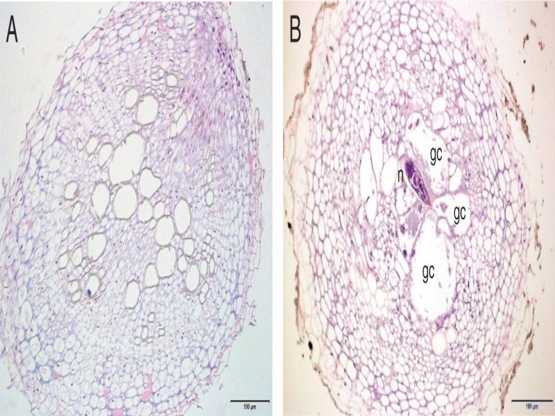
Figure 1:

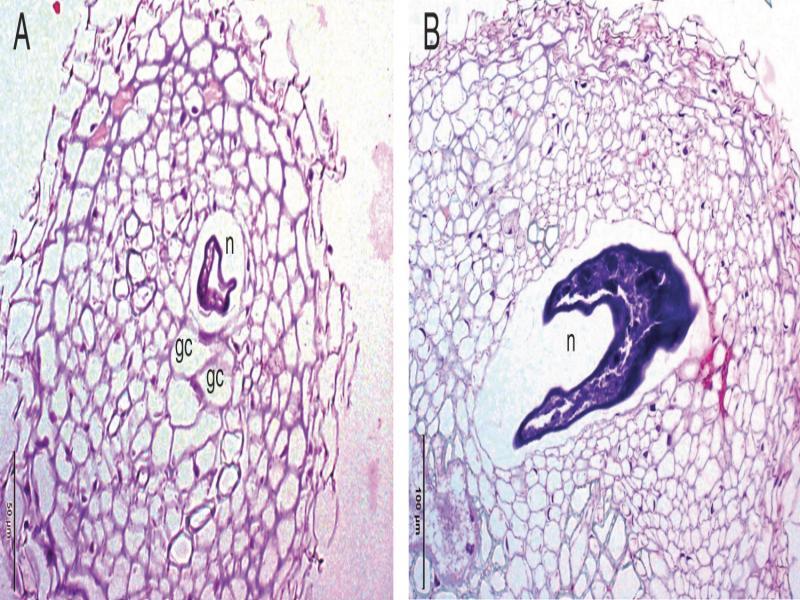
Figure 2:

Figure 3:

Figure 4:

Number of second-stage juveniles (J2), and young and adult (egg-laying) females of Meloidogyne spp_ in roots of oilseed radish (Eco-Till, susceptible; Carwoodi, resistance) at early-stage of infection (1, 3, and 5 days after inoculation; DAI) and at 28 DAI in the greenhouse_
| J2 | J2 | J2 | Young female | Adult female | |
|---|---|---|---|---|---|
| Nematode/Cultivar | 1 DAI | 3 DAI | 5 DAI | 28 DAI | 28 DAI |
| M. javanica | |||||
| Eco-Till | 8.5 a | 19.7 a | 30.6 a | 20.7 a | 17.6 a |
| Carwoodi | 2.7 a | 12.3 a | 27.0 a | 6.6 b | 4.2 b |
| M. incognita race 3 | |||||
| Eco-Till | 7.0 a | 19.6 a | 31.3 a | 12.0 a | 9.6 a |
| Carwoodi | 3.1 a | 12.3 a | 27.1 a | 3.6 b | 1.6 b |
| M. arenaria race 1 | |||||
| Eco-Till | 7.5 a | 16.3 a | 28.0 a | 10.3 a | 18.0 a |
| Carwoodi | 5.0 a | 21.6 a | 23.6 a | 3.0 b | 1.8 b |
Reproduction of Meloidogyne javanica, M_ incognita race 3, and M_ arenaria race 1 on oilseed radish, white (Tachiibuki) and black (Pratex) oats under greenhouse conditions_
| M. javanica | M. incognita race 3 | M. arenaria race 1 | ||||
|---|---|---|---|---|---|---|
| Cultivar | Rfy | Host statusz | Rf | Host status | Rf | Host status |
| Tomatox | 24.0 a | Good | 11.1 a | Good | 16.5 a | Good |
| Cannavaro | 22.1 a | Good | 2.7 cde | Good | 3.1 c | Good |
| Final | 22.0 a | Good | 2.5 bc | Good | 10.2 b | Good |
| Control | 11.0 b | Good | 0.3 e | Poor | 1.7 c | Maintenance |
| Image | 8.2 bc | Good | 7.7 ab | Good | 8.2 b | Good |
| Eco-Till | 7.7 bc | Good | 3.5 cde | Good | 12.5 ab | Good |
| Pratex | 7.1 bc | Good | 3.9 cd | Good | 9.7 b | Good |
| Cardinal | 4.4 bc | Good | 1.2 de | Good | 1.9 c | Maintenance |
| Tachiibuki | 3.6 bc | Good | 0.2 e | Poor | 0.3 c | Poor |
| Karakter | 1.9 bc | Maintenance | 1.1 e | Maintenance | 0.9 c* | Poor |
| Concorde | 1.8 bc | Maintenance | 1.7 de | Maintenance | 2.5 c | Good |
| Carwoodi | 1.0 c* | Poor | 0.2 e | Poor | 0.2 c | Poor |
Number of second-stage juveniles (J2), and young and adult (egg-laying) females of Meloidogyne spp_ in roots of oat (Pratex, susceptible; Tachiibuki, resistance) cultivars at early-stage of infection (1, 3, and 5 days after inoculation; DAI) and at 28 DAI in the greenhouse_
| J2 | J2 | J2 | Young female | Adult female | |
|---|---|---|---|---|---|
| Nematode/Cultivar | 1 DAI | 3 DAI | 5 DAI | 28 DAI | 28 DAI |
| M. javanica | |||||
| Pratex | 4.7 a | 15.0 a | 28.1 a | …x | … |
| Tachiibuki | 6.0 a | 14.3 a | 24.3 a | … | … |
| M. incognita race 3 | |||||
| Pratex | 5.6 a | 11.0 a | 23.5 a | 17.4 a | 20.5 a |
| Tachiibuki | 3.6 a | 8.3 a | 18.0 a | 2.3 b | 1.6 b |
| M. arenaria race 1 | |||||
| Pratex | 8.0 a | 15.3 a | 25.3 a | 16.0 a | 12.3 a |
| Tachiibuki | 6.3 a | 14.0 a | 29.1 a | 3.5 b | 2.6 b |