We know today that noise can affect health beyond loss of hearing (1). Exposure to noise can disturb physiological processes and affect systems such as cardiovascular (2), digestive (3, 4), immune (5, 6, 7), endocrine (8), and nervous (9). We also know that toluene – used as solvent in many products and industries (10, 11, 12, 13, 14), including vehicle fuel (15) – can at high concentrations cause nervous system disorders (16, 17), cardiovascular changes (18), and respiratory problems (19).
However, there are a number of industries in which exposure to both is quite common, such as chemical and petrochemical industry (17). The issue of combined effects of various physical and chemical factors on health has been a controversial and much-disputed subject in the field of environmental health and toxicology in recent years (20, 21). Considering the prevalence of toluene and noise in different industries and the lack of scientific studies of their combined effects, our aim was to fill that gap and get new insights into some toxicological effects related to inflammatory and apoptotic processes and resulting pathological changes in various organs usually affected by the two. Our research hypothesis was that combined exposure to noise and toluene should induce more severe effects and pathological changes in the lung, heart, spleen, and stomach tissues than its components alone.
For this study we used 24 four months old New Zealand white rabbits weighing 2.83±0.5 kg. The rabbits were housed in wire mesh cages at 21±5 °C (55–70 % humidity) and had free access to standard pellet and water. Animals were randomised into four groups of six: control, noise group exposed to 100 dB of noise, toluene group exposed to 1000 mg/L of toluene, and combined group exposed to noise and toluene. Exposure to toluene and/or noise was set up in an exposure chamber specifically designed for this purpose and lasted eight hours a day for 14 days. The control group was also placed in the exposure chamber for eight hours but was not exposed to either toluene or noise. All environmental variables (such as humidity, temperature, lightness, exposure and mixer chambers, and airflow rate) were identical for all groups.
The study was approved by the National Committee on Ethics in Iran’s Biomedical Research (approval code: IR.TBZMED. REC.1396.953).
The chamber was made of polycarbonate 50×60×90 cm panes as described in earlier studies (22, 23) in order to have noise distributed equally across the chamber. The chamber was attached to another mixer chamber as shown in Figure 1. Exposure conditions, including temperature (23±5 °C) and humidity (65– 80 %) were identical for all groups.

Exposure setup
White noise (100±5 dB at 50–20,000 Hz) was generated by the Audacity® 1.3.12 Beta software (Carnegie Mellon University, Pittsburgh, PA, USA), amplified, and delivered to noise-exposed groups continuously over eight hours through a speaker (Figure 1). The level of noise was constantly monitored with the Cool Edit Pro 2.1© software (Adobe, San Jose, CA, USA) every 30 min using a real-time sound analyser (TES 1358; TES Electrical Electronic Corp, Taipei, Taiwan) both in pilot tests and in experiments. The clean air flow rate was 33 L/min for the control and noise-exposed groups.
Toluene vapour was obtained by impinging extra pure liquid toluene (Merck, Darmstadt, Germany) in a 250 mL impinger and diluting it with fresh air to reach the concentration of 1000±50 mg/L. Clean air flow rate was 30 L/min and toluene vapour flow rate was 3 L/min to match the flow for control and noise-exposed animals. The starting liquid toluene volume in the impinger was 100 mL, and 20 mL were further injected every 90 min. These flow rates and toluene liquid volume in the impinger were obtained in pilot tests to produce a relatively constant and uniform concentration of 1000 mg/L as determined with a PhoCheck+ 5000Ex volatile organic compound (VOC) detector (Ion Science, Cambs, UK). Toluene concentration of 1000 mg/L and its purity in the exposure chamber were verified by gas chromatography-mass spectrometry (Agilent 6890/5973, Santa Clara, CA, USA) according to the method no. 1021 recommended by the Occupational Safety and Health Administration (OSHA). Toluene concentration was continuously checked at checking outlets using the same VOC detector used in pilot experiments.
Blood was collected from the marginal vein on rabbit ear into serum gel and clot activator tubes at five time points before centrifuge: immediately before the beginning of 14-day exposure and on days 0, 3, 7, and 14 after the end of 14-day exposure. One hour after collection, the samples were centrifuged at 706 g for 15 min, and the obtained serum transferred to micro tubes with a sampler and stored in a freezer at -80 °C until blood from all groups had been sampled and biochemistry tests initiated.
All animals were weighed with a digital scale immediately before each blood sampling.
Inflammatory cytokines, tumour necrosis factor alpha (TNF-α; Cat. No. CK-E91014) and interleukin 1 beta (IL-1β; Cat. No. CK-E80175), were measured with the rabbit enzyme-linked immunosorbent assay (ELISA) kit (Hangzhou Eastbiopharm, Hangzhou, China) according to manufacturer’s instructions. The ELISA plate reader and washer used in this study were State Fax 2100 and 2600, respectively (Awareness Technology., Palm City, FL, USA).
After 14 days of exposure, the rabbits were anaesthetised with a mixture of 35 mg/kg ketamine and 5 mg/kg xylazine (Rotexmedica, Trittau, Germany) injected intramuscularly. When the animals were completely senseless, their heart, lung, spleen, and stomach tissues were dissected and samples (1×1×1 cm) fixed in 10 % pH 7.2 formaldehyde solution (Merck).
The obtained samples were dried, cleared, impregnated with paraffin, and moulded using an MSLTS01 automated tissue processor (MedSingLong Global Group, Guangdong, China). Paraffin blocks were then cut into 5-μm thick sections with a Leitz microtome 1512 (Leica, Wetzlar, Germany). Finally, the slides were stained with haematoxylin-eosin (Thermo Fisher Scientific. Geel, Belgium) and assessed using a Nikon Eclipse E100 light microscope (100× magnification) (Nikon, Tokyo Japan).
Total RNA was isolated from tissue samples with Trizol (Yekta Tajhiz Azma, Tehran, Iran) and RNAiso Plus (TaKaRa, Dalian, China) reagents and its high purity determined with a NanoDrop 2000c spectrophotometer (Thermo Fisher Scientific, Waltham, MA, USA) at the absorbance ratio of 260 nm/280 nm, which ranged from 1.8 to 2.0. The quality and quantity of extracted RNA extracted were also proven with agarose gel. Afterwards, 1 μg of RNA was used to synthesise first-strand complementary DNA (cDNA) using a Primescript RT reagent kit with a gDNA Eraser (Takara Bio, Dalian, China) according to the manufacturer’s instructions. Real-time quantitative reverse transcription (qRT) PCR was carried out with a conventional thermal cycler (LightCycler® 96, F. Hoffmann-La Roche, Basel, Switzerland) and the cyanine SYBR® Green I dye (Yekta Tajhiz Azma) and analysed using the OLIGO 7 primer analysis software (Molecular Biology Insights, Colorado Springs, CO, USA). Complementary DNA (cDNA) of each sample was distilled to a working concentration of 4 pmol/L. To determine the expression ratio of the Bax and Bcl-2 genes as markers of apoptosis, we used a total volume of 10 μL reaction solution containing 5 μL SYBR PremixEX Taq polymerase, 0.3 μL of primer mix (forward and reverse), 3.7 μL of ultrapure water treated with diethyl pyrocarbonate (DEPC, PT-P560, Protech Technology Enterprise, Taipei, Taiwan), and 1 μL of sanitised cDNA. Primer sequences are presented in Table 1. The PCR cycling protocol started with denaturation at 95 °C for 30 s, followed by 40 cycles at 95 °C for 5 s, annealing at 59 °C for 30 s, and extension at 72 °C for 30 s. The standard curves were made using a 10-fold dilution series of cDNA for each treatment and linear regression model.
Primers used for quantitative RT-PCR analyses
| Gene | Primer sequence (5'-3') | length (bp) |
|---|---|---|
| Bax | Forward: AGGTCTTTTTCCGAGTGGCAGC | 234 |
| Revers: GCGTCCCAAAGTAGGAGAGGAG | ||
| Bcl-2 | Forward: GACGACTTCTCCCGCCGCTAC | 245 |
| Revers: CGGTTCAGGTACTCAGTCATCCAC | ||
| GAPDH | Forward: GCCAAAAGGGTCATCATCTCTGC | 183 |
| Revers: GGTCACGAGTCCTTCCACGATAC | ||
Cytokine data were estimated using generalised estimated equations (GEE) run on the IBM SPSS Statistics software (IBM SPSS Statistics for Windows, version 25.0.0.0, Armonk, NY, USA). Bax, Bcl-2, and tissue weights were compared using the analysis of variance (ANOVA) and Tukey’s method run on the Minitab statistics package version 18 (Minitab, State College, PA, USA).
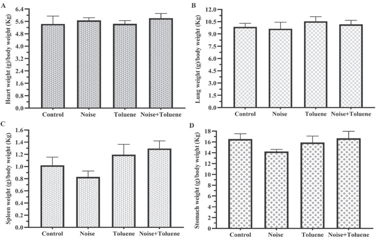
Figure 2 shows that body weight in the toluene and combined group dropped initially and recovered by day 14 after exposure ended, whereas noise alone did not significantly affect body weight, which, in fact increased steadily by post-exposure day 14. Relative organ tissue weights, in turn, did not significantly differ between the groups (Figure 3).

Changes in body weight by study groups; each point represents mean ± SE (n=6). The asterisk (*) marks significant difference in body weight between day 0 and pre-exposure measurement in the toluene and combined groups (P<0.05)

Mean (±SD) relative tissue weights (tissue/body weight) by study groups (n=6) and organs: heart (A), lung (B), spleen (C), and stomach (D)
Figure 4 shows changes in serum TNF-α and IL-1β across post-exposure days. On day 7 post exposure, IL-β in the combined group was significantly higher than in the noise group and significantly lower than in control. TNF-α level in the combined group was significantly higher than in the noise group immediately after the end of 14-day exposure (day 0).

Changes in IL-β (A) and TNF-α (B) levels by study groups; each point represents mean ± SE (n=6). a – significantly higher in the combined than the noise group (P<0.05); b – significantly lower in the combined than control group (P<0.05)
Previous animal studies have generally shown lowering of interleukin and TNF-α in response to toluene exposure (24, 25). Reports on noise, in turn, are inconclusive, as some studies reported TNF-α increase at 100 dB over 15 (26) and 30 exposure days in rats (5), whereas others reported a drop at 45–75 dB over a 2-week exposure in mice (27) and mixed findings in in rats exposed to 100 dB for 15 days (28). Similar can be said for interleukin response to noise exposure (5, 28, 29), and more experiments are needed to establish specific effects of noise on cytokine behaviour.
On the other hand, the effects of combined exposure to noise and toluene on IL-β and TNF-α have not yet been studied, and this study points to their decrease. Tables 2–4 show generalised estimating equations for IL-β, TNF-α, and body weight with respect to control over the 14 post-exposure days. The values presented there have been adjusted to pre-exposure and control values to remove the effect of confounding variables. Combined effects (synergism, antagonism) were calculated based on a study by Piggott et al. (30). Noise and toluene had both antagonistic and synergistic effects on IL-β, TNF-α, and body weight (Table 2) and interacted differently (synergism and antagonism) on different post-exposure days, which may point to the activation of mechanisms of homeostasis in the body to balance and neutralise their combined effects.
GEE analysis for body weights and the immunological parameters in respect to control over the 14 days after the end of exposure to noise and/ or toluene in New Zealand rabbits [(values are modified based on pre-exposure and control values to remove the effects of confounding variables. Combined effects (synergism, antagonism) were calculated as described in a study by Piggott et al. (30)]
| Time point post exposure | Parameter | Noise group | Toluene group | Combined group | Interaction type |
|---|---|---|---|---|---|
| Day 0 | TNF-α | 3.927±2.636 | 6.477±3.862 | 0.560±2.439 | +Antagonism |
| IL-β | -0.535±1.412 | 2.490b±0.689 | 0.900±1.462 | +Antagonism | |
| Body weight | 0.028±0.091 | -0.075±0.090 | -0.081a±0.036 | -Synergism | |
| Day 3 | TNF-α | 6.895±9.150 | 3.320±4.591 | -2.800±6.901 | -Synergism |
| IL-β | 0.600±1.215 | 0.350±0.930 | 2.140±1.242 | +Synergism | |
| Body weight | 0.018±0.076 | -0.097a±0.038 | 0.011±0.020 | -Antagonism | |
| Day 7 | TNF-α | 3.981±10.624 | 7.406±5.010 | -2.180±5.128 | -Synergism |
| IL-β | -0.703±0.687 | 0.447±2.221 | 1.540±0.917 | +Synergism | |
| Body weight | 0.038±0.059 | -0.06±0.036 | 0.031±0.020 | -Antagonism | |
| Day 14 | TNF-α | 1.525±7.446 | -0.975±7.747 | -1.420±2.416 | -Synergism |
| IL-β | 0.821±0.809 | -0.004±0.811 | 1.220±0.973 | +Synergism | |
| Body weight | 0.116±0.096 | -0.003±0.043 | 0.121b±0.027 | +Synergism |
a P<0.05; b P<0.001. All values are the β value±SE (standard error)
Coefficients of ANOVA analysis for different apoptosis indices in the heart, lung, spleen, and stomach on day 14 post exposure (values are modified based on pre-exposure and control values to remove the effects of confounding variables)
| Tissue | Parameter | Noise group | Toluene group | Combined group |
|---|---|---|---|---|
| Heart | Bax | 4.58±1.34 | -0.88±1.34 | 1.44±1.34 |
| Bcl-2 | 3.08±1.01 | -0.39±1.01 | 1.62±1.01 | |
| Bax/Bcl-2 | 0.0217±0.0882 | -0.0138±0.0882 | -0.0233±0.0882 | |
| Lung | Bax | 3.39±1.46 | 0.54±1.46 | 4.19±1.46 |
| Bcl-2 | -3.71±1.06 | -2.55±1.06 | -0.00±1.06 | |
| Bax/Bcl-2 | 0.430±0.125 | 0.165±0.125 | 0.102±0.125 | |
| Spleen | Bax | -0.08±1.24 | 0.70±1.24 | 5.35±1.24 |
| Bcl-2 | 2.33±1.21 | -1.61±1.21 | -3.10±1.21 | |
| Bax/Bcl-2 | -0.192±0.131 | 0.131±0.131 | 0.617±0.131 | |
| Stomach | Bax | 1.34±1.34 | 0.45±1.34 | 2.60±1.34 |
| Bcl-2 | -0.08±1.39 | -0.35±1.39 | 0.46±1.39 | |
| Bax/Bcl-2 | 0.0598±0.0884 | 0.0578±0.0884 | 0.0738±0.0884 |
All values are mean ± SE (standard error)
Coefficients of ANOVA analysis for relative tissue weights (tissue/body weight) in different groups taken on day 14 post exposure [(values are modified based on pre-exposure and control values to remove the effects of confounding variables. Combined effects (synergism, antagonism) were calculated as described in a study by Piggott et al. (30).]
| Tissue | Noise group | Toluene group | Combined group | Interaction type |
|---|---|---|---|---|
| Heart | 0.075±0.279 | -0.146±0.279 | 0.222±0.279 | +Synergism |
| Lung | -0.416±0.506 | 0.488±0.506 | 0.120±0.506 | -Antagonism |
| Spleen | -0.264±0.116 | 0.121±0.116 | 0.203±0.116 | +Synergism |
| Stomach | -1.611±0.891 | 0.056±0.891 | 0.850±0.891 | +Synergism |
All values are the coefficient value ± SE (standard error of coefficient)
Figure 5 shows that combined exposure to noise and toluene increased Bax expression significantly in all tissues compared to control. Bcl-2 expression significantly increased in the heart tissue but decreased in the lung and spleen tissues. As for the Bax/Bcl-2 ratio, combined exposure increased it in lung and spleen but not heart and stomach tissues. As for toluene and noise alone findings, our results corroborate increases in Bax expression reported earlier (31, 32, 33, 34), albeit in different organs.

Changes in the expression of Bax (A), Bcl-2 (B), and the Bax/Bcl-2 ratio (C) in heart, lung, spleen, and stomach tissues by study groups. Each bar represents maen±SE values (n=6). Asterisks represent significant differences compared to control (* P<0.05, ** P<0.001). The circle symbol (●) represents a significant difference between the noise and combined groups (P<0.05)
In addition, noise and toluene did not have a consistent pattern of either synergistic or antagonistic interaction, judging by Bax and B-Cl2 expression in these organs (Table 3) and relative organ tissue weights (Table 4).
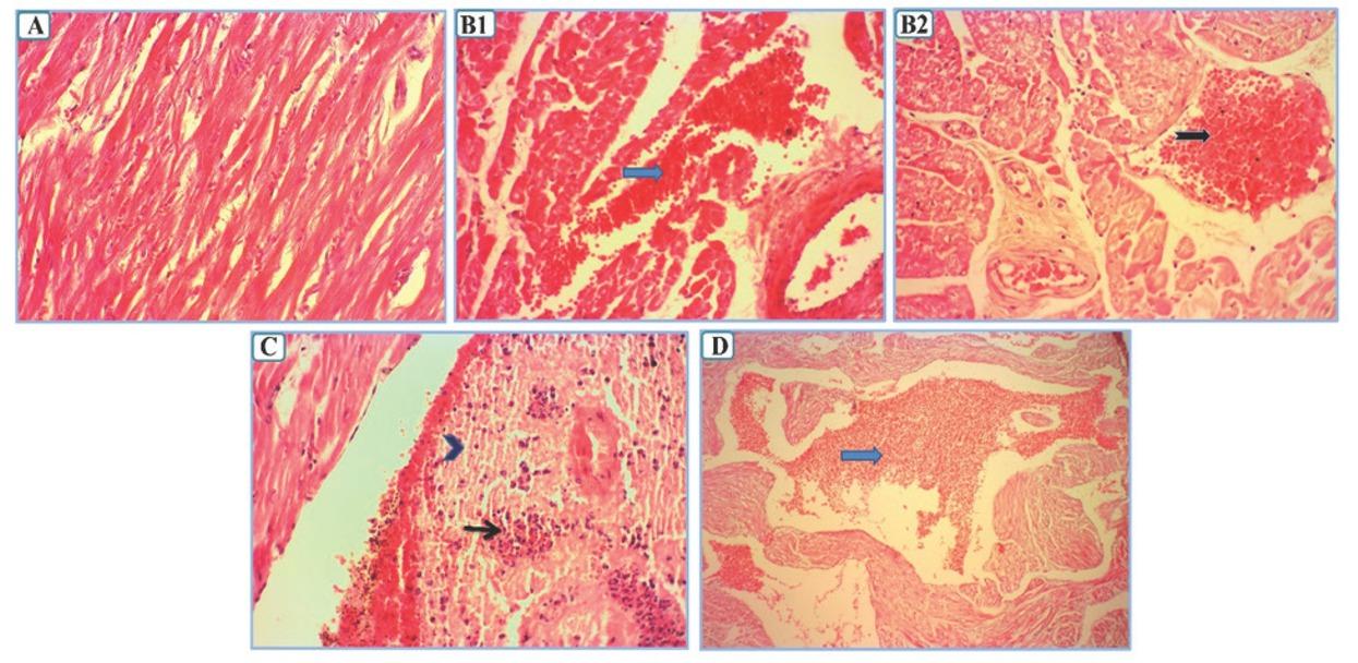
Figure 6 compares heart tissues between the groups. In the control group it was normal. In the noise group it showed congestion and dilatation in the heart veins, slight and diffused fibrotic necrosis, but not inflammatory infiltrates. In the toluene group we found a slight fibrotic necrosis (milder than the one in the noise group), lymphocyte infiltrates, and congestion with local degenerative changes (also milder than in the noise group). In the combined group we observed congestion, tissue inflammation, and fibrotic necrosis with dilatation of the veins similar to the one seen in the noise and toluene groups. Altogether, our findings indicate that toluene and noise induce lymphocyte infiltration, dilation, and congestion in the heart tissue. Similar findings were reported by others. In animal studies, noise was reported to induce significant narrowing of myocardial muscle fibres (35), dilated veins in the pericardium and endocardium, deposit in arteries in the myocardium, damaged endothelium of the veins, inflammatory cells (36), myocardial vascular congestion and dilation, mild hyperaemia, and degeneration of myocardial cells (37). Toluene was reported to cause congestion and oedema in the heart tissue in male Wistar rats (18).

Representative appearances of the heart tissue stained with H&E. The photographs were taken at 10× (B2 and D) and 40× (A, B1, and C) magnification. The control group (A) had a normal structure, however, congestion (thick blue arrow) and vessel dilation (thick black arrow with blue outline) appeared in the noise exposure group (B1 and B2). Additionally, myocardial local degenerative changes (thick black arrow head with blue outline) and lymphocyte infiltration (narrow black arrow) observed in the toluene exposure group (C). Furthermore, congestion (thick blue arrow) was visible in the simultaneous exposure group (D)
In humans, Assunta et al. (38) reported that workers exposed to industrial noise at their workplace had higher incidence of hypertension than other workers.
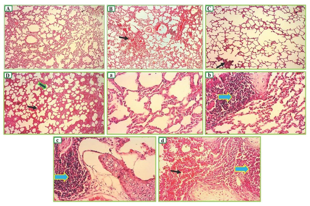
Figure 7 gives an insight into lung tissue changes. Control, as expected, showed normal structure. The noise group showed alveolar obliteration, also visible in other exposed groups, and lymphocyte infiltrates in areas near the hilum pulmonis, which were also noted in the toluene group. The toluene group also showed indiscernible emphysema in the alveoli. The most prominent lymphocyte infiltration, however, was found in the combined group along with diffuse alveolar haemorrhage and intra-alveolar septal thickening, which was not observed in the other groups.

Representative appearances of the lung tissue stained with H&E. The photographs were taken at 10× (A, B, C, and D) and 40× (a, b, c, and d) magnification. The control group (A and a) had a normal structure. Nevertheless, mild alveolar dilation appeared in noise, toluene, and simultaneous exposure groups. Moreover, imperceptible emphysema appeared in the toluene exposure group. Symbols denote parenchymal hemorrhage (narrow black arrow), inter-alveolar septal thickening (thick black arrow with green outline), and lymphocyte infiltration (thick blue arrow with yellow outline)
In animal studies, noise has already been associated with interalveolar septal thickening and alveolar obliteration, fibrosis, peribronchiolar infiltration, interstitial infiltration and deposition of collagen fibres, thickened walls of alveolar blood vessels, and apoptotic changes (35), emphysema, pneumonia, oedema, congestion, cholesterol crystals, and granular tissue formation (39). Toluene, in turn, has been associated with inflammatory cell infiltration around small airways and mucosal epithelium, oedema, and alveolar haemorrhage, wall thickening of bronchial cells and terminal bronchioles, and distension of alveolar septa (19).
Figure 8 looks at histopathological changes in the stomach tissue across the groups. Compared to normal stomach wall thickness in the control group, the noise group exhibited a thinner glycocalyx and glycoprotein layer (mucosal layer) at the apex of gastric glands, cellular swelling and disorder. The toluene group showed pyknotic cells in gastric pits, swelled gastric glands, and congestion between mucosa and submucosa. Changes in the combined group were more severe, which might indicate synergistic effects of noise and toluene on the stomach tissue. The mucosal layer was thinned, and the appearance of pyknotic cells increased. We also noticed scattered cellular swelling and disorder in the epithelial parenchyma and epithelial exfoliation.

Representative appearances of the stomach tissue stained with H&E. The photographs were taken at 10× (A, B, C, and D) and 40× (a, b, c, and d) magnification. The control group appeared in normal condition (A and a). The noise exposure group (B and b) observed with cellular swelling. The toluene exposure group (C and c) and the simultaneous exposure group (D and d) appeared more destructed than the noise exposure group. Symbols denote glycocalix layer (narrow black arrow), epithelium exfoliation (thick black arrow head with yellow outline), congestion (thick blue arrow), pyknotic cells (thick black arrow with yellow outline), and glandular cell disorganisation (thick white arrow with black outline)
Earlier noise animal studies reported fibrous thickening of gastric lesions and media, massive collagen deposition, rupture of the inner elastic lamina (4), massive death of epithelial cells and cell degeneration without inflammation (40), cell shedding, pyknotic nuclei and separated basal lamina in mucosal cells, thickened mucosa, mononuclear cell infiltrates, vacuolated cytoplasm in parietal cells, and increased percentage of collagen fibres in fundic mucosa (3).
Figure 9 shows histopathological changes in the spleen across groups. Compared to normal spleen tissue in the control group, the noise group showed larger lymphoid tissue, yet smaller than the toluene group. However, it had more dilated and bloodier sinusoids than control and the toluene group. The latter showed disrupted areas around the white and red pulp resulting from lymphocyte proliferation and extensive lymphoid tissue. The combined group showed the same as its components but the changes were more noticeable, which may also suggest some kind of additive or synergistic effect.

Representative appearances of the spleen tissue stained with H&E. The photographs were taken at 10× (A, B, C, and D) and 40× (a, b, c, and d) magnification. The control group (A and a) presented with normal tissue. The noise group (B and b), the toluene group (C and c), and the combined group (D and d) showed some pathological changes in lymphoid tissue. The noise group showed larger lymphoid tissue, yet smaller than the toluene group. It had more dilated and bloodier sinusoids than control and the toluene group. The combined group showed the same as its components but the changes were more prominent
Similar to our findings, earlier animal studies associate noise with large cells with pale vesicular irregular nuclei and acidophilic cytoplasm scattered in the white pulp and hyperaemia (37). Toluene studies report fibrosis, capsule wall thinning, increased internal diameter of the central arteriole in the white pulp, central arteriole wall thickening, spleen weight loss, extramedullary haematopoiesis in the red pulp, and increased white pulp area (41, 42).
According to previous studies, noise and toluene can induce secretion of stress hormones (43, 44, 45) which produce reactive oxygen species (ROS) (46, 47). ROS, in turn, can induce apoptotic mechanisms through the expression of Bax and inhibition of Bcl-2 (48) and immune response through increased white blood cell, macrophage, immunoglobulin, and nuclear factor kappa-light-chain-enhancer of activated B cells (NF-κB) production, which secrete inflammatory cytokines (49). As a result, the immune system stops producing inflammatory cytokines after the early days of exposure by secreting some anti-inflammatory cytokines such as IL-10 (50, 51) to counteract inflammatory response (52, 53). In addition, an earlier study (7) suggests that acute exposure to noise enhances and chronic exposure suppress immune response.
Our findings are somewhat limited for interpretation by small sample size and design that did not allow for several toluene concentrations and noise intensities, nor did it include other immunological parameters that could shed more light on mechanisms of action. It is also unfortunate that the study did not include histochemistry or more specific tissue staining.
Our study of combined exposure to noise and toluene is inconclusive, as it exhibited both synergistic and antagonistic effects in studied organs. Overall, however, the effects seem weaker than those of its components, yet the histopathological findings suggest the opposite.
Future studies should overcome its limitations with a larger sample size, different toluene concentrations, different noise intensities, longer exposure, and with different animals to reach more reliable insights into the histopathological changes in different organs.