Dengue is a tropical infectious disease that is associated with high morbidity and mortality. The infection is caused by the dengue virus, which is a single-stranded RNA virus of the family Flaviviridae. Adult patients infected with dengue virus who develop hematological problems such as bleeding tendencies need to be managed during the shock stage. The mechanisms of dengue-associated bleeding tendencies include thrombocytopenia and disseminated intravascular coagulopathy [1]. Adequate blood replacement is essential to promote favorable outcomes. However, repeated blood transfusions may result in transfusion-associated circulatory overload or volume overload. The results of one study suggest that administration of recombinant activated factor VII (rFVIIa) is effective for counteracting the dengue-associated bleeding tendency in infected children [2]. While disseminated intravascular coagulopathy is a common cause of dengue-associated bleeding, autoimmune hemolytic anemia (AIHA) is a rare complication of this infection. AIHA is a hemolytic condition that results in the reduced half-life of erythrocytes. Typical AIHA has been observed in response to infection with Mycoplasma pneumonia or Epstein–Barr virus, the causative agent of infectious mononucleosis. There are currently no published recommendations for the treatment of dengue-associated AIHA in adults. The patient described in the present case report freely provided written informed consent for its publication. This report was approved by the Ethical Committee of Rajavithi Hospital (EC 295/60).
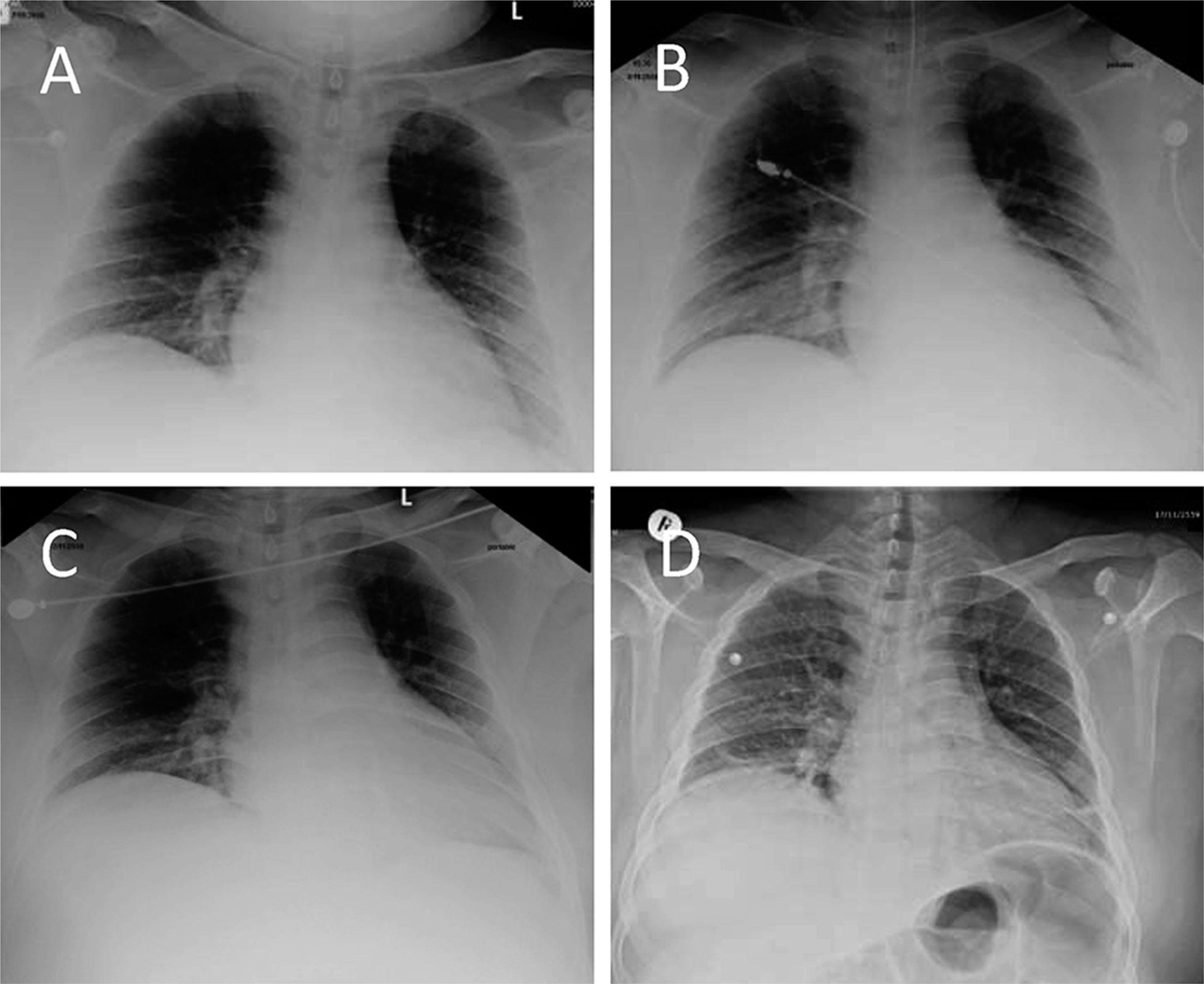
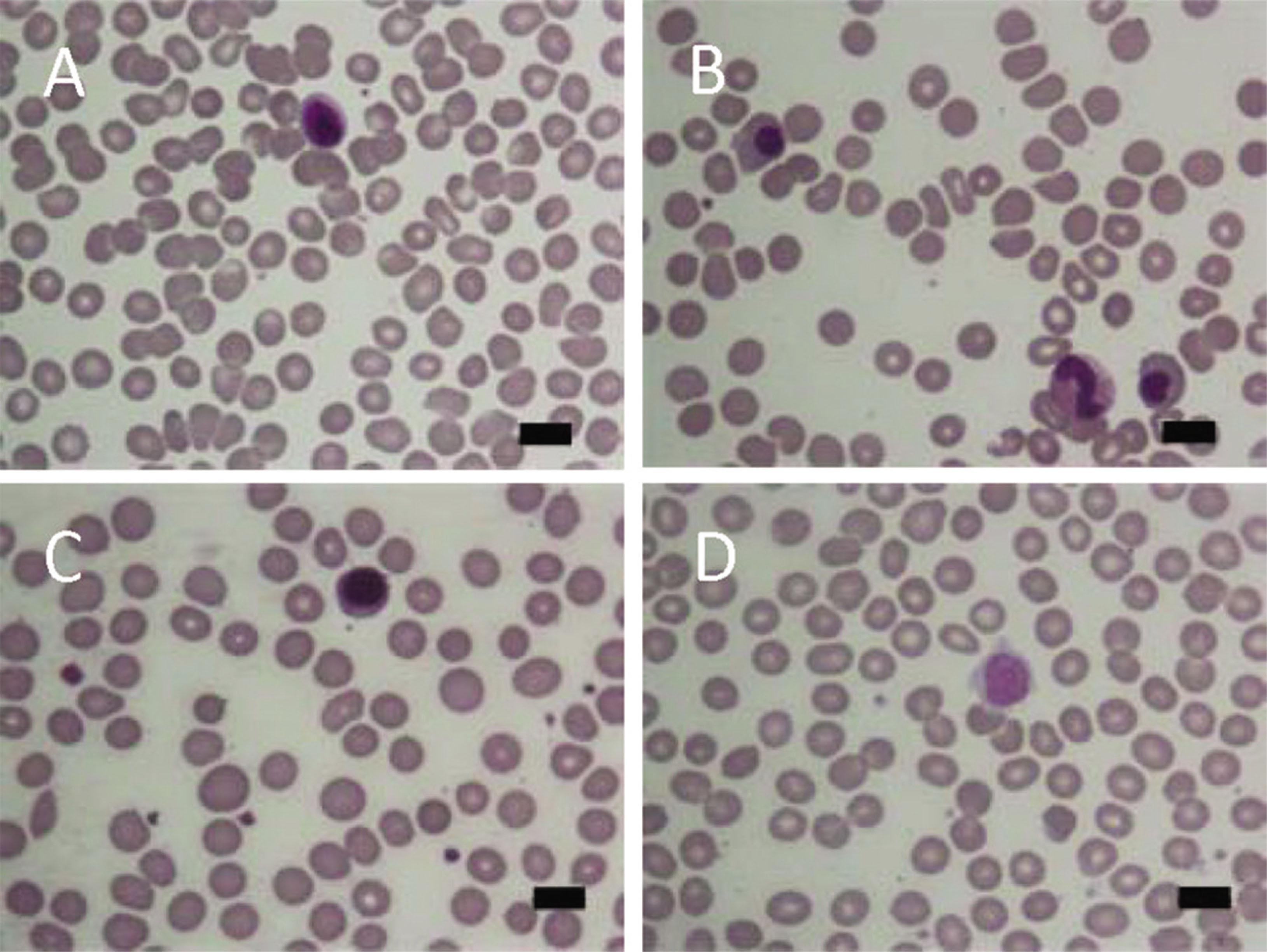
A 27-year-old man presented with a 3-day history of high-grade fever, nausea, vomiting, and arthralgia. He denied any relevant past medical history or underlying disease. Physical examination revealed obesity (calculated body mass index (BMI) = 39.6 kg/m2), body temperature of 39.0 °C, blood pressure of 120/95 mmHg, and a respiratory rate of 22/min. Examination of his cardiovascular, respiratory, and central nervous systems found they were within normal range. His liver span was 10 cm without splenomegaly. He had a slight tenderness to percussion over his entire abdomen. His arms were noted for ecchymosis. On the day of his admission to our hospital, laboratory test results revealed a hemoglobin level of 15.8 g/dL, white blood cell count of 3,500 cells/mm3, platelet count of 15,000 cells/mm3, total bilirubin at 2.3 mg/dL, direct bilirubin at 1.9 mg/dL, aspartate aminotransferase (AST) of 7,425 U/L, alanine aminotransferase (ALT) of 2,125 U/L, total protein of 5.9 g/dL, albumin of 3.4 g/dL, and an estimated glomerular filtration rate (eGFR) of 84.07 mL/min/1.73 m2. The dengue nonstructural protein 1 (NS1) antigen test was positive. Chest radiography showed that his lungs were clear with no infiltrates. He was diagnosed with severe dengue infection; initial treatment included an intravenous infusion with 5% dextrose in normal saline solution for 48 h. On day 3 in hospital, he developed hemoptysis and progressive dyspnea. His hemoglobin level at this time was 10.9 g/dL with a platelet count of 13,000 cells/mm3, prothrombin time (PT) of 14.7 s (reference range: 10.5–13.5 s; international normalized ratio: 1.26), partial prothrombin time (PTT) of 39.6 s (reference range: 22.0–33.0 s), thrombin time (TT) of 32 s (reference range: 14.0–21.0 s), and fibrinogen at 286 mg/dL (reference range: 178.1–394.6 mg/dL). Respiratory support with mechanical ventilation was initiated to treat respiratory failure. He received 8 units of leukocyte-poor packed red cells, 5 units of leukocyte-poor platelet concentrate, 1 unit of single donor platelets, 3 units of fresh frozen plasma, and 10 units of cryoprecipitate in an effort to counteract the hemoptysis. However, hemoptysis did not respond to the aforementioned blood component therapy, and the estimated blood loss was 1,500 mL. A chest radiograph taken at this time was notable for showing pulmonary congestion (Figure 1A, B), while his hemoglobin level decreased to 9.5 g/dL. In an effort to counteract the hemoptysis, when rFVIIa (100 μg/kg) was administered intravenously, hemoptysis ceased within 30 min. However, the patient developed hemoptysis again during routine suctioning from the endotracheal tube; he was treated with second and third doses of rFVIIa (100 μg/kg; intravenously). His respiratory condition improved 3 days later (Figure 1C, D). Klebsiella pneumoniae was identified in sputum culture, for which he was treated with intravenous carbapenem (500 mg every 8 h for 14 days). During his second week in hospital, the laboratory test results included a hemoglobin level of 8.7 g/dL, white blood cell count of 5,200 cells/mm3, and platelet count of 117,000 cells/mm3 with evidence of bleeding. His blood smear was consistent with a diagnosis of hemolysis (Figure 2); a direct Coombs test gave a positive result, but an indirect Coombs test gave a negative result. Other laboratory test results were notable for high levels of lactate dehydrogenase (LDH of 677 U/L; reference range: 240–480 U/L). Serum was slightly positive for antinuclear antibodies (ANA), but anti-dsDNA, anti-nRNP, and anti-Sm antibody tests gave negative results, as did a test for Mycoplasma pneumoniae. The patient was diagnosed as having severe dengue infection associated with AIHA. His blood was sent for antibody screening following the guidelines of the British Committee for Standards in Haematology (BCSH): the screening results revealed only nonspecific antibodies. He was treated with an oral form of ferrous sulfate and folic acid and his hemoglobin level returned to normal in 2 months after discharge (Table 1).

A. Posterior–anterior chest X-ray image demonstrating a slight radiographic sign that suggests interstitial pulmonary edema. B. Supine radiogram demonstrating redistribution of lung circulation from base to middle, suggestive of pulmonary congestion. C. Endotracheal tube inserted after persistent pulmonary congestion. D. Posterior–anterior chest X-ray image showing with normal lung marking and heart size.

A. Peripheral blood smear during febrile phase showing normochromic and normocytic red blood cells, white blood cells with predominating lymphocytes and atypical lymphocytes, with slight thrombocytopenia. B. Peripheral blood smear (during shock stage with intractable bleeding on the first week of hospitalization) showing a decreased number of red blood cells with nucleated red blood cells, and a scanty number of platelets. C. Peripheral blood smear on the second week of hospitalization, showing microspherocytes, polychromasia of red blood cells with predominating polychromatosis, white blood cells, and platelets within normal reference ranges. D. Peripheral blood smear during recovery phase showing red blood cells, white blood cells, and platelets within normal reference ranges. All micrographs are shown with Wright–Giemsa staining (original magnification×1000). Scale bars indicate 10 μm.
Progression of an autoimmune hemolytic anemia that developed during severe dengue infection
| Characteristic | Day of hospitalization and follow-up | |||||||||
|---|---|---|---|---|---|---|---|---|---|---|
| D1 | D3 | D5 | D7 | D9 | D11 | D13 | D21 (D/C) | D30 (OPD) | D90 (OPD) | |
| Body temperature (°C) | 39.0 | 41.0 | 38.5 | 38.6 | 37.5 | 37.0 | 37.4 | 36.8 | NA | NA |
| Pulse pressure | 24 | 22 | 59 | 55 | 55 | 53 | 53 | 41 | 54 | 48 |
| Bleeding site | ||||||||||
| Hemoptysis | − | ++ | +++ | − | − | − | − | − | − | − |
| Ecchymosis | ++ | ++ | ++ | + | + | − | − | − | − | − |
| Hematuria | − | + | + | − | − | − | − | − | − | − |
| CBC | ||||||||||
| Hemoglobin (g/dL) | 15.8 | 10.9 | 9.5 | 10.5 | 10.1 | 9.1 | 8.7 | 10.0 | 12.6 | 14.4 |
| White blood cells count (cells/mm3) | 3,500 | 3,600 | 5,000 | 4,700 | 5,300 | 4,500 | 5,200 | 4,200 | 4,700 | 6,000 |
| Platelet count (cells/mm3) | 15,000 | 13,000 | 17,000 | 87,00 | 90,00 | 99,00 | 117,000 | 190,000 | 182,000 | 165,000 |
| LFT | ||||||||||
| AST (U/L) | 2,476 | 7,425 | NA | 2,587 | NA | 386 | NA | 215 | 65 | NA |
| ALT (U/L) | 1,273 | 2,125 | NA | 1,072 | NA | 355 | NA | 218 | 105 | NA |
| DCT | NA | ++ | + | − | − | |||||
| Medication | ||||||||||
| rVIIa | − | 1st time | 2nd time† | − | − | − | − | − | − | − |
| Carbapenam | − | − | + | + | + | + | + | − | − | − |
| Blood component transfusion | ||||||||||
| LPRC | − | 1 | 6 | 1 | − | − | − | − | − | − |
| LPPC/SDP | − | 1/0 | 3/1 | 1/0 | − | − | − | − | − | − |
| FFP | − | − | 3 | − | − | − | − | − | − | − |
| Cryoprecipitate | − | − | 10 | − | − | − | − | − | − | − |
Administration of second and third doses of rVIIa for rebleeding.
AST, aspartate aminotransferase; ALT, alanine aminotransferase; CBC, complete blood count; D/C, discharge from hospital; DCT, direct Coombs test; FFP, fresh frozen plasma; LFT, liver function test; LPPC, leukocyte-poor platelet concentration; LPRC, leukocyte-poor packed red cells; NA, not applicable; OPD, outpatient department; rVIIa, recombinant activated factor VII; SDP, single donor platelets.
Changes in the hematological profile are the most common signs observed in patients diagnosed with dengue infection [3, 4]. According to the revised version of dengue case classification (2009), this disease is now categorized as dengue with or without warning signs, and severe dengue [1, 3]. The patient in the present study was diagnosed with dengue serotype 1 infection, which is consistent with progression to severe infection including plasma leakage, high serum AST and ALT levels at over 1,000 U/L, and severe bleeding. Severe bleeding can lead to systemic shock via disseminated intravascular coagulopathy. The mortality rate of those with severe dengue infection is 22.6% with severe bleeding, and 19.8% for those with severe plasma leakage [5]. Multiple blood transfusions used as replacement therapy for patients with severe bleeding may ultimately lead to volume overload [3]. The patient in the present study developed hemoptysis and was treated extensively with blood components. In this patient, hemoptysis did not resolve in response to blood components therapy, and the patient developed pulmonary congestion. Given this situation, we considered the possibility that administration of rFVIIa might be effective as treatment for the bleeding tendency and provide support before a recovery phase. Indications for administration of rFVIIa include hemophilia patients with inhibitor factor or severe bleeding [2]. One prospective study revealed a response rate of 75% after one infusion in dengue patients (nonhemophiliac patients) who were experiencing intractable bleeding [2]. This study also revealed that rFVIIa was effective in children with dengue grades II and III when provided early during the acute bleeding episode. In the present patient, intractable hemoptysis resolved dramatically after a single intravenous dose of rFVIIa at 100 μg/kg, although it recurred 2 h later in response to endotracheal tube suction. A second dose was administered at this time; ultimately, 3 doses of rFVIIa were required to counteract the severe bleeding. Overall, the patient responded to a dosing strategy that was similar to that recommended by Goodnough, who suggested repeat dosing with rFVIIa every 2–3 h until bleeding stabilizes [6].
No thromboembolic complications developed in response to rFVIIa treatment; however, the patient developed hemolytic anemia during the second week of his hospitalization. His condition was ultimately diagnosed as AIHA. AIHA can be classified as alloimmune, drug-induced hemolytic anemia (DIH), or autoimmunity [7]. We excluded the possibility of alloimmune hemolytic anemia, because screening revealed only nonspecific antibody reactivity. We then considered the possibility that one or more of the medications used (e.g., rFVIIa or carbapenem) might have elicited DIH. AIHA in response to administration of rFVIIa is somewhat unlikely given that the patient received only 3 doses, and to our knowledge there are no published reports of DIH developing in response to this agent [8]. Carbapenem is a cephalosporin antibiotic that has been associated with DIH typically within 1 week after the first dose [9]. However, we note that the patient developed hemolytic anemia on day 11 of the carbapenem regimen. For secondary causes, we explored several possibilities, including lymphoproliferative disorder, autoimmune disorder (not consistent with systemic lupus erythematosus), and hematological malignancies [10]. Of note, to our knowledge, there is no published report of dengue infection as a cause of AIHA. We discontinued all potentially related medications as the patient entered the recovery phase. We did not treat AIHA in this patient, as we were unable to identify any immunosuppressive drugs that would be both safe and effective for infection-associated AIHA [10,11,12,13]. His hemoglobin level turned to normal levels during the follow-up period after hospital discharge.
AIHA is a rare complication in adult patients with dengue. As such, we propose that supportive treatment for AIHA in the setting of severe dengue infection in adults may be of maximum benefit. For critical bleeding in adult patients with dengue, rFVIIa seems to have some benefit, although additional clinical studies focusing on dosage and duration of infusion are required to support this notion.