on a dry skull showed no statistically significant differences.16 However, further studies have found significant differences in the identification of specific points.5,6,9,17–20 but, the overall reliability of measurements and landmark identification on CBCT images has been reported to be good.8,9,23–27
In the present study, two reference planes were identified on the CBCT scan within the area of interest localised to the maxilla. One was the palatal plane and the other was the molar occlusal plane. Although the palatal plane is routinely used for the measurement of several skeletal and dental parameters, the molar occlusal plane as a reference plane has not been used nor evaluated. The molar occlusal plane is a new reference plane identified specifically for use in a small FOV CBCT scan with the maxilla as the area of interest due to a lack of other reference planes. Although it would be ideal to evaluate the axial inclination of the maxillary first permanent molar with the molar occlusal plane as a reference on both the CBCT scan and lateral cephalogram, the molar occlusal plane is not a standard reference plane. The palatal plane is routinely used as a reference for measurements on a lateral cephalogram, and so it was used to measure the change in the axial inclination of the maxillary first permanent molar on the lateral cephalogram to compare with measurements made on the CBCT scan.
The axial inclination of the maxillary central incisor and the maxillary first permanent molar were compared between a lateral cephalogram and CBCT scan at the start of distal movement of the maxillary arch (T1) and again at the end of six months (T2). The change in axial inclination of the maxillary central incisor and the maxillary first permanent molar (T1-T2) was compared between the lateral cephalogram and CBCT. Although the molar occlusal plane is different from the palatal plane an attempt was made to compare the axial inclination of the maxillary first permanent molar measured on the lateral cephalogram with the palatal plane as a reference to that measured on the CBCT scan using the molar occlusal plane.
A comparison of the axial inclination of the maxillary first permanent molar measurement prior to, and again after six months showed a significant difference when measured on the CBCT scan and lateral cephalogram. This was because two different reference planes were employed for the measurement of the axial inclination of the maxillary first permanent molar on the lateral cephalogram and the CBCT scan. However, if the difference in measurements made prior to, and six months after distalisation were alike it may be considered that the molar occlusal plane was reliable. The change in axial inclination of the maxillary first molar due to treatment was similar with no statistically significant difference between the two imaging techniques, hence it may be inferred that the molar occlusal plane is reliable and therefore useful as a reference plane.
Although it may be argued that the occlusal plane may change as a result of treatment, it did not appear to influence the measurement of treatment outcome based on the results of the present study. The cephalometric evaluation of changes in the inclination of the occlusal plane in orthodontically treated patients showed that there was no statistically significant difference in Class I and Class III patients.28
A comparison of pre-distalisation measurements using the palatal plane as a reference did not show a difference in the axial inclination of the maxillary central incisor when measured between the lateral cephalogram and the CBCT scan. The result was similar when the inclination of the maxillary central incisor was compared after six months of distalisation. The resulting change in axial inclination of the maxillary central incisor was also similar when measured on the CBCT scan and the lateral cephalogram. Based on these results the palatal plane was found to be reliable for measuring skeletal and dental parameters on a CBCT scan taken using a small FOV.
Other parameters such as the intrusion of the maxillary incisors, the axial inclination of the lateral incisors and axial inclination of the maxillary premolars and second permanent molars may also be assessed using the reference planes identified in this study.
CBCT scans were taken for all of the patients at the end of six months to check for the possibility of tooth root contact due to treatment and hindrance to further orthodontic tooth movement since the mini-implant was placed in the inter-radicular space between the maxillary second premolar and first permanent molar. If required, necessary corrections in mini-implant position were made and further distal movement was continued until treatment completion. Lateral cephalograms were obtained at T2 to check treatment progress and determine the need for additional torque to the maxillary anterior teeth as part finishing and detailing.
The only reference plane that has been described in the literature for measurement in a CBCT scan with a small FOV is the Frankfurt horizontal plane.29 The distance of the projection of A and B point (AF-BF) on the Frankfurt plane was used to determine the skeletal pattern in a small FOV CBCT scan and the measurement was found to be highly reliable when compared with the ANB angle and the Wits appraisal.29
A further method of evaluating treatment outcome through a CBCT scan is a three dimensional superimposition using volume rendering. A voxel-based superimposition of a CBCT taken pre-treatment and post-treatment can be performed. Stable reference planes for voxel-based superimposition of DICOM images are the anterior cranial base and zygomatic arch30 but these structures may not be captured if the FOV is limited. A voxel-based regional superimposition of CBCT scans incorporating a smaller field of view can be generated by means of standardised threshold segmentation.31 However, these methods require expensive software and may not be within the consideration of every orthodontist.
The ease of identification of landmarks on a CBCT scan has been made possible by the development of a fully automated landmark placement tool32 that uses an algorithm which detects landmarks through a virtual agent placed inside volumetric images and which navigates through the volumetric space to reach landmark position.32
However, the major deterrent to the routine use of CBCT scans in orthodontic practice is excessive radiation exposure. A CBCT scan has a lower radiation exposure compared to a conventional CT when used in diagnosis, planning, the evaluation of treatment change and growth7, but the amount of exposure is greater than that delivered by lateral cephalogram exposure.
The amount of radiation exposure can be reduced by decreasing the field of view along with proper scanning protocols and the use of shielding methods.33 A CBCT scan with a small FOV has a smaller diameter and the size reduction reduces the patient’s exposure to ionising radiation3, reduces scatter, improves the resolution of the image and has the same level of performance as a CBCT scan with a large FOV.3
There is conflicting evidence regarding the level of radiation exposure associated with a CBCT scan with a small FOV when compared with conventional radiographs taken for orthodontic purposes. CBCT techniques such as a shielded low-dose protocol have a lower effective dose compared to conventional panoramic and lateral cephalometric radiographs.34 However, others have found that, despite the mode of image capture, the CBCT scan generates more radiation compared to a conventional set of orthodontic radiographs, namely, an OPG, lateral cephalogram and postero-anterior cephalogram.35
Although there is a controversy over the use of CBCT in orthodontics, units with a small FOV may be beneficial for the patient. There are several orthodontic applications of a CBCT scan with a small FOV, namely, the assessment of root resorption, a periodontal evaluation, the detection of defects in the alveolar bone or a basal bone problem, mini-implant placement and the presence of impacted teeth. CBCT images taken for any of these purposes may be used to assess orthodontic treatment change. The measurements made on the CBCT scan are not affected by a change in skull orientation.36 An additional advantage is that individual bilateral measurements can be made separately and be used to check treatment progress and avoid additional radiographs. A CBCT scan with a small FOV also requires less capital investment.
A CBCT scan should not be recommended for use in all orthodontic patients as a substitute for a conventional set of radiographs. Appropriate imaging protocols such as reducing the field of view and shielding sensitive organs are advisable and must be implemented to lower the exposure dose.
A limitation of the present study was the identification and location of the ideal DICOM image for measurement. It required sequential visualisation of several images which was time consuming. Relocating the same image required expertise which may be difficult and challenging especially in the posterior region. A novice may require the exportation of copies of the images of specific sections of the CBCT scan for future reference and a complete evaluation of the patient’s face may not be possible. A change in the occlusal plane during orthodontic treatment may influence treatment outcome in skeletal Class II malocclusions28 and further studies may be required to check the effectiveness of the molar occlusal plane in these cases.
The measurements conducted in the present study can be performed in subjects within any population and other clinical settings with the same reliability.
The palatal plane and molar occlusal plane can be used for the accurate measurement of change in the axial inclination of the maxillary central incisor and the first permanent molar using a CBCT scan with a small FOV.