Progressive development of civilisation results in an increase in production and consumption, and thus increased accumulation of waste. A significant part of that waste are packaging materials made from polymers of petrochemical origin. They are difficult to remove from the environment due to the long degradation times and hazardous decomposition products. The decomposition time of conventional polymers is estimated in tens, hundreds, and even thousands of years. In addition, non-renewable resources (mainly crude oil) are used for their production, and the energy used in the production process is difficult to recover. In response to these challenges, alternatives to conventional polymers have been sought. The industry focused on the production of plastics is now paying increasing attention to biopolymers of natural origin, which unlike the synthetic ones, are easily decomposed by soil microorganisms, and are broken down into non-toxic compounds such as carbon dioxide and water. On the other hand, biopolymers are similar to synthetic polymers in terms of their physicochemical properties [2, 12, 19, 39]. An interesting example of such biopolymer is poly3-hydroxybutyrate (PHB), which has already found wide applications in the industry, as well as areas of medicine and pharmacy. PHB is synthesised and accumulated as a reserve material in the cells of many types of microorganisms [2, 21]. Across the world, research aimed at finding microorganisms that are particularly effective in the biosynthesis of poly-3-hydroxybutyrate, has been carried out for over 20 years.
In the rich and largely unidentified bacterial flora inhabiting the surroundings of geological deposits, one can find representatives of various groups of microorganisms. In samples obtained from hard coal deposits and salt, methanotrophic bacteria have been increasingly identified by specialists in the field of environmental biotechnology as being particularly valuable objects of studies. Methanotrophs are Gram-negative bacteria, which use methane as the main source of carbon and energy in their life cycle. These belong to the Proteobacteria family and are classed as methylotrophs [27, 32, 33].
The main characteristic feature of methanotrophs is the ability to oxidise methane to methanol. This reaction is catalysed by a specific methane-monooxygenase (MMO) enzyme. Monooxygenase oxidises methane to methanol, and the role of MMO in this reaction comes down to breaking the double bond in the O2 molecule. One of the oxygen atoms formed in this way is attached to the methane molecule resulting in the formation of methanol, while the other oxygen atom is reduced to H2O. Methanol is subsequently further oxidised to formaldehyde by methanol dehydrogenase, and formaldehyde is converted to formate by formaldehyde dehydrogenase. The last step is the oxidation of formate to carbon dioxide and water by formate dehydrogenase, which are the final products of the reaction. There are two variants of MMO, which initiate methane oxidation: cytoplasmic soluble methane monooxygenase (sMMO) and particulate methane monooxygenase (pMMO). The role of the functional marker of methanotrophs is played by pMMO, because it occurs in the cells of these bacteria much more widely than the sMMO. In addition, pMMO is more substrate-specific and more active in the oxidation of low molecular weight hydrocarbons such as methane. Based on selected methanotrophs (Methylococcus cupsulurus and Methylosinus trichosporium OB3b), it was shown that the production of a given MMO variant is dependent on the availability of copper ions. The pMMO form arises when the optimal amount of Cu2+ions is available in the environment, while sMMO is synthesised in conditions deficient of Cu2+. The presence of O2 and NADH is also required for the proper functioning of both types of MMO [29, 31, 42, 44].
Methanotrophic bacteria are a large group of microorganisms occurring in diverse environments (both land and water); however, they particularly like to settle in places characterised by increased methane production such as swamps, peat bogs, rice fields, or various geological deposits. Bacteria of this type have the ability to oxidise methane to carbon dioxide using atmospheric oxygen. Methane is a gas present in the atmosphere at a concentration of approx. 1000 times smaller than that of carbon dioxide, but has a much stronger greenhouse effect than CO2. Biological oxidation of methane is considered as one of the most effective processes for eliminating excess of this greenhouse gas from the atmosphere. Methanotrophs are estimated to consume about 10% of the methane in the atmosphere. They also conduct intensive oxidation of methane contained in soils and waters, contributing to the minimisation of the greenhouse effect. For this reason, methanotrophs play a significant role in the running of the global methane cycle [13, 15].
Over the past twenty-five years, many extremophilic groups of methanotrophic bacteria have been discovered, among them: halophiles, thermophiles, acidophiles, alkalophiles, and many others. Due to their adaptations, they can successfully survive without any light access e.g., in coal mines, highly saline environments such as salt mines and at low or high temperatures (in the range from 4°C to over 70°C), thus they can be found in places with various climates. These organisms are observed in both alkaline and acidic environments [16, 35].
The adaptation potential of methanotrophs is enormous, and the structural and functional conditions from which this potential results are not yet fully understood. Currently, two main adaptation mechanisms are being used by these bacteria. The first one is based on the intracellular synthesis and accumulation of organic osmoprotectants such as: sucrose, glutamate, ectoine, and potassium ions. The second type of the adaptation mechanisms are modifications in the structure and the function of cell membranes, often including: changes in the arrangement of phospholipid membranes and increased concentration of surface glycoproteins on the S-side [15].
Based on the preferred concentration of methane in the environment, methanotrophs have been divided into two groups. The first includes methanotrophs, which successfully reside in atmospheric methane concentration due to high affinity for CH4. The second group consists of methanotrophs preferring much higher methane concentrations than those found in the atmosphere, because they have a low affinity for CH4 [31].
Methanotrophic bacteria are a diverse group of microorganisms. They exhibit various preferences as to the chosen ecosystems, methane concentrations in the atmosphere, temperature or the pH of the environment. They use different types of methane monooxygenase (MMO) enzymes during oxidation of the substrate. It is also known that some types of methanotrophs are able to synthesise poly-3-hydroxybutyrate (PHB) as a backup material. The reasons for these differences are to be found in the metabolism of methanotrophs, and more specifically in the carbon assimilation methods [15, 16, 27].
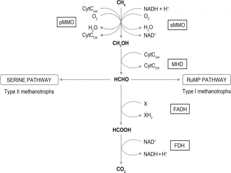
In the course of the enzymatic reactions, methane is gradually oxidised to form numerous intermediates. Two major pathways for carbon assimilation are distinguished: the ribulose monophosphate (RuMP) and the serine pathways. Initially, methane is oxidised by MMO to methanol. Further oxidation of formaldehyde may have a different course, depending on the pathway of carbon assimilation. Based on the type of the coal assimilation pathway and the membrane structure analysis, methanotrophs are divided into type I or type II. In addition, within type I, two subgroups are differentiated: type 1a and type 1b. Type 1a of methanotrophs oxidises formaldehyde using the ribulose monophosphate route, while type 1b uses the ribulose-serine pathway for this purpose. Type 1a methanotrophs accumulate much larger amounts of PHB than the type 1b ones. Representatives of the type 1a methanotrophs are, among others, bacteria of the genera: Methylobacter, Methylomicrobium, Methylomonas. Methylosarcina, Methylosphaera. Types of bacteria belonging to type 1b are Methylococcus and Methylocaldum. Methanotrophic bacteria classified as type II perform carbon assimilation according to the serine pathway, which translates into their decidedly highest efficiency of PHB accumulation. Type II is represented by methanotrophic bacteria of the genera: Methylosinus, Methylocystis, Methylocapsa and Methylocella [6, 24, 34, 45] (Fig. 1).

Methane oxidation and carbon assimilation pathways conducted by type I and II methanothrophs. Explanations: pMMO – particulate form of methane monooxygenase; sMMO – cytoplasmic methane monooxygenase; cytC – cytochrome c; MDH – methanol dehydrogenase; FADH – formaldehyde dehydrogenase; FDH – formate dehydrogenase. Based on Zhang et al. [45].
Poly-3-hydroxybutyrate is a reserve material of bacterial cells and its synthesis takes place under physiological stress conditions. Production and storage of PHB occurs particularly intensively in the shortage of biogenic elements such as: nitrogen, phosphorus, magnesium, and simultaneous excess of the carbon source in the environment [7, 22, 23].
The individual phases of the PHB synthesis are catalysed by specific enzymes (Fig. 2). Their presence determines the correct course of individual reactions. The biosynthesis of poly-3-hydroxybutyric acid begins with the condensation of two molecules of acetyl-CoA catalysed by the β-ketotiolase enzyme. The resulting acetoacetyl-CoA is reduced to 3-hydroxybutyrate-CoA under the influence of acetoacetyl-CoA reductase. PHB synthase catalyses the polymerisation reaction of 3-hydroxybutyrate-CoA molecules (monomer units) to poly-3-hydroxybutyrate. During the elongation of the polymer, the PHB synthesis remains covalently bound to the molecular chain [17, 46].

The course of the PHB biosynthesis including the enzymes catalysing subsequent reaction steps and the phbCAB operon genes encoding them. Based on Madison et al. [17].
Further enzymes in the PHB synthesis pathway are encoded by the genes from the phbCAB group and so: the phbA gene encodes β-ketothiolase, phbB is responsible for the formation of acetoacetyl-CoA reductase, and phbC is the gene encoding PHB synthase. The presence of phbCAB genes in the genome of methanotrophic bacteria is a determinant for the efficient synthesis of PHB. These genes were identified in the majority of type II methanotrophs; however, they were not detected in type I methanotrophs. This confirms the hypothesis regarding type II methanotrophs being the most efficient producers of poly-3-hydroxybutyric acid [4, 17, 24].
Studies on the PHB pathway have shown that the key enzymes, which catalyse individual reactions, exist as isoforms. The presence of different structural forms of the same enzyme causes differences in the course of the enzymatic reaction and affects the structures of the resulting products. On the other hand, the large similarity in the structures of isoenzymes results in different variants of the same enzyme having identical elemental composition and similar molecular weight. They are also characterised by similar physicochemical properties [37].
The β-ketotiolase enzyme exists in three forms, which are responsible for acetylation of substrates and which differ in the length of the carbon chains. The isoenzyme showing selectivity for short-chain substrates (containing 2 or 4 carbon atoms) catalyses the reversible transfer of the acetyl group to the acetyl-CoA molecule, thus playing a key role in the biosynthesis of PHB. The activity of the second β-ketothiolase isoenzyme is associated with substrates with a medium carbon chain length (4 to 16 carbon atoms), and its role is the β-oxidation of fatty acids. The third form of this enzyme is reserved for eukaryotic cells in which β-ketothiolase catalyses the condensation of acetyl-CoA molecules to acetoacetyl-CoA. In eukaryotes, acetoacetyl-CoA acts as a precursor in the synthesis of steroids [1, 34].
Another enzyme involved in the synthesis of PHB is acetoacetyl-CoA reductase, which carries out the enzymatic reduction of acetoacetyl-CoA to 3-hydroxybutyrate-CoA. It occurs in the cell in the form of two isoenzymes, one of which is specific for NADH and the other for NADPH. As a result of the reaction carried out by the first or second type of acetoacetyl-CoA reductase, 3-hydroxybutyrate-CoA molecules with different spatial configurations are formed. The D(−)-3-hydroxybutyrate-CoA product is formed when the reduction is catalysed by an isoenzyme specific for NADPH. Conversely, the isoenzyme dependent on NADH determines the formation of L(+)-3-hydroxybutyrate-CoA. Due to the fact that further PHB synthesis takes place only with the participation of D(−)-3-hydroxybutyrate-CoA, the L(+)-3-hydroxybutyrate-CoA product, formed in the cell concurrently, requires enzymatic conversion to the D(−) configuration [4].
PHB synthase is the third important enzyme in the poly-3-hydroxybutyric acid synthesis pathway. It catalyses the polymerisation of D(−)-3-hydroxybutyrate-CoA molecules leading to the elongation of the polymer chain and thus to the formation of poly-3-hydroxybutyrate. Currently, three PHB synthase variants have been identified, and the functions of two of them have been thoroughly studied. The first of the isoenzymes shows specificity for CoA derivatives and short chain carboxylic acids (composed of 3 to 5 carbon atoms). The second form of the PHB synthase is specific for CoA derivatives with medium length chains (6 to 14 carbon atoms). The isoenzymes exist in the dissolved form (unstable) or remain associated with the synthesised PHB granules (forming stable structures) [37, 41].
Poly-3-hydroxybutyrate is the cell’s reserve material, which in the conditions of carbon source deficiency, initiates the PHB degradation process. Enzymatic degradation of poly-3-hydroxybutyric acid is carried out by appropriate depolymerases, 3-hydroxybutyrate dehydrogenases and acetoacetyl transferases. The last step is the reversible conversion of acetoacetyl-CoA to two acetyl-CoA molecules, which is controlled by β-ketothiolase. The PHB degradation is used to obtain a source of carbon and energy, and thus maintain metabolic continuity. The PHB synthesis and degradation occurs in the cell cyclically, and thereby mitigates the effects of physiological stress [37, 46].
PHB belongs to a large group of biodegradable polymers known as polyhydroxyalkanoates (PHA). An indepth characterisation of PHB also requires providing basic information regarding the structure of the polyhydroxyalkanoates themselves. The compounds are composed of hydroxycarboxylic acid residues present in the molecule in a number that may vary from several hundred to tens of thousands, which translates directly into the high molecular weight of polymers. The general monomer formula can be represented as follows: -[HO-CH(R)-CH2-COOH]-, in which R is an alkyl substituent. PHA monomers, which are actually linear fatty acid molecules, can reach various sizes, and therefore may vary in the number of carbon atoms in their structure. The length of the alkyl substituent determines the physical properties of the polymer. As a result, polyhydroxyalkanoates with different flexibilities are formed. Each monomer contains a hydroxyl group at one end of the chain, and a carboxyl group at the other. Such arrangement of the functional groups in the fatty acid molecule allows the formation of an ester bond between the hydroxyl group of one monomer, and the carboxyl group of the other. Due to the abundance of ester bonds linking the numerous PHA monomers, they are classified as polyesters [11, 38, 39].
Polyhydroxyalkanoates are being increasingly considered as an alternative to synthetic plastics. PHAs are accumulated inside the cells of many bacteria in the environment of nitrogen deficiency and carbon source excess, and their content in dry cell mass reaches up to 80%. The possibility of harvesting polyhydroxyalkanoates from microbial cultures puts them in opposition to synthetic polymers, production of which consumes large amounts of non-renewable resources (mainly petroleum). The appropriate length of the alkyl radical in fatty acids allows the acquirement of PHAs with expected mechanical properties (from hard elastomers, through fragile and brittle materials, to flexible foils). In addition, PHAs are fully biodegradable, and the enzyme responsible for this process is esterase. Consequently, unlike synthetic polymers, PHAs do not remain in the environment, polluting and creating a serious threat to nature. Given all these aspects, PHAs are considered as the main raw material for the production of packaging in the future. It is known that the packaging production is a large branch of industry with a wide range of applications, and the use of biodegradable polymers on a big scale will be beneficial to the environment. While it is a significant application of PHAs, it is not the only one. Owing to the diverse properties of PHAs, attempts are being made to employ them in the medicine and dentistry areas as implants, and in the pharmaceutical industry in the design of experimental drugs [9, 14, 25, 28].
The history of the discovery of poly-3-hydroxybutyrate (PHB) dates back to 1925, when the French researcher Maurice Lemoigne noticed the ability of bacteria to synthesise PHB under physiological stress caused by nutrient deficiency and carbon source excess. Later studies demonstrated that poly-3-hydroxybutyrate accumulates in the cells of microorganisms classified as: Alcaligenes, Azotobacter, Bacillus, Methylobacterium, Oscillatoria, Pseudomonas, Rhizobium, Rhdococcus, Spirillium. PHB is a backup material utilised when other substrates, which are sources of energy and carbon, are not available. It is present in the cells in the form of grains whose diameter varies from 100 to 800 nm. The diversity in the size and the amount of PHB grains present in the bacterial cell is mainly a result of diversity among microorganisms, and the conditions under which bacteria develop [3, 10, 22, 40].
Molecules of 3-hydroxybutyric acid form a natural polyester, such as poly-3-hydroxybutyrate. The molecular weight of the polymer is not constant as it is dependent on the amount of interconnected monomers. These can be present in a number up to 20,000 in a single PHB chain. Despite such complexity, the PHB molecule is characterised by a regular and organised structure. The polymer chains form a helix, and the side groups attached to it are directed from the center of the helix. Based on the positioning of almost all side groups in the same direction, PHB is classed as an isotactic polymer. The polymer structure promotes tight packing of the chains, and therefore the formation of crystals. The crystalline form of the polymer affects its mechanical properties, such as stiffness and brittleness. In addition, poly-3-hydroxybutyrate is an optically active compound; however, the center of chirality of each repetitive monomer occurs in the R absolute configuration [2, 30].
The majority of household waste consists of used plastic packaging, which is transported to landfills every day, contributing to an increase in the amount of residual waste. At the same time, such materials are poisonous to the air, water and soil as a result of their combustion, or long-term degradation in the environment [28].
Biopolymers do not cause such problems. The advantage of biodegradable polymers over synthetic polymers stems from their low persistence in the environment, and harmless products generated during their decomposition. This is of crucial importance, considering the increasing difficulties associated with waste management. Biodegradable polymers, such as PHB, are being increasingly considered as a materials for the production of new generation packaging. However, in order for biopolymers to successfully compete with conventional plastics, they must be characterised by a number of specific physicochemical properties. The requirements of the biopolymers used in the industry result primarily from the expected properties of the product and the employed production technologies. Poly-3-hydroxybutyrate (PHB) is characterised by many valuable properties sought by various industries, including medicine (Tab. I). The use of PHB in medicine is additionally promoted by its full biocompatibility and non-toxicity [26, 39].
Summary of the PHB polymer properties
| Chemical resistance | Value | Unit |
| Acids | moderate | |
| Strong alkalis | poor | |
| Alcohols | moderate | |
| Oils and grease | good | |
| Physical properties | ||
| Density | 1.25 | g/cm3 |
| Resistance to UV radiation | good | |
| Mechanical properties | ||
| Tensile strength | 40 | MPa |
| Modulus of elasticity | 3.5 | GPa |
| Elongation at break | 10 | % |
| Impact strength (impact strength test according to Izod) | 35–60 | J/m2 |
| Thermal properties | ||
| Melting point | 170–180 | °C |
| Glass transition temperature | 0–5 | °C |
| Electrical properties | ||
| Electrical resistance (specific) | 1016 | Ohm/cm |
| Dielectric constant | 3.0 | MHz |
Based on Vroman et al. [39].
The main property of poly-3-hydroxybutyrate, which distinguishes it from a number of other biodegradable polymers, is its insolubility in water. Most of the currently available biodegradable polymers dissolve and degrade in contact with water (e.g. polycaprolactone). The high resistance of the PHB biopolymer to hydrolytic degradation significantly extends its applicability. Moreover, PHB is quite resistant to ultraviolet radiation. It also does not react with oily substances. Owing to these properties, poly-3-hydroxybutyrate may be successfully used as a packaging material for many organic and inorganic liquids [28, 39].
Poly-3-hydroxybutyrate is also characterised by short biodegradation time. In terms of its physical properties, PHB is similar to polypropylene; therefore, it can successfully act as a substitute for this conventional polymer. However, while polypropylene floats on the surface of water, PHB sinks. This difference allows anaerobic breakdown of PHB in microbially active sediments. Poly-3-hydroxybutyrate is highly thermoplastic – its melting point is in the range of 170 to 180°C (thus it is relatively high), and its glass transition temperature (Tg) is in the range of 0 to 5°C. When PHB reaches a temperature slightly above its melting point, the thermal degradation begins, and at 200°C the degradation is already clearly visible. The structure of PHB shows high crystallinity of 50–70%, and thus it is an excellent gas permeability barrier. The polymer has a high tensile strength of 40 MPa, which results from an elasticity coefficient reaching up to 3 GPa. The high resistivity value of 1016 Ohm/cm makes PHB a good electrical insulator [39].
This polymer, in addition to many unquestionable benefits, also exhibits some shortcomings, which limit its use or become a challenge for the industry. PHB is sensitive to acids and bases (particularly concentrated ones), and dissolves in chloroform and other chlorinated hydrocarbons. The disadvantage of this biopolymer is also its brittleness at the level of 3–5%, which proves to be particularly problematic during the polymer stretching [5, 39].

Medical accessories made of PHB copolymers. Explanation of the presented elements: absorbable surgical threads (A), screws and plates stabilising the bones (B), membranes used in dentistry (C), dressing nets without admixtures – on the left and soaked with medicaments – on the right (D). Based on Bonartsev et al. [4].
In order to improve its properties, attempts have been made to incorporate admixtures of other polymers into PHB. As a result of the experiments, in which hydroxybutyrate monomers were introduced into the poly-3-hydroxybutyrate molecules, poly-3-hydroxybutyrate-co-3-hydroxyvalerate (PHBV) was obtained. PHBV produced in this process displays much lower brittleness and greater plasticity in comparison with PHB, and therefore it is more commonly used in the industry than PHB. However, it should be noted that PHB is necessary for the production of PHBV, as it is the main component of poly-3-hydroxybutyrate-co-3-hydroxyvalerate. It is worth mentioning that, similarly to PHB, PHBV undergoes decomposition under aerobic conditions to carbon dioxide and water, and therefore is a fully biodegradable polymer [12, 14]
This group of biopolymers have been known since the 1980s, when Zeneca Bio Products from Great Britain distributed the first PHBV products manufactured on an industrial scale. PHBV adopted the trade name Biopol. It is noteworthy that PHB can be obtained not only in the process of bacterial metabolism or chemical synthesis. Research is currently being conducted on obtaining PHB from specially selected yeast strains or genetically modified plants [3, 28, 39].
The main barrier limiting the widespread use of biopolymers in the industry is the high costs associated with the optimisation of the production. However, indisputable environmental benefits resulting from the properties of biodegradable polymers are the reasons why the PHB copolymers are frequently used as packaging material [9, 10].
PHB copolymers have been used for the production of bottles, food containers, and disposable tableware (such as water cups), as both PHB and PHBV are insoluble in water. PHBV has also been used in the production of toiletries such as toothbrushes, razors, or cotton buds. The use of PHB copolymers as packaging for cosmetics and shampoos has contributed to the significant popularisation of biopolymers in the industry and trade [10].
PHB copolymers are fully biocompatible, and the products of their degradation are non-toxic to humans and animals. Therefore, PHB is also used in the fields of medicine, dentistry, and pharmacy. Moreover, medical accessories made of PHB copolymers have long since gone beyond the experimental medicine. Biopolymer sutures, screws, bolts, pins, bone-stabilising plates, and similar implants utilised during surgery have the advantage over the metal elements in that they degrade in the body of the patient, thus eliminating the necessity for another procedure in order to remove metal implants. Moreover, biopolymers are lighter and cheaper than metal replacements, which translates into postoperative comfort of the patient and the costs of the operation itself. In addition to products in the solid form, gels containing PHB, which successfully replace bandages and dressings after drying, are also used. Such “biopolymer dressings” may be used for both bruises and open wounds. Furthermore, anti-inflammatory drugs, analgesics, or antibiotics may be added, which are released to the bandaged body part during the biodegradation of the polymer, thus further supporting the treatment of injuries and wound healing [4, 14] (Fig. 3).
PHB gels are not the only drug carriers that are currently being considered. The modern pharmaceutical industry currently focuses on the so-called Drug Delivery System (DDS). It is a controlled drug dosing system, which aims to precisely deliver active substances, to obtain the most effective medication, and to eliminate side effects. The use of biocompatible polymers as drug carriers in the form of nanotubes, among others, is currently gaining increasing popularity, which brings new possibilities of controlled distribution of drugs, in which the dosing would be gradual with the biodegradation of PHB. DDS systems with poly-3-hydroxybutyrate as the drug carrier may be used both outside and inside of the patient’s body [8, 14, 19].
PHB degradation inside the body occurs as a result of hydrolysis carried out by appropriate enzymes – nonspecific esterases that break down ester bonds causing the formation of acids and alcohols, which are subjected to further oxidation [4].

Fragments of the PHB film after two months of incubation in soil suspension with different nitrate content. Explanation of the presented elements: Undecomposed film – comparative test (A), film decomposed in anaerobic conditions without addition of nitrates (B), degradation in aerobic conditions without addition of nitrates (C), aerobic degradation with addition of nitrates (D). Based on Bonartsev et al. [4].
Microorganisms capable of synthesising poly-3 – -hydroxybutyrate are equipped with enzymes to biodegrade it. PHB degrading enzymes are also found in fungi including: Penicillium and Aspergillus. Biodegradation of PHB is based on systematic depolymerisation of poly-3-hydroxybutyric acid, carried out by specific enzymes called PHB depolymerases and esterases, which break the bonds between consecutive terminal monomers from the end to the beginning of the polymer chain. PHB depolymerase occurs in the form of two isoenzymes, one of which carries out depolymerisation at the ends of the PHB chain, whilst the other catalyses the reaction inside the polymer chain. Both isoenzymes function simultaneously in the cell, complementing each other in dynamically catalysing the depolymerisation reaction [18, 36].
As a result of the activity of specific enzymes, the polymer chain is gradually shortened, losing its previous physical, chemical and mechanical properties. This is because the properties of the polymer are closely related to the structure and the molecular weight of the PHB. The first macroscopic symptoms of degradation of poly-3-hydroxybutyric acid are: increased fragility and brittleness, as well as decreased elasticity and extensibility. Depolymerisation of PHB leads to losses in its structure. Over time, the porosity of the material increases to an extent, which is visible to the naked eye [18].
The degradation of the polymer takes place both under aerobic and anaerobic conditions. It is carried out by bacteria living in soil, water or sewage sludge. The gradual fragmentation of poly-3-hydroxybutyrate is accompanied by the process of monomer oxidation, which ultimately leads to the total decomposition of PHB into carbon dioxide (or methane in anaerobic processes), water and other biomass [20].
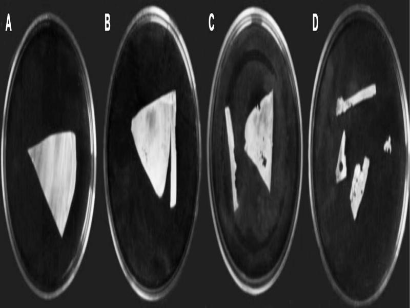
The polymer sinks in the water and can, therefore, be degraded by microorganisms inhabiting sewage sludge. However, studies based on soil incubations proved that anaerobic decomposition of PHB is less effective than degradation of the polymer under aerobic conditions. In the same experiment, it was also shown that the nitrogen content in the soil environment has a significant influence on the course of the PHB decomposition. The effectiveness of polymer degradation also depends on many other factors, such as temperature, humidity, pH of the environment, level of activity of microorganisms in the environment, or availability of nutrients. After two months of poly-3-hydroxybutyrate film residing in a soil suspension, the most intensive polymer degradation was observed under aerobic conditions in the presence of nitrates, while without addition of nitrates the degradation was much slower. The lowest level of degradation was observed in the fragments of polymer films stored under anaerobic and nitrate-free conditions [4, 20, 36] (Fig. 4).

The course of degradation of the PHB films of different molecular weights: 150, 300, 450, 1000 kDa. PHB degradation took place in vivo, the film was stored for 90 days immersed in phosphate buffer (pH = 7.4) at 70°C. Based on Bonartsev et al. [4].
The rate of polymer decomposition is also influenced by its physicochemical properties. The molecular weight of the polymer plays a key role, because the lower it is, the faster the degradation process. The structure of the polymer surface (its porosity), the melting point (the higher the melting point, the more durable the polymer), its spatial configuration, and the degree of crystallisation are also important [4, 20] (Fig. 5).
Poly-3-hydroxybutyrate belongs to a large group of biodegradable polymers called polyhydroxyalkanoates. PHB is a linear polyester of 3-hydroxybutyric acid, accumulated by microorganisms under physiological stress caused by e.g., deficiency of biogenic elements, with simultaneous excess of the carbon source. Methanotrophic bacteria belonging to type II show high efficiency in the production of PHB, which is a reserve material accumulated inside the cells. The use of methanotrophs for PHB production on a larger scale has a realistic basis and may be accomplished in the future. Moreover, such a solution has an additional benefit as it assumes the use of waste methane as the basic carbon substrate. Methane produced e.g., at landfills would be utilised, thus reducing its share in the greenhouse effect, while the use of waste methane as the carbon source for methanotrophs would significantly reduce the costs of PHB production. Poly-3-hydroxybutyrate shows similar physicochemical properties as conventional polymers. At the same time, it remains environmentally friendly due to the rapid course of biodegradation, during which non-toxic breakdown products are formed. Therefore, PHB is an interesting alternative to petrochemical polymers. PHB has already found a number of applications in the industry, areas of medicine and pharmacy, and studies on extending its applicability are still ongoing and produce measurable outcomes in the form of copolymers such as polyhydroxybutyrate-co-3-hydroxyvalerate (PHBV). Growing interest in the subject of biodegradable polymers creates real opportunities to reduce the consumption of minerals used in the production of plastics and to manage waste much faster, easier and cheaper, the spontaneous biodegradation of which will not pose a risk to the natural environment.