Mr X was a male in his mid-twenties, of Asian descent. He moved to New Zealand with his new wife in mid-2015, and returned to his home country for a short holiday in late 2015. Mr X was admitted to Christchurch Hospital on January 16th, 2016. He had no documented medical history, and the only known family history was from his mother – an insulin-dependent diabetic – which became another issue we had to address for this family throughout the course of the patient’s care.
On January 18th, Mr X was given a potential diagnosis of Tuberculosis (TB), with confirmation of this diagnosis on January 19th. Mr X was also confirmed to have a miliary strain of TB, starting in his lungs, only to spread and cause TB Meningitis.
Throughout the course of his admission, Mr X was transferred between various wards, including an Intensive Care Unit admission, before eventually transferring to our neurosciences ward for neurological observation postoperatively following a ventriculoperitoneal (VP) shunt insertion.
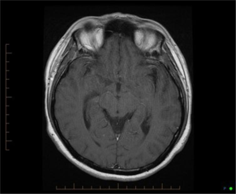
Pictured above is the patient’s admission MRI, which also showed subtle changes indicative of TB Meningitis.

Whilst on our ward, Mr X remained under the care of the General Medical team, as well as neurosurgery, while also receiving regular consults from neurology, infectious diseases, and standard multidisciplinary teams such as physiotherapy, speech and language therapy, and dieticians.
Milary TB is a form TB where bacteria first enters the host by droplet inhalation (Ramachandran, 2014). This, at first a localised infection, usually starts within the lungs causing tiny tubercles that appear like “millet seeds” in size and appearance, hence the name “miliary” (Sharma, Mohan & Sharma, 2012). These seed-like infective sites can spread to other regions through the blood-stream that eventually reach the brain causing small abscesses that burst in the subarachnoid space resulting in TB Meningitis (TBM) (Ramachandran, 2014). The abscesses appear on MRI’s as small lesions (Cherian & Thomas, 2011), such as in the scan on the previous slide.
Patients with Miliary TB usually present with fever, anorexia, weightless, weakness and a cough (Man et al., 2010; Sharma, Mohan & Sharma, 2012). Often small skin lesions exist and can help with the diagnosis. Suspected TBM patients can present with headaches, seizures and signs of intracranial pressure (Cherian & Thomas, 2011). Hyponatraemia may indicate the presence of TBM and can also be a predictor of mortality (Sharma, Mohan & Sharma, 2012).
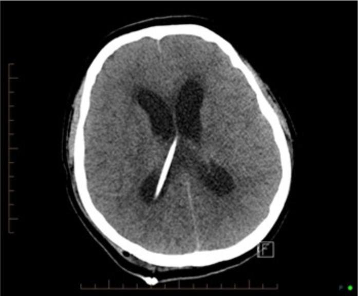
Pictured above is one of the scans the patient had during February showing enlarged ventricles indicative of hydrocephalus from the blocked shunt.

Complications of TBM include obstructive hydrocephalus, caused by the release of a thick exudate from the bacteria which causes blockages in cerebrospinal fluid (CSF) flow (Rock, Olin, Baker, Molitor & Peterson, 2008) leading to neurological deterioration. The fluid from the burst abscesses commonly cause vasculitis which also can lead to cerebral infarction or stroke (Rock, Olin, Baker, Molitor & Peterson, 2008; Man et al., 2010; Sheu et al., 2010; Radwan & Sawaya, 2011.). Vasculitis is inflammation of the blood vessels. This causes them to narrow, leading to loss of perfusion to the brain (NHLBI-NIH, 2014).
The treatments for Mr X included the TB specific medications Rifampacin, Isonazid, Pyrazinamide and Ethambutol, which are the four main anti-TB drugs, and are generally used for a duration of 12 months (Man et al., 2010; Horsburgh, Clifton & Lange, 2015; Heemskerk et al., 2016.). Dexamethasone was also used as steroid therapy to reduce cerebral oedema and inflammation, and attempt to prevent CSF blockage (Sheu et al., 2010; Horsburgh, Clifton & Lange, 2015; Heemskerk et al., 2016).
Unfortunately, despite the use of dexamethasone, Mr X did develop hydrocephalus, and a VP shunt was inserted. Due to excess protein in the CSF, the shunt continued to block and it was replaced with a short term external ventricular drain (EVD) with the hope that the protein would reduce or a bigger shunt could be found from India, where TB prevalence is higher.
In addition, Mr X also had persistent hyponatraemia, and due to this he was put on constant fluid restrictions of 600-800ml per day. Towards the end of his stay, Mr X’s sodium normalised and further hydration was able to be given.
Pictured above is a scan of the patient’s brain. The white area circled in red shows the placement of the shunt following the first surgery.

Furthermore, throughout Mr X’s time on our ward, he suffered small strokes, leading to decreased GCS and swallow ability, resulting in the insertion of a nasogastric tube for both nutrition and medications.
The final day commenced on the night shift of 1st-2nd March. It began with the previous shift handing over that Mr X’s current GCS was 10 (E4 V1 M5), with a high respiratory and heart rate. During the night shift, Mr X’s GCS dropped further, eventually reaching a GCS of 6, with sluggish pupils and vitals increasing significantly. At this point, another medical review was called. Throughout this period, the patient’s EVD remained patent, ruling out further hydrocephalus as the cause. Despite reluctance from teams, an intensive care team was eventually called, and an urgent CT head was arranged. To note, at this point, the patient was still for full resuscitation despite the potential poor outcomes. The patient’s wife was then contacted, she was informed of her husband’s status, and she arrived at the hospital to join his parents at his bedside. By 0645hrs, the patient’s GCS remained at 6, however he had become vitally more unstable, with a notable temperature of 39.5°C and heart rate of 189 beats per minute, with a non-responsive right pupil. Shortly after, he was accompanied to his CT scan.
On arrival back to the ward the neurosurgery team had arrived and we requested a review but were told his status was ‘not an acute concern’. We then rang his general medical team who were unaware of his deterioration. They quickly arrived at the ward and the results of the CT were discussed between teams. The CT showed a large brain stem stroke. The decision was made to have an urgent family meeting and a Chinese doctor was asked to translate for Mr X’s parents. The extremely unwell status of the patient was explained to the family and they were told “given his current clinical condition and context we do not believe he will recover”. The family were told that there was a high chance he would pass away today, and that no intervention would be beneficial. At this point Mr X’s wife became distraught and fainted. Resuscitation status was finally discussed with the family soon after and despite his parents wish for him to be resuscitated no matter the outcome; the final decision was made by his wife, as his next of kin, for him to be not for resus (NFR). The NFR status form was then filled out and Mr X confirmed officially as NFR. Throughout the day treatment was continued, the EVD was still patent, intravenous antibiotics and medications were still given with patients vitals decreasing throughout the day. At 1230 vitals were unable to be obtained, the patient was noted to be posturing, and at 1258 Mr X took a last breath and passed away surrounded by his family.
During Mr X’s treatment, one of our major challenges as nurses was the issue of attempting to communicate information and concerns to all the appropriate medical teams.
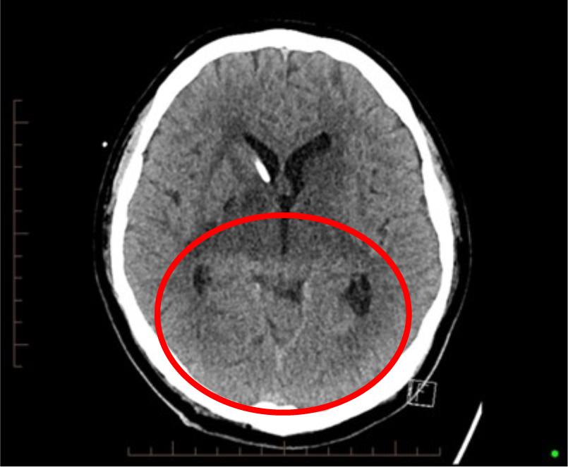
Pictured above is the result of the patient’s urgent CT head taken the morning that the patient passed away. It shows a large bilateral basal ganglia and thalamic infarct.

Within our hospital there is a clear-cut difference between teams such as medical and surgical, especially out of normal hours, so making the right people aware was difficult. There was a lack of clear guidelines around which issue needed to be reviewed by which team, leading to delays in decisions by the appropriate people.
Collaborating between the teams involved was also difficult, and the family was unfortunately told differing information from Mr X’s health teams, as each team reiterated their own specialty. For example, the neurosurgical consultant told the family early on that the patient could die, but the family attributed this information to the upcoming surgery, not the illness as a whole. Also on the day before his death, Mr X was told that his TB was well controlled and improving, however this was in reference to the pulmonary TB and not the TBM occurring in his brain which was still a serious concern.
Language barriers were also an issue due to the family not speaking much English. Mr X’s wife, however, spoke English well, and as a nurse herself understood most of what was happening, but as his parents spoke little to no English, they unfortunately used his wife as a translator. This put her in a difficult situation, often translating information they did not want to hear.
The cultural differences between our health system and that of their native country meant the family did not always understand or agree with some health interventions. Unfortunately they felt the need to get the embassy of their country to be involved and come to the hospital demanding health information legally they could not be given. They also gained advice from an expert on TB in their country and asked the surgeons to change treatments accordingly, despite the fact they were not aware of the specifics of the case. The parents requested a traditional herbal medication to be given, however on discussion with the pharmacist this was found to interact with other medications the patient was on and was toxic to the body.
The family found this difficult to understand despite the translators used. The day the patient died the family were found to be preparing this medication for the patient and despite the above interactions, due to the patient’s condition, approval was given for this medication to be administered via nasogastric tube, and not orally like the family was attempting to give in desperation.
On reflection and discussion around their culture following this case we now understand that their actions were all very normal for them but were foreign to us. Nurses need to remember that different cultural beliefs can influence preferences, prioritisations of needs, communication between family and their understanding of diagnoses and outcomes and to take this into account when nursing patients of different cultures (Singleton & Krause, 2009).
Mr X’s mother disclosed that she had brittle diabetes and was running low on insulin, as she did not expect to be in the country that long. The issue was raised many times from staff and her husband that she was not adequately caring for her nutrition and rest needs leading to further family stress. She also needed to be referred onto a GP for an insulin refill, incurring high costs for the family.
Mr X was nursed in an isolated environment in a side room due to his diagnosis, resulting in one-on-one care for weeks on end. Because of this we felt quite isolated in nursing this patient leading to our colleagues not fully understanding the severity of the situation and our response when he passed away.
On reflection, this was an incredibly difficult case that we both struggled with at times, resulting in this case study. Working with this patient so intensely caused us to learn a lot about our practice as nurses. We have both learned a lot regarding cultural difficulties in supporting different cultures and their health, especially when it comes outside “the norm”. It made us more aware of just how much our culture can influence our nursing care.
Advocacy was also a huge issue in this case, and helped us to learn to become stronger in making ourselves heard when we feel we need to voice what our patient cannot. Resuscitation status was a particularly big issue in this instance as we both believed we should have gone that little bit further to make sure this issue was discussed earlier and not in the unfortunate scenario of being discussed mere hours before Mr X passed away.
When we called Mr X’s wife in her home country for consent prior to this case study she expressed the concerns that we had already felt around the collaboration of teams and the information being given. She felt conflicting information was quite frequently given especially in the days leading up to his death and she was questioning why the family was informed that he was stable the day before he died.
We had expressed concerns around this during a debrief for this case and there was a plan for the teams involved to have further discussion around ensuring information given was the same across teams.
The aim of this case study was to bring awareness of how multiple teams contributing to a patient’s case can bring complications, without even realising it. We wanted to promote the importance of communication between teams and to show an example of where this went wrong. We also wanted to educate about cultural differences and how important they are to consider when nursing patients.