The distal tibiofibular syndesmosis is a fibrous joint essential for maintaining the stability and congruency of the ankle mortise(1,2). Injuries to this complex, commonly termed high ankle sprains, and are less frequent than lateral ligament injuries of the ankle but carry greater clinical significance due to prolonged recovery and the risk of chronic instability or early degenerative changes(3). These injuries are particularly prevalent among athletes involved in high-impact or pivoting sports such as soccer, hockey, and skiing. Prompt and accurate diagnosis is therefore critical for guiding management and optimizing functional outcomes(3).
Magnetic resonance imaging (MRI) remains the gold standard for evaluating syndesmotic integrity. However, high-resolution ultrasound (US) has gained traction as a dynamic, cost-effective, and accessible imaging tool, allowing real-time assessment of ligament integrity and mechanical stability(4,5).
The distal tibiofibular syndesmosis comprises three main stabilizing structures that function collectively to maintain the relationship between the distal tibia and fibula, and ensure stable articulation with the talus.
The AiTFL is the most frequently visualized and commonly injured ligament(3). It runs obliquely at an angle of 35° from the anterolateral tibial tubercle (Chaput tubercle) to the anterior fibular tubercle (Wagstaffe tubercle). The AiTFL consists of 2–5 bands, depending on individual anatomy (Fig. 1). Its oblique orientation resists external rotation and lateral translation of the fibula(6,7).

AiTFL – anterior inferior tibiofibular ligament; ATFL – anterior talofibular ligament; IoL – interosseous ligament

AiTFL – anterior inferior tibiofibular ligament; PiTFL – posterior inferior tibiofibular ligament; IoL – interosseous ligament; ATFL – anterior talofibular ligament; PTFL – posterior talofibular ligament; CFL – calcaneofibular ligament
The PiTFL is the strongest syndesmotic component, extending from the posterior tibial tubercle (Volkmann tubercle) to the posterior distal fibula (Fig. 2). It prevents posterior displacement of the fibula and contributes significantly to ankle mortise stability(6,7).
The interosseous ligament represents the distal thickening of the interosseous membrane (Fig. 2) and acts as a central stabilizer, transmitting load between the tibia and fibula, and maintaining their alignment during weight bearing(6,7).
The coordinated function of these structures allows minimal physiologic motion, typically less than 2 mm of separation and 1–2° of rotation between the distal tibia and fibula during ankle movement(7).
During dorsiflexion, the wider anterior aspect of the talar dome acts as a wedge, forcing the fibula slightly laterally and superiorly. The syndesmotic ligaments, particularly the AiTFL, resist external rotation and lateral translation. The PiTFL serves as the primary restraint against posterior translation, while the interosseous ligament absorbs axial loads and transmits stress proximally through the fibula(7,8,9).
Disruption of any of these structures can lead to abnormal widening of the syndesmosis, altered load distribution, and subsequent instability. Even a 1 mm increase in the tibiofibular clear space can significantly affect talar positioning and joint mechanics, highlighting the importance of early and precise diagnosis(7,8,9).
Syndesmotic injuries typically result from external rotation, dorsiflexion, or eversion forces applied to the ankle, often with the foot planted(3). The injury sequence commonly begins with partial or complete tearing of the AiTFL, followed by involvement of the interosseous ligament, and, in severe cases, disruption of the PiTFL. High-grade injuries may occur in association with deltoid ligament rupture or fibular fractures (Maisonneuve injury)(7,8,9).
Clinically, patients present with tenderness over the anterolateral ankle above the joint line, swelling, pain during external rotation, and difficulty bearing weight. Chronic injuries can manifest as persistent pain, instability, or decreased push-off strength(4).
A high-frequency linear transducer (10–18 MHz) provides optimal visualization. Use of a small-footprint “hockey-stick” probe can improve access in smaller ankles(9,10,11,12).
The patient is examined supine with the ankle slightly plantarflexed. To visualize the PiTFL, the patient may be positioned prone or on the contralateral side of the injured ankle. Comparison with the contra-lateral side is useful to establish normal baseline measurements(9,10,11,12).
AiTFL: Visualized in an oblique axial plane extending from the tibial to the fibular tubercle. Appears as a thin, well-defined, fibrillar, echogenic band crossing the syndesmotic interval (Fig. 3).
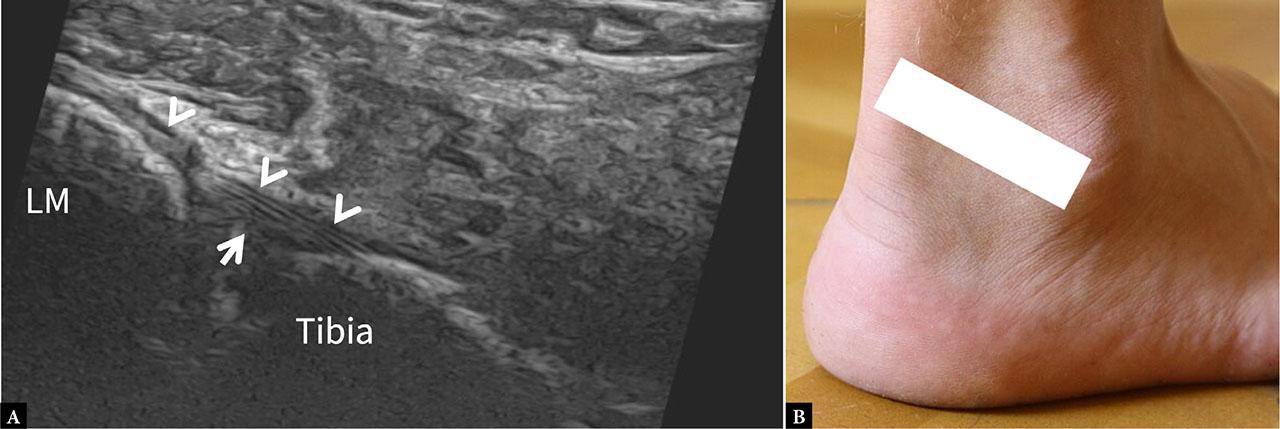
PiTFL: Best seen posteriorly, slightly deeper and thicker, extending between the posterior tibia and fibula (Fig. 4).
Dynamic assessment: Performed during gentle external rotation and dorsiflexion stress. The tibiofibular interval should not widen by more than 2 mm in healthy individuals(9,10,11,12).
The ligaments appear as continuous, fibrillar, hyperechoic bands with sharply defined margins. There should be no fluid or hypoechoic cleft between the tibia and fibula. The adjacent cortex is smooth, and no motion asymmetry is observed during stress maneuvers(9,10,11,12).

US image of the superior (A) and (B) bands of the AiTFL. The ligament appears as continuous, fibrillar, hyperechoic bands with defined margins (arrows), extending from the anterior aspect of the lateral malleolus to the anterolateral aspect of the distal tibia. The US probe is oriented obliquely at 35° from the anterior aspect of distal tibia to the lateral malleolus (C)

US image of the PiTFL obtained with a 20 MHz matrix linear probe. Ultrasound beam-steering was applied to orient the beam as perpendicular as possible to the PiTFL to reduce anisotropy artifacts (A). The ligament appears as continuous, fibrillar, hyperechoic band with defined margins (arrows), extending from the posterior aspect of the lateral malleolus to the posterior aspect of the tibia. The US linear probe is oriented obliquely at 35–45° from the posterior aspect of distal tibia to the lateral malleolus (B). CFL – calcaneofibular ligament; IoL – interosseous ligament
Ligament thickening, loss of normal fibrillar pattern, or fiber discontinuity.
Hypoechoic or anechoic gap representing tear or hematoma.
Presence of small, avulsed bone fragments.
Increased tibiofibular distance during dynamic external rotation.
Adjacent soft tissue edema and hyperemia on color Doppler(13).

US images of a 46-year-old male who sustained a twisting ankle injury while snowboarding. Initial US (A) shows loss of the normal fibrillar pattern of the AiTFL, fiber discontinuity, and a small hypoechoic hematoma (arrows). Follow-up US after 4 years (B) of adequate conservative treatment, shows continuity of the ligament with mild thickening of the AiTFL but no hematoma (arrows), consistent with adequate ligament healing

US and radiographic evaluation of a 22-year-old male soccer player with ankle twisting injury. Lateral view plain radiograph (A) shows a small avulsion fracture of the posterior aspect of the distal tibia (arrow). US long-section image (B) confirms the presence of the small avulsed bone fragment in the posterior aspect of the tibia. Axial oblique US image (C) shows thickened PiTFL (arrowheads) with discontinuity of the tibial attachment and the small, avulsed bone fragment (*). MRI sagittal proton density fat-saturated sequence (D) image shows mild bone marrow contusion in posterior aspect of the distal tibia. Axial proton density fat-saturated sequence (E) and T1W (F) show injury to both the AiTFL (large circle) and the PiTFL (small circle)
Ligament thinning, irregularity, or heterogeneous scarring.
Hypoechoic fibrotic changes or calcification at insertion sites.
Cortical irregularity or periosteal reaction at the fibular or tibial attachment.
Persistent instability on dynamic testing(13).
Grade I: Mild strain or partial tear of AiTFL; stability intact.
Grade II: AiTFL disruption with interosseous ligament involvement; mild diastasis.
Grade III: Complete AiTFL and IoL disruption with (Fig. 6) or without PiTFL injury; significant instability.
Ultrasound is more sensitive in demonstrating small avulsion fragments (Fig. 6, Fig. 7) or calcifications. In addition, dynamic assessment may help differentiate Grade II from Grade III injuries, with the amount of syndesmotic widening determining surgical versus conservative management(13).
Anisotropy: The oblique course of the AiTFL makes it prone to apparent hypoechogenicity if the US beam is not perpendicular. Proper probe angulation is essential.
Overlying edema or hematoma may obscure ligament definition. Contralateral comparison helps confirm pathology.
PiTFLs may be challenging to visualize due to their deeper location and overlying tendons.
Operator experience is crucial for accurate interpretation, especially during dynamic assessment.
MRI provides comprehensive visualization of all syndesmotic structures, including deep interosseous components, bone marrow edema, and associated intraarticular lesions(2,5,16). However, ultrasound offers unique advantages. Several studies have shown that ultrasound demonstrates strong agreement with MRI in identifying AiTFL injuries, particularly in acute trauma settings. The modality’s dynamic capability allows assessment of functional stability, which static MRI cannot replicate. MRI remains indispensable when evaluating deeper structures or associated injuries (e.g., IoL, cartilage, bone marrow, deltoid complex)(15,16).
Early and accurate identification of syndesmotic injury influences both treatment and prognosis.
Grade I–II injuries: Managed conservatively with functional rehabilitation and gradual return to sport.
Grade III injuries: Typically require surgical fixation using screws or suture-button devices.
Ultrasound can also assist in patient follow-up after treatment (Fig. 5), detecting complications such as persistent diastasis, screw loosening, or heterotopic ossification, and guiding targeted interventions for chronic pain(15,16).
Ultrasound has evolved into a robust, dynamic modality for evaluating distal tibiofibular syndesmotic injuries. When performed with high-resolution equipment and precise technique, it provides excellent visualization of ligament morphology, detects subtle instability, and correlates strongly with MRI findings. As a cost-effective, readily available, and radiation-free tool, ultrasound should be considered an integral component of the imaging algorithm for suspected syndesmotic injury, especially in sports and trauma settings. Mastery of sonographic anatomy, pathology, and potential pitfalls is essential for radiologists to provide accurate diagnosis and guide appropriate management.

Chronic AiTFL tear. A. US image demonstrates an irregular and heterogeneous AiTFL with hypoechoic fibrotic changes at the fibular insertion (white arrows). In addition, there is a small, avulsed bone fragment seen at the fibular attachment (yellow arrowhead). Axial T1W image (B) of the same patient confirms a thickened, heterogeneous AiTFL (white circle). Note that the small bone fragment is not well-visualized in the MRI image
Ultrasound versus MRI in syndesmotic injury evaluation(12,13,14)
| Feature | Ultrasound | MRI |
|---|---|---|
| Spatial resolution | High for superficial ligaments, e.g. AiTFL | Excellent for both superficial and deep structures |
| Dynamic assessment | Possible – real-time stress testing and motion evaluation | Static – no real-time dynamic capability |
| Detection of partial tears | Good, especially with high-frequency probes | Poor, but excellent tissue contrast and edema depiction |
| Detection of small bone fragments and calcification | Excellent | Poor |
| Visualization of PiTFL/interosseous membrane | Limited – deep and less accessible | Excellent – full visualization |
| Timely availability and cost | Widely available, inexpensive, bedside use | Limited availability, costly, longer examination time |
| Operator dependence | High – requires expertise | Low – standardized imaging protocols |
| Correlation with clinical findings | Immediate – can be performed at point of care | High – delayed but comprehensive evaluation |
AiTFL – anterior inferior tibiofibular ligament; PiTFL – posterior inferior tibiofibular ligament