Figure 1

Figure 2

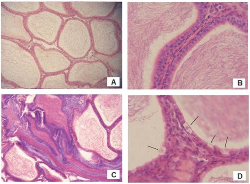
Spermatogenesis epithelium findings
| Parameters | Groups | P value | |
|---|---|---|---|
| Control | High-fructose | ||
| Spermatogenesis index (stages of spermatogenesis total / number of examined tubules) | 3.44±0.21 | 3.34±0.05 | <0.001* |
| Number of spermatogonia (per tubular cross section) | 71.83±5.43 | 59.80±4.24 | <0.001* |
| Cells at the 12th stage of spermatogenesis (%) | 4.00 (3.0; 4.5) | 2.53 2.83(2.03±1.21 | 0.008* |
| Exfoliation of epithelium (%) | 1.0 (1.0; 2.0) | 2.5 (1.5; 3.0) | 1.000 |
Comparison of gonad weight, volume, and sperm counts between the high-fructose-treated and control group
| Groups | |||
|---|---|---|---|
| Parameters | Control | High-fructose | P value |
| Testes absolute weight (g) | 3.48 3.49(3.31±0.24 | 3.20 3.21(3.06±0.19 | 0.014* |
| Testes relative weight (% of body weight) | 1.16 1.17(1.10±0.08–1.23) | 1.27 1.28(1.15±0.17 | 0.09 |
| Testes volume (cm3) | 3.79 3.81(3.53±0.39 | 3.34 3.37(3.05±0.45 | 0.029* |
| Epididymis absolute weight (g) | 0.96 (0.95; 0.98) | 0.88 0.88(0.81±0.11 | 0.047* |
| Epididymis relative weight (% of body weight) | 0.32 0.33(0.30±0.04 | 0.35 0.35(0.32±0.02 | 0.217 |
| Sperm count (million/mL) | 68.43 70.26(53.23±6.96 | 52.01 52.57(46.31±3.19 | 0.046* |
Comparison of serum sex hormone levels between the high-fructose-treated and control group
| Parameters | Groups | P value | |
|---|---|---|---|
| Control | High-fructose | ||
| T (nmol/L) | 14.69 14.96(12.09±3.10 | 9.34 (10.25; 12.25) | 0.024* |
| LH (ng/mL) | 0.301±0.231) | 0.691±0.189 | 0.003* |
| FSH (ng/mL) | 0.077 0.10(0.044±0.06 | 0.218 (0.171; 0.235) | 0.021* |
Fertilising capacity of male rats
| Groups | Number of mated females | Number of pregnant females | Fertilising capacity |
|---|---|---|---|
| Control | 42 | 38 | 91 % |
| High-fructose group | 42 | 41 | 98 % |
| P value | - | - | 0.809 |
Fertility rate of unexposed females mated with HF males
| Groups | Parameters | |
|---|---|---|
| Total number of foetuses | Number of foetuses per female | |
| Control | 319 | 9.5 (7.5; 10.5) |
| High-fructose group | 300 | 9 (6; 9) |
| P value | - | 0.092 |
Effects of paternal high-fructose treatment on embryogenesis/foetogenesis in unexposed females on day 20 of gestation
| Groups | |||
|---|---|---|---|
| Parameters | Control | High-fructose | P value |
| Number of pregnant females (N) | 38 | 41 | - |
| Total number of corpora lutea (N) | 362 | 394 | - |
| Number of corpora lutea per female (N) | 10.5 (8.5; 11) | 10 (9; 11) | 1.000 |
| Preimplantational loss (N /%) | 25 / 10 | 60 / 15 | 0.012* |
| Preimplantational loss per female (N) | 0 (0; 1) | 1 (0; 2) | 0.028* |
| Postimplantational loss (N /%) | 6 / 2 | 19 / 6 | 0.013* |
| Postimplantational loss per female (N) | 0 (0; 0) | 0 (0; 1) | 0.041* |
| Total embryonal/foetal death (%) | 11.88 | 23.86 | <0.001* |