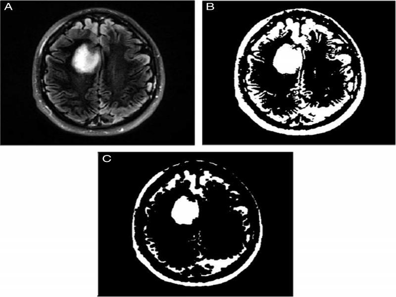
Figure 1:

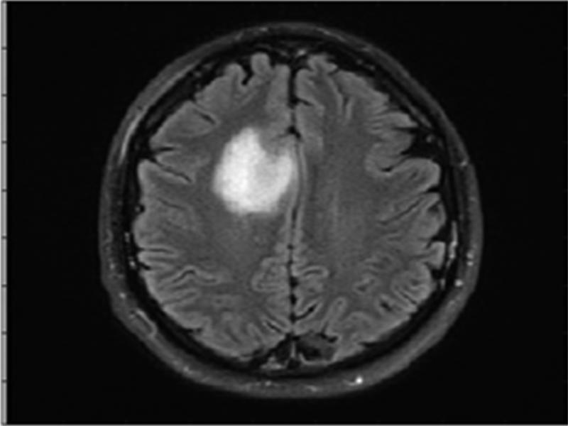
Figure 2:

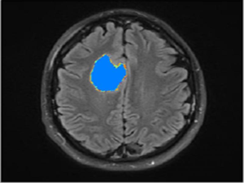
Figure 3:

Figure 4:

Figure 5:

Figure 6:

Figure 7:

Figure 8:

Figure 9:

Comparative analysis_
| Different approaches | |||
|---|---|---|---|
| Parameters | Proposed algorithm | (Tarhini and Reda, 2020) | (Oo and Aung Soe, 2014) |
| PSNR | 18.4537 | 9.73795 | 18.97545 |
| SSIM | 0.79545 | 0.1833 | 0.29315 |
| FSIM | 0.92583 | 0.4439 | 0.75115 |
| Entropy | 5.8122 | 0.91185 | 4.8462 |
| NAE | 0.368 | 0.9941 | 0.28255 |
| NCC | 0.8801 | 0.37585 | 0.9122 |
Statistical analysis_
| Parameter | ||||||
|---|---|---|---|---|---|---|
| Image | PSNR | SSIM | FISM | Entropy | NAE | NCC |
| Image 1 | 14.548 | 0.709 | 0.961 | 6.275 | 0.449 | 0.875 |
| Image 2 | 14.694 | 0.659 | 0.939 | 6.033 | 0.501 | 0.804 |
| Image 3 | 18.021 | 0.612 | 0.88 | 5.301 | 0.436 | 0.855 |
| Image 4 | 14.26 | 0.725 | 0.8666 | 6.159 | 0.463 | 0.775 |
| Image 5 | 15.775 | 0.708 | 0.881 | 4.8 | 0.618 | 0.712 |
| Image 6 | 19.624 | 0.809 | 0.876 | 5.337 | 0.288 | 0.906 |
| Image 7 | 18.961 | 0.748 | 0.941 | 6.376 | 0.3 | 0.948 |
| Image 8 | 29.673 | 0.934 | 0.96 | 4.473 | 0.08 | 0.991 |
| Image 9 | 19.89 | 0.886 | 0.939 | 6.51 | 0.271 | 0.931 |
| Image 10 | 17.931 | 0.806 | 0.937 | 6.493 | 0.344 | 0.846 |