Following the first report of treatment of a lower incisor extraction case using Invisalign® appliances in 2002, 1 a 12 consecutively-treated patient case series 2 and a three-patient case report 3 were published by 2016. From these publications, it appears that the Invisalign® appliance is able to produce satisfactory clinical outcomes in the management of lower incisor extraction cases.
It is essential for the successful treatment of any lower incisor extraction case to have an appropriate diagnosis accompanied by a well-designed digital treatment plan (ClinCheck®) if Invisalign® aligners are to be used. The treating clinician may use ClinCheck® software to perform a virtual diagnostic wax-up of a case to facilitate the treatment planning process. Once an extraction decision is confirmed, the software may be used to determine the appropriate attachments, treatment sequence, movement speed of the teeth and the three-dimensional visualisation of the case at any treatment stage. Once the plan is accepted and the aligners manufactured, the clinician needs to closely monitor the case, employ auxiliary mechanics when necessary, and order additional aligners if required.
A decision to extract a lower incisor in orthodontic treatment is based on factors including:
-
Minimal upper incisor and moderate to severe lower incisor crowding.
-
Bilateral Class I or mild Class III molar relationships.
-
An acceptable soft tissue profile.
-
Minimal overbite and overjet.
-
Minimal growth potential.
-
Mandibular tooth-size excess (Bolton discrepancy) present.
-
Poor prognosis of a lower incisor due to pathology such as gingival recession, severe wear or fracture.
-
When potential relapse is deemed significant (severe rotations or displacements).
-
Patient preference for lower arch only treatment may require lower incisor extraction to provide a positive overjet. 3-7
In relation to post-treatment stability, lower incisor extraction cases have been considered to be significantly more successful than alternative treatment options. 8 However, caution must be taken to minimise potential negative outcomes, including increases in overjet and overbite and gingival problems related to recession and open interproximal embrasures. 7
There is limited evidence to support claims that clear aligners can effectively treat open bite problems in high mandibular plane angle cases without extruding posterior teeth. 9,10 It is theorised that intrusive forces from the occlusion and pressing on the clear aligners that are interposed occlusally may be the mechanism for vertical control during treatment.
Transverse expansion using aligners has been demonstrated to fall short of the predicted outcome, implying either the need to overprescribe the expansion in order to achieve the desired clinical result or employ auxiliaries such as intermaxillary elastics to augment the aligner forces. 11-13
A 14-year 7-month-old Caucasian female presented to the University of Queensland postgraduate orthodontic clinic concerned about the crowding of her teeth (Figure 1). The facial appearance was asymmetric, and the profile straight but with an increased lower anterior facial height. The lips were competent, thin, and retrusive. An examination of the smile revealed consonance of the incisal edges with the lower lip, acceptable upper incisor display, coincidence of the upper dental and facial midlines, and an increased buccal corridor width and reduced posterior tooth display. Her dental malocclusion was characterised by a mild Class III buccal segment relationship with moderate to severe upper and lower crowding, an anterior open bite of 2 mm, an overjet of 6.8 mm, and tapered, lingually inclined buccal segments. All teeth were present, and a Bolton’s mandibular excess of 1.4 mm (3-3) and 2.9 mm (6-6) was noted.

Pretreatment photographs.
A radiographic examination was unremarkable on the OPG (Figure 2). Cephalometrically (Figure 3, Table I) a Class III skeletal relationship was evident, with a Wits discrepancy of -2.1 mm (due primarily to maxillary retrusion – SNA 72.6°). However, the Class III was camouflaged by the significant vertical disproportion, highlighted by an increased mandibular plane angle (28.6°), reduced facial axis angle (83.2°), reduced Jarabak’s ratio (56.5%), and increased lower anterior facial height (53.4%), all of which indicated a dolichofacial pattern. The maxillary retrusion, combined with a mandibular downward and backward rotation, resulted in a bimaxillary retrusive skeletal relationship (SNB 72.6°). The upper incisors were at an acceptable angulation relative to the palatal plane (112°) and the anteroposterior position relative to Na-Vert. The lower incisors were at an acceptable position relative to APo but were retroclined relative to the mandibular plane (80.7°) according to mesofacial norms.

Pretreatment OPG.

Pretreatment lateral cephalogram.
Cephalometric measurements – initial and prefinishing.
| Measurement | Standard | 18/8/2017 | 30/10/2019 | Change | ||
|---|---|---|---|---|---|---|
| SKELETAL | Maxilla | SNA | 82 ± 2° | 72.6 | 72.8 | 0.2 |
| A Point Convexity | 3 ± 2 mm | -2 | -2.1 | -0.1 | ||
| NaVert – A point | 1 mm | -1.3 | -1.2 | 0.1 | ||
| Mandible | SNB | 80 ± 2° | 72.6 | 73.0 | 0.4 | |
| Facial Angle | 87 ± 3° | 90.7 | 90.9 | 0.2 | ||
| NaVert – Po | -8 to -6 mm | 1.3 | 1.8 | 0.5 | ||
| Basal Arch Relationship | ANB | 2 ± 2° | 0 | -0.2 | -0.2 | |
| WITS | F: 0mm | -2.1 | -1.9 | 0.2 | ||
| Vertical | Md Plane Angle | 26 ± 4° | 28.6 | 27.7 | -0.9 | |
| LFH Angle | 47 ± 4° | 49.8 | 48.3 | -1.5 | ||
| Md Arc | 26 ± 4° | 35.2 | 37.6 | 2.4 | ||
| Facial Axis Angle | 90 ± 3° | 83.2 | 83.7 | 0.5 | ||
| Growth | CVMI | 1-6 | 6 | 6 | 0 | |
| DENTAL | Upper Incisors | UI to FH | 110° | 120.9 | 118.9 | -2 |
| UI to Pal Plane | 110° | 112 | 110.9 | -1.1 | ||
| UI to Na Vert | 5 mm | 6.8 | 7.6 | 0.8 | ||
| Lower Incisors | LI to Md Plane | 92.5° | 80.7 | 86.8 | 6.1 | |
| LI to Apo | 1 ± 2 mm | 0.2 | 2.4 | 2.2 | ||
| LI to Apo | 22 ± 4° | 22.1 | 27.7 | 5.6 | ||
| Interincisal | UI to LI | 130 ± 2° | 129.7 | 126.6 | -3.1 | |
| FACE DEPTH | U Face G’-Sn | 50% | 46.6 | 45.8 | -0.8 | |
| L Face Sn-Me’ | 50% | 53.4 | 54.2 | 0.8 | ||
| U Lip Sn-Stom | 33% | 30.8 | 27.7 | -3.1 | ||
| L Lip Stom-Me’ | 67% | 69.2 | 72.3 | 3.1 | ||
| PFH:AFH | 59 to 63% | 56.5 | 57.3 | 0.8 | ||
| SOFT ISSUE | L Lip – E Line | -2 ± 2 mm | -5.1 | -4.0 | 1.1 | |
| SnVert – U Lip | 1 mm | -1.7 | -0.9 | 0.8 | ||
| SnVert – L Lip | -1 mm | -4.1 | -2.0 | 2.1 | ||
| SnVert – Po’ | -3 mm | -7.6 | -8.0 | -0.4 | ||
Remaining growth was expected to be insignificant based on somatic measurements and a cervical maturation stage of CS6.
The treatment objectives were to:
-
(1)
Relieve the crowding, while respecting the periodontal limits of the dentition and avoiding negative impacts on the soft tissue profile
-
(2)
Achieve a positive overbite while maintaining or improving the vertical skeletal relationships
-
(3)
Coordinate the upper and lower arches, increase the display of the posterior dentition on smiling and reduce the buccal corridor width
The severity of the skeletal discrepancy and dental malocclusion, combined with the patient’s skeletal maturity, made her an ideal candidate for a combined orthodontic and orthognathic surgery approach. While this option was suggested and a referral made for consultation with a maxillofacial surgeon, the patient’s parents were strongly opposed to orthognathic surgery. Therefore, a non-surgical/orthodontics-only treatment plan was formulated.
The vertical management of the open bite could be achieved via posterior dental intrusion, rather than incisor extrusion. This would be beneficial for occlusal stability and aesthetics, as the incisors were optimally exposed within the face and smile. Biomechanically, this would be most efficiently achieved with TAD- or bone-plate-assisted active intrusion of the maxillary posterior dentition (while preventing lower posterior compensatory eruption). It has been proposed that clear aligners may also intrude the posterior dentition, or at least prevent posterior eruption/extrusion that commonly occurs with fixed appliances. A side effect of maxillary molar intrusion would be mandibular autorotation, which would reveal the true extent of the skeletal III morphology. Given the patient’s preference to avoid surgery, the placement of TADs or infra-zygomatic skeletal plates was not considered further.
Maxillary expansion would be favourable from a smile perspective, to increase the display of the posterior dentition on smiling, and reduce the buccal corridor width. Nonetheless, the aetiology of the buccal corridor width is multifactorial, and it was likely that the increased negative spaces would also be affected by the dynamic soft tissue activity of the lips and the maxillary skeletal retrusion. The skeletal maturity of the patient implied surgical assistance to achieve orthopaedic expansion. Alternatively, dental expansion (via cross-elastics) to dentally compensate for the transverse skeletal discrepancy was a consideration. Given the aversion to surgery, orthognathic surgical expansion was discounted. Nonetheless, the arches would be laterally expanded, and cross-elastics used to correct the dental crossbites.
Anteroposteriorly, the Class III malocclusion would necessitate the use of class III elastics and/or lower arch extractions.
Crowding was moderate in the upper arch and severe in the lower arch. A non-extraction approach could be justified based on the retrusive skeletal and soft tissue profile. However, a significant disadvantage of non-extraction expansion could be a worsening of the anterior open bite with associated flaring of the incisors. Given the level of lower crowding and the underlying Class III malocclusion, lower arch extractions were deemed acceptable to prevent the development of a reverse overjet, to assist in closure of the open bite, and to respect the periodontal limits of the dentition. An extraction pattern of two lower premolars, or a lower incisor could be considered. The lower incisor extraction pattern was chosen to allow some advancement of the lower incisor position, while a non-extraction approach in the upper arch would maintain upper lip support. Furthermore, the extraction of a lower incisor would be beneficial in managing the Bolton’s discrepancy (mandibular excess). A Class III buccal segment tendency and/or increased overjet were acceptable compromises to achieve the treatment goals.
With these considerations, it was planned to treat the patient by the extraction of the lower right central incisor (41), by transverse dental arch expansion, and the management of the vertical relationships by avoiding mechanics that would tend to extrude posterior teeth. The 41 was chosen for extraction as it allowed for alignment of the remaining lower incisors, largely through mesial crown tip. In addition, there was slightly less gingival attachment on 41 and the tooth had a small incisal fracture. The extraction of 31 would perhaps have been more advantageous for the alignment of 32 but would have necessitated a more challenging bodily translation of 41 rather than mainly mesial crown tip. It was considered that clear aligner therapy would be beneficial from a vertical perspective, by minimising the extrusive mechanics inherent to fixed appliances. Figure 4 shows the prescribed finishing position of the dentition. Vertical control was augmented by the placement of occlusal bite pads in the aligners themselves on the occlusal of the molars in both arches to provide a bite-plane effect posteriorly (Figure 5). Furthermore, the absence of fixed appliances serving as a predisposing factor is favourable in managing concerns regarding the patient’s oral hygiene and cariogenic dietary intake.

Invisalign® predicted treatment outcome.

Invisalign® predicted outcome showing attachments.
| Date | Stage |
|---|---|
| 16/5/2018 | Aligners inserted – 29 aligners in initial treatment |
| 17/4/2019 | 32, 12, 22 not tracking at aligner 29 Attachments removed and scan for Additional Aligners |
| 15/5/2019 | Bonded new attachments. 26 aligners in Additional Aligner order Commence cross-elastics on left side at Aligner 1 |
| 18/7/2019 | Aligner 6 12, 22 not tracking. Commence bootstrap elastics |
| 16/10/2019 | Aligner 12 31, 42 not tracking vertically so attachments removed to allow passive vertical settling, Commence powerarm mechanics for 32 |
| 30/10/2019 | Prefinishing OPG and Lateral Ceph ordered |
| 26/2/2020 | Completed aligners; removed bonded attachments, bonded retainers |
The total number of appointments was 16, including one emergency appointment (lost buttons 12 and 22 labial).
For retention, an upper 2-2 bonded hygienic and lower 3-3 bonded straight retainers (bonded to every tooth) were placed. Upper and lower vacuum-formed retainers with all teeth occlusally covered were also issued for night-only wear.
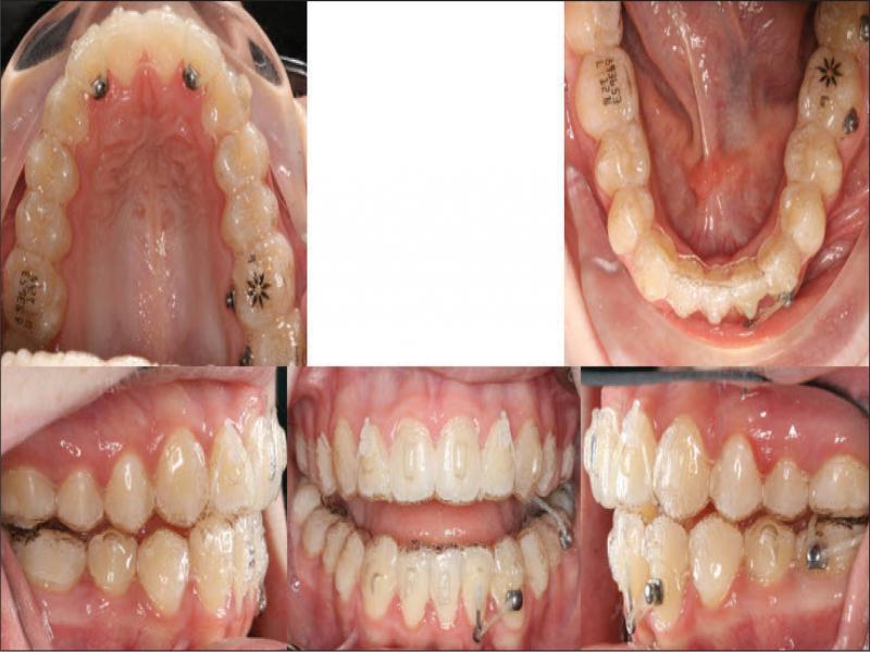
After an active treatment period of 21 months the treatment goals were assessed as complete. The open bite and maxillary constriction were resolved, and an acceptable standard of alignment had been achieved in both arches (Figures 6–9).

Actual treatment outcome.

Final photographs 26.02.2020.

Prefinishing OPG 30.10.19.

Prefinishing lat cephalogram 30.10.19.

Cephalometric superimposition (Bjork) pretreatment vs prefinish.
Auxiliary treatment was successfully employed to assist poorly tracking tooth movements, rather than submitting the case for additional aligner orders (Figure 11):

Auxiliary treatment during aligner treatment.
-
a)
The left buccal transverse relationship was corrected by the assistance of posterior cross-elastics (¼” 4.5 oz worn from the buccal of the lower left molars to the palatal of the upper left molars).
-
b)
Power arm mechanics were used to assist the uprighting of 32. The initial ClinCheck® plan perhaps failed due to poor attachment choice for this tooth. This was rectified on refinement, when a long vertical attachment was placed to assist root uprighting. Nonetheless, even with the appropriate attachment, auxiliaries were required to assist in completing desired root uprighting of this tooth. This demonstrates the occasional incomplete expression of desired tooth movements by aligners (Figure 12).
-
c)
Both upper lateral incisors had bonded appliances placed labially and lingually for the application of bootstrap elastics (3/16” 3.5 oz) to extrude these teeth into the aligner, after they had intruded unwantedly, despite the presence of appropriate attachments on the teeth.

Heat map definition: Scale is 1 mm either side of ideal, in 0.1 mm gradations. Deviations that are moving out of or away from the reference model are towards the red end of the spectrum. Deviations that are moving into the reference model are towards the blue end of the spectrum. All deviations greater than 1 mm are recorded as either solid red or solid blue.
Aligner treatment, augmented by auxiliary treatment to address the noted movement shortfalls, allowed achievement of the biomechanical treatment goals:
-
a)
Vertical control was excellent, and the anterior open bite satisfactorily closed. No molar eruption and associated downward/backward mandibular rotation was noted. In addition, no active molar intrusion was evident, as the open bite closed via incisor extrusion. The stability of this correction will need to be monitored during the retention period.
-
b)
The transverse maxillary dental expansion was achieved using aligners, supplemented with cross-elastics.
-
c)
The closure of the lower incisor extraction space allowed maintenance of the anterior overjet and resolution of the crowding, with a little lower incisor advancement but no undesirable gingival effects.
-
d)
There was no detrimental change to the soft tissue profile resulting from the extraction of a lower incisor.
The described case demonstrated the effectiveness of using clear aligners to treat a patient who presented with a mild Class III malocclusion and an anterior open bite due, in part, to excessive vertical facial proportions. The use of aligners with associated bite ramps allowed the extrusion of the anterior teeth without the extrusion of the molars that commonly occurs when using fixed appliances. The maintenance of the vertical position of the molars can be seen in both the cephalometric and the .stl model superimpositions.
No mandibular autorotation was evident from the pretreatment to the post-treatment superimpositions. This would have been expected if the molars had intruded and, indeed, a posterior intrusive effect has anecdotally been attributed to the use of aligners in orthodontic treatment. 12 A lack of clinically significant mandibular autorotation was a favourable outcome in this case as the patient’s mild Class III relationship did not worsen, which helped achieve a positive overjet.
Lower incisor extractions can be useful in a number of clinical situations. In adults presenting with a mild Class III skeletal pattern and modest crowding, the alignment of the lower teeth can be achieved without excessive anteroposterior movements of the incisors to create a positive overjet without compromising the periodontal attachment of the teeth. The decision to perform a lower incisor extraction helped to achieve the goals of providing a positive overjet and overbite without inducing a loss of attachment on the labial surface of the lower incisors. In addition, undesirable soft tissue profile changes were avoided.
Addressing the transverse discrepancy of a narrow upper arch in a non-growing patient can be problematic using either fixed appliances or aligners. Whilst there is limited evidence regarding the effectiveness of aligners in achieving prescribed maxillary dental expansion, studies to date recommend incorporating overcorrection into the ClinCheck® prediction and other auxiliary methods of expansion. 11 The use of cross elastics posteriorly enabled the achievement of sufficient expansion to correct the posterior crossbites.
The failure of the teeth to track according to the ClinCheck plan results in poor aligner fit on some teeth, particularly the lateral incisors. This could be due to poor patient compliance with insufficient hours of aligner wear per day, or perhaps due to the biomechanical limitations of the aligners. As the patient was responsible in wearing the elastics, it was determined that poor compliance was not the reason for the poor expression of movements. This may have been prevented by using different auxiliaries such as long vertical attachments and by prescribing the use of ‘Chewies’ to seat the aligners consistently from the initial aligner. The delay in bonding the attachments at aligner 3 instead of at the treatment start may have further compromised the mechanical efficiency of the aligners to produce the desired tooth movement. Nonetheless, these shortfalls were addressed via the use of auxiliary mechanics.
A noteworthy feature of this case was the ability to use three-dimensional superimposition and metrology software (Geomagic Control X; Figures 12–14) to assess the precision by which the achieved outcome matched the intended outcome as prescribed using the ClinCheck® program prior to treatment. The superimpositions were performed using the best-fit surface registration (global and fine) feature with a 25-iteration count. 14 The superimposed .stl files demonstrated only minor variations in the three dimensions between the intended and achieved outcome. This shows that aligner wear, supported by the appropriate use of auxiliaries, can precisely achieve a prescribed outcome. Excellent agreement between .stl files was shown in the three planes of space and for tooth alignment. The software also generates heat maps that are displayed at a maximum 1 mm resolution. The red end of the scale indicates tooth position that is moving out of or away from a reference model, while the blue end of the spectrum indicates a tooth that is moving into a reference model. The heatmaps derived from the superimposition of the initial and predicted models are of limited use, as any movement greater than 1mm is simply shown as solid red or solid blue, depending on the direction of movement. In addition, there was no fine discrimination beyond the selected 1 mm scale. While an alteration of the scale is possible, it causes a loss of discrimination at the fine end of the scale. Heatmaps, therefore, are considered more useful when comparing the predicted model to the achieved model, in which the majority of movements could be expected to have tracked reasonably closely, in addition to those which are not readily identifiable. In the current case, the example of the 37 and 36 is illustrative, as these teeth exhibited colours indicative of a discrepancy of 1 mm or greater from the predicted outcome. A more detailed analysis of individual tooth movement shortfalls is possible using this software, and a paper outlining the applications of this technology in more detail has been submitted for publication.

Maxillary arch .stl superimpositions. Yellow – Initial .stl, Green – Final Outcome .stl and Heat Maps (Deviation is 1 mm either side of Nil, reference model is the Initial .stl).

Mandibular arch .stl superimpositions. Yellow – Initial .stl, Green – Final Outcome .stl and Heat Maps (scale is 1 mm, reference model is the Initial .stl).

Maxillary arch .stl superimpositions. Yellow – Predicted Outcome .stl, Green – Final Outcome .stl and Heat Maps (scale is 1 mm, reference model is the Predicted Outcome .stl).

Mandibular arch .stl superimpositions. Yellow – Predicted Outcome .stl, Green – Final Outcome .stl and Heat Maps (scale is 1 mm, reference model is the Predicted Outcome .stl).
Excellent agreement between the predicted and final models in the upper arch is readily seen, as most teeth fell within 0.4 mm of the prescribed position. An overall tendency for a minor shortfall in buccal expansion of the upper arch was noted. In the lower arch, the agreement was close between predicted and achieved models, although the lower incisors were slightly more lingual, and the 36 and 37 failed to constrict as much as predicted. The slightly lingual position of the lower anterior teeth at the end of treatment in comparison with the ClinCheck® prediction well matches the findings reported by Gaddam et al. 14
This case also demonstrates the usefulness of auxiliaries to troubleshoot unexpected issues that can arise because of aligner treatment. Extruding high, nontracking lateral incisors, bonding buttons to utilise elastics to correct crossbites and root uprighting have all been demonstrated in this case.
As there is a tendency for relapse after any orthodontic treatment, it will be important to follow the patient beyond the immediate post-treatment occlusal and aesthetic result to assess long-term stability.
In conclusion, the advantages of using the Invisalign appliance for a case involving a lower incisor extraction and anterior open bite have been highlighted. These can be summarised as:
-
An extremely accurate clinical expression of prescribed tooth movement, given good patient cooperation, clinical monitoring and the appropriate use of auxiliary treatment and additional aligners.
-
Excellent vertical control.
-
Efficient clinical treatment related to overall treatment time and chairside appointments.
-
Maintenance of oral hygiene throughout orthodontic treatment.