Nontuberculous mycobacteria (NTMs) belong to a large group of environmental bacteria, which can survive in a nutrient-poor environment, including the water supply system (1). Tap water is often a source of colonisation and/or infection with NTM (2). A number of plumbing pathogens, such as Mycobacterium avium, Legionella pneumophila, Pseudomonas aeruginosa, Acinetobacter baumannii can resist disinfection, attach to pipe surfaces through biofilm formation, and grow in conditions of limited availability of organic matter and oxygen (3, 4, 5).
Their chances of survival are further improved if they live in free-living amoebae (FLA), such as Hartmanella, Naegleria, and Acanthamoeba, which populate drinking water, natural thermal water, swimming pools, hydrotherapy baths, and hospital water systems. The only pathogenic species isolated from seawater is Acanthamoeba, which often can harbour over 30 different pathogenic bacterial species as endosymbionts (6). These retain the ability to reproduce and resist amoebic microbicidal defences using a mechanism similar to that against macrophages, such as the inhibition of phagosome maturation in phagolysosomes (6, 7). Some of the rapidly growing mycobacteria, such as M. avium, M. marinum, M. ulcerans, M. simiae, M. habane, M. smegmatis, M. fortuitum, and M. phlei induce lysis in amoebae (7, 8), while slow–growing mycobacteria, such as M. bovis, M. tuberculosis, M. leprae, M. xenopi, and M. avium complex (MAC), live in the host as endosymbionts (9). Protozoa can provide an environmental reservoir for pathogenic mycobacteria. Given that M. avium exhibits greater virulence if it shares environment with FLA, it stands to reason that protozoa play a key role in infections with this mycobacterium (10).
Essential oils (EOs) are volatile, natural, complex compounds resulting from the secondary metabolism of plants. Substances with biological activity in juniper (Juniperus communis L.) EO are α- and β-pinene, β-myrcene, sabinene, limonene, terpinen-4-ol, and β-caryophyllene (11, 12, 13, 14), while immortelle (Helichrysum italicum Roth G. Don fil.) EO contains α-pinene, neryl acetate, β-curcumene, γ-curcumene, β-caryophyllene, limonene, and geranyl acetate (15, 16, 17, 18). Antimicrobial potencies of EOs have widely been investigated so far, but not so many studies focused on proving their efficiency in the development of strategies for the maintenance of water supply systems.
The aim of our study was to see whether and how EOs extracted from common juniper and immortelle can affect NTM adhesion to the biotic surfaces of the amoeba Acanthamoeba castellanii and help to reduce the risk of infection with these mycobacteria.
Juniper and immortelle EOs were purchased from “Ireks aroma d.o.o.”, Zagreb, Croatia. The same batch had already been used in our earlier studies, which show their chemical composition (11, 18, 19).
For the experiments we used Mycobacterium avium ssp. avium (serotype 2, ATCC 25291), Mycobacterium intracellulare (ATCC 13950), and Mycobacterium gordonae (ATCC 14470). The strains were grown, frozen, and re-grown for each experiment as described earlier (11, 19, 20).
Acanthamoeba castellanii (ATCC 30234) was cultured in axenic conditions in peptone-yeast extract-glucose (PYG) medium in 25-cm2 tissue culture flasks in the dark at 25 °C. For the experiments we used 105 cells per well of 24-well microtitre plates (FalconTM, Becton Dickinson, Franklin Lakes, NJ, USA).
To determine the cytotoxic effects on A. castellanii, juniper and immortelle EOs were used in the concentrations ranging from 0.01 to 0.75 mg/mL. Freshly prepared dilutions of EOs in DMSO were added to the adhered monolayer of A. castellanii in PYG medium in flat well bottoms of a 96-well microtitre plate (FalconTM, Becton Dickinson, Franklin Lakes, NJ, USA). For the experiment, we used 105 amoebae per well. Cell viability was measured after incubation at 25 °C for 24 h, using a commercial assay with MTT 3-(4,5-dimethylthiazol-2-yl)-2,5-diphenyltetrazolium bromide (Sigma-Aldrich, St. Louis, MO, USA). This test determines the metabolic activity of living cells through the activity of mitochondrial enzyme succinate dehydrogenase, which reduces tetrazolium salt to formazan (21). The intensity of the resulting purple colour was read on a spectrophotometer (Sunrise Absorbance reader, Tecan, Grödig, Salzburg, Austria) at a wavelength of 570 nm. The percentage of viability (%) was determined from the ratio between absorbance of treated and untreated cells. The half maximal inhibition (IC50) and median lethal concentrations (LC50) were calculated as described earlier (22, 23).
Minimum inhibitory and minimum bactericidal concentrations (MIC and MBC, respectively) of juniper and immortelle EOs in mycobacteria were determined with the broth microdilution method described earlier (11, 20). Briefly, the EOs were double diluted with supplemented Middlebrook 7H9 broth (7H9-S, Difco, Detroit, MI, USA) starting from 0.1 to 51.2 mg/mL. Mycobacterial suspension (106 CFU/mL per well) and resazurin (0.015 % solution) (Sigma, Taufkirchen, Germany) were then added to reach the final volume of 200 mL (24). For positive control we used amikacin (Sigma) in concentrations from 0.001 to 0.128 mg/mL. Plates were read visually after 24, 72, and 96 h of incubation. The lowest concentration that did not show change in colour was defined as MIC. Dilutions in which there was no change in the colour of resazurin were inoculated on supplemented Middlebrook 7H10 agar (7H10-S) and incubated for four weeks. MBC was the lowest EO concentration that killed ≥99 % of the bacteria and is expressed in mg/mL.
To determine the combined effects of juniper and immortelle EOs on NTM, we used the checkerboard synergy method as described earlier (20). Briefly, stock solutions and serial double dilutions of each EO to at least double the MIC were prepared in 7H9-S. Juniper EO was serially diluted along the ordinate, while immortelle EO was diluted along the abscissa. An inoculum of each Mycobacterium isolate (106 CFU/mL) was prepared in 7H9-S and added with 0.015 % resazurin solution to wells with diluted EOs. The plates were incubated under aerobic conditions for four days and dilutions from each well inoculated on 7H10-S and incubated for another four weeks (25).
Fractional inhibitory concentration was calculated as follows (26):
Fractional inhibitory concentration index (FICi) was calculated as follows:
FICi = FIC of EO A + FIC of EO B (27, 28).
EO effects were considered synergistic if FICi was ≤0.5, additive if FICi was >0.5 and ≤1.0, indifferent if FICi was >1.0 and ≤4, and antagonistic if FICi was >4 (29).
For the antiadhesion assay, A. castellanii cells were seeded into 24-well microtitre plates (FalconTM) with PYG medium (105 cells/well) for 2 h, that is, until a confluent monolayer was formed. The cells were then washed with PYG and their intact state checked under the microscope. For blanks we used A. castellanii treated only with PYG (105 cells/well). Mycobacterial suspensions in PYG were added to the wells (105 cells/well) with tested juniper or immortelle EOs. Tests were run with different concentrations of EOs alone or in synergistic combinations as determined by the checkerboard synergy method.
Control wells contained mycobacterial suspension in PYG only. The plates were incubated in the dark at 25 °C for 1 h, washed three times with phosphate buffered saline (PBS) to eliminate unbound mycobacteria, filled with PBS, and sonicated in a water bath at 40 kHz (Bactosonic, Bandelin, Berlin, Germany) for 1 min. Mycobacteria were then plated on 7H10-S, incubated at 30 °C (M. gordonae) or 37 °C (M. avium and M. intracellulare) for 14 days, and then counted. The percentage of adhesion inhibition on A. castellanii was determined according to the equation previously applied by Teanpaisan et al. (30):
Amoebae (105 cells/well) were seeded on sterile round cover jars in 24-well microtitre plates (FalconTM). NTM cultures treated with juniper EO for the A. castellanii adhesion test were washed with PBS, fixed with methanol, and then stained with the Ziehl-Neelsen method (31).
Data are expressed as means ± standard deviations (SD). Statistical analysis of experimental data was run on STATISTICA, version 12.0 (StatSoft, Tulsa, OK, USA). Normality of distribution was analysed with the Kolmogorov-Smirnov test, and the differences between treatments with the Kruskal-Wallis ANOVA and Mann-Whitney U tests. The effects of juniper and immortelle EOs, applied at concentrations equal to three-quarters of MIC, on the adhesion of M. avium, M. intracellulare, and M. gordonae to A. castellanii were expressed as CFU/mL and the percentage (%) of adhesion inhibition.
Table 1 shows the efficacy of both tested EOs. Juniper EO at the MIC/MBC of 1.6 mg/mL was more effective against selected NTMs than immortelle EO. Subinhibitory concentrations of juniper EO combined with immortelle EO had a synergistic effect against M. avium and M. gordonae (Table 2). Against M. intracellulare they showed only an additive effect (FICi=1.0).
Minimum inhibitory concentrations (MIC) and minimum bactericidal concentrations (MBC) of juniper and immortelle essential oils in nontuberculous mycobacteria
| Essential oil | M. avium | MIC / MBC (mg/mL) M. intracellulare | M. gordonae |
|---|---|---|---|
| Common juniper | 1.6 / 1.6 | 1.6 / 1.6 | 1.6 / 1.6 |
| Immortelle | 3.2 / 3.2 | 3.2 / 3.2 | 3.2 / 3.2 |
The lowest concentrations of juniper and immortelle essential oils that were the most effective against NTMs in the checkerboard synergy method
| Essential oil | M. avium | M. intracellulare | M. gordonae | |||
|---|---|---|---|---|---|---|
| Immortelle | 0.006 | 0.012 | 1.6 | 0.006 | 0.4 | 0.8 |
| Juniper | 0.8 | 0.8 | 0.8 | 1.6 | 0.2 | 0.1 |
| FICHI | 0.001 | 0.004 | 0.5 | 0.002 | 0.13 | 0.25 |
| FICJU | 0.5 | 0.5 | 0.5 | 1.0 | 0.13 | 0.06 |
| FICi | 0.5 | 0.5 | 1.0 | 1.0 | 0.26 | 0.31 |
| Interaction | Sy | Sy | Ad | Ad | Sy | Sy |
* concentration of essential oil in mg/mL; FICHI – fractional inhibitory concentration for immortelle EO; FICi – fractional inhibitory concentration index; FICJU – fractional inhibitory concentration for juniper EO; Sy – synergistic effect; Ad– additive effect
Table 3 shows juniper and immortelle EO IC50 and LC50 for A. castellanii. Both EOs at the tested concentrations had no cytotoxic effect on A. castellanii cells. However, IC50 and LC50 of juniper EO were higher than those of immortelle EO. Working DMSO concentrations showed no cytotoxic effect on A. castellanii as well.
Inhibitory (IC50) and lethal (LC50) concentrations (in mg/mL) of juniper and immortelle essential oils on A. castellanii cells
| Essential oil | IC50 | LC50 |
|---|---|---|
| Juniper | 0.720 | 0.800 |
| Immortelle | 0.550 | 0.620 |
Treatment of all three NTMs with juniper and/or immortelle EOs at three-quarters of the MIC led to significantly higher inhibition of adhesion to A. castellanii than control (p<0.001) (Figure 1). Significant inhibition of adhesion to the amoebic cells was also observed for juniper EO against M. gordonae and for immortelle EO against M. gordonae and M. intracellulare in relation to M. avium. The highest percentage of adhesion inhibition (44.35 %) against M. gordonae was observed after treatment with juniper EO at three-quarters of the MIC. Both EOs were the least effective against M. avium adhesion (14.46 % for juniper EO and 15.71 % for immortelle EO).

Effects (means ± SD) of juniper and immortelle EOs at three-quarters of the MIC on the adhesion of M. avium, M. intracellulare and M. gordonae to A. castellanii expressed as CFU/mL and the percentage (%) of adhesion inhibition. CFU – colony forming units; HI – Helichrysum italicum (immortelle); JU – Juniperus communis (juniper); MIC – minimum inhibitory concentration. Statistically significant differences between groups: * (p=0.001); ** (p=0.0002); *** (p=0.0021); **** (p=0.0034); ***** (p=0.00008); ****** (p=0.00008)
Subinhibitory concentrations did not have bactericidal effects on selected NTMs (data not shown).
In control conditions, that is, without EO effects, M. avium and M. intracellulare showed significantly higher adherence to A. castellanii cells than M. gordonae (p<0.05). Adhesion of M. avium to the amoebic cells was inhibited by all tested EO concentrations (p<0.001), except the lowest concentration of immortelle EO (0.0045 mg/mL) (Figure 2A) The adhesion of M. intracellulare (Figure 2B) was inhibited with all concentrations tested (p<0.05). The adhesion of M. gordonae (Figure 2C) was inhibited by all tested concentrations, except the subinhibitory concentration (0.075 mg/mL) of juniper EO (p<0.05).

Effects (means ± SD) of subinhibitory concentrations of juniper and immortelle EOs (in mg/mL) on the adhesion of M. avium (A), M. intracellulare (B) and M. gordonae (C) on A. castellanii expressed as CFU/mL and the percentage (%) of adhesion inhibition. CFU – colony forming units; HI – Helichrysum italicum (immortelle); JU – Juniperus communis (juniper). Statistically significant differences between groups: * (p=0.0246); ** (p=0.0266); *** (p=0.0050); **** (p=0.00032)
One combination of the EOs at synergistic concentrations showed significantly higher adhesion inhibition of M. intracellulare to A. castellanii than either EO separately at the same concentrations, while the other also showed higher inhibition but it was not statistically significant (Figure 2B)
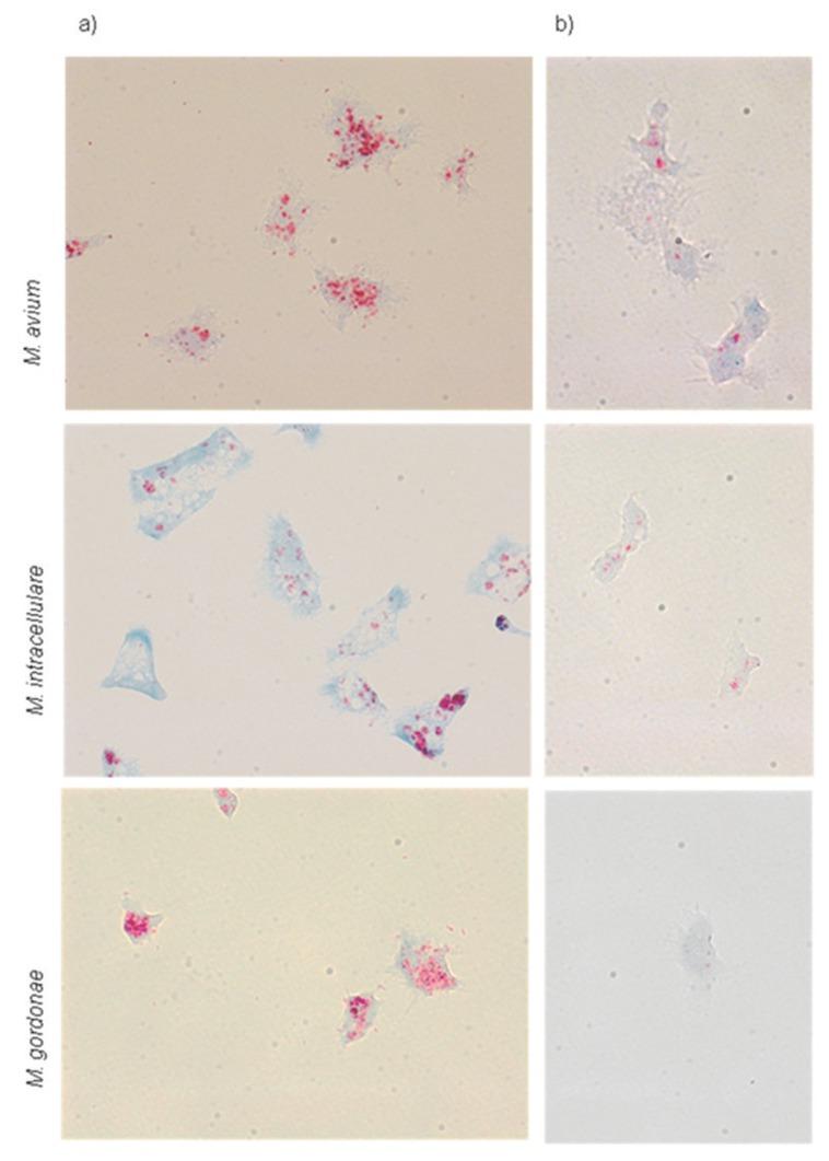
The cultures of all three NTMs in which we investigated the effect of juniper EO on their adhesion to A. castellanii cells were stained with Ziehl-Neelsen method after treatment, and observed under a light microscope (Figure 3).As expected, control samples showed significantly higher adhesion to the amoebic cells than those treated with juniper EO, whose adhesion was insignificant.

Adhesion of M. avium, M. intracellulare, and M. gordonae on A. castellanii under a light microscope at 1000x magnification (Ziehl-Neelsen staining). a) control without essential oil; b) after treatment with juniper essential oil at a subinhibitory concentration
The increasing prevalence of NTMs in clinical specimens (1) call for finding new ways of treating mycobacteriosis and preventing NTM infections. As previously mentioned, important habitats for both NTM and FLA are households and healthcare facilities, where they often are found in biofilms. Ovrutsky et al. (32) found a high prevalence of NTMs and FLA in drinking water collected in the hospital system, where Acanthamoeba spp. was the most commonly isolated amoeba species, followed by Hartmannella vermiformis. Miltner et al. (33) suggest that A. castellanii may protect M. avium from antibiotic activity and therefore directly contribute to the transmission of M. avium through this vector.
The common problem of water system contamination highlights the need to develop simple and effective strategies to counteract both NTMs and FLA, which motivated us to perform this study using the EOs isolated from juniper and immortelle plants, both known for their strong antimicrobial properties (18, 27). The use of nontoxic bioactive compounds represents a promising approach to reducing the NTM and FLA burden, considering that most of them do not cause detrimental health effects at effective concentrations. Since earlier studies have shown that amoebae can be a reservoir of infection with NTMs, this study aimed to determine the extent of antiadhesive effect by juniper and immortelle EOs against selected mycobacteria. We tested individual EOs at their subinhibitory concentrations and combinations that did not kill NTM. Our previous research (20) has shown the synergistic antiadhesive and antibiofilm effect of juniper and immortelle EOs on biotic and abiotic surfaces (20). This effect was tested on A. castellanii at room temperature of 25 °C, which primarily favours the growth of amoebae.
Cirillo et al. (10) found that M. avium can multiply in amoebae at temperatures as low as 24 °C, but the highest proliferation was observed at 37 °C, used in our study, which may be due to lower bactericidal activity of amoebae at this temperature. Ohno et al. (34) observed a rapid increase in L. pneumophila growth in protozoa and broth at temperatures above 35 °C. However, at low temperatures in freshwater environment, A. castellanii seems to eliminate L. pneumophila by encystation and digestion (34).
It is important to note that the ability of Acanthamoebae to adapt to adverse environmental conditions, such as lack of food, increased or decreased osmolarity, and extreme temperatures and pH, directly correlates with their virulence (35).
In our experiment, the amoebae were cultivated in a PYG medium, which ensures optimal conditions for their growth. Nevertheless, the results of Berry et al. (36) suggested that the availability of nutrients was not crucial for the infectivity or infection stability of M. avium in Acanthamoeba. They found that in oligotrophic aquatic environments, such as fresh and drinking water, long-term stable relationships of these two species are possible. They also showed that co-culture with Acanthamoeba alters the overall resistance and dynamics of M. avium inactivation with monochloramine, a drinking water disinfectant. The inactivation of M. avium housed inside the amoebic cell follows the same pattern as the inactivation of the amoeba itself, whereas M. avium in monoculture was significantly more sensitive to the action of this disinfectant.
In our previous study (11) time-kill curves of M. avium, M. intracellulare, and M. gordonae in sterile tap water (STW) showed that juniper EO applied at half the minimal effective concentration reduced bacterial counts by approximately 3 log10 over 24 h and complete inhibited NTM growth after 48 h.
The results obtained using the checkerboard synergistic method in the present study have shown a synergistic inhibitory effect against M. avium, at half the MIC of juniper EO and 1/512 or 1/256 of the MIC of immortelle EO. Similar results were obtained for M. gordonae after treatment with one-eighth or one-quarter of the MIC of immortelle EO and with one-eighth or one-sixteenth of the MIC of juniper EO.
The tested concentrations of juniper EO significantly inhibited the adhesion of M. gordonae in comparison with immortelle EO.
On the other hand, immortelle EO inhibited the adhesion of M. intracellulare more efficiently than juniper EO. M. avium was the most resistant to the antiadhesive effect of the EOs, while M. gordonae was the most sensitive. Combined treatment with these EOs at their subinhibitory concentrations led to higher adhesion inhibition, especially in M. intracellulare. The reason behind testing with subinhibitory concentrations was to reduce toxic effect against host and retain antimicrobial effect.
Protozoa probably played a central role in the development of mycobacterial pathogenesis. M. avium growth in aquatic environments occurs primarily within the protozoa. Considering that this mycobacterium has temperature-dependent growth in amoebae, infection is more commonly associated with hot water supply (10). With increasing ambient temperature, the solubility of EOs in water is also likely to increase, which may probably affect its antimycobacterial properties (37).
Since mycobacterial biofilms are found bathtubs, showers, and various water tanks, including hot water ones, the idea is to use these EO in low non-toxic concentrations in spa and rehabilitation systems, where they can have antibacterial, antiadhesive, and antibiofilm effects and be part of aromatherapy.
Although the obtained results point to the effectiveness of the tested EOs against NTM adhesion to Acanthamoeba castellanii, additional research is needed to see if higher ambient temperatures and EO solubility could improve the efficiency of EOs in disinfecting aquatic environments contaminated with NTMs and amoebae.