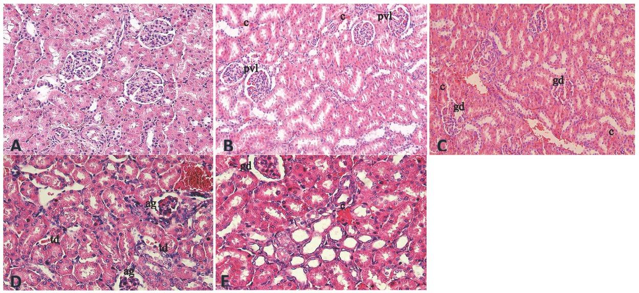
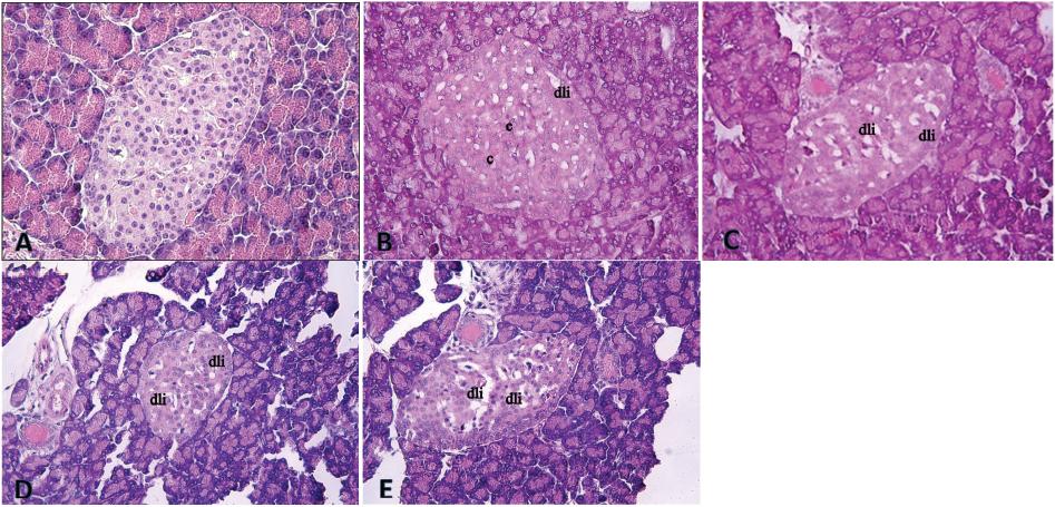
Figure 1

Figure 2

Figure 3

Biochemical markers measured in the oil control and experimental groups treated with mono(2-ethylhexyl) phthalate (MEHP)
| Parameters | Control | MEHP (mg/kg bw a day) | ||||
|---|---|---|---|---|---|---|
| 25 | 50 | 100 | 200 | 400 | ||
| ALT (IU/L) | 45.65±17.41 | 50.3±0.22 | 55.4±0.11 | 65.25±15.99a,b | 85.63±10.72a,b,c | 96.91±7.82a,b,c,d |
| AST (IU/L) | 110.1±101.6 | 115.2±15.12 | 120.45±22.12d,e,f | 139.8±88.9a | 182.6±36.9a,b | 268.3±110.6a,b,c |
| Triglycerides (mg/dL) | 945.8±704.6 | 1050.27±5.43 | 1210.12±3.54a,d | 1450.8±294.5a | 1650.3±250a,b | 1702.6±266.4a,b,c |
| Glucose (IU/L) | 191.5±61 | 201.27±13.07 | 205.17±0.6 | 211.1±33.5a,e,f | 251.1±19.3a,b | 301.6±43.5a,b,c |
| Total protein (g/dL) | 8.6±0.8 | 8.3±2.34 | 8.22±3.34 | 8.5±2.6 | 6.8±0.3a,b,c,d | 6.6±0.4a,b,c,d |
| Albumin (g/dL) | 32.35±2.73 | 29.8±4.44 | 29.8±1.14 | 27.93±1.34 | 21.03±1.88a,b,c,d | 18.66±1.53a,b,c,d |
| Creatinine (mg/dL) | 0.46±0.22 | 0.47±8.91 | 0.46±6.45 | 0.49±0.25 | 0.48±0.16 | 0.45±0.15 |
| Urea (mg/dL) | 14.8±3.3 | 14.7±4.12 | 13.09±2.44 | 13.7±1.8 | 12.3±8.3 | 11.5±2a,b,c |
Insulin levels measured in oil control and experimental groups treated with mono(2-ethylhexyl) phthalate (MEHP)
| Groups | Control | MEHP (mg/kg bw a day) | ||||
|---|---|---|---|---|---|---|
| 25 | 50 | 100 | 200 | 400 | ||
| Insulin (ng/mL) | 1.43±0.48 | 1.35±0.12 | 1.32±0.1 | 1.24±1.03a | 0.77± 0.82a,b,c,d | 0.69±0.61a,b,c,d |
Food and water consumption by rats in the oil control and experimental groups treated with mono(2-ethylhexyl) phthalate (MEHP)
| Groups | Control | MEHP (mg/kg bw a day) | ||||
|---|---|---|---|---|---|---|
| 25 | 50 | 100 | 200 | 400 | ||
| Food (g) | 10.70±3.60 | 11.12±1.01 | 12.14±2.29 | 15.43±4.37 | 20.06±6.51a,b,c,f | 30.05±5.72a,b,c,d,e |
| Water (mL) | 9.82±2.76 | 10.21±0.12 | 10.32±0.78 | 11.63±2.95 | 11.53±1.39 | 12.13±3.81 |
Body and absolute and relative organ weights of rats in the oil control and experimental groups treated with monobutyl phthalate (MBP)
| Groups | Control | MBP (mg/kg bw a day) | ||||
|---|---|---|---|---|---|---|
| 25 | 50 | 100 | 200 | 400 | ||
| Baseline body weight (g) | 220.8±1.0 | 220.4±0.1 | 221.3±0.2 | 224.4±0.8 | 219.7±0.1 | 217.9±0.1 |
| Final body weight (g) | 330.9±1.2 | 331.02±0.8 | 332.01±0.3 | 323.2±0.1 | 330.4±0.4 | 350.7±0.1 |
| Weight gain % | 50.02±0.2 | 50.09±0.7 | 51.07±0.8 | 50.09±0.8 | 54.01±0.2 | 55.06±0.3 |
| Liver | ||||||
| Absolute weight (g) | 10.5±1.0 | 11.5±0.1 | 12.4±0.3 | 17.4±0.9a,b | 17.9±0.1a,b | 18.44±0.1a,b,c |
| Relative weight (mg/g) | 34.8±1.2 | 33.3±1.3 | 33.1±1.2 | 32.8±0.7 | 33.9±0.4 | 34.1±1.1 |
| Kidney | ||||||
| Absolute weight (g) | 1.07±0.1 | 1.09±1.1 | 1.10±1.2 | 1.09±0.9 | 1.10±0.1 | 1.11±0.1 |
| Relative weight (mg/g) | 3.2±0.1 | 3.1±0.1 | 3.2±0.3 | 3.1±0.2 | 3.1±0.1 | 3.1±0.2 |
| Pancreas | ||||||
| Absolute weight (g) | 0.253±0.1 | 0.245±0.4 | 0.240±0.3 | 0.220±0.2 | 0.210±0.3 | 0.201±0.1a,b |
| Relative weight (mg/g) | 0.74±0.1 | 0.73±0.1 | 0.73±0.1 | 0.71±0.2 | 0.68±0.3a,b,c,d | 0.66±0.5a,b,c,d |
Body and absolute and relative organ weights of rats in the oil control and experimental groups treated with mono(2-ethylhexyl) phthalate (MEHP)
| Groups | Control | MEHP (mg/kg bw a day) | ||||
|---|---|---|---|---|---|---|
| 25 | 50 | 100 | 200 | 400 | ||
| Baseline body weight (g) | 220.8±1.0 | 219.5±0.2 | 221.1±0.1 | 222.3±0.9 | 217.8±0.1 | 218.9±0.1 |
| Final body weight (g) | 330.9±1.2 | 340.4±0.3 | 340.3±0.5 | 333.2±0.7 | 340.5±0.4 | 348.7±1.1 |
| Weight gain % | 50.02±0.2 | 52.03±0.5 | 51.02±0.1 | 51.09±0.8 | 55.01±0.3 | 54.06±0.4 |
| Liver | ||||||
| Absolute weight (g) | 10.5±1.0 | 12.4±1.2 | 14.2±0.1 | 16.5±0.9a | 16.9±0.1a | 17.48±0.1a |
| Relative weight (mg/g) | 34.8±1.2 | 32.1±0.2 | 33.1±0.4 | 32.7±0.7 | 32.9±0.4 | 33.1±1.1 |
| Kidney | ||||||
| Absolute weight (g) | 1.07±0.1 | 1.07±0.1 | 1.09±0.2 | 1.09±0.9 | 1.09±0.2 | 1.10±0.1 |
| Relative weight (mg/g) | 3.2±0.1 | 3.1±0.2 | 3.2±0.2 | 3.1±0.2 | 3.1±0.1 | 3.0±0.2 |
| Pancreas | ||||||
| Absolute weight (g) | 0.253±0.1 | 0.240±0.2 | 0.242±0.4 | 0.212±0.2 | 0.198±0.3a,b,c | 0.160±0.4a,b,c,d |
| Relative weight (mg/g) | 0.74±0.1 | 0.73±0.2 | 0.72±0.1 | 0.71±0.2 | 0.68±0.3a,b,c,d | 0.59±0.5a,b,c,d |
Biochemical markers measured in the oil control and experimental groups treated with monobutyl phthalate (MBP)
| Parameters | Control | MBP (mg/kg bw a day) | ||||
|---|---|---|---|---|---|---|
| 25 | 50 | 100 | 200 | 400 | ||
| ALT (IU/L) | 45.65±17.41 | 47.26±0.22 | 50.62±0.11 | 55.25±14.99a | 76.63±19.72a,b,c | 82.91±6.82a,b,c,d |
| AST (IU/L) | 110.1±101.6 | 120.9±15.12 | 135.66±22.12 | 159.8±65.9a | 191.6±36.9a,b | 276.3±90.6a,b,c,d |
| Triglycerides (mg/dL) | 945.8±704.6 | 960.8±5.43 | 1100.9±3.54 | 1550.8±294a,b | 1850.3±250a,b,c | 1820.4±116.4a,b,c |
| Glucose (IU/L) | 191.5±61 | 220.27±13.07 | 251.17±0.6 | 291.1±22.5a | 351.1±18.3a,b | 401.6±41.5a,b,c |
| Total Protein (g/dL) | 8.6± 0.8 | 8.3±2.34 | 8.2±3.34 | 8.1±2.6 | 7.1±0.3ab | 6.4±0.4a,b,c |
| Albumin (g/dL) | 32.35±2.73 | 31.9±4.44 | 31.2±1.14 | 29.92±1.32 | 22.03±1.98a,b,c | 21.33±1.43a,b,c |
| Creatinine (mg/dL) | 0.46±0.22 | 0.47±8.91 | 0.48±6.45 | 0.48±0.15 | 0.38±0.17 | 0.35±0.14a,b,c |
| Urea (mg/dL) | 14.8±3.3 | 14.5±4.12 | 14.3±2.44 | 14.8±1.8 | 13.2±8.3 | 11.3±2a,b,d |
Incidence of exposure-related histopathologic lesions observed in oil control and experimental groups treated with monobutyl phthalate (MBP)
| Parameters / Groups | Control | MBP (mg/kg bw a day) | ||||
|---|---|---|---|---|---|---|
| 25 | 50 | 100 | 200 | 400 | ||
| Liver | ||||||
| Sinusoidal degeneration | 0/6 | 0/6 | 1/6 | 4/6* | 4/6* | 6/6* |
| Congestion | 1/6 | 2/6 | 2/6 | 4/6* | 3/6 | 5/6* |
| Cytoplasmic dissolution | 0/6 | 1/6 | 1/6 | 3/6 | 3/6* | 3/6 |
| Mononuclear cell infiltration | 1/6 | 0/6 | 2/6 | 2/6 | 5/6* | 5/6* |
| Kidney | ||||||
| Glomerulus degeneration | 0/6 | 0/6 | 1/6 | 3/6 | 4/6* | 5/6* |
| Congestion | 1/6 | 2/6 | 2/6 | 4/6* | 3/6 | 6/6* |
| Cytoplasmic dissolution | 0/6 | 1/6 | 1/6 | 1/6 | 1/6 | 2/6 |
| Mononuclear cell infiltration | 1/6 | 0/6 | 2/6 | 1/6 | 1/6 | 1/6 |
| Pancreas | ||||||
| Degeneration of pancreatic cells | 0/6 | 0/6 | 1/6 | 2/6 | 5/6* | 6/6* |
| Congestion | 1/6 | 1/6 | 1/6 | 2/6 | 2/6 | 5/6* |
Incidence of exposure-related histopathological lesions observed in oil control and experimental groups treated with mono(2-ethylhexyl) phthalate (MEHP)
| Parameters / Groups | Control | MEHP (mg/kg bw a day) | ||||
|---|---|---|---|---|---|---|
| 25 | 50 | 100 | 200 | 400 | ||
| Liver | ||||||
| Sinusoidal degeneration | 0/6 | 0/6 | 1/6 | 4/6* | 5/6* | 6/6* |
| Congestion | 0/6 | 1/6 | 1/6 | 5/6* | 3/6 | 5/6* |
| Cytoplasmic dissolution | 0/6 | 1/6 | 1/6 | 1/6 | 4/6* | 2/6 |
| Mononuclear cell infiltration | 0/6 | 0/6 | 1/6 | 4/6* | 5/6* | 5/6* |
| Kidney | ||||||
| Glomerulus degeneration | 0/6 | 0/6 | 1/6 | 3/6 | 4/6 | 6/6* |
| Congestion | 1/6 | 2/6 | 2/6 | 4/6* | 3/6 | 5/6* |
| Cytoplasmic dissolution | 0/6 | 1/6 | 1/6 | 3/6 | 3/6 | 3/6 |
| Mononuclear cell infiltration | 1/6 | 0/6 | 2/6 | 1/6 | 2/6 | 1/6 |
| Pancreas | ||||||
| Degeneration of pancreatic cells | 0/6 | 0/6 | 1/6 | 4/6* | 4/6* | 6/6* |
| Congestion | 1/6 | 1/6 | 2/6 | 4/6* | 3/6 | 5/6* |
Food and water consumption by rats in the oil control and experimental groups treated with monobutyl phthalate (MBP)
| Groups | Control | MBP (mg/kg bw a day) | ||||
|---|---|---|---|---|---|---|
| 25 | 50 | 100 200 | 400 | |||
| Food (g) | 10.70±3.60 | 12.18±1.03 | 13.67±2.32 | 14.23±4.37 18.07±6.51a | 23.10±5.72a,b,c,d | |
| Water (mL) | 9.82±2.76 | 10.01±0.54 | 10.34±0.33 | 10.23±2.95 12.53±1.39 | 13.53±3.81 | |
Haematological parameters measured in the oil control and experimental groups treated with mono(2-ethylhexyl) phthalate (MEHP)
| Parameters | Control | MEHP (mg/kg bw a day) | ||||
|---|---|---|---|---|---|---|
| 25 | 50 | 100 | 200 | 400 | ||
| Leukocytes (mm3) | 2.55±1.43 | 2.50±0.22 | 2.53±0.11 | 2.98±2.34 | 2.63±1.11 | 1.19±0.17a,b,c,d,e |
| Lymphocytes (%) | 68.50±16.17 | 68.50±15.12 | 69.45±22.12 | 70.83±21.34 | 65.42±8.39 | 78.41±16.90 |
| Monocytes (%) | 11.17±5.40 | 10.27±5.43 | 9.12±3.54 | 11.40±8.42 | 10.30±1.97 | 4.40±0.11a,b,c,d,e |
| Neutrophils (%) | 19.27±11.06 | 18.27±13.07 | 20.17±0.6 | 17.73±13.12 | 24.28±6.89 | 17.48±12.79 |
| Erythrocytes (mm3) | 13.22±3.53 | 14.23±2.34 | 14.22±3.34 | 11.6±2.68 | 13.3±1.76 | 8.26±0.68 |
| MCV (fL) | 27.8±5.34 | 29.8±4.44 | 28.8±1.14 | 29.41±1.13 | 25.78±3.89 | 53.12±2.89a,b,c,d,e |
| Haematocrit (%) | 35.27±8.18 | 33.17±8.91 | 34.56±6.45 | 33.6±6.06 | 27.1±6.29 | 39.27±1.62 |
| MCH (pg) | 7.87±4.52 | 8.77±4.12 | 9.01±2.44 | 8.83±3.38 | 11.6±11.24 | 14.9±1.24 |
| MCHC (g/dL) | 26.75±8.78 | 25.15±11.22 | 28.65±7.55 | 29.8±9.16 | 23.05±6.05 | 28.07±1.06 |
| Haemoglobin (g/dL) | 8.92±1.26 | 8.92±0.1 | 8.44±1.77 | 8.50±1.16 | 8.05±0.5 | 6.33±0.22a,b,c,d,e |
| Thrombocytes (mm3) | 3287.83±1276.73 | 3367.83±1131.02 | 3266.83±1144.03 | 3299.33±2483.02 | 2265±1567.18 | 2764.17±1876.21 |
| PCT (%) | 3.92±1.45 | 4.62±1.76 | 4.12±1.22 | 4.5±2.31 | 3.96±1.72 | 4.01±1.42 |
Antibody levels measured in oil control and experimental groups treated with mono(2-ethylhexyl) phthalate (MEHP) and monobutyl phthalate (MBP)
| Groups | Islet cell antibody (ICA) | Insulin antibody (IAA) |
|---|---|---|
| Control | (-) | (-) |
| MEHP (mg/kg bw a day) | ||
| 25 | (-) | (-) |
| 50 | (-) | (-) |
| 100 | (-) | (-) |
| 200 | (-) | (-) |
| 400 | (-) | (-) |
| MBP (mg/kg bw a day) | ||
| 25 | (-) | (-) |
| 50 | (-) | (-) |
| 100 | (-) | (-) |
| 200 | (-) | (-) |
| 400 | (-) | (-) |
Insulin levels measured in oil control and experimental groups treated with monobutyl phthalate (MBP)
| Groups | Control | MBP (mg/kg bw a day) | ||||
|---|---|---|---|---|---|---|
| 25 | 50 | 100 | 200 | 400 | ||
| Insulin (ng/mL) | 1.43±0.48 | 1.40±0.70 | 1.38±0.60 | 1.33±1.01 0.81 | ±0.71a,b,c,d | 0.80±0.51a,b,c,d |
Haematological parameters measured in the oil control and experimental groups treated with monobutyl phthalate (MBP)
| Parameters | Control | MBP (mg/kg bw a day) | ||||
|---|---|---|---|---|---|---|
| 25 | 50 | 100 | 200 | 400 | ||
| Leukocytes (mm3) | 2.55±1.43 | 2.30±2.14 | 2.55±0.84 | 2.58±2.34 | 2.83±1.11 | 2.19±0.39 |
| Lymphocytes (%) | 68.50±16.17 | 67.51±17.17 | 70.60±26.01 | 71.83±21.34 | 72.42±8.39 | 73.41±16.90 |
| Monocytes (%) | 11.17±5.40 | 12.17±4.11 | 11.21±4.39 | 12.20±9.41 | 11.30±1.97 | 9.33±0.10 |
| Neutrophils (%) | 19.27±11.06 | 18.11±9.87 | 18.44±8.77 | 18.73±14.22 | 19.19±6.89 | 18.48±12.79 |
| Erythrocytes (mm3) | 13.22±3.53 | 12.12±3.21 | 13.01±1.21 | 12.6±2.68 | 13.3±1.76 | 12.26±0.68 |
| MCV (fL) | 27.8±5.34 | 28.9±4.53 | 28.8±1.01 | 28.42±2.13 | 29.78±3.89 | 62.11±1.89a,b,c,d,e |
| Haematocrit (%) | 35.27±8.18 | 34.10±1.21 | 35.09±5.23 | 34.7±6.06 | 37.1±6.29 | 38.27±3.65 |
| MCH (pg) | 7.87±4.52 | 8.17±2.33 | 8.41±1.43 | 7.93±3.39 | 9.6±11.24 | 8.9±1.24 |
| MCHC (g/dL) | 26.75±8.78 | 27.15±5.56 | 27.31±2.56 | 27.2±9.16 | 25.05±6.05 | 26.07±1.06 |
| Haemoglobin (g/dL) | 8.92±1.26 | 9.02±0.26 | 9.98±0.26 | 9.5±1.16 | 9.02±1.6 | 6.01±0.93a,b,c,d,e |
| Thrombocytes (mm3) | 3287.83±1276.7 | 3311.83±1222.01 | 3317.02±1143.3 | 3309.33±2483.0 | 3266±1598.1 | 3765.17±1659.2 |
| PCT (%) | 3.92±1.45 | 3.81±1.11 | 4.01±0.22 | 4.7±3.34 | 3.87±1.89 | 3.51±1.42 |