A bimaxillary protrusion is a distinctive dentofacial deformity characterised by the protrusive position of the upper and lower dentoalveolus and a mild to severely deficient development of the chin, which is commonly seen in African and Asian populations.1 Individuals with a bimaxillary protrusion show a hyperdivergent facial pattern that includes protruded lips, a high mandibular plane angle, increased lower anterior face height, mentalis strain, and a ‘gummy’ smile.2
Patients presenting with a bimaxillary protrusion malocclusion, seek orthodontic treatment to reduce their lip prominence. The anterior teeth therefore require adequate retraction with the least amount of molar anchorage loss after tooth extraction. Vertical control is also essential in order to optimise the occlusal relationship and facial profile.
The demand for aesthetics during orthodontic treatment has markedly increased. Patients prefer a customised lingual appliance (CLA) because of its invisibility and convenience. Three-dimensional setups contribute to simulating the outcomes of a planned course of lingual orthodontic treatment with the help of a customised computer-aided/design and manufacturing (CAD/CAM) system.3 Additionally, micro-screws have been utilised as skeletal anchorage support, enabling maximum en-masse retraction of the anterior teeth and the correction of a ‘gummy’ smile.4
In the present report, the use of a customised lingual appliance is described to successfully enhance the facial profile of an adult presenting with a skeletal hyperdivergent bimaxillary protrusion and a ‘gummy’ smile. Molar anchorage, anterior torque, and the vertical dimensions were well controlled under the combination of the customised appliance and micro-screws.
A 28-year old female patient complained of her unacceptable facial profile and ‘gummy’ smile. She requested corrective orthodontic treatment using an invisible appliance.
During the clinical evaluation prior to treatment, no facial asymmetry and temporomandibular disorders were noted. However, there were protruded lips and mentalis strain upon mouth closure. The patient also showed excessive gingival display with a reverse smile arc when smiling (Figure 1).
Figure 1.
Pretreatment facial and intraoral photographs.

An intraoral examination revealed that the anterior teeth protruded and the mandibular anterior teeth were mildly crowded. The molar relationship was Class I on the right side and end-on Class II on the left side. The overjet was 6.0 mm, and overbite was 5.0 mm. The midline of the mandibular teeth deviated 1.0 mm to the left (Figure 2).
Figure 2.
Pretreatment dental models.

The panoramic radiographic findings revealed that the left mandibular third molar was horizontally impacted (Figure 3). A lateral cephalometric analysis showed a skeletal Class I pattern (ANB, 4.3°), a hyperdivergent growth pattern (FMA, 29.0°; GoGn-SN, 38.2°), and maxillary anterior tooth extrusion (PP-U1, 34.3 mm). The maxillary (U1-NA, 8.5 mm/32.2°) and mandibular incisors (L1-NB, 8.0 mm/31.0°; U1-L1, 118.1°) protruded. The soft tissue findings confirmed that the upper and lower lips were protrusive (the upper lip to E-line, 3.0 mm; lower lip to E-line, 7.0 mm) with an acute nasolabial angle (NLA, 77.0°) (Table I).
Figure 3.
Pretreatment radiographs and tracing: (A) lateral cephalometric radiograph; (B) cephalometric tracing; and (C) panoramic radiograph.

Cephalometrio analysis.
Variable | Norm | Pretreatment | Posttreatment |
---|---|---|---|
SNA,° | 82.8 | 76.2 | 76.0 |
SNB,° | 80.1 | 71.9 | 73.0 |
ANB,° | 2.7 | 4.3 | 3.0 |
Wits appraisal, mm | 0.0 | 0.8 | -3.3 |
SN-GoGn,° | 32.5 | 38.2 | 36.0 |
U1-NA,° | 22.8 | 32.2 | 17.8 |
UI-NA, mm | 5.0 | 8.5 | 3.5 |
L1-NB,° | 30.3 | 31 | 25.9 |
L1-NB, mm | 7.0 | 8.0 | 4.2 |
FMA(MP-FH),° | 30.19 | 29.0 | 27.5 |
IMPA(L1-MP),° | 95.59 | 100.5 | 95.5 |
FMIA(L1-FH),° | 57.81 | 50.5 | 57.0 |
Interincisal angle,° | 124.2 | 118.1 | 137.0 |
Upper lip to E-line, mm | -4.0 | 3.0 | 0.5 |
Lower lip to E-line, mm | -2.0 | 7.0 | 3.0 |
Nasolabial angle,° | 110.0 | 77.0 | 90.0 |
The objectives were to improve the facial profile, and the following treatment goals were established: (1) to level and align the teeth; (2) to retract the anterior teeth after the removal of the first premolars and with the assistance of maximum anchorage; (3) to correct the molar Class II relationship to Class I; (4) to intrude the anterior teeth and correct the ‘gummy’ smile; (5) to correct the mandibular midline discrepancy; (6) to regain normal overbite and overjet; (7) to maintain vertical control.
Using the CLA to manage the problem of the bimaxillary protrusion has the advantage of invisibility and aesthetics compared with a labial fixed appliance. The CLA also provides good vertical and anchorage control by the assistance of micro-screws.5,6 Orthognathic surgery was an alternative, but the patient refused as she wanted to avoid the trauma of surgery. The treatment plan was finalised and included a CLA with micro-screws.
Step 1: levelling and aligning the maxillary and mandibular teeth and establishing appropriate torque (4 months).
To prepare for treatment commencement, the four first premolars were extracted following which digital tooth re-positioning was performed. Extra anterior lingual root torque and crown angulation were added to the brackets to assist the alignment phase (Figure 4). The extra lingual root torque of 13°–10°–8° were preset in the maxillary central incisors-lateral incisors-canines and 7°–7°–4° were preset in the mandibular central incisors-lateral incisors-canines to prevent the loss of anterior torque. In addition, extra crown angulation was planned to prevent the canines and the second premolars from tipping into the extraction space (Table II). The CLA (eBrace, Riton Biomaterial, Guangzhou, CN) of a customised 0.018˝ prescription, incorporating vertical slots in the anterior brackets, and horizontal slots in the posterior brackets, was planned (Figure 5).
Figure 4.
Digital setup: simulation of the final occlusal relationship.

The overcorrection: extra crown angulation.
Tooth position | Right Maxillary Canine | Right Maxillary Second Premolar | Left Maxillary Canine | Left Maxillary Second Premolar | Right Mandibular Canine | Right Mandibular Second premolar | Left Mandibular Canine | Left Mandibular Second Premolar |
---|---|---|---|---|---|---|---|---|
Mesial crown angulation | 4° | 5° | 4° | 4° | ||||
Distal crown angulation | 4° | 4° | 5° | 4° |
Figure 5.
The lingual bracket system: 0.018”slot, vertical slots in the anterior brackets and horizontal slots in the posterior brackets.

All brackets were bonded on the lingual surface of the teeth and initial 0.014˝ nickel-titanium round wires were inserted. A standardised sequence of arch wires was followed from 0.016˝ nickel-titanium round wires, rectangular 0.022˝ × 0.016˝ nickel-titanium ribbon-wise wires and rectangular 0.025˝× 0.017˝ stainless steel ribbon-wise wires, which ensured the appropriate establishment of torque and crown angulation (Figure 6). The treatment time for this step lasted 4 months.
Figure 6.
The maxillary and mandibular teeth were levelled and aligned in 4 months.

Step 2: en-masse retraction of the maxillary and mandibular anterior teeth and intrusion of the maxillary anterior teeth (7 months).
Two micro-screws (Damon Q Screw: diameter, 1.4 mm and length, 8.0 mm; Ormco, Calif., USA) were bilaterally placed in the maxillary palatal alveolar bone between the first and second molars at a position 8 mm gingival to the arch wire. Long lever-arms (7.5 mm), whose height was set to the level of the plane created by the micro-screws and the centre of resistance (CRes), were fixed to a 0.025˝ × 0.017˝ stainless steel ribbon-wise wire at the distal of the cuspid teeth. Lingual lever-arms and micro-screws provided the desired force to the CRes to control anterior torque during the en-masse retraction.5,7
Elastic latex chains which applied 150 g of retraction force (3M Unitek, St Paul, Minn, USA) were attached from the micro-screws to the lever arms for en-masse retraction of the maxillary anterior teeth using sliding mechanics. Stainless steel ligature wires (0.20 mm) were used to continuously ligate the anterior teeth as a unit. The six mandibular anterior teeth were similarly retracted by applying 150 g of retraction force and employing sliding mechanics. ‘Double cable’ mechanics were used to prevent a transverse bowing effect.
In the last three months of this phase, a micro-screw (diameter, 1.5 mm and length, 8.0 mm; SYNTEC Scientific, Taiwan, CN) was inserted between the maxillary central incisors at the mucogingival junction. Once the micro-screw was placed, a 100 g of intrusive force was applied by a latex elastic of 3/16-inch (3.5oz, 3M Unitek, St Paul, Minn, USA) from the micro-screw to the maxillary incisors (Figure 7). The treatment time for step 2 was short and lasted about 7 months.
Figure 7.
A micro-screw was inserted between maxillary central incisors in the mucogingival junction and assisted in intruding the anterior teeth.

Step 3: detailing and finishing (3 months).
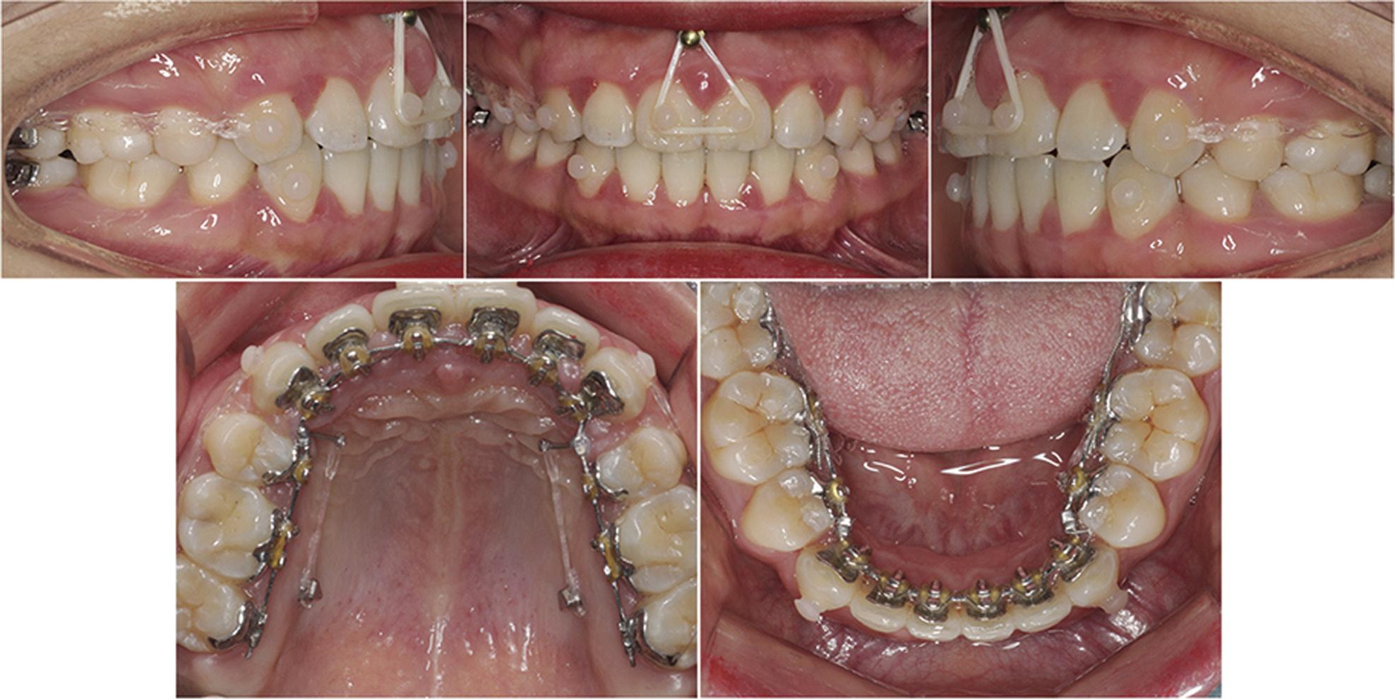
The 0.018˝× 0.018˝ β - titanium arch wires were inserted for detailing and final finishing in both arches. The treatment results were consistent with the digital models acquired before the treatment. After 1 year and 3 months of active treatment, the appliances were removed with the consent of the patient (Figure 8). For retention, the patient was provided with a pair of vacuum-formed retainers.
Figure 8.
Posttreatment facial and intraoral photographs.

The patient’s appearance was considerably improved after 14 months of orthodontic treatment. A frontal facial examination showed that the mentalis strain on lip closure was resolved. The excessive gingival display upon spontaneous smile was corrected as the maxillary incisors were intruded by 2.4 mm and the profile of the patient improved from convex to straight (Figures 8–10).
Figure 9.
(A) pretreatment facial smile photograph; (B) posttreatment facial smile photograph: the ‘gummy’ smile was corrected after 3 months’ intrusion of the maxillary anterior teeth.

Figure 10.
(A) pretreatment facial profile photograph; (B–D) treatment facial profile photographs; (E) posttreatment facial profile photograph: the profile of the patient changed from convex to straight and a better-defined cervical-mental angle was created.

The intraoral findings indicated the midline of the maxillary arch was coincident with the midline of the mandibular teeth. The overbite (5.0 mm to 2.0 mm) and overjet (6.0 mm to 2.0 mm) of the anterior teeth were well corrected (Figure 11).
Figure 11.
Posttreatment dental models.

The panoramic radiograph showed that the roots of the upper and lower teeth were parallel and no evidence of significant root resorption was noted (Figure 12). A lateral cephalometric analysis revealed that the skeletal ANB angle (4.3° to 3.0°) decreased slightly, and the maxillary anterior teeth were intruded (PP-U1, 34.3 mm to 31.9 mm). GoGn-SN (38.2° to 36.0°) revealed a slight mandibular counterclockwise rotation in addition to the chin moving forward (Figure 13). The dental findings showed that the maxillary and mandibular incisors were noticeably retracted (U1-NA, 8.5 mm/32.2° to 3.5 mm/17.8°; L1-NB, 8.0 mm/31.0° to 4.2 mm/25.9°, U1-L1, 118.1° to 137.0°) (Table I).
Figure 12.
Posttreatment radiographs and tracing: (A) lateral cephalometric radiograph; (B) cephalometric tracing; (C) panoramic radiograph.

The superimposition of the pre-treatment and post-treatment cephalometric tracings indicated that the maxillary and mandibular anterior teeth had been retracted. The maxillary molars maintained position because the micro-screws played their roles in providing absolute anchorage. In general, good vertical and anchorage control were maintained.
The facial profile improved compared to the pre-treatment assessment. The lateral cephalometric analysis showed that the distances from the upper lip and lower lip to the E-line were reduced from 3.0 mm to 0.5 mm and 7.0 mm to 3.0 mm, respectively. The nasolabial angle changed from 77.0° to 90.0° and a better-defined cervical-mental angle was achieved (Figure 13).
Figure 13.
Cephalometric superimpositions of the initial (black), final (red) lateral cephalometric tracings: (A) centered on the cranial base; (B) centered on the palatal plane; (C) centered on the mandibular symphysis.

Lingual appliances are favoured by patients as an aesthetic alternative to traditional fixed appliances. The treatment options for skeletally hyperdivergent bimaxillary protrusion always include bodily retraction of the maxillary and mandibular anterior teeth using maximum anchorage after premolar extractions.8,9
Lingual brackets show reduced efficacy of alignment correction compared with labial brackets due to the shorter inter-bracket distance. The loss of anterior torque during space closure is more likely to occur as the point of lingual force application is closer to the CRes of the anterior teeth compared with a labial appliance.10 A vertical bowing effect often appears during en-masse anterior lingual retraction. It is reported that excessive lingual crown tipping, maxillary incisor extrusion, a lateral open bite and mesial tipping of the molars occur during en-masse retraction using the molars as anchorage.3,7 Additionally, a transverse bowing effect can also occur when a retraction force is applied in a horizontal direction, giving rise to a narrowing of the intermolar width and a widening of the inter-canine width as a result of arch wire deformation.6,11
With the widespread orthodontic application of CAD/ CAM, customised lingual appliances have become more accurate. Customised lingual orthodontics better predicts the changes in torque and crown angulation before treatment. Therefore, orthodontists may readily monitor and maintain the treatment outcome.12,13
Digital lingual orthodontics is a technique of creating customised appliances based on a target setup that includes tooth positioning in three-dimensional space. In addition, treatment goals should be established during the diagnosis and treatment planning phase. Digital lingual orthodontic treatment is preferred to achieve preset tooth angulation and torque with high accuracy and to reduce human error during indirect bracket bonding.14
Torque control during the extraction space closure is always crucial in lingual orthodontic therapy.12 Khoury et al. discovered that it was challenging to achieve bodily en-masse retraction using both labial and lingual appliances and suggested the placement of extra torque in the brackets to prevent excessive lingual incisor crown tipping.15 Therefore, in the present case, extra lingual root torque was added to control the maxillary and mandibular anterior teeth.
Anchorage control is also important for the successful treatment of a skeletally hyperdivergent bimaxillary protrusion malocclusion. Theoretically, lingual orthodontics, which produces a distal uprighting force on the molars during the retraction process, has a greater anchorage requirement than labial orthodontics.6 However, it is believed that the anchorage value needed between lingual and labial mechanics is similar in current clinical practice.16
Since the patient had a bimaxillary protrusion with a hyperdivergent facial pattern, it was essential to close the extraction space using the micro-screws to maintain anchorage and vertical control.6,11 Ghannam et al. reported that an 8 mm micro-screw produced less incisor tipping than a 4.5 mm micro-screw,17 which mirrors the present case. Two micro-screws were also bilaterally placed in the maxillary palatal alveolar bone between the first and second molars at a position of 8 mm gingival to the arch wire for maximal en-masse retraction of the anterior teeth. The CRes of the six anterior teeth was estimated to be 13.5 mm apical to the maxillary central incisal edge.10 The ideal height of the lever-arms and micro-screws to provide the traction vector had been set in advance toward the CRes of the anterior teeth. En-masse retraction was therefore obtained by applying a moment and force directly to the CRes utilising the lever-arms and micro-screws.
A small 0.018˝ bracket slot was used in the lingual bracket system which created a smaller inter-bracket distance and less play between the wire and the brackets. A higher force was generated when the 0.025×0.017˝ stainless steel ribbon wires were inserted into the 0.018˝ slots. The posterior brackets had horizontal slots that were advantageous to allow the sliding of teeth during retraction and provide positive control over the tipping of the posterior teeth, while the anterior brackets and their vertical slots prevented the wire from disengaging and therefore achieved effective torque control.18 When compared to conventional arch wires, ribbon-wise wires are harder to bend in the vertical direction because their cross-sectional width is greater than their height, which helps to prevent the vertical bowing effect (Figure 14).11,19 The superimposition of the pre- and post-treatment cephalometric tracings therefore demonstrated excellent vertical control indicated by the FMA which decreased from 29.0.0° to 27.5° and GoGn-SN which decreased from 38.2° to 36.0°.
Figure 14.
(A) ribbon-wise arch wire; (B) traditional orthodontic wire: the ribbon-wise arch wire has a greater width than height in cross-section which makes the wire harder to bend in the vertical direction.

The patient initially complained about her ‘gummy’ smile whose gingival display exceeded 2 mm and was considered unattractive. The aetiology of a ‘gummy’ smile may be attributed to short dental crowns, over-eruption of the maxillary incisors, the short length of the upper lip, excess vertical growth of the maxilla, or hyperfunction of the elevator muscles.20 Orthognathic surgery, in the form of a Le Fort I impaction, would be preferable if the maxilla’s excessive vertical development was the primary cause of the ‘gummy’ smile. However, in this clinical case a positive outcome was achieved by orthodontic treatment.
Micro-screw-assisted maxillary incisor intrusion has become popular, and is considered to be efficient and safe.21 As the patient had a hyperdivergent mandibular plane, it was beneficial to intrude the maxillary incisors without extruding the molars in order to prevent the mandible from rotating downwards and backwards. The anterior vertical slots and ribbon-wise arch wires contributed to vertical control and helped to counter the labial inclination of the incisors vectored by the anterior micro-screw. As a result, the patient’s maxillary incisors intruded by 2.4 mm over the course of 3 months, and the issue of the excessive gingival display was resolved.
In general, the customised lingual appliance and micro-screws acted together to ensure adequate anchorage control, appropriate anterior torque, and a suitable vertical height. The patient’s treatment results produced a satisfying appearance with stable occlusal function.
A digital lingual appliance and accompanying micro-screws delivered excellent treatment results in a short time for a patient with a skeletally hyperdivergent bimaxillary protrusion malocclusion and a ‘gummy’ smile. The lingual appliance met the patient’s aesthetic needs for an invisible orthodontic solution and provided predictable and precise treatment results. Micro-screws played an important role in the retraction and intrusion of the anterior teeth, as they provided torque support along with vertical and anchorage control.