Bowel-associated dermatosis-arthritis syndrome (BADAS) is a rare condition characterized by skin eruptions, fever, and arthritis. Initially, it was associated with post-bypass surgery and referred to as “bypass syndrome,” but later similar symptoms were reported in patients with other gastrointestinal (GI) diseases (Shagrin et al. 1971; Dicken 1986; Carubbi et al. 2013).
BADAS syndrome often occurs after bariatric surgery and co-occurs with inflammatory bowel disease (IBD) (Aromolo et al. 2023). The association of BADAS and IBD was first described by Jorizzo et al. (1983). Additionally, for the first time, a change in the nomenclature was proposed from “intestinal bypass syndrome” to “intestinal-related dermatosis and arthritis syndrome” (Jorizzo et al. 1983). IBD-related cases often present with significant GI symptoms, such as weight loss, abdominal pain, diarrhea, and hematochezia (Aromolo et al. 2023). The increasing awareness of IBD among doctors resulted in an increase in early diagnosis and, thus, a reduction in the occurrence of serious complications. However, the awareness of BADAS remains low, resulting in an underestimation of the morbidity rate and a lack of diagnostic and therapeutic recommendations.
We have selected and analyzed articles incorporating BADAS syndrome associated with IBD and confronted them with the two cases that occurred in our clinic.
The exact incidence of BADAS remains unknown. To our knowledge, only 21 cases of BADAS associated with IBD have been reported in the literature (Table 1). BADAS was observed with a predominant ratio of 15 (65%) women to 8 (35%) men. The average age at onset was 36.7 years, while the oldest patient was a 78-year-old male and the youngest a 4-year-old girl. Notably, a significant proportion of reported cases (4 cases, 17.4%) have occurred in pediatric patients. BADAS was associated with ulcerative colitis (UC) in 12 cases, Crohn’s disease (CD) in 10 cases and unspecified IBD in one case. In 12 cases, IBD was diagnosed before the occurrence of BADAS. In 10 cases BADAS was diagnosed simultaneously, thus, BADAS symptoms initiated the diagnostic process for IBD. Diseases that co-occurred with IBD in BADAS syndrome are presented in Table 1.
Information obtained from reviewing published IBD-related BADAS cases
| References | Sex, age-associated diseases | Type of IBD; time from diagnosis of IBD to onset of symptoms | Skin lesions | Other symptoms of BADAS | GI symptoms | Laboratory tests findings; endoscopy finding | Treatment |
|---|---|---|---|---|---|---|---|
| Jorizzo et al. (1983) | F, 53; disseminated leiomyosarcoma | UC diagnosed simultaneously with BADAS | Erythematous papulovesicular, papulopustules with purpuric bases | Fever, arthralgia, oligoarthritis | Unknown | Leukocytosis, anemia; pancolitis | PRED |
| Fenske et al. (1983) | M, 32; none | UC diagnosed simultaneously with BADAS | Vesicles and pustules with necrosis | Fever | Weight loss, abdominal cramping, watery diarrhea | Leukocytosis; colitis | PRED, SSZ |
| Jorizzo et al. (1984) | F, 42; None | CD unknown | Erythematous pustules | Polyarthralgia | Unknown | Unknown | Colectomy, no additional therapy |
| Delaney et al. (1989) | M, 46; none | CD diagnosed 1 year before the first symptoms of BADAS | Erythematous macules, vesicopustules | Fever, arthritis | Weight loss, perianal ulceration | Leukocytosis, accelerated ESR; unknown | Underwent proctocolectomy, PRED, Cloxacillin, AZA |
| Matheson et al. (1996) | F, 16; none | CD diagnosed simultaneously with BADAS | Erythematous, maculopapular, plaques, lesions with pruritis | Fever | Weight loss, abdominal pain, hematemesis, hematochezia | Leukocytosis, accelerated ESR; deep ulcerations in anus, rectum | MP, oral H1 antagonists, topical corticosteroids |
| Vázquez et al. (2003) | M, 34; none | UC was diagnosed 12 years before the first symptoms of BADAS | Erythematous plaques, pustules | Fever | Severe diarrhea, abdominal pain | In normal ranges; diagnosis of IBD | PRED, SSZ |
| Mendoza et al. (2003) | F, 63; episcleritis | CD diagnosed simultaneously with BADAS | Erythematous plaques, nodules, vesicopustules | Fever, asymmetrical polyarthralgia | Weight loss, abdominal pain, mucosal stool movement | Anemia; multiple deep, wide ulcers alternating with normal mucosal from the sigmoid colon and ascending 70 cm | MP |
| Guerre-Schmidt et al. (2006) | F, 13, none | CD diagnosed simultaneously with BADAS | Erythematous pustules | Fever, oligoarthritis | Weight loss, rectal bleeding | Anemia, elevated CRP; ulcerated appearance of area of appendix | PRED |
| Ashok and Kiely (2007) | M, 23, none | CD was diagnosed 4 years before the first BADAS symptoms | Erythematous macules, papules, vesicopustular | Fever, arthritis, arthralgia, malaise | Stomal diarrhea, abdominal pain, vomiting | Leucocytosis, accelerated ESR, elevated CRP; unknown | PRED |
| Kinyó et al. (2011) | M, 32, none | CD diagnosed simultaneously with BADAS | Vesiculopustu les on erythematous base | Fever, arthritis | Bloody diarrhea | Leucocytosis, accelerated ESR, elevated CRP; Pancolitis. An ulcerated, granulomatous with abscess formation | MP, Metronidaz ole, cefuroxime, CsA, AZA |
| Lacey et al. (2011) | F, 24, none | UC diagnosed simultane ously with BADAS | Pustular lesions, non-tender | Fever, malaise | Abdominal pain, diarrhea, hematochezia | Leucocytosis; Severe UC | MP pulses, Metronidazole, Ciprofl oxacin, PRED, AZA |
| Truchuelo et al. (2013) | F, 35, none | UC diagnosed previous than BADAS | Erythematous plaques, nodules, vesicopustules with erythematous halo, painful | Fever, polyarthritis, malaise | Asthenia | Accelerated ESR; unknown | PRED, metronidazole |
| DeFilippis et al. (2014) | F, 64; depression, osteoporosis, spinal stenosis | UC was diagnosed 20 years before the first | Erythematous-violaceous macules | Arthralgia, arthritis | Abdominal pain, diarrhea | Accelerated ESR, elevated CRP; active microscopic inflammation on a right colon | PRED, MMF, SSZ |
| DeFilippis et al. (2014) | F, 64; depression, osteoporosis, spinal stenosis, gastroesophageal reflux | UC was diagnosed 20 years before the first symptoms of BADAS | Erythematous-violaceous macules | Arthralgia, arthritis | Abdominal pain, diarrhea | Accelerated ESR, elevated CRP; active microscopic inflammation on a right colon | Infliximab, MMF, SSZ |
| Aounallah et al. (2016) | F, 39, unknown | UC diagnosed previous than BADAS | Vesicles and pustules | Fever, arthralgia | Unknown | Unknown | PRED, AZA, CsA |
| Oldfield et al. (2016) | F, 4, sickle cell disease, autoimmune hepatitis | UC diagnosed previous than BADAS | Hemorrhagic vesicles | Fever, arthritis, malaise | Abdominal pain, congestion, hematochezia | Leucocytosis, anemia, elevated CRP; unknown | PRED, Metronidazole, Mesalazine, AZA, infliximab |
| Barland et al. (2016) | F, 42, unknown | CD was diagnosed 10 years before the first symptoms of BADAS | Erythematous nodules, vesiculopustules | Arthalgia | Unknown | Anemia, elevated CRP; unknown | Mesalazine, doxycycline |
| Heard et al. (2020) | F, 49, depression, anxiety, mitral valve prolapse, stroke | CD was diagnosed earlier than the onset of BADAS, but the date is unknown | Erythematous vesiculopustule, erosions | Fever, arthralgia | Diarrhea, rectal bleeding, dehydration | Anemia; severe ulceration in rectum and sigmoid | Piperacillin + tazobactam, ustekinumab |
| Havele et al. (2021) | M, 6, immune dysfunction, recurrent fever, uveitis | VEO-IBD diagnosed simultaneously with BADAS | Erythematous papules, vesiculopustules tender | Fever, arthralgia | Increase rectal output, vomiting, oral ulcers | Unknown | Infliximab, cedolizuma b, canakinum ab, mesalazine, ileostomy |
| Havele et al. (2021) | M, 6, Immune dysfunction, recurrent fever, uveitis | VEO-IBD diagnosed simultaneously with BADAS | Erythematous papules, vesiculopustules tender | Fever, arthralgia | Increase rectal output, vomiting, oral ulcers | Unknown | Triamcinol one topical |
| Havele et al. (2021) | M, 6, immune dysfunction, recurrent fever, uveitis | VEO-IBD diagnosed simultaneously with BADAS | Erythematous papules, vesiculopustules tender | Fever, arthalgia | Increase rectal output, vomiting, oral ulcers | Unknown | Subtotal colectomy, triamcinol one topical, ruxolitinib |
| Caro et al. (2021) | F, 78, erythema nodosum | UC diagnosed simultaneously with BADAS | Erythematous and purple plaques, nodules, | Arthralgia, arthritis | Abdominal pain, diarrhea, tenesmus, mucus in stool | accelerated ESR, elevated CRP; a recto sigmoid UC | Mesalazine, rifaximin |
| Russell Johns et al. (2022) | F, 14; none | UC diagnosed simultaneously with BADAS | Violaceous nodules, indurated plaques, painful, | Fever, migratory arthritis, malaise | Abdominal cramping, bloody diarrhea | Leucocytosis, anemia, accelerated ESR, elevated CRP; eosinophilic colitis from the rectum to the sigmoid colon | MP pulses, followed by PRED + SS Z followed by infliximab + SSZ |
| Alshahrani et al. (2022) | M, 39; none | UC was diagnosed 3 years before the symptoms of BADAS | Erythematous papular, maculopapular, urticaria-like, vesiculopustular lesions | Fever, Polyarteritis, Achilles tendinitis, malaise | Weight loss, bloody diarrhea, | Anemia, accelerated ESR, elevated CRP; hyperemia with mild edematous mucosal changes in the sigmoid colon | PRED, Mesalazine, Metronidaz ole, Fluoroquinolone, AZA |
| Case 1 (in our present publication) | F, 30; beta thalassemia | UC diagnosis in 2012, first symptoms of BADAS in 2017, BADAS diagnosis in 2021 | Edematous erythematous macules, maculopapular lesions | Fever, arthritis, arthralgia malaise | Bloody diarrhea | Anemia, elevated CRP, high D-dimer – 6478 ng/mL; unknown | PRED, Mesalazine, Cefuroxime, Fluoroquinolone, CsA, AZA |
| Case 2 (in our present publication) | M, 67; benign prostatic hyperplasia, osteoarthritis | CD diagnosed in 2020, BADAS diagnosed in 2023 | Edematous erythematous macules, maculopapular, vesicopustular lesions | Fever, arthritis, arthralgia | Abdominal pain, diarrhea, mucus in stool | Leucocytosis, anemia, elevated CRP, high D-dimer – 7200 ng/mL; the entire length of the sigmoid colon and the final section of the descending colon with a thickened, swollen wall | Metronidazole, PRED, ciprofloxacin, topical clobetasol propionate, infliximab |
AZA, azathioprine; BADAS, bowel-associated dermatosis and arthritis syndrome; CD, Crohn’s disease; CRP, C-reactive protein; CsA, cyclosporine; ESR, erythrocyte sedimentation rate; F, woman; GI, gastrointestinal; IBD, inflammatory bowel disease; M, male; MMF, mycophenolate mofetil; MP, methylprednisolone; PRED, prednisone; SSZ, sulfasalazine; UC, ulcerative colitis.
The precise pathogenesis of BADAS remains unknown. It has been postulated that BADAS is triggered by immune system activation due to intestinal surgery or IBD. IBD is associated with gut microbiota dysbiosis, characterized by increased Proteobacteria, Fusobacteria, and Bacteroides (Swidsinski et al. 2005; Aromolo et al. 2023). Post-GI surgery, patients often develop bacterial overgrowth (up to 106 organisms/mL), with both aerobes and anaerobes present. The predominance of Bacteroides fragilis and Escherichia coli can be observed (Carubbi et al. 2013).
In addition to these alterations, IBD-associated dysbiosis is characterized by a reduction in overall bacterial diversity and a disproportionate expansion of specific facultative anaerobes within the phylum Proteobacteria, particularly the class Gammaproteobacteria, including adherent-invasive E. coli strains (Gevers et al. 2014). Moreover, increased relative abundances of Enterobacteriaceae and Fusobacterium nucleatum have been consistently reported in active disease states (Vich Vila et al. 2018; Yilmaz et al. 2019). Mucosa-associated microbiota studies have identified shifts at inflamed sites, with overrepresentation of Cloacibacterium spp. and members of the Tissierellaceae family, and depletion of commensal genera such as Neisseria (Hirano et al. 2018).
These microbial alterations are accompanied by functional changes, such as enhanced bile acid metabolism and altered amino acid pathways (e.g., tryptophan and taurine metabolism). Such changes can contribute to epithelial barrier dysfunction and further propagate inflammation. The proliferation of specific pathogens, such as certain strains of B. fragilis (e.g., enterotoxigenic B. fragilis) and F. nucleatum, along with an increase in mucolytic bacteria like Ruminococcus gnavus, further disrupts the microbial equilibrium and may promote mucosal injury and immune activation, which leads to translocation of the bacteria into the bloodstream (Carubbi et al. 2013; Czajkowski et al. 2023). Additionally, bacterial overgrowth can cause an accumulation of toxic bacterial metabolites, such as bacterial peptidoglycans, which may be involved in the initiation of a systemic immune response through the subsequent deposition of antigen complexes. It is strongly believed that the accumulation of the immune complexes in the skin and joints underlies the cutaneous and articular manifestations observed in BADAS (Carubbi et al. 2013; Linares et al. 2021; Aromolo et al. 2023; Czajkowski et al. 2023). Experimental validation of this theory has been conducted on animal models using bacterial peptidoglycans from group A streptococci, whose antigenicity and structure are similar to the human intestine, eliciting arthritis and cutaneous symptoms skin similar to those reported in BADAS (Ely 1980; Czajkowski et al. 2023).
Vitamin D deficiency, which is frequently reported in patients with GI disorders, has been identified as a potential risk factor for the development of BADAS. Although its role is not fully understood, vitamin D may reinforce mucosal barrier integrity by inhibiting intestinal apoptosis and regulating tight junction proteins (Gubatan and Moss 2018). It also demonstrates immunomodulatory effects, with receptors expressed on various immune cells, including T-helper 1 (Th1) and Th17 lymphocytes (Verway et al. 2010). A clearer understanding of the syndrome’s pathogenesis could contribute to the development of novel therapies and improved therapeutical outcomes.
BADAS encompasses both dermatological and rheumatological manifestations and, when occurring in association with IBD, may also involve GI symptoms (Table 2). The spectrum of skin lesions seen in the BADAS is very diverse and includes erythematous macules, plaques, nodules, vesicles with or without necrosis, as well as hemorrhagic vesicles and violaceous macules, occasionally associated with pruritus (Figures 1–3). The most common rheumatological symptoms of BADAS include fever, malaise, arthralgia, and peripheral arthritis (commonly limited to a few joints) (Figures 1–3).

(A) Ankle swelling. (A, B) Erythematous macules and papules on the patient’s lower limbs.

(A, B) Red spots and papules on the patient’s upper limbs. (C) After treatment, on 24-month follow-up.

(A, B) Swelling and erythematous spots on the skin and asymmetric swelling of the ankle joints and wrist. (C, D) After treatment, the lesions on the upper and lower limbs healed.
Clinical symptoms of BADAS
| Enteric-Associated Dermatosis and Arthritis Syndrome (BADAS) | ||
|---|---|---|
| GI symptoms (%) | Skin symptoms | Rheumatological symptoms |
|
|
|
BADAS, bowel-associated dermatosis and arthritis syndrome; GI, gastrointestinal; IBD, inflammatory bowel disease.
The development of GI symptoms such as abdominal pain, weight loss, watery or bloody diarrhea, and other non-specific manifestations may indicate IBD exacerbation (Mendoza et al. 2003; Guerre-Schmidt et al. 2006; Barland et al. 2016; Oldfield et al. 2016).
In patients with BADAS, the most common abnormalities in laboratory tests are leukocytosis, anemia, elevated C-reactive protein (CRP), and accelerated erythrocyte sedimentation rate (ESR) (Table 1). D-dimer levels, previously not reported, were markedly elevated at 6478 ng/mL and 7200 ng/mL, being probably indicative of active systemic inflammation. Imaging tests can prove to be highly beneficial in the diagnosis of intestinal symptoms and most often show features of IBD exacerbation. The most common findings observed during endoscopy were signs of colitis, including ulcerations of the intestinal wall, along with associated mucosal swelling and redness, indicating active inflammation (Table 1). Histopathological examination of skin lesions also plays a key role in diagnosis processes.
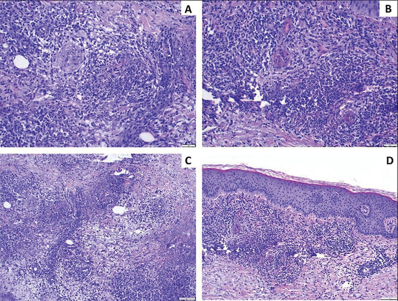
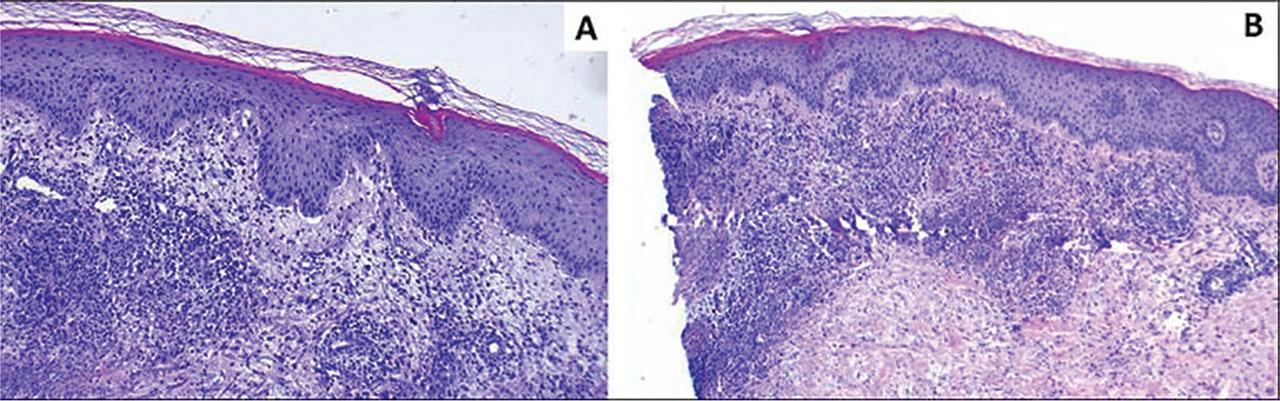
The histopathology of the skin lesions is consistent with a neutrophilic dermatosis, often showing a leukocytoclastic vasculitis in the dermis. There are dense perivascular infiltrates of neutrophils and lymphocytes (Figure 4), accompanied by extravasation of erythrocytes, edema, elastosis, and fibrin deposition. Epidermal changes such as focal hyperkeratosis, parakeratosis, acanthosis, and flattening of the rete ridges can also be present (Figure 5).

(A–D) The dermis shows intense perivascular, multicellular inflammatory infiltrates with a dominant neutrophilic component. Damaged blood vessels with fibrinoid necrosis are infiltrated by inflammatory cells. Dermis with elastosis and edema. Image provided by the Dermatology Clinic, PIM MSWIA.

(A, B) Epidermal skin biopsy with focal hyperkeratosis and parakeratosis. Epidermal spinous layer with local acanthosis and flattening of the retinal ridges. Image provided by the Dermatology Clinic, PIM MSWIA.
The skin lesions in BADAS may resemble those seen in Sweet Syndrome, erythema nodosum, or pyoderma gangrenosum. However, the presence of additional symptoms, such as persistent fever, peripheral joint swelling, widespread joint pain, and weakness, alongside GI symptoms or a confirmed history of IBD, should raise suspicion of BADAS. Histopathological and imaging examinations play a key role in establishing an accurate diagnosis. However, to some extent, BADAS remains a diagnosis of exclusion, especially when it does not meet the diagnostic criteria of other diseases. Detailed analysis of differential diagnosis is presented in Table 3.
Differential diagnosis of BADAS with other neutrophilic dermatoses
| Disease | Clinical features | Skin lesions | Diagnosis |
|---|---|---|---|
| BADAS syndrome |
|
|
|
| Sweet syndrome |
|
|
|
| Pyoderma gangrenosum |
|
|
|
| Erythema nodosum | -Rarely general symptoms in cases associated with infections or sarcoidosis |
|
|
| PPV |
|
|
|
BADAS, bowel-associated dermatosis and arthritis syndrome; PPV, pyodermatitis-pyostomatitis vegetans.
Bacterial translocation from the gut to the bloodstream appears to play a major role in the pathogenesis of BADAS (Carubbi et al. 2013; Aromolo et al. 2023; Czajkowski et al. 2023), supporting the grounded use of antibiotic therapy. Among the reported cases, metronidazole was the most frequently used antibiotic (five cases), while rifaximin, doxycycline, piperacillin–tazobactam, ciprofloxacin, and cefuroxime also showed effectiveness upon administration.
Anti-inflammatory medications are widely used in BADAS treatment. Prednisone was the most frequently administered, reported in 13 cases, while methylprednisolone (MP) was given as pulse therapy in five cases. Azathioprine was used in six cases, whereas cyclosporine and mycophenolate mofetil (MMF) were less common, reported in two, and one case, respectively.
Biological therapies were also documented. Infliximab (anti-TNF-α) was the most frequently employed, used in four cases. Other agents included ustekinumab (anti-IL-12/IL-23) in one case, vedolizumab (anti-α4β7 integrin) in one case, and canakinumab (anti-IL-1β) in one case.
Radical surgical interventions, such as proctocolectomy and subtotal or total colectomy, were performed in selected cases. Data on the effectiveness of these therapeutic options are summarized in Table 1.
A 30-year-old woman diagnosed with UC 9 years ago was admitted to the hospital due to painful, erythematous, confluent spots on the trunk and limbs (Figure 3a,b). The patient presented with flu-like symptoms, joint pain, and swelling in the ankles, feet, wrists, and finger joints (Figure 1). Additionally, the patient experienced an exacerbation of UC, manifested by bloody diarrhea. Moreover, the patient suffered from beta-thalassemia. She was treated chronically with mesalazine (3 g/day) and periodically with oral prednisone (25 mg/day).
The first skin changes appeared 4 years prior to the admission. At that time, she was treated with a high dose of oral and topical corticosteroid and then with dapsone without improvement. Skin lesions and joint symptoms usually appeared during UC flares. Blood tests on admission showed microcytic anemia (hemoglobin 9.8 g/dL), an elevated CRP (35.7 mg/L), and markedly elevated D-dimer (6478 μg/L). All tested infection and autoimmune markers were negative, including Hepatitis C Virus (HCV) antibody, Hepatitis B surface antygen (HBsAg), Human Immunodeficiency Virus antigen and antibody test (HIV Ag/Ab), Cytomegalovirus immunoglobulin M (CMV IgM), Epstein–Barr Virus immunoglobulin M (EBV IgM), anti-streptolysin O, Rapid plasma regain (RPR), rheumatoid factor, anti-CCP, c-ANCA, p-ANCA, ANA, anti-dsDNA, and cryoglobulins. Serum complement protein C3 and C4 levels were within the normal range. A skin biopsy performed during hospitalization showed massive perivascular infiltration of neutrophils with numerous eosinophils and lymphocytes in the dermis. Microscopic examination was consistent with leukocytoclastic vasculitis. No IgG, IgM, IgA, or C3 deposits were seen in direct immunofluorescence examination. Based on clinical data, a histopathological diagnosis, and additional tests that were made, BADAS syndrome was diagnosed. In the hospital, the patient received intravenous cefuroxime, mesalazine orally and cyclosporine (200 mg/day). Prednisone reduction (in decreasing doses) was initiated. The patient’s clinical condition improved, and she was discharged in good condition.
The patient was readmitted to the hospital after 5 months for treatment re-evaluation. Physical examination revealed complete remission of skin lesions. Follow-up sigmoidoscopy showed no inflammatory changes in the colon.
Significant adverse effects have been reported with cyclosporine use, including hirsutism, paresthesia, edema, and weight gain. Additionally, control laboratory tests revealed increased cholesterol levels, high low-density lipoprotein fraction, and low magnesium levels despite oral supplementation. Therefore, cyclosporine was gradually discontinued, and azathioprine (150 mg/day) was prescribed. After 4 months, complete remission was achieved at the next follow-up visit, therefore, the dose of azathioprine was reduced (50 mg/day). During the 12-month and 24-month follow-up, the patient did not report any skin, joint or intestinal symptoms (Figure 1c). Up to 24-month follow-up point no further endoscopic studies were performed.
A 67-year-old male patient with CD diagnosed 3 years prior, came to the hospital in a fair overall condition due to fever above 39°C, weight loss, up to 10 liquid bowel movements a day with mucus, severe pain around the anus and swelling. The patient presented with erythematous spots on the upper and lower limbs, mainly around the forearms, wrists, lower legs and ankles (Figure 3a,c) with persistent itching and swelling. He was treated chronically with mesalazine (3 g/day) and periodically with oral prednisone (25 mg/day).
Skin and joint symptoms first appeared 3 months prior to the visit. At the time, he was being diagnosed at another clinic with a suspicion of Sweet Syndrome. An extensive diagnostic workup was performed. In laboratory diagnostic tests, the levels of vitamin B12, folic acid, HIV Ag/Ac, PCT, and QTC were correct. Additionally, aerobic, anaerobic, and fungal blood cultures were performed, as well as stool examination for Salmonella, Shigella, Campylobacter spp., E. coli o157, Yersinia enterocolitica, K. pneumoniae, and MBL (metallo-β-lactamase) rectal culture, which all came out negative. Moreover, biopsy specimens were taken.
The first skin histopathological examination was interpreted as reactive changes, most likely in the course of a bacterial infection. Topical application of Mometasone to the skin lesions was recommended, but without significant improvement.
On admission, physical examination revealed an inflammatory area around the anus with purulent discharge. Laboratory tests revealed anemia (Hb = 10 g/dL), elevated inflammatory markers (CRP = 83 mg/L), leukocytosis (WBC = 13,000/μL), and elevated D-dimers (7200 μg/L FEU). Computed tomography performed at the time of admission revealed thickening and swelling of the entire length of the sigmoid colon, extending into the distal portion of the descending colon. In further diagnostics, fiberosigmoidoscopy was performed, which revealed active changes in the course of CD and diverticulitis. Transrectal ultrasound revealed a fistula in the distal part of the rectum. Skin samples were taken for further histopathological evaluation. A picture of leukocytoclastic vasculitis with neutrophil infiltration has been described. The result of the histopathological examination together with the clinical data corresponded to the diagnosis of BADAS syndrome.
The patient received oral treatment with metronidazole, ciprofloxacin, and topical clobetasol propionate, as well as an antihistamine for pruritus. The patient was then qualified for biological treatment with infliximab (5 mg/kg/month). One month after the start of the treatment, the skin lesions disappeared, leaving discolorations, especially on the forearms. GI symptoms also disappeared. During the 10-month follow-up, the patient did not report any skin or joint symptoms. Significant improvement in controlling CD was achieved, with no active inflammation in the follow-up colonoscopy 5 months after the initiation of infliximab (Figure 3b,d).
The treatment of IBD-associated BADAS should be integrated with management of the underlying disease, and the choice of treatment should be tailored to the patient’s initial condition.
Given the significant role of bacterial overgrowth in the pathogenesis of BADAS, it is reasonable to consider antibiotic therapy against anaerobes (Jorizzo et al. 1983).
In our cases, positive outcomes were achieved with metronidazole or cefuroxime, administered either as monotherapy or in combination. The efficacy of cefuroxime may be due to its immunomodulatory properties, as it can modulate T-cell activity and downregulate proinflammatory T-cell phenotypes (Mor and Cohen 2013).
Furthermore, increased permeability of the inflammatory intestinal wall clearly plays a role in the pathogenesis of BADAS. Therefore, in cases related to IBD, it is essential to reduce inflammation in the intestines.
Anti-inflammatory therapy selection depends on the severity of the relapse. Systemic glucocorticosteroid therapy undoubtedly plays a principal role in inducing remission. Following remission induction, maintenance therapy should be carefully selected. In one of our cases, a young patient without comorbidities was treated with cyclosporine followed by azathioprine, a strategy previously reported in several cases, resulting in complete remission of BADAS symptoms. Biologic agents used for maintenance therapy (e.g., anti-TNF or anti-IL agents) appear to be equally effective in controlling BADAS, while having fewer side effects and contraindications than long-term corticosteroids or immunosuppressants. In the second case, in an elderly patient with numerous comorbidities, glucocorticosteroid therapy was discontinued due to contraindications (osteoarthritis, sigmoid diverticula (risk of perforation), chronic prostatitis, glaucoma, mental disorders) in favor of antibiotic therapy, and then infliximab therapy in doses of 5 mg/kg/every 2 months, resulting in improvement of intestinal symptoms and gradual disappearance of skin lesions and joint symptoms (and gradual healing of the fistula).
A similar approach was used in several cases, particularly when conventional treatment was contraindicated and a rapid, effective response was required (Table 1). These findings suggest that modern therapy offers a viable alternative to surgical treatment, which, although highly effective, can be significantly mutilating, particularly in children. In the presented pediatric cases, treatment with infliximab, vedolizumab, and canakinumab enabled avoidance of surgical intervention.
Based on the collected data, we propose a practical treatment algorithm, summarized in Table 4. In mild cases, a trial of antibiotics (e.g., metronidazole) combined with optimization of IBD therapy (e.g., 5-ASA) is recommended. For moderate to severe or refractory cases of BADAS, systemic glucocorticosteroids (e.g., prednisone 0.5–1 mg/kg/day) remain the first-line therapy and may be used in combination with other immunosuppressive agents such as cyclosporine or 5-ASA. In patients requiring a steroid-sparing strategy or for maintenance therapy, modern biologics are crucial for long-term disease control. When BADAS or other neutrophilic dermatosis occurs in the setting of active IBD and fails conventional therapy, anti-TNF inhibitor (particularly infliximab) should be considered a preferred option, given the best available evidence. Ustekinumab is an attractive option for patients who cannot receive or have failed anti-TNF therapy; evidence, while retrospective, shows promising results. Vedolizumab can be considered when intestinal activity is the main driver, although the evidence is sparce, and systemic biologics are generally more reliable for neutrophilic dermatoses. Consider IL-1 blockage (e.g. canakinumab) only in highly refractory, after careful risk assessment.
Treatment algorithm for BADAS with the focus on biologic therapies
| 4A. Practical treatment algorithm | |||
|---|---|---|---|
| Disease severity | Recommended therapy | Notes | |
| Mild–moderate | Antibiotics (e.g., metronidazole, ciprofloxacin), Optimize IBD treatment (e.g., 5-ASA, mesalazine) | Targeting bacterial overgrowth and intestinal inflammation may be sufficient in early stages and mild flares | |
| Moderate–severe/refractory | Systemic GCS – prednisone (0.5–1 mg/kg/day) or MP | Remains first-line therapy, choose i.v. MP in severe flares. Can be combined with other immunosuppressants | |
| Steroid-sparing/maintenance | Immunosuppressants (e.g., cyclosporine, azathioprine, MMF), Biologics (anti-TNF, anti-IL-12/23, anti-integrin, anti-IL-1) | Choice depends in comorbidities, IBD activity, recurrence rest. Biologics are a key to long-term management | |
| 4B. Focus on biologic agents | |||
| Agent/class | Mechanism of action | Evidence in BADAS or other neutrophilic dermatoses | Practical notes |
| Infliximab (anti-TNF-alfa) | Monoclonal antibody against TNF-α; suppresses systemic and mucosal inflammation | Most frequently reported biologic in BADAS (≥4 cases); strong evidence from IBD and neutrophilic dermatoses literature, including RCTs for pyoderma gangrenosum | Preferred option in BADAS with active IBD; rapid onset with great efficacy for the control of bowel, joint, and skin symptoms |
| Ustekinumab (anti-IL-12/23) | Blocks p40 subunit shared by IL-12 and IL-23, reducing Th1/Th17 activity | Reported in one BADAS case; broader evidence in IBD alone; retrospective, robust case series suggest benefit in neutrophilic dermatoses | Consider if anti-TNF is contraindicated or failed; slower onset than infliximab |
| Vedolizumab (anti-α4β7 integrin) | Intestine-selective blockade of lymphocyte trafficking | Reported in one BADAS case (pediatric); effective in IBD but less reliable for neutrophilic dermatoses (localized mode of action) | Best for cases where gut activity drives BADAS – severe IBD flare-up; may be insufficient for systemic/skin inflammation |
| Canakinumab (anti-IL-1β) | Monoclonal antibody against IL-1β; innate immunity inhibitor | Reported in one BADAS case (pediatric); low level of evidence | Reserve for highly refractory BADAS; use only after careful risk–benefit assessment |
BADAS, bowel-associated dermatosis and arthritis syndrome; IBD, inflammatory bowel disease; MMF, mycophenolate mofetil; MP, methylprednisolone; Th1, T-helper 1.
BADAS is a syndrome including dermatological, rheumatological, and gastroenterological symptoms, particularly related to IBD. The exact incidence of BADAS is still not fully known due to low disease awareness among specialists. The occurrence of both cases within a relatively short period at our institution suggests a significant underestimation of the prevalence of this syndrome. Available information on BADAS is limited to case reports, and there are still no clear diagnostic or therapeutic guidelines, which causes significant challenges for physicians. The exact pathogenesis of BADAS remains to be elucidated with further research. The exact pathogenesis of this syndrome still requires more in-depth research. However, available data indicate the important role of bacterial overgrowth and the impact of the movement of intestinal flora antigens, triggering a generalized inflammatory response. Furthermore, increased permeability of the inflamed intestinal wall contributes to the pathogenesis of BADAS. The manifestation of skin lesions during BADAS syndrome is very diverse: spots, papules, nodules, vesicles, and pustules, which to an inexperienced eye may resemble skin lesions such as: Sweet Syndrome or erythema nodosum, requiring completely separate treatment.
The presence of systemic symptoms such as persistent unexplained fever, peripheral joint swelling, diffuse arthralgias, and weakness – together with GI symptoms or a history of IBD – should raise suspicion for BADAS. Endoscopic evaluation may be helpful in the differential diagnosis, which in IBD-related cases most often indicates an exacerbation of IBD. Histopathological examination of skin lesions is of utmost importance: it typically reveals leukocytoclastic vasculitis with perivascular neutrophils and lymphocytes, along with dermal edema, erythrocyte extravasation, and fibrin deposition.
A recommended scheme of therapy is based on antibiotics, anti-inflammatory drugs, and biological treatment. Infliximab remains the best-supported biologic for neutrophilic dermatoses associated with IBD, including BADAS, and should be prioritized in severe or steroid-refractory cases with active intestinal disease. Ustekinumab represents an increasingly validated alternative with encouraging durability, particularly post-TNF inhibitors failure. Vedolizumab may be effective when skin disease tracks with gut activity but is less reliable for systemic neutrophilic inflammation, given its mechanism of action. Importantly, treatment of the underlying IBD should be initiated early, as appropriate treatment results in significant improvement in BADAS-related symptoms.
In our cases, BADAS treatment was focused on healing skin lesions and relieving GI symptoms. The first patient was treated with prednisone and cyclosporine to induce remission. Azathioprine was prescribed as a milder treatment option to maintain the effects. The second patient received metronidazole and ciprofloxacin, and biological therapy with infliximab was used to control the disease with good improvement.
Reduction of IBD flare-up clinically and on colonoscopy shows that control of digestive symptoms resulted in resolution of skin lesions and joint pain. These cases show that if the disease is properly treated, the symptoms of BADAS syndrome can disappear completely. Depending on the severity of symptoms, BADAS patients may be admitted to various departments; in the analyzed cases, these were the departments of rheumatology, dermatology, internal diseases, gastroenterology, and pediatrics. Due to the turbulent course of symptoms and the high risk of IBD and BADAS complications, a holistic approach to the patient is very important to make the correct diagnosis. For gastroenterologists, rheumatologists, and dermatologists, it is important to know about IBDs, their complications and comorbidities, as well as the possibility of quick diagnosis and implementation of appropriate treatment. This knowledge can prevent complications of the disease and avoid inappropriate treatment, which often includes radical surgery.
Further research is still greatly needed to expand our knowledge of BADAS, its epidemiology, symptoms, and possible comorbidities.