The most common craniofacial congenital malformation in humans is tooth agenesis, which, excluding third molars, ranges in prevalence from 1.6% to 9.6% depending on the population studied. 1 Tooth agenesis may also be seen in the deciduous dentition, but with a lower prevalence ranging from 0.5% to 0.9%. 2 Tooth agenesis of six or fewer teeth (excluding third molars) is referred to as hypodontia, 1 and 80% of individuals with hypodontia have only one or two missing teeth. 3 The most likely teeth to be congenitally missing, other than the third molars, are the permanent lower second premolars, followed by the upper lateral incisors, and the upper second premolars. 4
It is suggested that there are four morphogenic fields in each jaw, identified as an incisor, canine, premolar and molar fields. Variability is more common at the distal end of each morphological field as the most mesial tooth appears to be the most stable. The canine is the only tooth in its morphogenic field and hence is highly stable and rarely missing. 5-7 The congenital absence of a maxillary permanent canine has a prevalence of less than 0.5%, and three recent studies reported the prevalence to be zero. 8-10 Previous studies have reported a greater frequency of congenitally missing maxillary canines to occur in females compared to males, 11,12 and in black compared to white populations. 13,14
Possible approaches to manage congenitally missing teeth include space closure using orthodontic therapy, opening the space for implant placement, auto transplantation, or prosthetic restoration. 15,16 The restoration of the missing tooth is often complicated by the remaining teeth being in unfavourable positions. Common issues faced in treating hypodontia patients include aligning displaced teeth, space management, tooth uprighting, the management of a possible deep overbite, and post-treatment retention. 16 Orthodontic treatment may facilitate restorative care but the final treatment plan will be dependent on factors related to patient age, the degree of inherent crowding, the condition of the retained deciduous teeth, the type of malocclusion, and the patient’s preference. 15
Case reports detailing congenitally missing permanent canines are uncommon, 7,17-21 and those that involve treatment are even more rare. 22 This case report describes the orthodontic treatment of a case presenting with a congenitally missing upper left permanent canine compounded by a malformed upper right permanent canine.
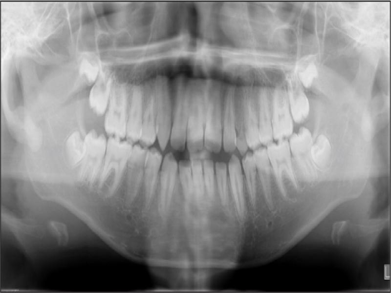
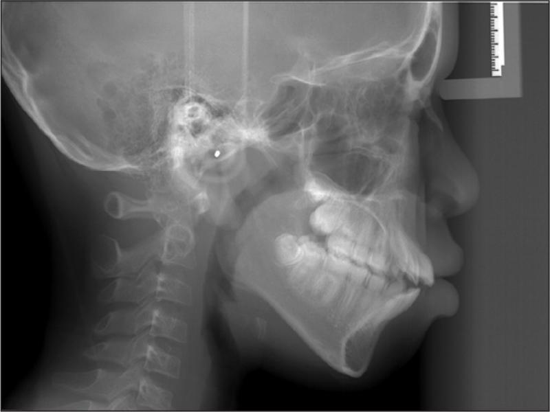
A 12-year-old African American male in good general health presented with the chief complaint of “I don’t like my upper front teeth”. An extra-oral examination revealed a convex soft tissue profile, an obtuse nasolabial angle, and lips that were protruded and incompetent. Upon intraoral examination, the patient had tooth staining, a retained deciduous upper left canine, a malformed upper right canine, a Class I molar relationship, spacing, an increased overjet and an anterior open bite (Figure 1). A radiographic examination revealed a congenitally missing upper left canine, an upper right permanent canine with a long root, an upper right first premolar with a short root, proclined and protruded upper and lower incisors and a high mandibular plane angle (Figures 2 and 3; Table I).

Facial and intraoral photographs taken at the initial visit (age 12 years, 0 months).

Panoramic radiograph taken at the initial visit (age 12 years, 0 months).

Lateral cephalogram taken at the initial visit (age 12 years, 0 months).
Cephalometric measurements before and after treatment.
| Measurement | Initial taken at initial visit (12 y 0 mo) | Final taken at debond visit (15 y 3 mo) |
|---|---|---|
| Facial Angle (FH-NPo) (°) | 84.2 | 83.9 |
| Convexity (NA-APo) (°) | 6.8 | 2.3 |
| SNA (°) | 79.5 | 78.1 |
| SNB (°) | 76.7 | 77 |
| ANB (°) | 2.8 | 1.1 |
| AB – NPo (°) | 2.8 | 1.3 |
| FMA (MP-FH) (°) | 32.8 | 34.3 |
| Y-Axis -- Downs (SGn-FH) (°) | 64.5 | 66.6 |
| Occ Plane to FH (°) | 12.7 | 14.7 |
| Interincisal Angle (U1-L1) (°) | 96.3 | 127 |
| L1 to Mand Plane -90 (°) | 13.8 | -3.9 |
| U1 – SN (°) | 119 | 105.7 |
| U-Incisor Protrusion (U1-APo) (mm) | 15.8 | 9.5 |
| L1 Protrusion (L1-APo) (mm) | 11.3 | 6.2 |
| FH – SN (°) | 8.1 | 6.9 |
| Wits Appraisal (mm) | -3.2 | -5.4 |
| Lower Face Height (ANS-Me) (mm) | 72 | 80.1 |
| LFH/TFH (ANS-Me:N-Me) (%) | 58.1 | 61.8 |
| Upper Lip to E-Plane (mm) | 2.4 | 2.1 |
| Lower Lip to E-Plane (mm) | 10.2 | 7.7 |
| Nasolabial Angle (Col-Sn-UL) (°) | 83 | 82.8 |
The treatment objectives were to: (1) eliminate the anterior open bite; (2) close the upper and lower spaces; (3) obtain an ideal occlusion with an appropriate overjet; (4) reduce the incisor proclination and protrusion; (5) reduce the lip protrusion and lip incompetence; and (6) achieve a premolar-canine substitution in the upper left quadrant.
The treatment plan involved the substitution of the upper left first premolar for the missing canine following the extraction of the retained upper left deciduous canine, the upper right first premolar, and both lower first premolars. Alternatively, the malformed upper right permanent canine could have been extracted. However, the upper right first premolar had a short root and therefore was selected for extraction. A non-extraction treatment plan was considered but discarded because, although several of the treatment objectives would be achieved, a reduction in lip protrusion, lip incompetence, incisor proclination, and incisor protrusion would be greater with extractions. The retention plan included fulltime wear of modified upper and lower removable Hawley retainers with ball clasps and labial bows extending distal to the premolars.
Treatment was initiated after the extraction of the recommended teeth. Banding and bonding were completed using 0.018″ × 0.025″ brackets of Roth prescription. Both arches were levelled and aligned using 0.014″ nitinol wire. The wires were upgraded to 0.016″ stainless steel wires, and power chains were used to retract the upper right canine and consolidate the lower canine-to-canine region to prepare for lower en masse retraction. After the lower anterior spaces were closed, a 0.016″ × 0.022″ nitinol wire with a reverse curve was inserted. The lower canine-to-canine region and the lower first molar to second premolar on both sides were consolidated using a stainless steel ligature wire, and a power chain was stretched from the lower second premolar to the lower canines. Due to its long root, a prefabricated upper lip bumper was inserted to reinforce upper arch anchorage during upper right canine retraction (Figure 4). Once the upper right canine was retracted, the upper lip bumper was removed, and an upper 0.016″ × 0.022″ stainless steel wire with keyhole loops was activated to retract the upper incisors. Palatal root torque was added to achieve bodily retraction of the upper incisors. After all space closure, upper and lower 0.016″ × 0.022″ nitinol wires were placed followed by 0.016″ × 0.022″ stainless steel wires for finishing and detailing using class II elastics as needed. To improve the aesthetics of the upper left first premolar, labial root torque was applied along with enameloplasty of the palatal cusp. Interproximal reduction of the upper incisors was performed to manage a Bolton discrepancy and improve overjet and overbite. Because fixed retainers were refused by the patient’s mother, modified upper and lower Hawley retainers were provided for retention. The patient was referred for aesthetic restoration of the upper right canine but chose not to proceed. The total treatment time was two years and eight months (Figures 5–8; Table I). Figure 9 shows images of the patient 19 months after active treatment. The result remained stable except for some extraction space opening distal to the lower canines.

A prefabricated upper lip bumper inserted to reinforce the upper anchorage during upper right canine retraction due to its long root.

Facial and intraoral photographs taken at the debond visit (age 15 years, 3 months).

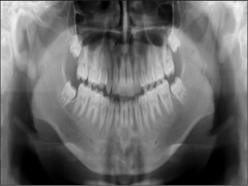
Panoramic radiograph taken at the debond visit (age 15 years, 3 months).

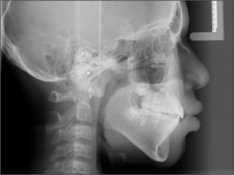
Lateral cephalogram taken at the debond visit (age 15 years, 3 months).

Cephalometric superimposition of before and after treatment

Facial and intraoral photographs taken at the 19 month follow-up visit (age 16 years, 10 months).
The first report of a congenitally missing permanent canine was presented in 1952 by Furstman et al., describing a case of four congenitally missing permanent canines. A clinical examination further revealed a peg-shaped deciduous canine. The treatment chosen was to open space for the restoration of the four missing permanent canines subsequent to the retention of the deciduous canines for as long as possible. 22 Mesialisation of the posterior teeth was considered but discarded. This was likely due to the infrequent use of miniscrews since the first report of their application was in 1945. 23
Subsequently, several authors have reported cases of congenitally missing permanent canines; however, no treatment apart from retention of the deciduous canines was performed. 7,18-21 Retaining a deciduous canine beyond the age at which it normally exfoliates is a valid treatment option in cases of congenitally missing permanent canines. The exfoliation of a deciduous tooth results primarily by resorption of its root by the permanent successor; however, the process is disturbed in cases of agenesis. 24 Haselden et al. reported that almost 60% of deciduous canines with no permanent successors had little or no root resorption up to the age of 40 years. In addition, lower deciduous canines had a greater predicable life span compared to the upper deciduous canines. 24 Retaining a deciduous canine can help preserve the alveolar bone to possibly allow implant placement in the future. 7
Several factors require consideration when deciding to retain a deciduous canine and relate to the preference of the patient, the cost, and the type of underlying malocclusion. 20 In the present case, the patient had protruded and incompetent lips, proclined and protruded incisors and an anterior open bite, so an extraction treatment plan was chosen. Upper arch anchorage was needed because the upper right permanent canine had a long root and an upper lip bumper was inserted to provide posterior tooth support during permanent canine retraction. Alternative anchorage considerations were the use of miniscrews, a headgear, or a transpalatal arch. Although not usually used in the upper arch, 25-27 a lip bumper was placed since the upper bands were already prepared with headgear tubes and no patient compliance would be needed.
Previous studies have reported an association between hypodontia and other dental anomalies. 28 It is suggested that hypodontia is often associated with a reduction in tooth crown size. 29 GunaShekhar et al. described a case of three congenitally missing canines associated with microdontic maxillary permanent lateral incisors (peg-shaped) and incomplete root formation. 18 Cho et al. reported 32 cases of congenitally missing maxillary permanent canines. Five cases presented with a microdontic upper lateral incisor and one case with a microdontic contralateral maxillary canine. 17 Similarly, in the present case there was a congenitally missing upper permanent canine and a contralateral malformed canine presenting with a small crown.
Although rare, a permanent maxillary canine can be congenitally missing. When this condition is encountered, appropriate orthodontic diagnosis and treatment planning is required to decide on the best treatment approach.
The present case report described premolar substitution and extraction in the three other quadrants as the preferred option in the management of a congenitally missing maxillary canine. This was achieved while maintaining a long-rooted, malformed contralateral canine.