A bimaxillary protrusion is characterised by protrusive and proclined maxillary and mandibular incisors accompanying increased procumbency of the lips and is commonly seen in African-American and Asian populations. 1 The malocclusion can negatively impact on a patient’s facial aesthetics, self-esteem, psychological well-being and quality of life. 2 Patients presenting with a bimaxillary protrusion malocclusion usually seek treatment for a chief complaint related to their prominent dentition and lips and a desire for an improvement of their profile. 3 These patients not only demand but also need orthodontic treatment.
The aetiology of a bimaxillary protrusion has been found to be complex, and may consist of a genetic component superimposed on environmental factors related to mouth breathing, tongue and lip malfunction, and enlarged tongue volume. 4 The orthodontic treatment of the malocclusion often involves the initial extraction of the four premolars followed by retraction and retroclination of the anterior teeth using maximum anchorage mechanics, ideally resulting in a decrease in lip procumbency. 5,6
An alternative treatment option to manage a bimaxillary protrusion is the distalisation of both dental arches using temporary anchorage devices (TADs). Although distalisation of an entire maxillary and/or mandibular arch is generally considered to be extremely difficult compared with molar distalisation, 7 it has been demonstrated that an entire mandibular dentition may be successfully distalised with the aid of miniscrews in the correction of a Class III malocclusion. 8 The distalisation of maxillary and mandibular dentitions was first reported in 2004 for the treatment of Class I bimaxillary protrusion and anterior crowding using fixed appliances and miniscrews. 9 The miniscrew-anchored orthodontics 10 has been shown to be an effective approach for distalising dentitions in patients presenting with Class I bimaxillary protrusion and in cases of Class II and Class III malocclusions; however, this technique has only been reported in association with fixed appliance systems. To date, there is no report describing the distalisation of both dentitions using a clear aligner system.
The aim of this case report was to introduce a clinically effective approach for distalising both maxillary and mandibular dentitions using clear aligners and miniscrews for a patient presenting with a bimaxillary protrusion.
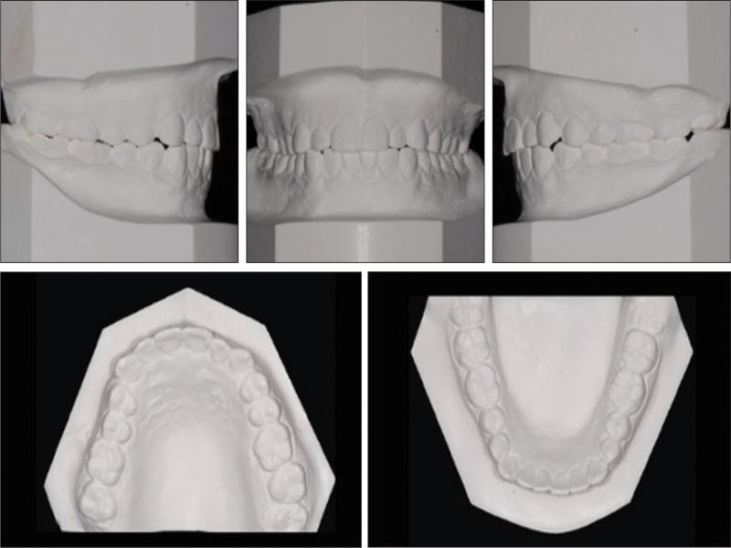
A 22-year-old female presented with the main complaint of “protrusive lips” and said she “would like to have treatment with clear aligners” because of her work as an actress. A facial analysis showed that there was a symmetrical face, a convex profile and a decreased nasolabial angle (Figure 1). No temporomandibular joint disorder was noted during the consultation and clinical examination. An intraoral assessment revealed that there was an Angle Class I molar relationship on her left side and a Class III relationship on the right side, a 1 mm overjet and overbite, and symmetrical dental arches with no crowding. Both upper and lower midlines were 1 mm to the left of the facial midline. No mandibular functional shift was observed (Figures 1 and 2).

Pretreatment facial and intraoral photographs.

Pretreatment dental casts.
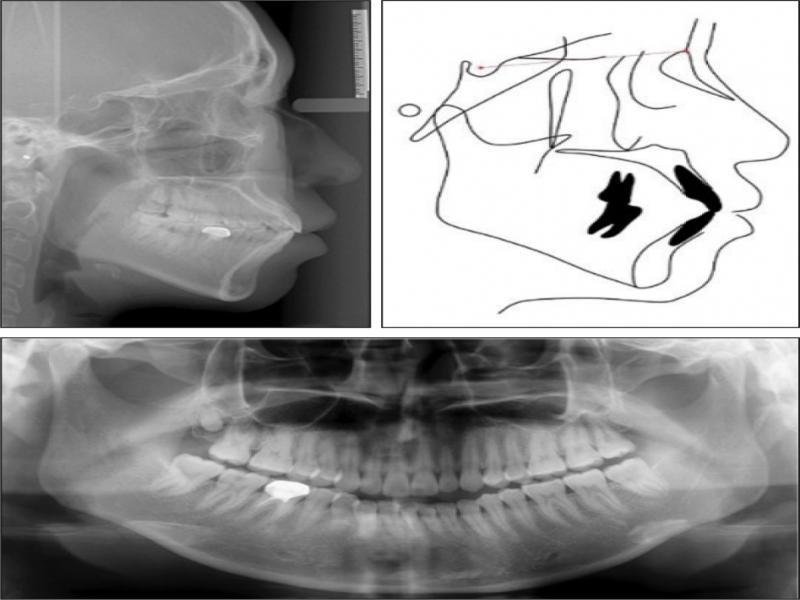
Panoramic radiography showed that the 46 was a crowned tooth with previous root canal treatment. The four third molars were present (Figure 3). A cephalometric analysis indicated a skeletal Class I pattern with an average mandibular plane angle. Both the maxillary and mandibular incisors were proclined (Figure 3).

Pretreatment cephalometric radiograph (top left) and tracing (top right) and panoramic radiograph (bottom).
The objectives of orthodontic treatment were to retract the upper and lower anterior teeth, decrease the lip prominence and improve the profile.
Due to the patient’s request for clear aligner treatment, the following two treatment options were discussed.
Option one: Invisalign treatment (Align Technology, Inc., CA, USA) involving the extraction of the four first premolars, the retraction and retroclination of the upper and lower incisors to decrease lip prominence.
Option two: Invisalign treatment to distalise both dental arches, retract and retrocline the upper and lower incisors, and to decrease the lip prominence. Miniscrews would be required to reinforce posterior anchorage. Elastics applied between the miniscrews and precision cutouts in the clear aligners would be used to achieve the distalisation of both arches (Figure 4). The third molars 28, 38 and 48 would be extracted; the 18 was not extracted but monitored during treatment because it was affected by microdontia and in a high position with an expected inconsequential impact on the distalisation of the dentition in the respective quadrant. The extraction of the deeply impacted 18 was likely to involve risks of tearing of tissue flaps and the excessive removal to bone and overlying soft tissue (Figure 3).

Intraoral photographs showing the elastics running from the precision-cuts to the miniscrews.
The second option was chosen because the patient was against removing healthy premolar teeth and the possible compromise in aesthetics by the use of virtual pontics during retraction and space management.
During the planning discussion regarding treatment alternatives, the patient was informed of a previous study that indicated there was no significant outcome difference between second premolar extraction and distalisation with interproximal reduction (IPR) treatment, 11 and that first premolar extraction might be more effective in improving the bimaxillary protrusion. In addition, lingual fixed appliances and traditional fixed appliances with ceramic brackets were discussed as treatment alternatives. However, the patient persisted in a non-extraction treatment program requiring the distalisation of the entire dentitions using clear aligners.
The ClinCheck (Align Technology, Inc., CA, USA) was used to visualise the treatment procedures and detail the required tooth movements.
In the first trial, a total of 30 aligners (19 upper and 11 lower aligners involving six months of treatment) were used to level and align both dentitions and to distalise both arches. No interproximal reduction was planned during this stage. A miniscrew (length of 10 mm and diameter of 2 mm; Ormco Corporation, CA, USA) was inserted between the second premolar and first molar in each quadrant. Precision cutouts (hooks on canines) were prescribed in the aligners (Figure 4). According to Align Technology’s instructions, the patient was required to wear each aligner with elastics (200g force on each side, size 1/8, 3.5 oz) between the precision cutouts and miniscrews for at least 22 hours per day for 10–14 days in order to distalise both dental arches (Figure 4). However, no clinically significant improvement was observed in the retraction of the lips nor improvement in the molar relationships after the first 100 days of treatment. The upper and lower midlines remained 1 mm and 2 mm to the left of the facial midline, respectively (Figure 5). Therefore, a refinement was required before attempting further distalisation of the dentitions.

Facial and intraoral photographs before the first refinement during treatment.
In a second phase, 60 aligners (30 for each arch, 10 months treatment) were prescribed. In the ClinCheck review, the distalisation of the dentitions was revised to a “V pattern”, 12 requiring the distalisation of the second molars, then the first molars, followed by the premolars and the anterior teeth. The planned magnitude of molar distalisation in the maxillary arch was 0.9 mm (right side) and 1.1 mm (left side) and 1.0 mm (right) and 0.9 mm (left) in the mandibular arch in order to improve the dental midlines and the molar relationship on the right side (Figure 5). No IPR was performed in this stage.
After the completion of the first refinement, IPR was performed in both arches (1.2 mm in the upper and 1.4 mm in the lower), and an additional 10 aligners were provided for a second refinement to achieve a normal overjet and overbite (Figures 6 and 7).

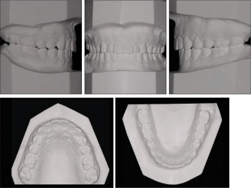
Post-treatment facial and intraoral photographs.

Post-treatment dental casts.
The active treatment duration was 13 months, during which time the miniscrews remained stable. Vacuum formed retainers were provided for retention and the patient was followed up for 1.5 years (Figure 8).

Facial and intraoral photographs after 1.5 years retention. The upper two miniscrews remained in the oral cavity for retention (elastics from the cuts in the retainer to the miniscrews).
The post-treatment examination demonstrated that the treatment objectives were achieved (Figures 6 and 7). The facial photographs showed an improved profile and an aesthetic smile (Figure 6). The panoramic radiograph showed paralleled roots with no significant root resorption or alveolar bone recession (Figure 9).

Post-treatment cephalometric radiograph (top left) and tracing (top right) and panoramic radiograph (bottom).
A cephalometric analysis and superimposition (Figures 10, 11 and Table I) revealed that the maxillary and mandibular incisors were retracted (the reduction of U1-AP and L1-AP was 2.2 mm and 3.2 mm, respectively). The SNA and SNB values decreased by 1.6° and 2.2° respectively, indicating a posterior remodelling of A and B points following upper and lower incisor retraction. The lip prominence was reduced (the reduction of the distance from lips to E-plane was 2.1 mm for the upper lip and 2.9 mm for the lower lip). The S-Go/N-Me showed little change, indicating an unaltered facial height (Figure 10). The value of SN-MP increased by 1.5° indicating a slight clockwise rotation of the mandible. The Ptm-U6 indicated that the upper first molars moved posteriorly by 3.0 mm (Table I). Considering that IPR was performed only on teeth in front of the first molars (i.e., incisors, canines and premolars), the 3.0 mm distalisation of the upper first molar was attributed to the distalisation of the entire maxillary dentition.

Superimposition of the pretreatment (black line) and post-treatment (red line) cephalometric radiographs.

Superimposition of the pretreatment (black line) and post-treatment (red line) cephalometric radiographs (maxilla and mandible alone).
Cephalometric analyses before and after the treatment.
| Measurement | Normal43, 44 | Before | After | Changes* |
|---|---|---|---|---|
| Skeletal | ||||
| SNA (Sella-Nasion-point A, °) | 83.6 ± 3.6 | 84.8 | 83.2 | -1.6 |
| SNB (Sella-Nasion-point B, °) | 79.7 ± 3.6 | 81.5 | 79.3 | -2.2 |
| ANB (Point A-Nasion-point B, °) | 3.9 ± 1.8 | 3.0 | 3.9 | -0.9 |
| SN-MP (SN plane-mandibular plane, °) | 32.9 ± 4.0 | 34.4 | 35.9 | 1.5 |
| S-Go/N-Me (Sella-gonion/nasion-menton, %) | 65.9 ± 4.0 | 67.3 | 66.1 | -1.2 |
| Dental | ||||
| U1-L1 (Axial inclination of upper and lower incisors, °) | 117.6 ± 8.8 | 116.7 | 115.8 | -0.9 |
| U1-SN (U1-sella nasion, °) | 65.0 ± 7.5 | 67.9 | 66.9 | -1.0 |
| U1-AP (Protrusion of maxillary incisors, mm) | 6.7 ± 2.0 | 10.8 | 8.6 | -2.2 |
| L1-AP (Protrusion of mandibular incisors, mm) | 3.0 ± 2.0 | 8.3 | 5.1 | -3.2 |
| FMIA (Frankfort horizontal plane-L1, °) | 57.0 ± 7.0 | 57.5 | 61.6 | 4.1 |
| U1-PP (U1-palatal plane, mm) | 27.5 ± 2.0 | 30.5 | 29.7 | -0.8 |
| U6-PP (U6-palatal plane, mm) | 21.5 ± 2.0 | 26.6 | 25.6 | -1.0 |
| Ptv-U6 (Pterygomaxillary fissure-U6, mm) | 18.0 ± 3.0 | 22.8 | 19.8 | -3.0 |
| Profile | ||||
| Upper lip to E-plane (mm) | -1.5 ± 2.4 | 1.0 | -1.1 | -2.1 |
| Lower lip to E-plane (mm) | 0.9 ± 2.5 | 4.5 | 1.6 | -2.9 |
+ (-) indicate the values increased (decreased) after the treatment.
At a 1.5 year review, the treatment results were stable and no significant relapse was observed in the profile nor occlusion (Figures 8 and 12). The two maxillary miniscrews were planned to remain in situ for two years after debonding to assist retention, during which time the patient was asked to wear elastics in the maxilla between the miniscrews and the cutouts (hooks on canines) in the clear retainers at night. It was considered that the retained upper incisors would naturally hold the lower incisors due to the corrected overjet and overbite.

Superimposition of the post-treatment (red line) and the 1.5-year retention (green line) cephalometric radiographs.
The present case report has described a young female adult who presented with a bimaxillary protrusion malocclusion. The patient was concerned about her smile aesthetics, hence the preference for clear aligners rather than fixed appliances. In addition, a treatment option of premolar extraction, even with virtual pontics for aesthetic compensation due to her work as an actress, was not accepted. Therefore, treatment involved the extraction of third molars and the distalisation of both arches using clear aligners supported by miniscrews.
Bimaxillary protrusion is commonly seen among black and Asian populations. 13 These patients usually have an acceptable occlusion but a prominent lip profile. The orthodontic treatment for protrusive patients often involves the extraction of premolars to retract the anterior teeth and reduce the prominence of the lips. 14 However, this option usually takes an extended period of time, and some patients may refuse the extraction of premolars for reasons related to reduced smile aesthetics during treatment. An alternative option is arch distalisation, which may involve the extraction of the third molars only and thereby avoid a compromise in aesthetics induced by extractions. The treatment outcomes of a second premolar extraction program or arch distalisation options (including facial attractiveness, age appearance and soft-tissue measures) do not reportedly show significant differences in the long term. 15,16 The extraction of first premolars provides more space for the retraction of the anterior teeth. Moreover, additional advantages of distalising the dentitions rather than premolar extractions include the preservation of a complete dentition, the ease of root position control, the convenience of controlling the amount of anterior tooth retraction, as well as good patient acceptance. 17
The Invisalign system has become increasingly popular, especially for adult patients, 18-20 since it was first introduced in 1997, due to the advantages of aesthetics and comfort in comparison with fixed appliances. 21 The clinical efficiency of clear aligner treatment, including molar distalisation, has been confirmed and it has been further suggested that tooth movement, such as incisor torque, premolar derotation and molar distalisation, can be effectively performed using the Invisalign system. 22,23 A high accuracy (88%) of bodily movement of the upper molars could be achieved using aligners when a mean distalisation movement of 2.7 mm was prescribed in the pretreatment planning. 23 The maxillary first molars can be successfully distalised by 2.25 mm without significant tipping using aligners. 22
However, the Invisalign system, as well as other clear aligner systems, may not be as effective as fixed appliances for treating a bimaxillary protrusion with the accompanying extraction of four premolars followed by anterior tooth retraction. Clear aligners are usually associated with tipping (instead of bodily) movement of the teeth, resulting in tilting of the posterior teeth and lingual crown torque of the incisors towards the extraction spaces that incompletely close. Therefore, arch distalisation serves as an optional treatment plan in clear aligner treatment, especially for mild to moderate bimaxillary protrusion. However, the treatment modality for the distalisation of both arches in clear aligner systems has not yet been reported.
During arch distalisation using fixed appliances, all of the teeth are forced synchronously, without separate distalisation, which has been found to be clinically successful. 16,24,25 The first phase of treatment used this strategy to distalise both arches using clear aligners supported by miniscrews without clinical success. The different outcomes may be explained by the imprecision between the slot and the arch wire in fixed appliance systems, which allows easy simultaneous distal tipping of all the teeth; whereas, in clear aligner systems, the entire arch is tightly wrapped by the plastic, which prevents easy tipping movement. In the second phase of treatment, the teeth were separately distalised in a staged V-pattern 12 by moving the second molars, then the first molars, followed by the premolars and the anterior teeth, and at the same time the whole arch was distalised using miniscrews. As a result, both dental arches were successfully and efficiently distalised approximately 3.0 mm at the first molar areas after one year of treatment. A much greater amount of first molar distalisation (0.9 mm and 1.0 mm on the right upper and lower; 1.1 mm and 0.9 mm on the left side) was achieved, as prescribed in the ClinCheck prediction, which suggests that separate molar and whole arch distalisation can occur at the same time. Compared with the synchronous arch distalisation modality, the present approach may have advantages related to the ease of achieving separate tooth distalisation, even with lighter forces; and the bone remodelling which is activated in situ, to facilitate the entire arch distalisation.
When distalising a dental arch, the opposing arch may serve as an anchorage source. When distalising both dental arches, TADs remain a positive option for anchorage support. The diameter, length, insertion angle and position of the TADs are important. The diameter of a miniscrew for arch distalisation was recommended to be between 1.2 mm 26,27 and 2 mm, 28,29 and the minimum length of the miniscrew should be at least 6 mm according to a systematic review. 30 Although interradicular sites are common areas for TAD placement, the maxillary infrazygomatic region and mandibular buccal shelf have been recommended for upper and lower arch distalisation to avoid the potential interference of the TADs with the tooth roots. 31 However, the placement of TADs at these two sites is technically difficult and so, in recent years, it has been recommended that the TADs be placed at interradicular sites at a higher position and at a greater angle to support anchorage. 32,33 This was found to be appropriate in the present case. The insertion angle of 55° to 70° relative to the maxillary occlusal plane has been found to enhance primary stability for the distalisation of the maxillary dentition but may increase the risk of sinus perforation in the maxillary molar region. 28 The optimal position of the TADs for maxillary dentition distalisation has been reported to be the region between the first and second molars because of the relatively thicker buccal alveolar bone compared with other sites. 28,34 This insertion position, however, is still not ideal because of an associated potential risk of interfering with root movement, and therefore requiring a later repositioning of the miniscrews. In the present case, the upper dentition was distalised by 3.0 mm according to the Ptv-U6 measurement, resulting in a clinically asymptomatic but a radiologically close position of the miniscrews to the roots of the second premolars after treatment.
The molars were successfully distalised using the clear aligners without clinically significant adverse molar extrusion and a mandibular clockwise rotation determined by the cephalometric superimpositions. This may be a result of the lack of extrusive forces generated by the interarch elastics, but rather, the forces from the precision cutouts to the miniscrews were relatively higher than the centre of resistance of the molars, which minimised any potential adverse molar extrusion. In addition, the aligner coverage over the teeth could also effectively prevent possible molar extrusion. Therefore, the application of elastics from the TADs to the precision cutouts of the aligners is recommended, rather than to the individual teeth, during entire arch distalisation.
The impact of distalisation treatment (either only molars or the entire dentition) on the third molars is still unclear. It has been reported that the distalisation of maxillary molars using a pendulum appliance does not influence root formation nor the position of the third molars. 35 However, an alternative study suggested that orthodontically-treated patients may develop a higher likelihood of impacted third molars, which potentially leads to local clinical morbidities, related to pericoronitis or caries on adjacent teeth. 36 A study using a pendulum appliance for molar distalisation suggested that there may be unwanted tipping of the second molar if the distalisation of the first and second molars was carried out simultaneously without germectomy of the third molar. 37 There is a report regarding external root resorption of the second molars using cervical traction for first molar distalisation. Such devices may apply a relatively high force over a long duration and an unerupted, developing second molar may be affected. 38 There is no report regarding external root resorption of the second molars caused by the third molars during distalisation. In the present case, the impacted, undersized 18 was not extracted but was closely monitored. It did not cause significant root resorption of the 17 nor a negative impact on the distalisation of the dentition, perhaps due to the small size and the high position of the tooth.
The long-term stability of arch distalisation is still unclear. It has been found that the stability of treatment results achieved by headgear and an improved Nance appliance for dentition distalisation were equivocal. 39-41 A longitudinal study of the pendulum appliance for molar distalisation showed that almost half of the patients experienced relapse during the succeeding fixed appliance treatment after an average molar distalisation movement of about 5.1 mm. 42 The treatment results of entire dentition distalisation using miniscrews appeared relatively stable after a long period of review (up to five years’ retention). 24,25 The risk of relapse in both arch distalisations is theoretically higher than that of a single arch, since there is no retention force from intercuspation due to the simultaneous relapse tendency in both arches. In the present case, the patient was asked to wear elastics in the maxilla between the miniscrews and the cutouts (hooks on canines) in the clear retainers at night. The miniscrews in the mandible were removed after active treatment. After 1.5 years of retention, the treatment result remained stable; however, long-term stability still requires further observation.
The distalisation of both dental arches may be achieved by clear aligner systems using elastics between the miniscrews and precision cutouts in the treatment of a bimaxillary protrusion malocclusion.