Lactobacillus helveticus is recognized as the most nutritionally fastidious lactic acid bacteria (LAB) that are unable to synthesize some of the essential for its growth amino acids. A complex proteolytic system enables the bacteria to grow in milk mainly due to overcoming their amino acids auxotrophies and providing available source of nitrogen (Genay et al., 2009). Generally, the proteolytic system consists of three components: cell-envelope proteinases (CEPs) that hydrolyze caseins into oligopeptides, transport system that transfer oligopeptides across the membrane inside the bacterial cell, and finally intracellular peptidases that generate free intracellular amino acids (Savijoki et al., 2006; Sadat-Mekmene et al., 2011b).
L. helveticus strains are used as starter cultures mainly due to their high tolerance to low pH, the rate of milk acidification and acid curd formation (Nielsen et al., 2009). Moreover, the bacteria strains may also hydrolyze hydrophobic peptides such as peptide β-CN (193–209) and therefore significantly reduce the bitter taste of cheese (Sadat-Mekmene et al., 2011a; 2011b).
Cell wall-associated proteases play a crucial role in cheese maturation because contribute to release of hydrophobic peptides and create stretching properties of cheeses (Oommen et al., 2002; Richoux et al., 2009). In addition, the products obtained with proteolytic activities of L. helveticus exhibit a wide range of health-promoting effects mainly due to bioactive peptides (Griffiths and Tellez, 2013). However, a huge biodiversity in terms of CEPs has been noticed among different strains of L. helveticus. The individual strain might exhibit from 1 to 4 various types of cell wall-associated proteases (Sadat-Mekmene et al., 2013). This is also related to different combinations of CEPs-encoding genes that probably affect enzymes activity and constitute an important aspect for applications the individual strains in dairy industry (Broadbent et al., 2011; Sadat-Mekmene et al., 2011b). Nonetheless, some aspects referring to the CEPs properties in L. helveticus strains are still not fully explained (Savijoki et al., 2006; Sadat-Mekmene et al., 2011b). Therefore, the objectives of this investigation were to evaluate the distribution of genes encoding cell-envelope proteinases and to determine the proteolytic activities of novel Polish strains of L. helveticus. Hence, the research results are of importance in the potential application of L. helveticus strains in local dairy industry.
Bacterial strains and growth conditions. Ten strains of lactic acid bacteria (80, 141, T15, T80, T103, T104, T105, T159, T199, B734) were isolated from fermented Polish milk products and kindly provided by Prof. Łucja Łaniewska-Trokenheim (University of Warmia and Mazury in Olsztyn, Poland). The microorganisms have not yet been used industrially. The strains were previously identified by 16S rRNA sequence analysis in our laboratory.
L. helveticus K1 strain isolated from Canadian dairy product and obtained from the Division of Food Science Institute of Animal Reproduction and Food Research of The Polish Academy of Science (Olsztyn, Poland) was also included in the study. Moreover, L. helveticus DSMZ 20075 (DSMZ, Braunschweig, Germany) was used as a reference strain, while Lactobacillus rhamnosus E/N (BIOMED-LUBLIN WSiS S.A, Lublin, Poland) was a negative control.
All strains were maintained in 15% glycerol stock and stored at –80°C. Prior to the experiments, each bacterial strain was transferred into fresh sterile medium cultured (2%v/v) in De Man, Rogosa and Sharpe broth (BTL, Łódź, Poland) supplemented with L-cysteine (0.5 g/l) and incubated (42°C/16 h) under anaerobic conditions (Waśko et al., 2014).
Extraction of DNA and the species-specific PCR. Total cellular DNA was isolated from overnight strains cultures by Genomic Mini AX Bacteria Spin (A&A Biotechnology, Poland). The reaction of amplification of housekeeping genes of L. helveticus was performed with using specific primers according to Fortina et al. (2001). The multiplex PCR reaction was conducted using the LabCycler (SensoQuest, Göttingen, Germany). The obtained amplification products were electrophoresed in 1% agarose gel with addition of 0.25% Midori Green DNA Stain (Nippon Genetics Europe, Dueren, Germany). The electrophoresis was conducted in TBE buffer for 1.5 h at 60 V, visualized under UV light using GelDoc (Bio-Rad, USA) and further analyzed in Quantity One (Bio-Rad, USA).
Detection the genes encoding CEPs. The reactions of amplification of prtH, prtH2, prtH3 and prtH4 were performed according to Broadbent et al. (2011) with primers listed in Table I. Each reaction mixture (25 μl) contained 100 ng of DNA, 12.5 μl DreamTaq Green PCR Master Mix (2X) (Life Technologies Sp. z o.o., Warsaw, Poland), 20 pmol of each primer and nuclease-free water. The PCR reaction steps included: 4 min denaturation at 95°C followed by 30 cycles consisting on three steps (95°C for 30 s, 58°C for 30 s and 72°C for 30 s). The final extension was conducted 10 min at 72°C. The obtained PCR products were directly subjected to electrophoresis as it has been described above.
Sequences of primers used in reaction of amplifications of the fragments of CEPs genes.
| Gen | Primer | Sequence (5’→3’) | Tm [°C] | Source |
|---|---|---|---|---|
| prtH | PrtH-for-1 | GGTACTTCAATGGCTTCTCC | 51.8 | Genay et al., 2009; Lozo et al., 2011 |
| prtH2 | prtH2f | AAGCAAAGGATGTTGTTCCAAGTAAGCCA | 58.7 | Smeianov et al., 2007 |
| prtH3 | prtH3f | GATGATCAAGCAGATGTAAAACCGGCAGAAG | 61.7 | Broadbent et al., 2011 |
| prtH4 | prtH4f | CTGAAGCAGCAACTAATGATCCTGG | 57.7 | Broadbent et al., 2011 |
DNA sequences analyses. The selected PCR products obtained in the study were sequenced using the BigDye Terminator v3.1 Cycle Sequencing Kit (Applied Biosystems) with the capillary sequencing system, 3730 Genetic Analyzer (Applied Biosystems). The consensus sequences from the alignments were analyzed (using BLAST, ClustalW and ClustalOmega) and compared to other sequences available in GenBank database. The nucleotide sequences of cell envelope-associated proteinase genes found in this study were deposited in the GenBank database with the accession numbers: KT285174, KT285175, KT285176, KT285177, KT285180 and KT285181.
Proteolytic activity assay. In order to determine the proteolytic activity of the analyzed microorganisms, 10 ml of sterile MRS broth (BTL, Łódź, Poland) was inoculated by 1% (v/v) of overnight cultures of L. helveticus strains and incubated 18 h at 42°C under anaerobic conditions. Then, the bacterial cells were collected by centrifugation at 10 000 g for 10 min at 4°C (Eppendorf Centrifuge 5415R, Eppendorf Hamburg, Germany). The pellets were washed twice with phosphate buffer (0.1 M, pH 7.0) and using the same buffer resuspended to the original volume. The obtained bacterial suspensions were incorporated as 1% (v/v) inoculum into 10% (w/v) reconstituted and sterilized (115°C/15 min) skim milk (OSM Krasnystaw, Krasnystaw, Poland). All samples were mixed by vortexing and incubated (42°C/12 h) under anaerobic conditions. Uninoculated milk samples were used as a control. Proteolytic activities of milk-grown cultures were determined spectrophotometrically (Smartspec Plus, BioRad, Hercules, CA, USA) according to Savoy de Giori and Herbert (2001).
A statistical analysis was performed using a statistical program Statistica 13.1 (StatSoft, Tulsa, USA). The proteolytic activities exhibited by the strains analyzed were presented as mean value with standard deviations. The Tukey’s HSD test was used to estimate the significant differences between mean values. The obtained results were compared on the basis of significance level set at p < 0.05.
Acidifying activity. The overnight cell cultures were harvested by centrifugation (8 000 × g/10 min/4°C), washed twice with sodium phosphate buffer (50 mM, pH 7.0) and resuspended in the same buffer to the original sample volume. The obtained bacterial cell suspensions (OD600 = 0.7) were used to inoculate samples of 13% (w/v) regenerated skim milk (RSM) (OSM Krasnystaw, Poland), which had been pasteurized in water bath (80°C/30 min) and cooled down to room temperature before inoculation.
During the whole time of fermentation (36 h/42°C), the value of pH was measured (pH meter Hanna Instruments HI221) every 6 h. The measurements were done in triplicate (in sterile conditions). The dynamics of milk acidification by individual L. helveticus strain has been expressed as a difference (ΔpH) between measurements that were done in 6-hour intervals during all fermentation time. Strains, which were able to reduce the pH value of RSM more than one unit within the first six hours of incubation, were considered as fast acidifying.
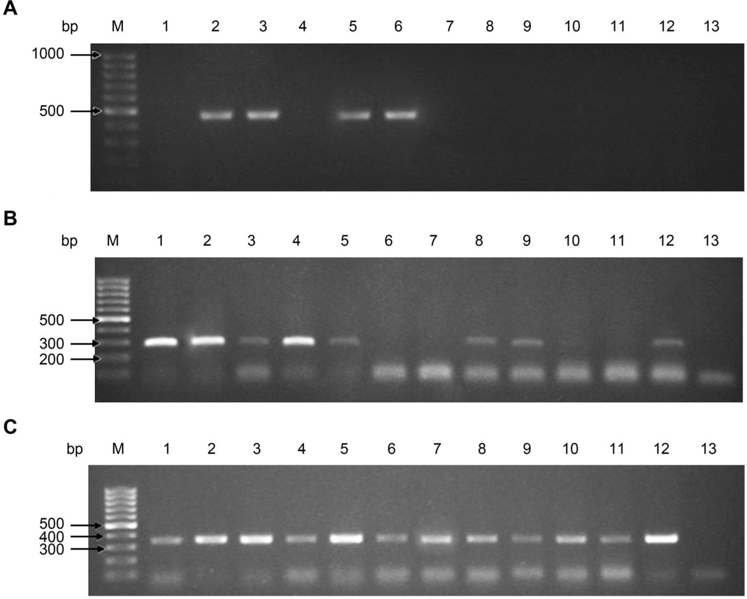
The results of multiplex PCR indicated the presence of 500, 700, and 900 bp bands (Fig. 1). The presence of these three products was confirmed in all tested strains.

Agarose gel electrophoresis of Multiplex PCR products obtained for Lactobacillus helvetisus strains: 1 – 80; 2 – T104; 3 – T105; 4 – T159; 5 – 14; 6 – B734; 7 – T103; 8 – T15; 9 – T199; 10 – T80; 11 – K1; 12 – DSMZ 20075; M – DNA molecular marker 100 bp.
To determine the distribution of CEPs-encoding genes among the tested strains of L. helveticus, three reactions of amplification of the nucleotides sequences (prtH, prtH2 and prtH3) were applied. The results indicated that presence of CEPs-encoding genes and their combination varied among the microorganisms tested. The results (Fig. 2A) demonstrated that sequence of prtH was presented in four L. helveticus strains (T104, T105, 141 and B734). Among the bacteria tested, the prtH2 proved to be more common CEPs-encoding sequence than prtH (Fig. 2B), while prtH3 was the most widespread gene and was detected in all strains (Fig. 2C). However, any product of amplification prtH4 was obtained and thus, the presence of this gene has not been confirmed in any of the tested L. helveticus strains.

Results of amplification genes encoding CEPs: prtH (A); prtH2 (B); prtH3 (C) in Lactobacillus helvetisus strains: Line: 1 – 80; 2 – T104; 3 – T105; 4 – T159; 5 – 141; 6 – B734; 7 – T103; 8 – T15; 9 – T199; 10 – T80; 11 – K1; 12 – DSMZ 20075; line 13: Lactobacillus rhamnosus E/N; M – DNA molecular marker.
Depending on the variant of detected CEPs-encoding sequences, the analyzed strains were distinguished into four genetic profiles. The strains exhibiting presence of sequences prtH, prtH2 and prtH3 (T104, T105 and 141) were qualified to profile I (Table II). In profile II, the strains exhibiting the presence of prtH/prtH3 genes combination were grouped, while in the strains comprising the profile III, the genes prtH2 and prtH3 were detected. Profile IV was represented by strains, in which only one product of amplification (prtH3) was observed. The greatest diversity in terms of the number of identified CEPs-encoding nucleotide sequences was shown for strains 141, T104 and T105.
The proteolytic activity of L. helveticus strains.
| The bacterial strain | Proteolytic activity [mM of released α-aminoacids/l] | Profiles of amplification products of CEPs |
|---|---|---|
| L. helveticus T104 | 87.06c ± 0.21 | I (prtH/prtH2/prtH3) |
| L. helveticus T105 | 114.72a ± 0.64 | |
| L. helveticus 141 | 57.67d ± 0.54 | |
| L. helveticus B734 | 58.78d ± 0.52 | II (prtH/prtH3) |
| L. helveticus 80 | 37.78h ± 0.68 | III (prtH2/prtH3) |
| L. helveticus T159 | 42.67e ± 0.14 | |
| L. helveticus T15 | 40.61fg ± 0.48 | |
| L. helveticus T199 | 40.61fg ± 0.34 | |
| L. helveticus DSMZ 20075 | 96.94b ± 1.1 | |
| L. helveticus T103 | 41.33ef ± 0.36 | IV (prtH3) |
| L. helveticus T80 | 39.78fg ± 0.28 | |
| L. helveticus K1 | 40.11fg ± 0.42 | |
| L. rhamnosus E/N | 39.11gh ± 0.44 | – |
The means (data are expressed as the mean ± standard deviations (SD), n = 3) in the same column, followed by different lower case letters, denote that they are significantly different (p < 0.05)
The choice of amplification products for bioinformatics analysis was based on the results of proteolytic activity assay and distribution of the CEPs genes among the tested strains. Therefore, to further nucleotide sequence analysis were subjected all amplified prtH products and also amplicons of prtH3, which were detected in strains T80, T105, T104, 141 and B734.
A multiple sequence alignment (Fig. 3) of the nucleotide sequences of prtH exhibited slight differences between the strains tested and L. helveticus CRZN32 (accession no. AF133727). Whereas, the analysis of phylogenetic tree (Fig. 4) demonstrated that the analyzed prtH3 gene sequences of T105 and T80 exhibited a higher similarity to the reference gene (accession no. HQ602769) than strains T104, 141 and B734.

Sequence alignment for prtH of chosen strains and Lactobac illus helveticus CRZN32 (no. AF133727). Stars indicate residues that are similar in all sequences.

Phylogenetic tree of prtH3 gene sequences of analyzed Polish L. helveticus strains and L. helveticus CNRZ32 (no. HQ602769.1).
The proteolytic activity was variable among the strains tested (Table II), while the strongest activity was exhibited by L. helveticus T105, a comparable value was recorded for the reference strain (DSMZ 20075). The lowest value of the measured parameter was noted for L. helveticus 80. Acidification of reconstructed skim milk (RSM) seems to be strain-dependent (Table III).
Dynamics of decrease of skim milk pH value during fermentation conducted by L. helveticus strains.
| L. helveticus strain | ΔpH* | |||||
|---|---|---|---|---|---|---|
| 6 h | 12 h | 18 h | 24 h | 30 h | 36 h | |
| T104 | 1.31 ± 0.01 | 1.35 ± 0.01 | 0.48 ± 0.01 | 0.03 ± 0.01 | 0.08 ± 0.01 | 0 |
| T105 | 1.79 ± 0.01 | 1.23 ± 0.02 | 0.24 ± 0.02 | 0.05 ± 0.01 | 0.01 ± 0.01 | 0.01 ± 0.01 |
| 141 | 0.8 ± 0.01 | 0.62 ± 0.01 | 0.76 ± 0.01 | 0.07 ± 0.02 | 0.22 ± 0.01 | 0.13 ± 0.01 |
| B734 | 0.86 ± 0.02 | 0.24 ± 0.01 | 0.75 ± 0.01 | 0.06 ± 0.01 | 0.5 ± 0.02 | 0 |
| 80 | 0.8 ± 0.01 | 0.21 ± 0.01 | 0.78 ± 0.01 | 0.09 ± 0.01 | 0.49 ± 0.01 | 0.17 ± 0.01 |
| T159 | 0.90 ± 0.01 | 0.15 ± 0.03 | 0.65 ± 0.02 | 0.22 ± 0.02 | 0.53 ± 0.01 | 0.23 ± 0.01 |
| T15 | 0.74 ± 0.01 | 0.16 ± 0.02 | 1.05 ± 0.01 | 0.09 ± 0.01 | 0.51 ± 0.01 | 0 |
| T199 | 0.85 ± 0.01 | 0.23 ± 0.02 | 0.82 ± 0.01 | 0.04 ± 0.01 | 0.49 ± 0.01 | 0.28 ± 0.01 |
| DSMZ 20075 | 0.89 ± 0.02 | 0.66 ± 0.03 | 0.31 ± 0.01 | 0.66 ± 0.01 | 0.22 ± 0.01 | 0 |
| T103 | 0.76 ± 0.01 | 0.33 ± 0.02 | 1.06 ± 0.02 | 0.20 ± 0.01 | 0.25 ± 0.01 | 0 |
| T80 | 0.93 ± 0.01 | 0.89 ± 0.01 | 0.18 ± 0.01 | 0.54 ± 0.01 | 0.07 ± 0.01 | 0.21 ± 0.01 |
| K1 | 0.82 ± 0.03 | 0.24 ± 0.02 | 0.76 ± 0.01 | 0.14 ± 0.01 | 0.56 ± 0.03 | 0.26 ± 0.01 |
Data are expressed as the mean ± standard deviations (SD) (n = 3) of differences in pH values between measurements that were made after every 6 h of fermentation. The initial pH ranged from 6.59 to 6.62
Most of the analyzed strains exhibited the strongest acidification activity during first 6 h of incubation. Moreover, L. helveticus T104 and T105 were able to reduce pH of RSM within the first 6 h of fermentation to more than one unit. Therefore, T104 and T105 were considered as the fast acidifying strains.
L. helveticus is an essential component of starter cultures in manufacture of ripened cheeses, especially Italian and Swiss-type. These microorganisms contribute to biochemical changes that influence the texture formation, development of sensory and organoleptic properties of final products (Soeryapranata et al., 2007; Widyastuti et al., 2014). However, a wide variability occurs among L. helveticus strains and also difficulties in distinguishing L. helveticus and closely related species e.g. L. acidophilus and L. delbrueckii (Rong et al., 2015).
The multiplex PCR based on the amplification of the genes of stable and essential proteins for L. helveticus metabolism (housekeeping genes) is used for identification or confirmation of taxonomic affiliation. This method is used for rapid and unambiguous identification of L. helveticus strains (Fortina et al., 2011; Rong et al., 2015). In this study, the identified multiplex PCR products corresponded to the results obtained by Fortina et al. (2011), who described these products as the genes encoding: a trypsin-like serine protease (htrA), and aminopeptidases C (pepC) and N (pepN). Similar amplification products were identified in probiotic strain L. helveticus NS8, which was isolated from a traditional Mongolian fermented milk beverage (kumys) (Rong et al., 2015).
It was revealed that L. helveticus exhibits intraspecific diversity and even biotypes isolated from the same niche are greatly various and many traits of the bacteria are strain-dependent (Griffiths and Tellez, 2013; Gatti et al., 2014). Similar observations were noted in our study. The analyzed strains exhibited various proteolytic activity levels as well as diverse dynamic of milk acidification. These properties are one of the most important criteria determining the possibility of commercial applications of LAB in dairy industry (Ravyts et al., 2012).
Many species belonging to the lactic acid bacteria possess only one type of cell envelope proteinases; therefore, L. helveticus exhibiting from one to four CEPs appears to be a unique microorganism among all LAB (Genay et al., 2009; Broadbent et al., 2011; Sadat-Mekmene et al., 2013; Nejati et al., 2016).
Due to a varied number of CEPs-encoding genes that were detected in the study, the L. helveticus strains were divided into four genetic profiles. Interestingly, T104 and T105 showed the highest proteolytic activity among the tested strains and the most diverse distribution of genes encoding CEPs. Beyond that, both strains exhibited also the fastest dynamics of decrease of milk pH value during fermentation process. However, the results obtained by Sadat-Mekmene et al. (2011a) indicated that the ability to acidify milk is a strain-dependent characteristic of L. helveticus, but no correlation has been confirmed between the rate of lowering the pH of milk and the number of different CEPs present in the strains. Nevertheless, the issue concerning the correlation between proteolytic activity level, the number of different CEPs and the genes encoding these enzymes still seems to be essential subject of considerations.
It has been demonstrated that L. helveticus CM4 characterized by a very high proteolytic activity exhibits the presence of three different CEPs-encoding genes (Wakai and Yamamoto, 2012). Similar findings have been also recorded for strains T104 and T105 in this study.
It was suggested that variations of cell envelope proteinase might demonstrate some differences in terms of affinity and specificity to particular casein fractions (Kunji et al., 1996). In analysis of L. helveticus BGRA43 (Lozo et al., 2011) the presence of only one CEP-encoding gene (prtH) was confirmed. Despite of this, the strain showed a high efficiency of the proteolytic system and was able to conduct a complete hydrolysis of αs1-, β- and к-casein. While, other investigation of L. helveticus strains derived from different niches indicated that these strains were able to perform fast β-casein hydrolysis, regardless of whether they possessed one (PrtH2) or both variants of enzymes (PrtH and PrtH2) (Sadat-Mekmene et al., 2011a). Whereas, αs1-casein was much slower hydrolyzed by strains with only one CEP. It might be concluded that affinity and specificity to different casein fractions exhibited by CEPs of L. helveticus affect the composition and functional properties of the hydrolyzates received (Oberg et al., 2002). Therefore, the analysis of distribution the CEP-encoding genes in L. helveticus strains, as a one of the selection traits for determination of the starter culture composition, seems to be justified.
The genes responsible for metabolism of peptidases and amino acids are highly conserved through the species, whereas sequences encoding CEPs are widely diverse (Broadbent et al. 2011).
Genay et al. (2009) have confirmed that the distribution of prtH and prtH2 is strain-dependent. In the study, prtH2 was detected in all of the 29 tested strains, whereas prtH was identified in 18 of them. Also in study presented by Nejati et al. (2016) prtH2 was identified in all of eight investigated L. helveticus strains, while presence of prtH has been confirmed in the four of them. In contrast, studies conducted by Miyamoto et al. (2015) in order to determine the distribution of CEPs genes in L. helveticus strains isolated from Airag (traditional Mongolian fermented milk product), showed that amplification products of prtH were present in six of seven strains tested, while prtH2 was identified only in two of them.
The results obtained for Polish strains of L. helveticus revealed that prtH2 occurred more frequently than prtH, which was detected only in four of twelve strains tested. Interestingly, prtH was identified in strains that exhibited presence of at least one another sequence encoding CEPs. Similar findings were reported by Broadbent et al. (2011), who noticed that prtH often occurred in combination with other gene encoding CEPs.
Analyzing results of all performed PCR reactions, it was noticed that not prtH2, but prtH3 was the most widespread gene among the strains analyzed. For some strains prtH3 was the only identified sequence of the CEP gene. These findings are in accordance with Broadbent et al. (2011), who also revealed intraspecific diversity of genes encoding CEPs and confirmed common occurrence of prtH3 among L. helveticus strains. Analysis of 51 strains of L. helveticus showed that 12% of them have four genes CEP paralogs, while 8% of tested strains exhibited presence of three paralogous, and in 42% of tested bacteria two sequences encoding CEPs had been identified.
In Polish strains of L. helveticus analyzed, a various combinations of genes encoding CEPs (i.e. prtH2/prtH3, prtH/prtH2/prtH3/prtH4 or prtH3/prtH4) have been identified, that might indicate the different levels of the enzymes activities occurring in individual strains (Broadbent et al., 2011). The study revealed also that profile III (which included the genetic variant prtH2 prtH3) was represented by the largest group (42%) of all tested L. helveticus strains.
The presence of prtH4 has not been confirmed in any of Polish strains. Lack of this gene sequence in L. helveticus strains was also reported by Miyamoto et al. (2015). However, some study indicated that in some L. helveticus strains prtH4 might be the only CEP gene, as in strain LHC2 derived from the USA (Jensen et al., 2009).
The analysis of L. helveticus strains originating from Mongolia, North America and Europe confirmed a large variation with respect to cell envelope proteinase genes (Miyamoto et al., 2015). This might indicate that ecological niche and environmental conditions affect proteolytic properties of L. helveticus strains. Moreover, diversity of the CEPs distribution among strains might be explained by the fact that the enzymes exhibit different characteristics within different casein cleavage sites (Jensen et al., 2009; Sadat-Mekmene et al., 2011a). The complementary properties of different CEPs and ability of bacteria to acquire and maintain an additional CEP-encoding sequence improve adaptation to the changing environmental conditions (Genay et al., 2009). Furthermore, some results indicate also that differences in protease activity and amino acids metabolism of L. helveticus are likely to be caused by nonsense mutations that enhance the polymorphisms among the bacteria and influence the genes expression level, activity and specificity of individual enzymes involved in proteolytic reactions (Broadbent et al., 2011). Therefore, the occurrence of several cell envelope proteinases in L. helveticus might determine the usefulness of the strains.
High diversity of cell-envelope associated proteinases among L. helveticus strains is important in formation of various compounds during proteolysis. Therefore, the results of investigations are important with regard to the possibility of forming new starters cultures for dairy industry in order to obtain the products of desired properties. The results of this study revealed significant differences in distribution of CEPs-encoding genes among L. helveticus strains, what seems to be a strain-dependent property. The bacterial strains demonstrated four different genetic profiles in terms of the combination variants of CEPs genes. The largest group of L. helveticus strains represented the combina tion of prtH2/prtH3 genes. While the sequence of prtH3 was the most abundant fragment of the CEP gene.
The obtained results encourage further analysis of Polish strains of L. helveticus. It may contribute to clarification and better understanding the relationship between genetic characteristics of CEPs-like affinity and specificity of strains to individual casein fractions.