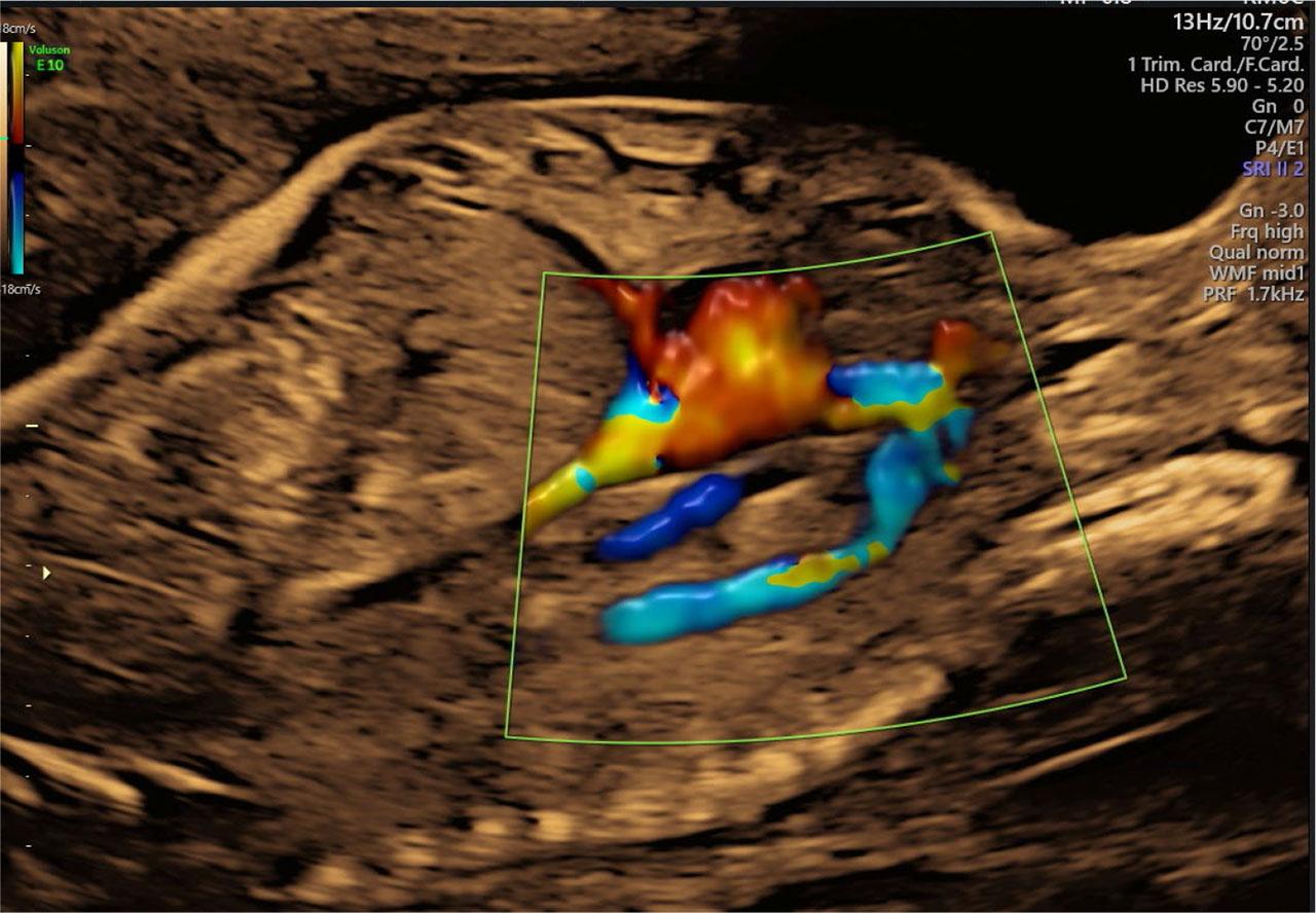
Fig. 1.

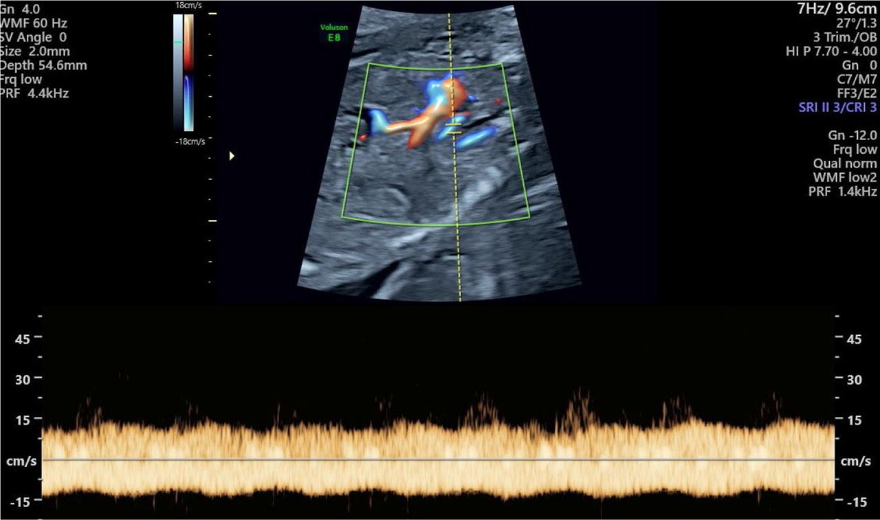
Fig. 2.

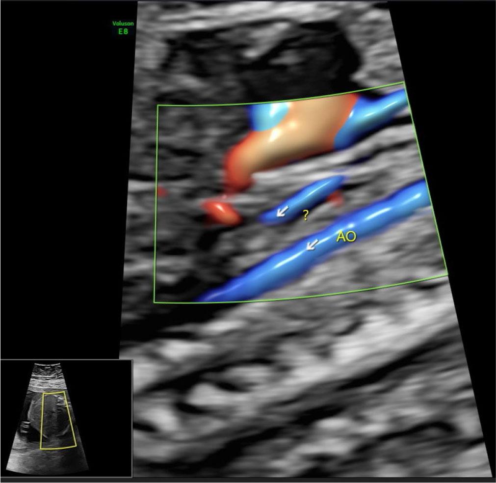
Fig. 3.

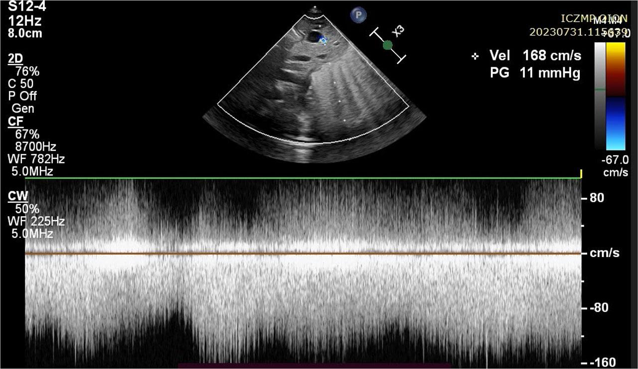
Fig. 4.

Fig. 5.

Fig. 6.

Fig. 7.

Fig. 8.

Fig. 9.

Fig. 10.

Comparison of prenatal and postnatal echocardiographic diagnosis
| Prenatal diagnosis | Postnatal diagnosis |
|---|---|
| Situs inversus | Situs inversus |
| Levocardia | Levocardia |
| ASD | ASD |
| Infracardiac-type TAPVC | Infracardiac-type TAPVC |
| SV | SV |
| Hypoplastic aortic arch | Hypoplastic aortic arch / CoA |
| IAA | IAA |
| Hypoplastic left ventricle and small LA | HLHS |
| Common AV | Common AV |
| Missed l-TGA as part of prenatal diagnosis | l-TGA |
| No AV valve regurgitation | AV valve regurgitation |
Basic ultrasound parameters in three examinations in the analyzed fetus
| Selected parameters | Ultrasound and echocardiographic examination at 24.2 weeks of gestation (LMP) | Ultrasound and echocardiographic examination at 30.5 weeks of gestation (LMP) | Ultrasound and echocardiographic examination at 37.3 weeks of gestation (LMP) |
|---|---|---|---|
| EFW [g] | 589 | 1511 | 3044 |
| CVPS | 10/10 | 10/10 | 10/10 |
| Fetal position | Cephalic | Breech | Breech |
| Placental thickness [mm] | 23 | 40 | 40 |
| AFI [cm] | 20 | 16 | 16 |
| AP [mm] | 23 | 29 | 29 |
| PA [mm] | 4.5 | 7.2 | 7.2 |
| AO [mm] | 2.6 | 3.3 | 3.3 |