Fig. 1.

Fig. 2.

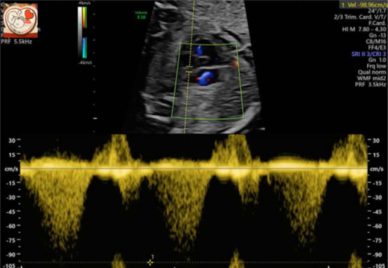
Fig. 3.

Fig. 4.





© 2025 Sławomir Witkowski, Maria Respondek-Liberska, Iwona Strzelecka, published by MEDICAL COMMUNICATIONS Sp. z o.o.
This work is licensed under the Creative Commons Attribution-NonCommercial-NoDerivatives 4.0 License.