The skin consists of three functionally connected layers: epidermis, dermis, and hypodermis (subcutis). The hypodermis forms the deepest portion of the skin. Adipose tissue within the hypodermis accounts for roughly 80% of total body fat. Once viewed solely as an energy storage site, it is now recognized as a highly active organ with metabolic, endocrine, immune, and biomechanical functions(1).
Subcutaneous adipose tissue (SAT) is divided into superficial and deep layers by the superficial fascia. In addition, in the extremities, there is deep adipose tissue lying beneath the deep aponeurotic fascia, which envelops anatomical structures, and intraarticular adipose tissue, which is closely linked to degenerative and inflammatory joint disease(2).
Inflammatory conditions primarily originating and occurring in the SAT are grouped under the term panniculitis. Panniculitides encompass a range of heterogeneous etiologies, including infection, trauma, connective tissue disease, vasculitis and certain malignancies. They have substantial clinical overlap, which is why histopathological confirmation is often required. Traditionally, panniculitides are classified histologically as septal, lobular, or mixed, according to the predominant site of inflammation.
The main purpose of this review is to describe the key clinical and histological features of the most frequent panniculitides involving the extremities and their correlation with ultrasound findings, highlighting clues for differential diagnosis. A secondary objective is to discuss entities that may mimic panniculitis on ultrasound. Finally, this study focuses on the deep periarticular adipose tissue which may be a source of patient symptoms but is usually overlooked in musculoskeletal studies.
The skin is composed of three layers: epidermis, dermis, and hypodermis − with different embryological origins but closely functionally connected. Involvement of one layer often affects the others, and many dermatologic disorders involve more than one layer.
The epidermis has a highly pleomorphic cellular content, although 95% of its cells are keratinocytes that synthesize keratin. Sonographically, it appears as a very thin, continuous, and uniform hyperechoic line. In certain areas, such as the eyelids and ventral aspects of the limbs, the epidermis is quite thin. In contrast, glabrous skin of the palms and soles is thick and appears as a bilaminar echoic structure. The dermal–epidermal junction cannot be distinguished with ultrasound, and color Doppler does not show any signal because the epidermis is avascular.
The dermis, primarily composed of organized collagen bundles, forms the skin’s supporting structure. It contains blood vessels, lymphatics, nerves, hair follicles, and sweat glands. Dermal thickness varies across body regions and diminishes with age, being thinner in the ventral forearm and thicker (>3 mm) in the dorsal area. The dermis consists of two distinct layers: the thinner, superficial papillary dermis and the thicker, deeper reticular dermis, which differ in collagen fiber arrangement.
On ultrasound, the dermis appears as a uniform hyperechoic band. The two layers cannot be easily distinguished, although the papillary dermis is sometimes less echogenic. In elderly individuals, deposition of glycosaminoglycans in sun-exposed regions produces a hypoechoic subepidermal band, known as the subepidermal low-echogenicity band. The dermal–hypodermal junction generally appears as a continuous hyperechoic line, although high-resolution probes may reveal discontinuous where fat papillae protrude into the dermis.
The dermis is richly vascularized by two interconnected lymphovascular plexuses with distinct histological architectures, calibers, and sizes. The deep plexus is located at the reticular dermis–subcutis interface and consists of small arteries that give rise to terminal arterioles. The superficial plexus is a more complex network of terminal arterioles, capillaries, and postcapillary venules, forming a “candelabra-like” loop system. Each loop extends into a dermal papilla, with an ascending arterial branch and a descending venous branch. Both plexuses are highly interconnected, and the deep plexus is histologically continuous with lymphovascular branches that extend into the fibrous septa of the subcutaneous tissue, creating a unique microvascular network. Despite this intricate architecture, vessels are usually not detected using routine Doppler settings.
The hypodermis (subcutaneous adipose tissue) is the thickest skin layer, composed mainly of adipocytes and fibrous septa. The septa, formed of collagen and reticulin fibers, divide the tissue into lobules and carry nerves, blood vessels, and lymphatics. Each fat lobule is supplied by a terminal arteriole(3,4).
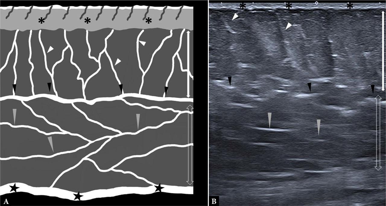
Two adipose layers can be distinguished within the hypodermis, separated by the membranous (superficial) fascia. The superficial layer is composed of large fat lobules divided by thin, predominantly oblique–vertical septa, producing a characteristic honeycomb appearance. It is covered by the membranous fascia, a fibrous sheet rich in elastic fibers and variable in thickness, approximately 0.5 mm at the posterior aspect of the arm. Because this fascia is firmly anchored to both the dermis and the septa, the superficial layer is relatively immobile and provides resistance to external forces(5). Beneath it lies the deep adipose layer, where lobules are smaller, flatter, and less well defined. The septa are thinner and more oblique–horizontal in orientation. Unlike the superficial layer, this deeper tissue is highly mobile, allowing the skin to glide freely over the underlying musculoskeletal structures(6) (Fig. 1).

A. Schematic drawing of subcutaneous adipose tissue and its two layers: SSAT (white double arrow) and DSAT (hollow double arrow); perpendicular interlobular septa in the SSAT (white arrowheads) and oblique interlobular septa in the DSAT (grey arrowheads); superficial fascia (black arrowheads) and deep fascia (black stars); B. Corresponding ultrasound image at the upper aspect of the thigh
On ultrasound, the subcutis appears as hypoechoic lobules separated by hyperechoic fibrovascular septa, producing a honeycomb pattern in the superficial layer. In the deep layer, interlobular septa are more oblique and less distinct. Both layers are separated by the superficial fascia, which appears as a wavy hyperechogenic layer. It is thinner on the dorsal fingers and more abundant in the trunk. Lobule size, shape, and arrangement vary with sex, anatomical site, and depth. Septa serve to anchor the dermis to deeper structures.
Color Doppler often shows hypodermal vessels – thin arteries and larger veins, particularly in the superficial portion – with branches that usually end at the dermal edge. Septal vessels are generally oriented obliquely relative to the aponeurotic surface.
Beneath the hypodermis lies the deep (muscular) fascia, approximately 1 mm thick on average. On ultrasound, fasciae appear as a continuous, hyperechoic, regular line.
Panniculitis refers to inflammation of the subcutaneous cellular tissue and encompasses a wide range of disorders with significant clinical overlap. Patients generally present with painful nodules in the extremities and often require histopathological analysis. Panniculitis poses a diagnostic challenging due to similar clinical presentations and difficulties associated with their histologic interpretation. Histologically, panniculitides are classified according to the predominant site of involvement – septal, lobular, or mixed – and further characterized by the presence or absence of vasculitis and by the nature of the cellular infiltrate(7,8).
Ultrasound has demonstrated a strong correlation with the histopathological patterns of septal and lobular panniculitis, which forms the framework for the present review(9). Accordingly, in sonographic studies, panniculitides are subtyped into patterns (lobular, septal, or mixed) based on the following features:
Predominantly septal panniculitis: the sonographic pattern is characterized by septal thickening and hypoechogenicity (thickness ≥1 mm in three or more septa), usually adjacent to non-compressible fat lobules. Hyperechogenicity of the adipose lobules is frequently present, along with an increase in Doppler flow. Together, these features produce a characteristic “jigsaw” appearance (Fig. 2).
Predominantly lobular panniculitis: the sonographic pattern lacks the typical features of septal disease. Instead, it shows hyperechoic, blurred adipose lobules with no significant increase in Doppler vascularity (Fig. 3).

Septal panniculitis sonographic pattern. A. Schematic drawing; B. Corresponding ultrasound image showing an area with poorly defined margins, prominent fatty lobules, interlobular septal thickening, and decreased echogenicity; C. Power Doppler ultrasound showing subtly increased vascularity; D. Same case examined with a 22 Mhz probe, demonstrating interlobular septal thickening (>1 mm)

Lobular panniculitis sonographic pattern: A. Schematic drawing; B. Poorly defined area in the SSAT with increased echogenicity and evanescent inter-lobular septa (white arrowheads); C, D. Poorly defined area of increased echogenicity in the SAT, with loss of lobular architecture, blurring of the dermo-hypodermic junction, and increased internal vascularity
In general, regardless of the subtype, panniculitides are detected as non-discrete areas of subcutaneous involvement with broad transitional margins, variable degrees of thickening, and usually increased elastographic values.
Certain sonographic findings may suggest specific entities: greater depth of involvement, the presence of calcifications (hyperechoic foci with posterior acoustic shadowing), and fat necrosis (anechoic pseudocystic areas) are more frequently seen in lobular panniculitis, although they are not exclusive to it(9,10,11).
Beyond this general classification, a detailed layer-by-layer evaluation of the superficial tissues is essential in each examination:
- a)
dermis: echogenicity, thickness, vascularization;
- b)
dermo-hypodermal junction: preservation or blurring;
- c)
superficial and deep fascia: thickness, echogenicity, vascularization, continuity;
- d)
muscle: abnormalities;
- e)
vasculature: preservation of normal vascular architecture versus chaotic angiogenesis.
Erythema nodosum is the prototypical nodular septal panniculitis. It represents a clinical syndrome with multiple possible etiologies and is considered a delayed hypersensitivity reaction to a wide variety of antigenic stimuli: viral, bacterial, or chemical. Approximately, 30–50% of cases are idiopathic. In the remaining cases, predisposing factors include upper respiratory streptococcal infections, gastrointestinal infections, oral contraceptive use, pregnancy, inflammatory bowel disease, and numerous other less frequent triggers.
The condition typically affects young women and classically presents with painful, rounded or oval, slightly raised, non-ulcerative erythematous nodules on the extensor surfaces of the lower limbs. The onset of disease may be accompanied by arthralgia and fever.
On ultrasound, erythema nodosum is characterized by increased echogenicity of the fat lobules, non-compressible thickened hypoechoic septa, and increased Doppler vascularization. Furthermore, loss of septal definition or septal blurring may indicate a degree of lobular involvement, which is usually minor(10) (Fig. 4).

Erythema nodosum: A, B. Long- and short-axis sonograms showing a non-circumscribed area of increased echogenicity in the pretibial subcutaneous tissue, with thickened hypoechoic septa and indistinct dermo-hypodermal junction C. Hypervascularity with vessels following the septal anatomy
Pancreatic panniculitis occurs in up to 2% of patients with pancreatic disease, most commonly in the context of acute pancreatitis. It results from the release of pancreatic enzymes, particularly lipase, into the bloodstream and may precede the clinical recognition of underlying pancreatic pathology.
Clinically, it presents as erythematous to violaceous subcutaneous nodules, predominantly affecting the lower extremities, but it may also involve the trunk and upper extremities. These nodules may fluctuate and ulcerate, and are sometimes accompanied by fever, abdominal pain, inflammatory polyarthritis, and pleural effusion. In most cases, the lesions involute within weeks, leaving residual hyperpigmented scars. Pancreatitis, polyarthritis, and panniculitis syndrome (PPP syndrome) is rare, affects men more frequently, and typically involves the knees, ankles, and wrists(11).
Histologically, pancreatic panniculitis initially manifests as a septal panniculitis and subsequently progresses to lobular or mixed forms. Fat necrosis is present from early stages, with liquefaction and cyst formation. In later stages, fibrosis and lipoatrophy become evident.
On ultrasound, pancreatic panniculitis demonstrates areas of increased echogenicity and thickening of the subcutaneous tissue, with mild septal thickening and increased stiffness on elastography. Vascularity is usually mild and peripheral. Cystic areas due to fat liquefaction are common, and recurrent collections may develop even after drainage(12).
Connective tissue diseases are a heterogeneous group of autoimmune disorders that may be localized or systemic. Cutaneous manifestations are frequent and show significant clinical and histopathological overlap. Among these conditions, panniculitis is most frequently associated with lupus erythematosus, scleroderma, dermatomyositis, and mixed connective tissue disease.
Scleroderma is a rare, chronic autoimmune condition characterized by excessive collagen deposition in connective tissues. Two major forms are recognized – localized and generalized scleroderma – which differ in clinical presentation but share the same pathophysiology, including an inflammatory phase associated with endothelial dysfunction, followed by a sclerotic phase with increased and disorganized dermal and subcutaneous collagen deposits, and ultimately an atrophic phase. Generalized scleroderma involves fibrotic changes in internal organs and may lead to pulmonary, cardiovascular, gastrointestinal, renal, neurological, musculoskeletal, and ocular complications, resulting in a poorer prognosis. A direct correlation has been demonstrated between the degree of dermal involvement, internal organ disease, and prognosis.
On ultrasound, the active inflammatory phase is characterized by dermal thickening, reduced echogenicity, and increased vascularity. In the sclerotic phase, thickness of the subcutaneous tissue decreases, tissue elasticity increases, and vascularity diminishes. In the atrophic phase, the dermis becomes thinner, more echogenic, and shows reduced vascularity(13,14,15).
Morphea is an uncommon autoimmune disease that causes inflammation and sclerosis of the skin and subcutaneous tissue. The disease evolves through episodes of activity with inflammation and fibrosis, leading to permanent tissue damage and pigmentary changes. Four major subtypes are recognized: plaque-type (circumscribed), linear, generalized, and mixed. Plaque-type and linear morphea are the most common.
The most sensitive and specific ultrasound markers of disease activity include loss of the dermal-hypodermal interface, increased echogenicity of the subcutaneous tissue, and increased cutaneous blood flow. Another sign is a hypoechoic halo that surrounds subcutaneous venous vessels, called the “sun-sign”(10). In about one-third of cases, there is unsuspected involvement of the underlying muscle and fascia immediately beneath the skin lesion. In the atrophic phase, thinning of the dermis and hypodermis has been described, with increased echogenicity and a fibrillar pattern; however, dermal thickening may persist in many cases (Fig. 5).

Morphea. Inflammatory phase: A. Extended field-of-view image of the lateral aspect of the leg, showing a lobular panniculitis sonographic pattern in the subcutaneous tissue (**) with muscular regional involvement (white arrows); B. Extended field-of-view image showing a mixed panniculitis sonographic pattern involving the entire thickness of the SAT at the lateral aspect of the thigh; C, D. Same case: B-mode and Power Doppler axial sonograms demonstrating a septal panniculitis pattern with septal hyperemia. Sclerotic phase: E. Increased thickness of the hypoechoic dermis (doble arrow) with thinning of the hypodermis and a fibrillar pattern (*); F. Atrophic phase: normal dermis and severe hypodermis thinning; note the absence of fatty lobules (*)
It is strongly recommended to examine the adjacent body regions, since the presence of subclinical disease activity is common.
Panniculitis is an uncommon manifestation of dermatomyositis. It may occur during the course of the disease or precede its clinical onset. Clinically, it presents as painful plaques or nodules that persist over time, may ulcerate, and frequently progress to lipoatrophy.
Calcinosis is observed in 20–40% of juvenile cases and in approximately 20% of adults. It can cause disfigurement, infection, and functional disability. Calcinosis often develops in pressure-bearing areas (e.g., hamstrings, gluteal region) or sites of repetitive use (e.g., elbows, knees, wrists). When deposits are superficial, they may be visible on clinical inspection. However, calcinosis may also occur in muscles, along fascial planes, or around internal organs(16).
Sonographic manifestations vary with disease progression. Initially, dermatomyositis-associated panniculitis typically demonstrates extensive lobular-pattern involvement, with increased echogenicity of the hypodermis producing a diffuse foggy pattern. Patchy partial or diffuse increased echogenicity of the muscle layers is also common. Calcifications are frequent, appearing as irregular, amorphous echogenic lines with posterior acoustic shadowing, findings that are particularly characteristic of chronic disease.
Lupus panniculitis, also referred to as lupus erythematosus profundus, is an uncommon form of panniculitis. It affects approximately 10% of patients with cutaneous lupus erythematosus and it is even less frequent in systemic lupus erythematosus, occurring in 1 to 3% of cases, but it may also occur as an entity of its own. The condition is more common in middle-aged women.
Clinically, lupus panniculitis presents as nodules or plaques on the face, proximal arms, hips, and trunk. In many cases, there is associated involvement of the overlying dermis and epidermis. Ulceration may occasionally occur during disease evolution. The course is typically chronic and relapsing, and lesions often resolve with atrophy that can be markedly disfiguring.
Histologically, lupus panniculitis is predominantly lobular, with variable degrees of inflammation. Characteristic features include hyaline necrosis, lymphocytic vasculitis, and deposits of calcium and mucin. Calcification is more common in chronic lesions and is often associated with pain.
On ultrasound, lupus panniculitis usually appears as areas of increased echogenicity within the subcutaneous tissue and may range from predominantly lobular to predominately septal type of panniculitis. Calcifications are frequent and manifest as hyperechoic foci with posterior acoustic shadowing; in advanced stages, they may even obscure deeper portions of the lesion.
Cutaneous tuberculosis (TB) is a rare form of extrapulmonary TB and often poses diagnostic challenges due to its varied clinical manifestations. Erythema induratum of Bazin (EIB) is a recognized manifestation, representing a form of lobular panniculitis associated with cutaneous TB.
Clinically, it presents as erythematous to violaceous nodules or plaques, most commonly involving the posterior aspect of the lower legs in young or middle-aged women. Lesions may ulcerate and drain, and tend to recur, healing with scarring.
Histologically, EIB is characterized by lobular or mixed panniculitis with associated vasculitis involving septal veins and arteries. Necrosis is evident in approximately half of all cases.
The sonographic literature on EIB is scarce; however, reported cases describe a lobular or mixed panniculitis pattern on ultrasound.
Sarcoidosis is a multisystem disease characterized by the formation of non-caseating granulomas. Cutaneous involvement is common and highly variable, earning the disease the reputation of a “great imitator” in dermatology. Among the cutaneous forms, subcutaneous sarcoidosis is the least frequent, reported in 1.4–6% of patients with systemic sarcoidosis. It typically occurs in association with bilateral hilar lymphadenopathy. Clinically, it presents as papules or nodules, usually skin-colored, most commonly affecting the extremities.
On ultrasound, subcutaneous sarcoidosis appears as ill-defined, heterogeneous hypoechoic nodular or pseudonodular areas within the subcutis. These areas are often surrounded by subcutaneous tissue of increased echogenicity, corresponding histologically to granulomas and inflamed fat lobules, respectively(17). In most cases, central or peripheral hypervascularity is present. A septal panniculitis pattern is not infrequent and may correlate with longer disease duration(18).
Lipodermatosclerosis (LDS) is a chronic sclerosing panniculitis that almost exclusively affects the lower extremities, usually in the setting of severe chronic venous insufficiency. It is more common in middle-aged and older women, and obesity is associated with an increased risk of more severe disease.
The acute form presents with warmth, pain, erythema, and induration of the medial distal leg, typically with relatively diffuse margins. The chronic form is characterized by marked sclerosis of the skin and subcutaneous tissue, firm induration with sharp demarcation, and hyperpigmentation due to hemosiderin deposition. The typical distribution above the malleoli produces the characteristic “inverted champagne bottle” appearance.
Histopathologic changes in the subcutaneous tissue reveal both lobular and septal panniculitis. Early lesions show adipocyte necrosis with foamy cells, extravasation of erythrocytes within fat lobules and septa, and lymphocytic infiltrates. Thickened septa with increased numbers of fibrocytes and lymphocytic infiltrates are also observed in approximately 50% of acute cases. Lipomembranous fat necrosis with macro- and microcystic changes and septal fibrosis are predominant features in the subacute and chronic stages, presenting with variable severity. In approximately 60% of chronic cases, fat lobules are replaced by fibrosis(19).
On ultrasound, findings vary according to disease stage. In the acute phase, decreased echogenicity of the upper dermis and a mixed sonographic pattern within the subcutaneous tissue are observed, with frequent visualization of subcutaneous varicosities. Evaluation of the venous system during the same ultrasound examination is essential in this condition(20). In advanced stages of the disease, there is a noticeable decrease in the thickness of the SAT, with sclerosis and a fibrillar sonographic pattern.
In the acute stage, LDS is frequently misdiagnosed as cellulitis. Correct recognition is important to initiate appropriate treatment and prevent progression to chronic disease. Biopsy is generally not recommended because of the increased risk of ulceration.
Cellulitis is an infection that involves both the skin and the subcutaneous tissue. Diagnosis is usually clinical, and ultrasound is primarily used to rule out complications such as abscess formation or deeper extension. Although diagnosis may appear straightforward, up to one-third of patients presenting to the emergency department with suspected cellulitis are ultimately misdiagnosed.
Septic panniculitis is less common and generally occurs in immunocompromised or diabetic patients.
On ultrasound, infection-induced panniculitis manifests as dermal thickening with reduced echogenicity, associated fluid collections, and septal thickening of the SAT. Compared with other forms of panniculitis, vascularity is generally more pronounced.
Gouty panniculitis is a rare manifestation of gout, resulting from deposition of urate crystals within the subcutaneous tissue and accompanied by lobular panniculitis. Clinically, it usually presents as subcutaneous nodules, most commonly on the lower extremities.
Sonographically, gouty panniculitis appears as focal thickening of the subcutaneous tissue with mixed echogenicity and posterior acoustic shadowing. These areas are often surrounded by regions of increased lobular echogenicity and hypoechoic septa. Vascularity is typically sparse(21).
This type of panniculitis refers to subcutaneous disorders triggered by exogenous physical or chemical agents. Four main groups are recognized: cold panniculitis, sclerosing lipogranuloma, injection-related panniculitis, and blunt-trauma panniculitis.
The clinical and histologic features are nonspecific, although the distribution may suggest an exogenous origin. Cutaneous lesions appear as indurated, warm, red, subcutaneous plaques or nodules.
In clinical practice, blunt trauma panniculitis is especially relevant, as it may present as nodules long after the precipitating injury, which may even go unnoticed at the time. Any traumatic event affecting fat-rich areas can trigger lesions, and their development is not necessarily proportional to the severity of trauma.
Subcutaneous involvement is variable and may manifest as fat necrosis, lobular or mixed panniculitis, hemorrhagic contusion with hematoma formation, or focal lipoatrophy. Ultrasound findings therefore vary accordingly.
In the acute phase, blunt trauma panniculitis is visualized as an area of lobular panniculitis sonographic pattern beneath the contused skin. These lesions tend to be triangular, with the base at the skin surface. When compression occurs between the bone and a hard object, deeper involvement of the SAT, adjacent to bone, is common. Small spherical seromas are frequently observed within the affected region and tend to persist longer than areas of increased echogenicity (Fig. 6).

Blunt trauma panniculitis. Evolution after acute blunt trauma at the lateral aspect of the arm: A. Two days after trauma: predominantly lobular panniculitis sonographic pattern and round cysts (*); B. Four weeks later: decrease in the hyperechoic area and normalization of superficial hypodermal and dermal echogenicity; C. Three months after trauma: subtle hyperechogenicity around persistent cysts
“Fat fractures” may also be observed; dynamic ultrasound allows visualization of independent movement of the fractured planes during compression maneuvers.
Fat necrosis presents as ill-defined hypoechoic areas within the lesions, which become more discrete and increasingly hypoechoic with evolution. Eventually, capsular calcification may develop, limiting ultrasound transmission to deeper tissues. In nodular-cystic fat necrosis, there is an area of fat necrosis surrounded by a fibrous capsule that delimitates the lesion and gives a tumoral appearance. The lesion may be mobile under the skin.
Traumatic panniculitis due to pressure and shear repeated micro-traumas is frequent in athletes. In the lower extremities, the biker’s nodule, or perineal nodular induration, is an uncommon but well-known pseudotumor that develops immediately posterior to the scrotum as a soft normopigmented, bilateral or unilateral 2–3 cm nodule, located in the subcutaneous tissue. Its origin is the chronic perineal pressure and friction between the saddle and inferior ischial tuberosities. Histologically, this can result in delamination changes of fat in the ischiorectal fossae, eventually creating a pseudocyst lined by fibrinous material(22).
On ultrasound, imaging findings evolve over time. Initially, this entity appears as a poorly defined mixed panniculitis pattern involving the entire thickness of the subcutaneous tissue from the bony prominence to the dermis. Vascularity increases proportionally with physical activity.
Factitial panniculitis represents an inflammatory reaction to injected fillers or modelling substances, all of which produce similar findings. Clinically, these lesions appear as indurated, warm, erythematous subcutaneous plaques or nodules, sometimes arising long after injection.
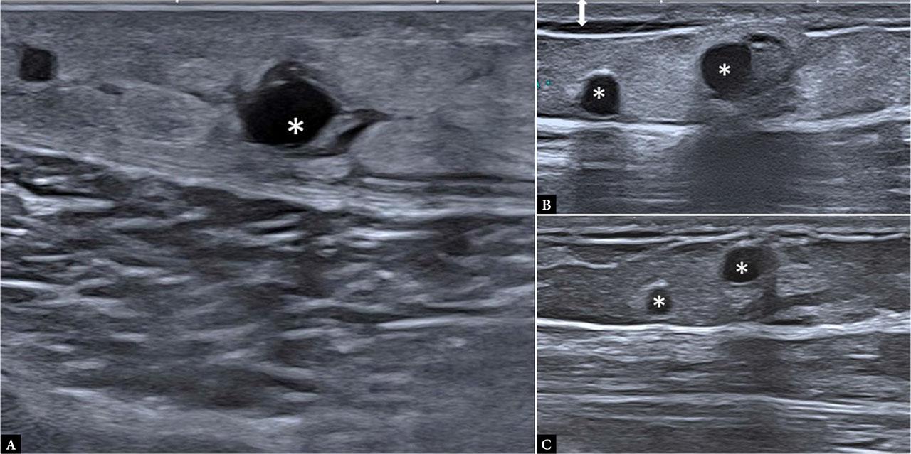
In the extremities, the use of dermal fillers is not as common; however, despite being banned by the FDA since 1960, is not entirely exceptional to encounter complications from the use of silicone oil as gluteal remodeling agent. On ultrasound, silicone oil shows a characteristic “snowstorm pattern”: a hyperechoic superficial band with posterior reverberation artifacts that completely obscure deeper structures. Occasionally, anechoic pseudocysts may appear, interspersed with hyperechoic areas, depending on the proportions of pure silicone and oily components present in the final formulation. In such cases, other imaging modalities may be necessary to assess lesion extension and depth(23,24). Autologous fat is used for gluteal augmentation through direct injection into the subcutaneous tissue or the muscle itself. On sonography, liquefied fat deposits appear as anechoic round or oval pseudocystic structures, sometimes with increased echogenicity of the subcutaneous tissue or adjacent muscles. Long-term follow-up may disclose mixed echogenicities and egg-like calcifications.
Ultrasound plays a prominent role not only in detecting both primary and secondary subcutaneous tumors, but also in identifying non-neoplastic subcutaneous disorders secondary to oncologic treatments.
Malignant infiltrates can occasionally produce subcutaneous nodules that mimic other forms of panniculitis. Neoplasms capable of producing panniculitis-like lesions include poorly differentiated carcinomas, lymphomas, multiple myeloma, and leukemia. Secondary skin and subcutaneous involvement by hematologic malignancies has been reported in approximately 15% of cases.
On ultrasound, malignant panniculitis may demonstrate plaque-like areas of cutaneous thickening and mass formation or as ill-defined areas within the subcutaneous fat containing hypoechoic foci on a hyperechoic background, with hypervascularity and a low resistive index on Doppler evaluation(25) (Fig. 7).

Malignant panniculitis: A, B. B-mode and Power Doppler images of a subcutaneous nodule in the posterior aspect of the right arm in a 47-year-old woman with lymphoblastic leukemia, showing a poorly marginated area in the subcutaneous tissue with increased volume and echogenicity, hypoechoic lines, and central and peripheral hyperemia; C, D. B-mode and Power Doppler images of a subcutaneous nodule in the posterior aspect of the right arm in a 41-year-old man with panniculitis-like T-cell lymphoma, showing a mixed panniculitis pattern involving the DSAT with chaotic vascular signals; the SSAT and dermis are spared
Among these entities, the most characteristic example is panniculitis-like T-cell lymphoma, a rare, indolent type of cutaneous lymphoma with primary origin in the SAT. It is characterized by predominant infiltration of subcutaneous adipose tissue with sparing of the dermis and epidermis. This subtype is especially relevant because patients typically present clinically with multiple palpable subcutaneous nodules without lymphadenopathy and are often misdiagnosed as having inflammatory panniculitis(26).
It is also essential to recognize that classic inflammatory panniculitides may occur in association with malignancy, including erythema nodosum, migratory thrombophlebitis, and pancreatic fat necrosis.
Another key factor is the introduction and development of immunotherapy over the past decade. Immunotherapy has significantly prolonged overall survival in various types of cancer, even in advanced or incurable disease. However, these treatments, due to their mechanism of action, are associated with autoimmune toxicities, immune-related adverse events (irAEs), which may lead to an erroneous diagnosis. Cutaneous irAEs are the most frequent manifestations. While rush and pruritus remain the most common cutaneous complications, novel dermatologic toxicities continue to emerge, some of which involve the subcutaneous tissue, manifesting as connective tissue disease-like reactions, vasculitis, panniculitis/erythema nodosum, and granulomatous eruptions(27).
Therefore, US is essential for the evaluation and monitoring of oncologic patients who develop palpable subcutaneous nodules or show subcutaneous uptake on other imaging techniques. US can distinguish between metastatic and inflammatory responses or guide biopsy.
Finally, certain cutaneous tumors show a tendency to infiltrate deeply into the SAT, usually spreading along interlobular septa. These histologic features can simulate a panniculitis-like appearance on ultrasound. Dermatofibrosarcoma protuberans (DFSP) is the most representative example. Sonographically, DFSP often appears as a dermo-hypodermal hypoechoic nodule with lobulated margins, or as tentacle-like hypoechoic projections extending vertically. Adjacent fat lobules may show increased echogenicity, corresponding histologically to tumoral fibroblastic proliferation along septa and fat lobules. Doppler may show flow signals either throughout the tumor or limited to its periphery(28).
Articular adipose tissue plays a crucial role in joint biomechanics. Intraarticular fat pads act as primary mechanical shock absorbers and friction-reducing cushions during joint movement. Deep adipose tissue around vessels and tendon attachments has the same role, protecting these structures by reducing friction and compressive stress.
The mechanical role is not the only function of deep articular adipose tissue. Nowadays, it is well established that this tissue is metabolically active and plays a fundamental role in the regulation of inflammation, endocrine signaling, and nociception. In recent years, a growing number of studies emphasize its involvement in the pathogenesis of osteoarthritis and rheumatoid arthritis, as well as its impact on enthesitis in different forms of spondyloarthropathy(29).
Overall, this tissue is susceptible to a wide spectrum of traumatic, degenerative, inflammatory, and neoplastic changes. However, it has limited patterns of response to injury; in most cases, the ultrasound appearance is non-specific and characterized by increased echogenicity, thickness, and vascularity, with a foggy appearance (Fig. 8).

Acute gout. A. Severe hyperechogenicity and loss of septal architecture in the adipose tissue surrounding the flexor digitorum longus tendon (*) in a 45-year-old man with acute pain and erythematous plaque at the medial aspect of the ankle. Spondyloarthropathy B. 37-year-old man with posterior ankle pain; B-mode image showing increased echogenicity of the posterolateral aspect of the ankle (dotted line); C. Comparative image of the contralateral ankle
The distribution of these findings can provide clues to the underlying etiology. In the Hoffa fat pad, involvement of the most anterior region correlates with tendinous pathology, while deep involvement correlates with synovial pathology. Superoexternal involvement is associated with femoropatellar impingement.
In general, when involvement of this structure is diffuse and extensive relative to the accompanying articular elements, a suspicion of an underlying inflammatory condition should be raised. This may be observed at the onset of certain connective tissue diseases or in patients with HIV undergoing antiretroviral treatment who develop joint pain with acute inflammation of intra- or periarticular adipose tissue(30).
On ultrasound joint examinations, the identification of deep subfascial fat inflammation should prompt a broader diagnostic evaluation and complementary imaging techniques.
The growing understanding of adipose tissue as an endocrine and immunomodulatory organ, together with the crucial role of periarticular fat in joint homeostasis, makes the meticulous assessment of these tissues and their pathologies essential in musculoskeletal ultrasound. Increased echogenicity of articular and periarticular adipose tissue in the absence of mechanical issues represents a first-line imaging marker and should raise suspicion of the presence of a focal or systemic inflammatory condition.
Correlation between histopathological and sonographic findings in panniculitides enables ultrasound to narrow the differential diagnosis, avoid biopsy or guide it when needed, and monitor disease activity.