Spontaneous biliary perforation (SBP) in infants is an uncommon but potentially serious condition(1). Its estimated incidence is 1.5 per 1,000,000 live births(2,3). The peak incidence of SBP is seen during the first year of life(4); however, there are no data on the estimated incidence in neonates.
The etiology of SBP is not clearly understood. Perforation may occur in the gallbladder or the bile ducts, and may be idiopathic or secondary to inflammation, infection, lithiasis, congenital anomalies and obstruction, birth trauma, and anticoagulant therapy(4,5,6). Three main theories about the causes of idiopathic SBP are most widely accepted: congenital weakness of the anterior common bile duct due to ischemia, pancreaticobiliary malunion causing reflux of pancreatic secretions and subsequent perforation, and the presence of choledochal cysts, often associated with biliary atresia or Caroli disease(7).
Clinically, there are no classical symptoms specific to this entity. In 80% of neonates, SBP presents with fluctuating jaundice, pale or acholic stools, bilirubinuria, slowly progressive ascites, abdominal distension, and growth failure(8). Less frequently, it may present as an acute abdomen with abdominal distension, fever, vomiting, irritability, and signs of severe fulminant peritonitis, which can progress to septic shock and death. In such cases, jaundice is less commonly observed(8). Due to its nonspecific clinical presentation, SBP may mimic more common conditions in the prenatal and postnatal periods, such as neonatal jaundice, biliary atresia, choledochal cyst, Alagille syndrome, enteric duplication cyst, pancreatic pseudocyst, and acute abdomen pathologies such as intestinal obstruction and necrotizing enterocolitis(9).
Given the lack of specific clinical signs, imaging plays a vital role in the diagnosis of SBP. Abdominal ultrasound (US) is the first-line imaging modality due to its ability to detect most abdominal pathologies, narrow the differential diagnosis, and guide further imaging(10). US findings in SBP include(3): a) a specific pathognomonic “hole sign” for gallbladder perforation, which represents a defect in the gallbladder wall at the site of perforation; and b) indirect signs, such as pericholecystic or perichodelochal fluid collections, usually accompanied by thickened duodenal wall due to irritation by free bile, contracted gallbladder, gallbladder wall thickening (more than 3 mm), gallstones, coarse intracholecystic echogenic debris, and bile duct dilatation. Other nonspecific findings include ascites, particularly around or below the liver hilum, which may be complex and septated, fluid collections elsewhere in the abdomen, and hepatomegaly. When only nonspecific findings are seen on US, further assessment with additional imaging modalities is necessary.
The purpose of this paper is to present two etiologically distinct cases of SBP in neonates, highlighting US findings as the initial diagnostic imaging modality, along with a literature review focused on the imaging approach to this rare but potentially dangerous condition. Jaundice and nonspecific abdominal symptoms are common in neonates, and SBP should be considered in the differential diagnosis based on both direct and indirect US findings.
A post-term female neonate was admitted to the neonatal ward due to neonatal hypoxic-ischemic encephalopathy. During her hospital stay, routine abdominal US showed a cluster of small gallstones within the gallbladder, without signs of cholestasis or inflammation. At nine days of age, she was discharged home. She was readmitted three days later due to vomiting, refusal to feed, and elevated gamma-GT and bile acids. Repeated abdominal US showed a variably sized gallbladder free of stones, a normal-sized main bile duct with a small hyperechoic focus in its distal portion, suspicious for a small stone, an adjacent fluid collection, and a thickened duodenal wall (Fig. 1).

Ultrasound findings suggestive of biliary perforation in the first patient: A. normal gallbladder wall thickness without intraluminal stones, thickened hyperechoic duodenal wall (black arrow) and a pouch of fluid collection (arrowheads), B. small hyperechoic formation with distal shadowing at the end of the common duct suspicious for a small stone (arrow), no bile duct dilatation, c) localized fluid collection (arrowheads)
Magnetic resonance cholangiopancreatography (MRCP) showed the suspected site of perforation and a small stone within the choledochal duct. Endoscopic retrograde cholangiopancreatography was unsuccessful; the stone could not be removed due to the small size of the bile ducts and the inaccessibility of the stone. Following the failed procedure, the child was transferred to the intensive care unit due to worsening symptoms. Ascites increased, and the child’s condition worsened despite needle drainage of the ascites. A hepatobiliary iminodiacetic acid scan (HIDA) was performed at the surgeon’s request, demonstrating radiotracer accumulation in the abdominal cavity outside the biliary system, thereby confirming SBP. Intraoperative cholangiography performed during surgery revealed bile leakage at the distal end of the gallbladder’s cystic duct. A drain was inserted into the gallbladder to reduce intraperitoneal bile leakage, resulting in spontaneous closure of the perforation.
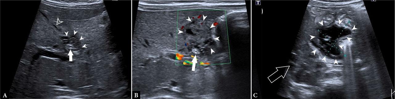
A full-term 28-day-old female infant was admitted with vomiting, diarrhea, and jaundice. The child was vitally stable and afebrile but vomited after every meal. Clinical examination showed generalized abdominal tenderness, and laboratory tests showed elevated gamma-GT (9.43 µkat/L) and elevated total and direct bilirubin (90 µmol/L and 33 µmol/L, respectively) levels. Abdominal US showed a 28 × 14 mm hypoechoic, septated formation located at the liver border within the hepatoduodenal ligament. The gallbladder was contracted, with an irregularly thickened wall and no signs of hyperemia. The choledochal duct wall was concentrically thickened and hyperechoic, with adjacent peritoneal fat showing thickening and hyperemia (Fig. 2). These findings were suspicious for gallbladder perforation. To further define the anatomical location and extent of the septated formation, contrast-enhanced abdominal MRI was performed, revealing a fluid collection extending from the hepatoduodenal ligament to the anterior pararenal space. There was no restriction of diffusion. Subsequently, HIDA scan and single-photon emission computed tomography (SPECT) were performed, demonstrating pathological bile leakage into the subhepatic collection. As the child was stable at the time and had no elevated inflammatory markers, she was treated conservatively with antibiotics. Follow-up ultrasounds were performed due to severe worsening of symptoms and elevated liver enzymes. US showed progressive changes, including increasingly hyperechoic and irregularly thickened gallbladder wall (up to 3 mm), increased concentric thickening of the common bile duct, and dilatation of the intrahepatic ducts. The fluid collection became more complex, with higher density and wall thickening. Clinical worsening, along with ultrasound findings, warranted operative intervention. Intraoperatively, a perforation was identified just below the entry point of the cystic duct into the hepatic duct. The perforated bile duct was distally stenotic and practically impassable. Cholecystectomy and Roux-en-Y hepaticojejunal anastomosis were performed.

Ultrasound findings suggestive of biliary perforation in second patient on admission: A. and B. beginning of the septated collection in the hepatoduodenal region (arrowheads), concentric thickening of the distal common biliary duct (arrow), and contracted gallbladder (empty arrowhead), C. extension of the fluid collection (arrowheads) down to the level of the right kidney (empty arrow) in the anterior pararenal space
SBP was first described by Dijkstra in 1932(11). In our review of the literature on SBP in children, we identified 296 pediatric cases, including 31 neonatal cases. For the presented focused review, we included 23 neonatal cases of SBP reported since 1995, with an emphasis on imaging findings, particularly the role of ultrasonography (US), as summarized in Table 1. The article by Chardot et al. (1996) was not included because it did not distinguish between neonatal and non-neonatal cases(12).
Literature review of neonatal cases of spontaneous gallbladder perforation
| Article | Gender | Age (days) | Cause | Location of perforation | Diagnostic/Therapeutic methods (chronological) | Ultrasound findings (signs) | Was US diagnostic? |
|---|---|---|---|---|---|---|---|
| Mishra et al., 2024(20) | M | 28 | Idiopathic | Proximal part of the CBD | Paracentesis, HIDA, MRCP, US-guided transcutaneous drain | – | – |
| Takrouneyet al., 2023(26) | M | 5 | Idiopathic | GB infundibulum | US, abdominal X-ray, laparotomy | NONSPECIFIC: minimal free intraperitoneal fluid with no biloma or subhepatic abscess formation. | Nondiagnostic |
| Jeniga et al., 2022(19) | F | 8 | Idiopathic | GB fundus | Abdominal X-ray, US, laparotomy |
| Diagnostic |
| Sharif et al., 2021(21) | X | 11 | Idiopathic | GB fundus | US*, laparotomy |
| Diagnostic |
| Leung et al., 2020(22) | F | 21 | Idiopathic | GB infundibulum | US, HIDA, MRCP, laparotomy |
| Diagnostic |
| Tavakoli et al., 2019(18) | F | 12 | Idiopathic | GB posterior wall | US, HIDA, abdominal CT, laparotomy | INDIRECT: contracted gallbladder. | Diagnostic |
| Hopper et al., 2018(6) | M | 21 | Idiopathic | The confluence of the cystic and CBD | US, HIDA, laparotomy | NONSPECIFIC: mild to moderate ascites (normal liver and gallbladder with no dilation of the intra- or extrahepatic ducts). | Nondiagnostic |
| Naik et al., 2018(23) | M | 4 | Idiopathic | GB body | Abdominal X-ray, US, laparotomy |
| Diagnostic |
| M | 5 | Prematurity (born at 8 months of gestational age) | GB body | Abdominal X-ray, US, laparotomy |
| Diagnostic | |
| M | 11 | Ileus (intestinal adhesions and obstruction) | GB body | Abdominal X-ray, US, laparotomy | NONSPECIFIC: dilated small bowel loops with sluggish peristalsis and a collapsed colon, hinting at a possible distal ileal obstruction but with no frank malrotation of the gut. | Nondiagnostic | |
| Bjørn, et al., 2017(6) | M | 20 | Delivery trauma or neonatal asphyxia | Angle between the cystic duct and the common bile duct | US, abdominal X-ray, laparotomy | NO ABNORMALITIES | Nondiagnostic |
| Beltran et al., 2017(8) | F | 7 | Necrotizing enterocolitis | Extrahepatic bile duct | Abdominal X-ray, US, laparotomy |
| Nondiagnostic |
| Reyna-Sepulveda et al., 2016(1) | F | 14 | Idiopathic | CBD | US, PTC, laparotomy |
| Diagnostic |
| Sheets et al., 2015(25) | M | 7 | Prematurity (born at gestation of 26 weeks) | GB fundus | Abdominal X-ray, laparotomy | / | / |
| Chen et al., 2012(14) | F | 10 | Biliary perforation 6 days after UTI sepsis | Bifurcation of the common hepatic junction (anterior wall) | US*, paracentesis, laparotomy | NONSPECIFIC: massive ascites. | Nondiagnostic |
| Livesey et al., 2007(13) | M | 27 | Idiopathic | Proximal part of CBD | US*, laparotomy | NONSPECIFIC: fluid collection in the lesser sac. | Nondiagnostic |
| M | 18 | Idiopathic | CBD | US, HIDA, laparotomy | NONSPECIFIC: free intraperitoneal fluid without any evident masses. | Nondiagnostic | |
| Sahnoun et al., 2006(17) | M | 27 | Idiopathic | Proximal part of CBD | US, abdominal CT, laparotomy | INDIRECT: hypoechogenic multicystic fluid collection localized in the porta hepatis. | Diagnostic |
| M | 19 | Idiopathic | CBD | US*, CT-guided needle aspiration, laparotomy | INDIRECT: a localized 3×1.5 cm fluid collection in the hilum of the liver with mild dilatation of the main bile duct. | Diagnostic | |
| Gull et al., 2005(15) | M | 3 | Prematurity (born at gestation of 29 weeks) | GB neck | Abdominal X-ray, laparotomy | / | / |
| Kumar et al., 2001(16) | M | 2 | Idiopathic | The site of perforation is not explicitly identified | US, abdominal X-ray, barium meal, laparotomy | NONSPECIFIC: mild hepatomegaly, no dilatation of the intrahepatic bile ducts. | Nondiagnostic |
| Nambirajan et al., 2000(24) | X | 3 | Operated for diaphragmatic eventration through the chest | GB neck | US, barium meal, laparotomy | NONSPECIFIC: suggestive of extrinsic compression (biloma on US) in the region of the pylorus. | Nondiagnostic |
| Hirigoyen et al., 1995(27) | F | 24 | Idiopathic | CBD (anterior wall) | Abdominal X-ray, laparotomy | / | / |
M – male; F – female; X – gender unknown; UTI – urinary tract infection; US – ultrasound; HIDA – hepatobiliary iminodiacetic acid scan; MRCP – magnetic resonance cholangiopancreatography; PTC – percutaneous transhepatic cholangiography; US* – ultrasound was the sole imaging method; CBD – common bile duct; GB – gallbladder
In the 23 neonatal cases, age at symptom onset ranged from 3 to 28 days, with a mean of 13 days and a median of 11 days. There were 14 males and 7 females; the sex of two neonates was not reported (Tab. 1).
The clinical presentation of SBP is frequently nonspecific, with reported symptoms and signs including irritability, lethargy, poor feeding, fever, vomiting, jaundice, pale (acholic) stools, constipation or diarrhea, abdominal distention, and reduced or absent bowel peristalsis(1,6,7,8,13,14,15,16,17,18,19,20,21,22,23,24,25,26,27).
In 15 cases for which laboratory data were provided, bilirubin levels were elevated, often along with other abnormalities such as elevated liver enzymes(1,7,13,14,15,16,17,18,19,20,21,22). In one case, elevated bilirubin levels were reported after birth but improved with phototherapy, so no further bilirubin measurements were performed(22). In seven cases, no laboratory information was reported(6,8,23,24,25,26,27).
The analysis of imaging approaches focused primarily on US findings, but other imaging methods were also analyzed. The literature review shows that US was used as the initial diagnostic modality in 19 out of 23 cases and identified SBP in 47.4% of cases, based on the pathognomonic US “hole sign” in two cases and indirect signs in seven cases. Nonspecific US findings often accompanied specific and indirect signs. In 47.4% of cases, only nonspecific signs were found. In one case (5.2%), no abnormalities were found on US (Fig. 3).

Use of ultrasound in neonatal cases of spontaneous biliary perforation: Legend: US – ultrasound; SBP – spontaneous gallbladder perforation
Abdominal X-ray was performed either as the first-line or secondary method alongside US in 11 cases but was nondiagnostic for SBP in all of them(6,8,15,16,19,23,25,26,27).
HIDA scans (reported from 2007 onward) or MRCP (from 2020) have been shown as preferred advanced diagnostic tools to confirm SBP(7,28). HIDA proved diagnostic in 60% of cases (3 of 5)(13,20,22). In the remaining two cases, contrast leakage was observed; however, based on the location of the contrast, intestinal perforation was initially suspected(7,18). HIDA is highly sensitive for demonstrating possible bile leakage into the peritoneal cavity, with absence of activity in the duodenum(28). In recent years, MRCP has shown promising results in demonstrating the gallbladder wall and its possible defects(7,28). According to the literature review, MRCP proved diagnostic in two of two cases(20,22). The anatomy and extent of pericholecystic abscesses are better delineated by abdominal MRI(28).
CT was used only in only one case, where it was diagnostic for SBP(18). Diagnostic paracentesis was reported in two cases(14,20).
In 65.2% of cases (15 of 23), the diagnosis was definitively confirmed intraoperatively during laparotomy, often with the use of intraoperative cholangiography, either due to the neonate’s instability preventing further imaging, or because the imaging methods used failed to confirm SBP(6,7,8,13,15,16,17,23,24,25,27).
According to the literature review, there is no predilection site for perforation: in 10 cases, perforation occurred in the gallbladder, in 12 cases, along the bile ducts, and there are no data for one case ( Tab. 1).
In general, US is the primary imaging tool for suspected abdominal pathology in neonates, infants, and children. In many cases, US is diagnostic and no further imaging is necessary.
Specific US findings, such as the “hole sign”, are rarely seen, but can directly confirm the diagnosis of SBP at the level of the gallbladder(29). However, directly visualizing a discontinuity in the gallbladder wall remains challenging and is possible in only a minority of cases, primarily due to technical limitations. These include inadequate imaging of the fundus, which is located relatively anteriorly and caudally, often outside the imaging plane of the rest of the gallbladder and frequently out of focus. Despite these difficulties, accurate visualization of the fundus is crucial, as most gallbladder perforations occur in this area(30). Distension of the gallbladder and edema of its wall may represent the earliest signs of impending perforation. The majority of SBP cases in children occur in the biliary ducts. In neonates, however, the site of perforation is evenly distributed between the gallbladder and bile ducts, according to our literature review. In our cases, the cystic duct and the common bile duct just below the insertion of the cystic duct were the sites of perforation.
Pericholecystic fluid collection, with or without accompanying thickening of the duodenal wall due to irritation by free bile, strongly suggests the diagnosis of SBP which should be confirmed either by HIDA or MRCP. This is particularly relevant in cases with indirect signs, such as gallbladder distension, gallbladder wall thickening, gallstones, coarse intracholecystic echogenic debris, bile duct dilatation, as well as nonspecific findings such as ascites, fluid collections anywhere else in the abdomen, or hepatomegaly – combined with clinical and laboratory findings suggestive of hepatobiliary pathology.
SBP is a rare condition that typically presents with nonspecific clinical symptoms, particularly in neonates. It should be considered as the differential diagnosis in any neonate presenting with unexplained jaundice. Advances in ultrasound technology, including the development of microconvex and high-frequency probes, have improved image resolution and significantly enhanced diagnostic reliability, particularly in neonatal imaging. Therefore, familiarity with US findings in various pathological conditions is essential. Abdominal US is not only an excellent initial imaging modality but may, in some cases, provide a definitive diagnosis or guide further diagnostic steps. Recognition of indirect sonographic signs can assist in identifying SBP, while nonspecific findings may further support the diagnostic process. US is also valuable for monitoring disease progression, detecting complications, and potentially guiding treatment through interventional procedures, although such applications remain infrequent.