The aponeurotic expansion of the supraspinatus tendon (AEST) is an anatomical structure arising from the anterolateral aspect of the supraspinatus tendon and extending toward the long head of the biceps tendon (LHBT) within the rotator interval (Fig. 1)(1,2,3,4). First described in cadaveric and imaging studies, AEST has been increasingly recognized in modern radiology as a potential source of diagnostic confusion, as it may mimic a bifid biceps tendon, an accessory tendon, or even a partial tear of the LHBT(3,5,6,7,8,9). With the advent of high-resolution ultrasound and MRI, awareness of AEST has grown; however, its sonographic identification remains challenging and is often overlooked or misinterpreted (Fig. 2)(3,5,10,11).

Schematic representation of aponeurotic expansion of the supraspinatus tendon (AEST) in relation to the supraspinatus tendon, long head of the biceps tendon (LHBT), and subscapularis tendon; the coracoacromial ligament is indicated as a supraspinatus landmark

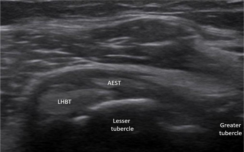
Ultrasound image showing normal aponeurotic expansion of supraspinatus tendon (AEST) anterolateral to the long head of the biceps tendon (LHBT) at the intertubercular groove
Only a limited number of classification systems have been proposed for AEST, most of them MRI-based and focused primarily on morphology, thickness, or insertional pattern(1,3,9,12). Although these frameworks provide a useful anatomical foundation, they fail to encompass the full spectrum of variants and pathological presentations encountered in routine ultrasound examinations. While uncommon, atypical AEST–LHBT configurations may be observed in clinical practice, including subluxations, dislocations, or combined lesions that extend beyond the scope of currently available classifications.
The aim of this study is therefore to present a series of clinical cases illustrating atypical and pathological manifestations of AEST, to highlight their relationship with adjacent structures such as the LHBT and supraspinatus tendon, and to offer a new perspective on this anatomically complex yet highly relevant region of the shoulder.
Between October 2018 and September 2025, approximately 3,600 shoulder ultrasound examinations were performed in patients aged 12 to 98 years. During assessment, only structures fulfilling the criteria for AEST were considered, defined as expansions originating from the superomedial border of the supraspinatus tendon, coursing outside the synovial sheath of the LHBT and attaching distally to the pectoralis major tendon. Cases in which AEST was identified in an anterolateral position with typical echogenicity, stable alignment, absence of surrounding fluid, and an intact supraspinatus tendon were considered normal and were excluded from the analysis. Hypoplastic variants in which AEST did not reach the pectoralis major tendon were also excluded. In contrast, all cases showing altered echogenicity or abnormal positioning of AEST, or associated pathology of the supraspinatus, LHBT, or subscapularis tendon, were included in the study. The contralateral shoulder was not evaluated for the presence or absence of AEST. In addition, X-ray and MRI findings were neither available nor collected for this study.
A total of 19 cases with distinct sonographic manifestations of AEST were identified. All patients were referred by various specialists, including family physicians, traumatologists, rheumatologists, and rehabilitation physicians, with suspected shoulder pathology. Demographic data (age and sex) and clinical presentation were analyzed and are summarized in Tab. 1.
Demographic and clinical characteristics of patients with atypical or pathologically altered aponeurotic expansion of the supraspinatus tendon (AEST), summarized according to the proposed classification systems
| Case No. | Age | Gender | Side | Presenting complaints | AEST-supraspinatus relation | AEST at rotator interval | AEST-LHBT relation | Additional findings |
|---|---|---|---|---|---|---|---|---|
| 1 | 24 | W | Right | Shoulder pain | Ia | No subluxation | IIIa | Unremarkable |
| 2 | 48 | M | Right | Acute trauma | Unremarkable | No subluxation | Ia | Complete tear of the pectoralis major tendon with retraction |
| 3 | 57 | M | Left | Shoulder pain | Unremarkable | No subluxation | Ia | Complete tear of the subscapularis tendon |
| 4 | 78 | W | Left | Post-traumatic shoulder pain | IIb | Subluxation | Ia↔Ib↔Ic | Full-width tear of the common supraspinatus and infraspinatus insertion, with preserved medial supraspinatus and lateral infraspinatus portions |
| 5 | 82 | W | Left | Persistent shoulder pain | IIIa | Subluxation | IIIc+ | Severe tendinosis of the long head of the biceps tendon. Moderate tendinosis of the infraspinatus tendon with a partial tear at the cranial margin of the insertion |
| 6 | 74 | M | Left | Shoulder pain | Unremarkable | No subluxation | Ia | Long head of biceps tendon – moderate tendinosis. Rotator cuff – severe diffuse tendinosis with microtears and microcalcifications. Status post greater tuberosity fracture without displacement |
| 7 | 53 | W | Right | Shoulder pain | IIIa | Subluxation | Ic | Long head of biceps tendon – mild tendinosis. Complete tear of the supraspinatus tendon insertion with 2–3 mm retraction |
| 8 | 65 | W | Left | Shoulder pain | Unremarkable | No subluxation | IIIa | Mild supraspinatus tendinosis with erosive changes at the insertion |
| 9 | 52 | W | Right | Shoulder pain | Ia | No subluxation | Unremarkable | Unremarkable |
| 10 | 62 | W | Right | Shoulder pain | IIb | No subluxation | IIIa | Severe tendinosis of the long head of the biceps tendon. Severe supraspinatus tendinosis with a full-thickness tear at the lateral margin, ~1 cm from the insertion, with 8 mm retraction |
| 11 | 70 | W | Right | Shoulder pain | IIIa | Subluxation | Ia↔Ib↔Ic↔IIc↔IIIc-↔IIIc+ | Severe tendinosis of the long head of the biceps tendon. Massive chronic rotator cuff tear (supraspinatus, infraspinatus, and teres minor), with marked retraction. Increased fluid in the glenohumeral joint |
| 12 | 66 | M | Right | Shoulder pain | IIIa | Subluxation | Ic | Moderate tendinosis of the long head of the biceps tendon. Complete supraspinatus tendon tear with retraction. Narrowed bicipital groove. Subscapularis tendon – mildly degenerated echotexture |
| 13 | 74 | W | Right | Shoulder pain | IIb | No subluxation | IIa | Severe tendinosis of the long head of the biceps tendon with subluxation. Full-thickness tear of the lateral supraspinatus (~10 mm wide), without retraction. Moderate subscapularis tendinosis with partial tears at the cranial insertion |
| 14 | 52 | W | Left | Shoulder pain | Ia | No subluxation | Unremarkable | At the mid-portion of the supraspinatus tendon insertion, the bony contour appears irregular and eroded, with locally pronounced tendon calcification |
| 15 | 77 | W | Right | Shoulder pain | Ia | No subluxation | IIb | Moderate tendinosis of the long head of the biceps tendon at the rotator interval segment with microtears. Moderate supraspinatus tendinosis with marked degenerative changes |
| 16 | 53 | W | Right | Shoulder pain | IIb and Ia Narrow full-thickness supraspinatus tear in the lateral region, distal to the insertion and intrasubstance tear of AEST with ganglion formation | No subluxation | Unremarkable | Supraspinatus – markedly degenerated echotexture. At the lateral region, ~1.2 cm from the insertion, a 4 mm full-thickness tear with fatty infiltration is observed |
| 17 | 54 | W | Left | Shoulder pain | Ic | Subluxation | Ic | Mild supraspinatus tendinosis |
| 18 | 54 | W | Right | Shoulder pain | Ib | Subluxation | Ic | Mild supraspinatus tendinosis |
| 19 | 58 | W | Left | Shoulder pain | Ia | No subluxation | Unremarkable | Moderate supraspinatus tendinosis |
This study was based on retrospectively collected ultrasound images obtained during routine clinical practice. All procedures were conducted in accordance with the ethical principles of the Declaration of Helsinki, and strict patient anonymity and confidentiality were maintained throughout the study.
Ultrasound examinations were performed using two systems: Mindray M7 (L14–6Ns, 10–12 MHz) and ESAOTE MyLab 9 eXP (L4–15, 4–15 MHz). All scans were conducted by a single radiologist with more than 15 years of musculoskeletal (MSK) experience, performing around 100 examinations per week. When AEST abnormalities were identified, anonymized representative images were stored for subsequent analysis. The protocol followed ESSR recommendations. Patients were examined seated, facing the examiner, with the hand (elbow flexed) placed against the iliac wing to optimize visualization of the supraspinatus tendon and rotator interval. The examiner maintained hand stabilization for reproducibility. This maneuver differs from the Middleton position, in which the hand rests on the posterior hip, which was occasionally applied as an alternative.
At the level of the rotator interval, AEST was assessed for echogenicity, intrasubstance tears, and its relationship to the LHBT and subscapularis tendon (Fig. 3), while the supraspinatus was checked for tear-related changes. AEST was then examined at the intertubercular groove to determine its position (intragroove, subluxation, dislocation, medial dislocation; Fig. 4), along with LHBT and subscapularis integrity. The remaining shoulder structures, including the other rotator cuff tendons and the glenohumeral and acromioclavicular joints, were systematically reviewed. The findings are summarized in Tab. 1.

Anatomy drawing of aponeurotic expansion of the supraspinatus tendon (AEST) within the rotator interval. Subluxation is defined as displacement above or medial to the long head of the biceps tendon (LHBT); dislocation occurs when positioned over the subscapularis tendon. Supr – supraspinatus; Subs – subscapularis

Evaluation of aponeurotic expansion of the supraspinatus tendon (AEST) at the intertubercular groove: normally lateral to the long head of the biceps tendon (LHBT); in intragroove subluxation, over or medial to LHBT; in subluxation, on the edge of the lesser tubercle; in dislocation, on the facet of the lesser tubercle at the subscapularis insertion (S); and in medial dislocation within the glenohumeral joint capsule (C)
All ultrasound images were additionally reviewed by a second MSK ultrasound specialist with 17 years of scanning experience, who was blinded to the initial interpretations.
Among the 3,600 shoulder ultrasound examinations, 23 cases were initially suspected of AEST pathology. After detailed review, four cases were excluded: one due to a thin hyperechoic fibrous band within a degenerative LHBT mimicking a bifid tendon (Fig. 5), two cases in which normally echogenic fibers were preserved despite advanced LHBT degeneration (Fig. 6), and one case of hypoplastic LHBT (Fig. 7).

Pseudo-double long head of the biceps tendon (LHBT). A. Longitudinal view mimicking a bifid tendon. B. Transverse view showing a narrow intratendinous fibrous band accentuated by degenerative changes

Residual echogenic fibers within the long head of the biceps tendon (LHBT) with surrounding fluid and degenerative changes

Long head of the biceps tendon (LHBT) hypoplasia in the left shoulder of a 28-year-old female; absent on the contralateral side
Nineteen cases of AEST pathology were identified (0.53%), with a mean patient age of 60.7 years. The cohort included 15 women and four men; 58% of cases were right-sided, 42% left-sided, with one bilateral case (17, 18). No true bifid LHBT was found. Interobserver analysis demonstrated agreement in 17 of 19 cases (89.5%); the second reviewer was uncertain in cases 4 and 11, resulting in a Cohen’s kappa value of 0.80, indicating substantial reliability. Demographic and clinical details are summarized in Tab. 1.
A classification of the supraspinatus–AEST relationship was proposed, ranging from minor intrasubstance lesions to complete ruptures (Fig. 8). Sonographic assessment was based on evaluation of the full supraspinatus tendon (100%), using the greater tuberosity and coracoacromial ligament as landmarks, and tear extent calculated by a standardized technique.

Proposed classification of the supraspinatus–AEST relationship. Type I: intrasubstance AEST tears (Ia <20%, Ib <50%, Ic >50%). Type II: partial supraspinatus tears (IIa medial full-thickness, IIb lateral full-thickness, IIc PASTA/rePASTA or intrasubstance). Type III: complete tears (IIIa supraspinatus, IIIb AEST, IIIc both). AEST – aponeurotic expansion of the supraspinatus tendon; LHBT – long head of the biceps tendon
The most frequent subtype was Ia (6/19, 31.6%), with mild intrasubstance AEST tears (Fig. 9), occasionally with ganglion formation (Fig. 10). Subtype IIIa (4/19, 21.1%) involved complete supraspinatus tendon tears with retraction. Subtype IIb (3/19, 15.8%) included one mixed IIb+Ia case with a lateral tear plus intrasubstance lesion.

Mild intrasubstance tear of aponeurotic expansion of the supraspinatus tendon (AEST) at the base of the supraspinatus tendon in the right shoulder (AEST–supraspinatus classification: Ia, case 1)

Small intra-aponeurotic ganglion in the left shoulder. A. Transverse view of aponeurotic expansion of the supraspinatus tendon (AEST). B. Longitudinal view (AEST–supraspinatus classification: Ia, case 19)
Less common subtypes included Ib (1/19, 5.3%) and Ic (1/19, 5.3%). In three cases (15.8%), no supraspinatus abnormalities were found. Subtypes IIa, IIc, IIIb, and IIIc were not observed.
A second proposed classification was developed to describe AEST positioning within the rotator interval (Fig. 3 and Fig. 11). Importantly, the relationship of AEST at the intertubercular groove level depends on the degree of its detachment from the supraspinatus tendon and whether subluxation or dislocation is present (see AEST and LHBT relationship).

Variants of aponeurotic expansion of the supraspinatus tendon (AEST) subluxation in the rotator interval: A. intragroove subluxation, B. intrainterval and intragroove subluxation, C. intrainterval subluxation with intragroove dislocation, D. intrainterval subluxation with intragroove medial dislocation
Subluxation of AEST was identified in seven cases (36.8%) (Fig. 12 and Fig. 13). In two patients (cases 5 and 11), both the LHBT and AEST were dislocated over the lesser tubercle; in these situations, AEST at the rotator interval level was also classified as subluxated, as it extended beyond the anatomical boundaries of the interval. No cases of AEST dislocation within the rotator interval were observed.

Aponeurotic expansion of the supraspinatus tendon (AEST) subluxation over the long head of the biceps tendon (LHBT) at the midline of the rotator interval in the left shoulder (case 17)

Aponeurotic expansion of the supraspinatus tendon (AEST) subluxation medial to the long head of the biceps tendon (LHBT) with a full-thickness supraspinatus tear in the right shoulder (case 7)
A third proposed classification addressed the relationship between AEST and the LHBT, using the LHBT as the reference structure. Five main types were distinguished according to LHBT status: intragroove, subluxated, dislocated, medially dislocated, or ruptured. The detailed classification is presented in Fig. 14.

Proposed classification of the AEST–LHBT relationship at the intertubercular groove. Five major types are defined by LHBT position: Type I – intragroove LHBT (Ia intragroove subluxation, Ib subluxation, Ic dislocation, Id medial dislocation); Type II – LHBT subluxation (IIa intragroove AEST, IIb both subluxated, IIc AEST dislocation, IId AEST medial dislocation); Type III – LHBT dislocation (IIIa intragroove AEST, IIIb AEST subluxation, IIIc+ both dislocated, IIIc– reciprocal dislocation, IIId AEST medial dislocation); Type IV – LHBT medial dislocation (IVa isolated, IVb AEST subluxation, IVc AEST dislocation, IVd+ AEST medial dislocation, IVd– reciprocal medial dislocation); Type V – LHBT tear (Va intragroove AEST, Vb subluxation, Vc dislocation, Vd medial dislocation). A – AEST; S – subscapularis; C – capsule. AEST – aponeurotic expansion of the supraspinatus tendon; LHBT – long head of the biceps tendon
The most frequent abnormality was AEST dislocation with preserved intragroove LHBT, observed in six of 19 cases (31.6%) (Fig. 15). LHBT dislocation in the presence of intragroove AEST was identified in three cases (15.8%) (Fig. 16), while AEST intragroove subluxation with preserved LHBT alignment was found in another three cases (15.8%) (Fig. 17). Combined pathology included two cases (10.5%) of concomitant AEST and LHBT dislocation (Fig. 18), one case (5.3%) of LHBT subluxation with intragroove AEST, and one case (5.3%) of concomitant AEST and LHBT subluxation (Fig. 19). In four cases (21.1%), no abnormalities were observed.

Aponeurotic expansion of the supraspinatus tendon (AEST) dislocation with preserved intragroove long head of the biceps tendon (LHBT) in the right shoulder (AEST–LHBT classification: Ic, case 12)

Intragroove aponeurotic expansion of the supraspinatus tendon (AEST) with long head of the biceps tendon (LHBT) dislocation in the right shoulder (AEST–LHBT classification: IIIa, case 1)

Aponeurotic expansion of the supraspinatus tendon (AEST) intragroove subluxation with preserved long head of the biceps tendon (LHBT) alignment in the right shoulder (AEST–LHBT classification: Ia, case 11)

Combined aponeurotic expansion of the supraspinatus tendon (AEST) and long head of the biceps tendon (LHBT) dislocation in the left shoulder (AEST–LHBT classification: IIIc+, case 5)

Concomitant aponeurotic expansion of the supraspinatus tendon (AEST) and long head of the biceps tendon (LHBT) subluxation in the right shoulder (AEST–LHBT classification: IIb, case 15)
Twelve subtypes (63.2%) of the AEST–LHBT classification were not observed. In two cases (10.5%), instability led to shifting positions and varying subtypes. One acute trauma case (case 2) showed normal AEST in the rotator interval, subluxation at the intertubercular groove, and a medial course to the retracted pectoralis major tendon (Fig. 20).

Medial course of aponeurotic expansion of the supraspinatus tendon (AEST) over the short head of biceps toward the retracted pectoralis major stump (not shown), with preserved long head of the biceps tendon (LHBT) alignment in the right shoulder (AEST–LHBT classification: Ia, case 2)
Supraspinatus abnormalities were the most frequent (13/19, 68.4%), including tendinosis, full-thickness tears (with or without retraction), one massive chronic tear, and two cases with severe degeneration or calcification. The subscapularis tendon was affected in 3/19 cases (15.8%): one complete tear, one moderate tendinosis with a partial tear, and one mild degeneration.
The classifications proposed in this study provide a preliminary framework for systematizing the sonographic appearance of AEST and its relationship with the supraspinatus tendon and LHBT. Previous research has already highlighted that AEST may contribute to shoulder pathology and is frequently underrecognized during routine imaging(2,3,9,11). However, almost all available studies to date have been based on magnetic resonance imaging, and dedicated ultrasound investigations of AEST are lacking.
Unlike the classification proposed by Moser et al.(1), which categorizes AEST according to morphological shape, such an approach is challenging to apply in daily practice because AEST may vary in form along its course. Moreover, nearly all MRI-based studies to date have focused on unaltered anterolateral variants of AEST, emphasizing morphology, course, and insertion(1,2,3,9,11).
Jo et al. found a significant association between the presence of AEST and supraspinatus tendon tears, although no evidence of tears within AEST itself was provided(10). Uludağ et al. reported a case of massive rotator cuff rupture with preserved AEST and concomitant LHBT instability, which in our proposed system would correspond to a Type IIIa pattern(12). To date, only one MRI-based report has described split tears of AEST(3), underscoring the scarcity of evidence for true AEST pathology compared with the present sonographic findings.
AEST instability is clinically important, as dynamic sonography shows positional shifts, sometimes accompanying LHBT dislocation(3,4,5,7). This highlights the value of repeated ultrasound examinations with provocative maneuvers. The mechanism of intrainterval subluxation or intragroove dislocation appears to be multifactorial: cuff tears may reduce stabilizing tension, while preserved AEST in some subscapularis ruptures suggests a stabilizing role. These observations are consistent with MRI/MRA studies reporting AEST involvement in complex rotator cuff and pulley lesions(1,3,4,10). Although some theoretical scenarios, such as combined LHBT rupture with AEST displacement, were not observed in this cohort, they remain supported by known LHBT pathologies(3,4,7,9).
The main limitation of this study is the small number of identified AEST abnormalities, which restricts the strength and generalizability of the conclusions. To confirm and refine the proposed classifications and to better understand the anatomical and pathological spectrum of AEST variants, more comprehensive future studies are warranted. Such studies should incorporate systematic bilateral shoulder evaluation, clinical examination findings, X-ray and MRI correlation, arthroscopic confirmation where available, and relevant comorbidities. A broader multimodality approach may help clarify the relationship between AEST and the supraspinatus tendon, improve diagnostic accuracy, and support surgical decision-making.
Ultrasound can reliably detect AEST pathology and provides dynamic, high-resolution assessment. The proposed classification, based on AEST position and its relationship with the supraspinatus tendon and the long head of the biceps tendon, offers a practical framework for clinical use. Although preliminary, this system highlights the diagnostic relevance of AEST and may help prevent misinterpretation in daily practice. Future multicenter studies integrating ultrasound and MRI are essential to validate and refine this classification and to better understand the role of AEST in shoulder pathology.