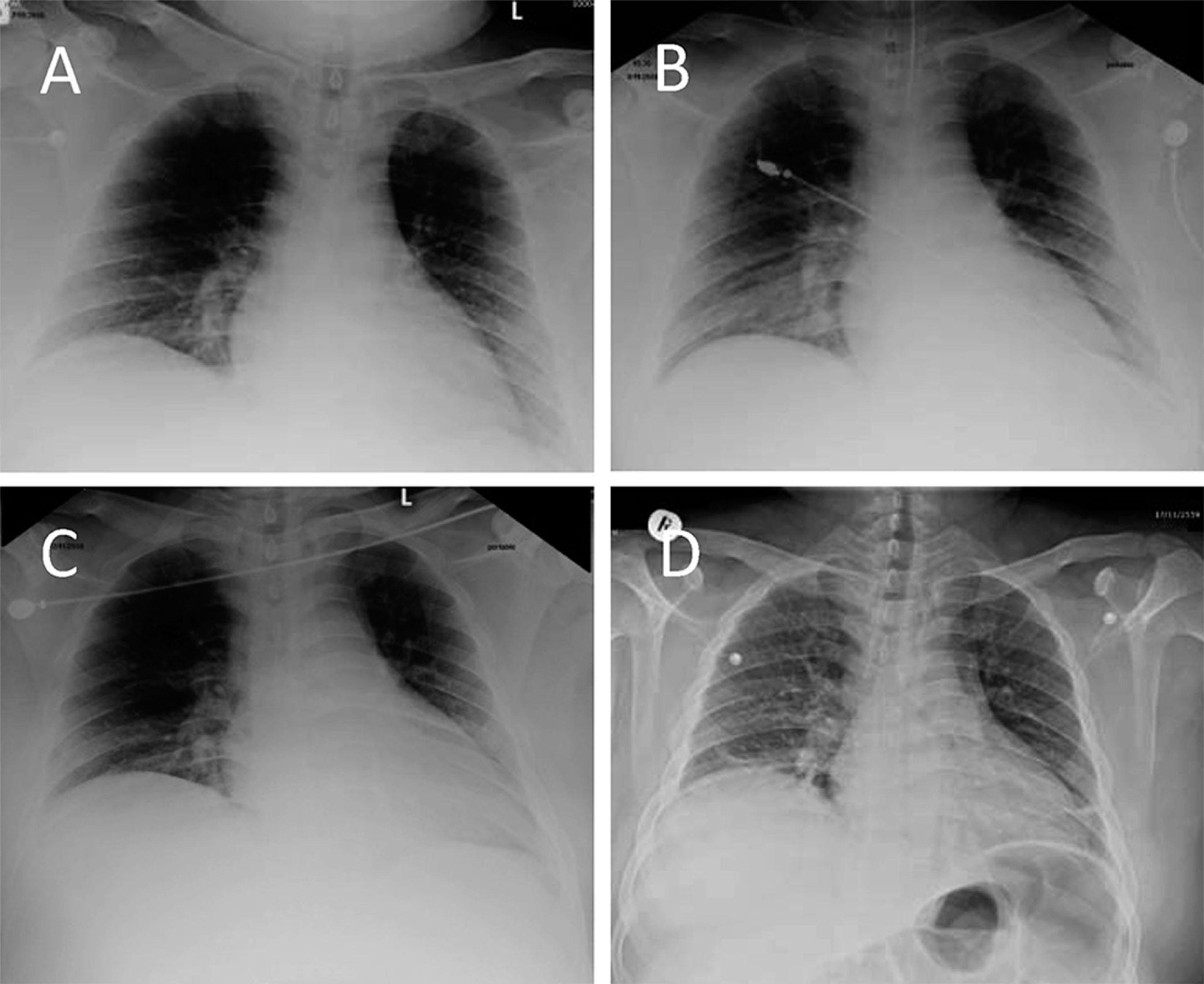
Figure 1

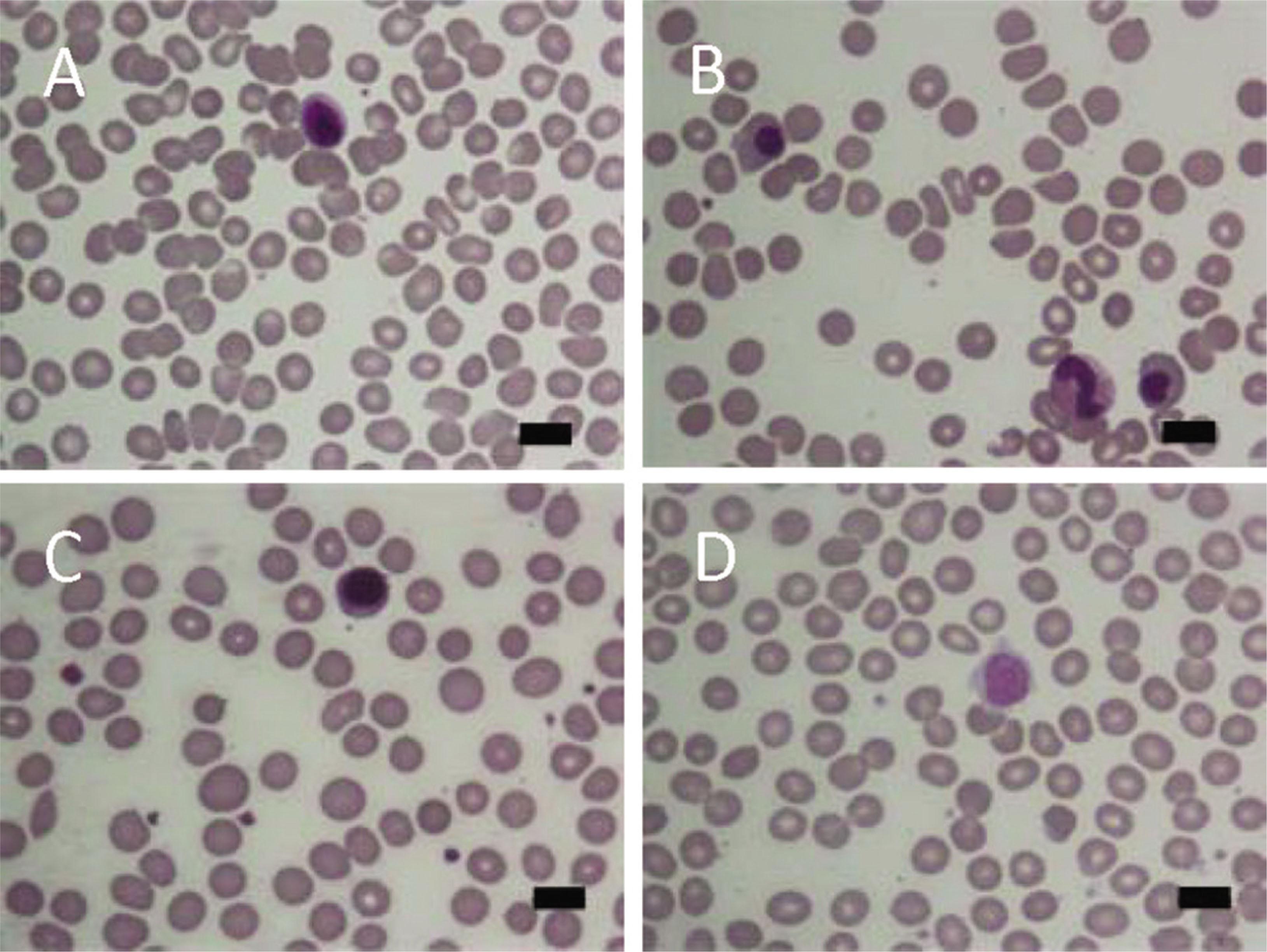
Figure 2

Progression of an autoimmune hemolytic anemia that developed during severe dengue infection
| Characteristic | Day of hospitalization and follow-up | |||||||||
|---|---|---|---|---|---|---|---|---|---|---|
| D1 | D3 | D5 | D7 | D9 | D11 | D13 | D21 (D/C) | D30 (OPD) | D90 (OPD) | |
| Body temperature (°C) | 39.0 | 41.0 | 38.5 | 38.6 | 37.5 | 37.0 | 37.4 | 36.8 | NA | NA |
| Pulse pressure | 24 | 22 | 59 | 55 | 55 | 53 | 53 | 41 | 54 | 48 |
| Bleeding site | ||||||||||
| Hemoptysis | − | ++ | +++ | − | − | − | − | − | − | − |
| Ecchymosis | ++ | ++ | ++ | + | + | − | − | − | − | − |
| Hematuria | − | + | + | − | − | − | − | − | − | − |
| CBC | ||||||||||
| Hemoglobin (g/dL) | 15.8 | 10.9 | 9.5 | 10.5 | 10.1 | 9.1 | 8.7 | 10.0 | 12.6 | 14.4 |
| White blood cells count (cells/mm3) | 3,500 | 3,600 | 5,000 | 4,700 | 5,300 | 4,500 | 5,200 | 4,200 | 4,700 | 6,000 |
| Platelet count (cells/mm3) | 15,000 | 13,000 | 17,000 | 87,00 | 90,00 | 99,00 | 117,000 | 190,000 | 182,000 | 165,000 |
| LFT | ||||||||||
| AST (U/L) | 2,476 | 7,425 | NA | 2,587 | NA | 386 | NA | 215 | 65 | NA |
| ALT (U/L) | 1,273 | 2,125 | NA | 1,072 | NA | 355 | NA | 218 | 105 | NA |
| DCT | NA | ++ | + | − | − | |||||
| Medication | ||||||||||
| rVIIa | − | 1st time | 2nd time† | − | − | − | − | − | − | − |
| Carbapenam | − | − | + | + | + | + | + | − | − | − |
| Blood component transfusion | ||||||||||
| LPRC | − | 1 | 6 | 1 | − | − | − | − | − | − |
| LPPC/SDP | − | 1/0 | 3/1 | 1/0 | − | − | − | − | − | − |
| FFP | − | − | 3 | − | − | − | − | − | − | − |
| Cryoprecipitate | − | − | 10 | − | − | − | − | − | − | − |