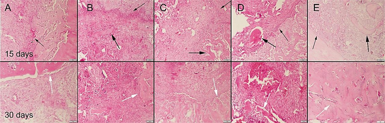
Figure 1.

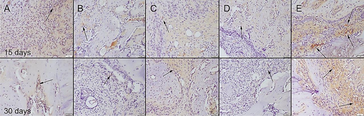
Figure 2.

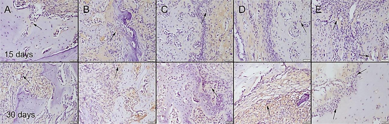
Figure 3.

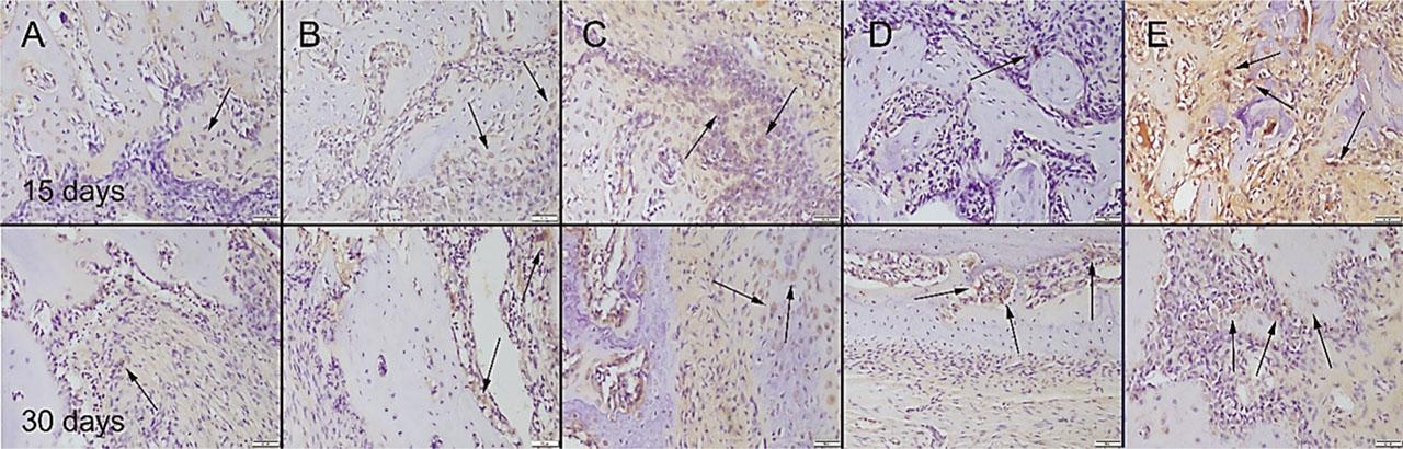
Figure 4.

Figure 5.

Figure 6.

Figure 7.

Figure 8.

Figure 9.

Figure 10.

Statistical analysis results of histomorphic data between the groups
| Groups | 15 days | 30 days |
|---|---|---|
| Total augmentation area (mm2) | ||
| Control | 2.04 ± 0.46 | 2.44 ± 0.31 |
| MBG | 7.04 ± 0.78† | 8.04 ± 1.35† |
| Cu-MBG | 8.84 ± 0.87† | 11.74 ± 1.37‡ |
| Zn-MBG | 10.20 ± 0.34§ | 12.58 ± 1.64‡ |
| Cu/Zn-MBG | 12.54 ± 0.81§ | 14.44 ± 0.89§ |
| Defect closure rate (%) | ||
| Control | 28.20 ± 4.39 | 36.40 ± 4.03 |
| MBG | 44.10 ± 3.90† | 55.20 ± 5.30† |
| Cu-MBG | 59.20 ± 3.91‡ | 75.60 ± 5.08‡ |
| Zn-MBG | 64.50 ± 5.72‡ | 77.20 ± 5.20‡ |
| Cu/Zn-MBG | 74.80 ± 4.77§ | 93.70 ± 2.75§ |
| New bone area (mm2) | ||
| Control | 0.19 ± 0.03 | 1.54 ± 0.43 |
| MBG | 0.31 ± 0.03 | 1.77 ± 0.47† |
| Cu-MBG | 1.29 ± 0.08† | 2.61 ± 0.37‡ |
| Zn-MBG | 1.24 ± 0.13† | 2.35 ± 0.15‡ |
| Cu/Zn-MBG | 1.91 ± 0.10§ | 3.80 ± 0.14§ |
| Residual material area (mm2) | ||
| Control | 0.00 ± 0.00 | 0.00 ± 0.00 |
| MBG | 17.80 ± 0.78† | 7.60 ± 0.96† |
| Cu-MBG | 17.30 ± 1.41† | 7.30 ± 1.41† |
| Zn-MBG | 15.80 ± 2.44‡ | 8.60 ± 1.42† |
| Cu/Zn-MBG | 12.90 ± 3.54§ | 5.50 ± 1.26§ |
| Osteoclast number | ||
| Control | 6.30 ± 1.41 | 9.00 ± 1.49 |
| MBG | 12.30 ± 1.70† | 16.80 ± 1.61† |
| Cu-MBG | 16.60 ± 2.06‡ | 20.60 ± 1.57‡ |
| Zn-MBG | 17.10 ± 1.59‡ | 23.30 ± 2.40‡ |
| Cu/Zn-MBG | 19.70 ± 1.05§ | 29.20 ± 2.89§ |
| Osteoblast number | ||
| Control | 10.10 ± 0.99 | 20.40 ± 1.17 |
| MBG | 13.70 ± 2.66† | 25.20 ± 2.27† |
| Cu-MBG | 16.90 ± 1.66‡ | 29.20 ± 1.75‡ |
| Zn-MBG | 16.90 ± 2.23‡ | 27.10 ± 2.07‡ |
| Cu/Zn-MBG | 24.30 ± 1.88§ | 33.00 ± 1.56§ |
Statistical analysis results of immunohistochemical scores between the groups
| Col-1 | BMP-2 | OST | VEGF | |
|---|---|---|---|---|
| 15 days | ||||
| Control | 0.50 ± 0.16 | 0.60 ± 0.51 | 0.20 ± 0.13 | 1.20 ± 0.42 |
| MBG | 1.10 ± 0.56† | 1.20 ± 0.63† | 1.20 ± 0.63† | 1.50 ± 0.52 |
| Cu-MBG | 1.50 ± 0.52†¥ | 1.30 ± 0.48† | 1.30 ± 0.48† | 1.80 ± 0.42† |
| Zn-MBG | 1.20 ± 0.42† | 1.60 ± 0.51§ | 1.30 ± 0.48† | 1.60 ± 0.51 |
| Cu/Zn-MBG | 2.30±0.48§фψδ | 1.60 ± 0.69§ | 1.80 ± 0.91§#ψф | 2.30 ± 0.82§¥ψф |
| 30 days | ||||
| Control | 0.70 ± 0.48 | 1.00 ± 0.47 | 0.80 ± 0.42 | 1.50 ± 0.52 |
| MBG | 1.40 ± 0.51† | 1.80 ± 0.63† | 1.60 ± 0.51† | 2.10 ± 0.56† |
| Cu-MBG | 1.90 ± 0.31§¥ | 2.20 ± 0.91‡ | 1.90 ± 0.56† | 2.00 ± 0.47† |
| Zn-MBG | 1.60 ± 0.51† | 2.20 ± 0.63‡ | 1.80 ± 0.78† | 2.20 ± 0.63† |
| Cu/Zn-MBG | 2.50 ± 0.52§ф | 2.40 ± 0.84§ | 2.30 ± 0.67§ | 2.80 ± 0.42§ψ |