Ultrasonography is a valuable method for evaluating the foot and ankle joint, along with its surrounding tendons(1,2). However, the effectiveness of ultrasonography in assessing tendon injuries can vary based on several factors, including the examiner’s experience, the equipment used, the type of injury, and its location. Lateral ankle pain following trauma is a common complaint, and the differential diagnosis should always include a peroneal split tendon. An injury to the peroneus brevis tendon can restrict physical activity and potentially lead to complications such as obesity in the long term. The precise frequency of peroneus brevis split rupture is not well-documented; however, some estimates suggest an incidence rate between 30% and 60%(3,4). Clinical symptoms are nonspecific and can overlap with lateral ligament ruptures, which may coexist. It is known that peroneus brevis split ruptures are more common than peroneus longus split ruptures(2,3). Most peroneus brevis split ruptures occur in the groove of the lateral malleolus(4,5). The peroneus brevis is susceptible to split rupture because it is confined between the fibular groove, the peroneus longus tendon, and the superior peroneal trochlea. A peroneus brevis split rupture may coexist with or result from instability if the anterior talofibular and calcaneofibular ligaments are torn. These ligaments are anatomically connected to the peroneal retinaculum, stabilizing the peroneal tendons within the groove on the lateral malleolus(6,7).
Inversion ankle injuries account for approximately one-fifth of all athletic injuries(5). Among these lateral ankle injuries, a torn anterior talofibular ligament is the most common pathological finding. Most lateral ankle sprains heal successfully without long-term issues, even though they are often undertreated. However, up to one-fifth of patients experience persistent pain or instability following an ankle sprain(6). The lateral structures of the ankle communicate with each other, forming the Lateral Ankle Triad, which includes the peroneus tendons and their associated sheaths, as well as the lateral ligaments: the anterior talofibular, calcaneofibular, and posterior talofibular ligaments( 7). Up to two-fifths of patients report ongoing disability, with some studies indicating even higher percentages(8). Peroneal tendon tears, which commonly occur during inversion ankle injuries, are frequently missed during initial evaluations. One study found that only about two-thirds of peroneal tendon disorders were accurately diagnosed during the first clinical assessment, and approximately half can be missed on the initial MRI scans(9,10). Pain in the posterolateral part of the ankle that lasts for more than eight months may be associated with a peroneus brevis split rupture(11,12,13).
Patients experiencing nonspecific pain and discomfort on the lateral side of the ankle joint for some time are typically referred for ultrasound or MRI. The International Olympic Committee (IOC)(8) emphasizes the importance of preventing sports injuries, including those involving the peroneal tendons. MRI plays a crucial role in the early detection of such pathologies, allowing for prompt treatment. However, both clinical and radiological diagnosis of peroneal tendon injuries can be challenging and may result in missed diagnoses. Moreover, there is a lack of comprehensive studies directly comparing ultrasound and MRI in the assessment of pain in the posterior part of the lateral malleolus.
The aim of this study was to evaluate the diagnostic value of ultrasound compared to MRI, used as a reference standard, in detecting peroneus brevis split ruptures in patients with pain posterior to the lateral malleolus.
This retrospective study involved a re-review of 112 ultrasound examinations conducted between 2020 and 2021 by three musculoskeletal radiologists, each with 8–10 years of experience.
Patients referred by orthopedic specialists due to pain persisting for a minimum of 8 months in the posterior lateral malleolus area, where a peroneus brevis split was suspected, were included in the study. The eight-month threshold was selected based on clinical practice and previous literature, indicating that ankle pain of this duration warrants further investigation through imaging techniques such as ultrasound and MRI(11,12,13).
Patients with recent ankle fractures, tumors, inflammatory arthropathies, or previous ankle surgeries were excluded from the study.
Examinations were conducted using a LOGIQ E9 GE ultrasound machine with a linear probe operating at 6–15 MHz or 18 MHz. Sixty-three patients underwent subsequent MRI examinations within a maximum of 8 months after their ultrasound assessments. MRI parameters included a voxel size of 0.45 × 0.53 × 3.0 mm, a slice thickness 3 mm, and a field of view (FOV) of 14 cm.
Ultrasound reports and MRI findings were independently analyzed by radiologists blinded to the clinical data, with consensus used for determining the final results. Findings were categorized as a) no peroneus split, b) presence of peroneus split, or c) unspecific findings. MRI results served as the reference standard.
A power analysis indicated that the sample size would provide sufficient power (80%) to detect meaningful differences in the diagnostic performance of ultrasound and MRI, with a significance level of 0.05. Sensitivity, specificity, PPV, NPV, and accuracy of ultrasound were calculated and compared to MRI. Receiver operating characteristic (ROC) curves were analyzed to determine diagnostic accuracy. Calculations were performed using MedCalc’s diagnostic test calculator (https://www.medcalc.org/calc/diagnostic_test.php).
The study was approved by the Swedish Ethical Review Authority (Approval No. 2020-06177 and 2024-07283-02).
The study cohort consisted of 63 individuals, including 36 women and 27 men, aged 18 to 83 years. The mean age was 50.9 years, with a standard deviation of 16.2 years. MRI was performed in all 63 patients following their ultrasound assessment. Ultrasound examinations revealed a total of 17 split ruptures (20.7% of the patient cohort). Of these, seven cases (11.1%) were false positives (diagnosed on ultrasound but not confirmed by MRI), and nine cases (14.3%) were false negatives (missed by ultrasound but detected on MRI). Six cases (9.5%) were true positives (Fig. 1 and Fig. 2) (identified on both ultrasound and MRI), and 41 patients (65.1%) were true negatives (negative on both modalities).

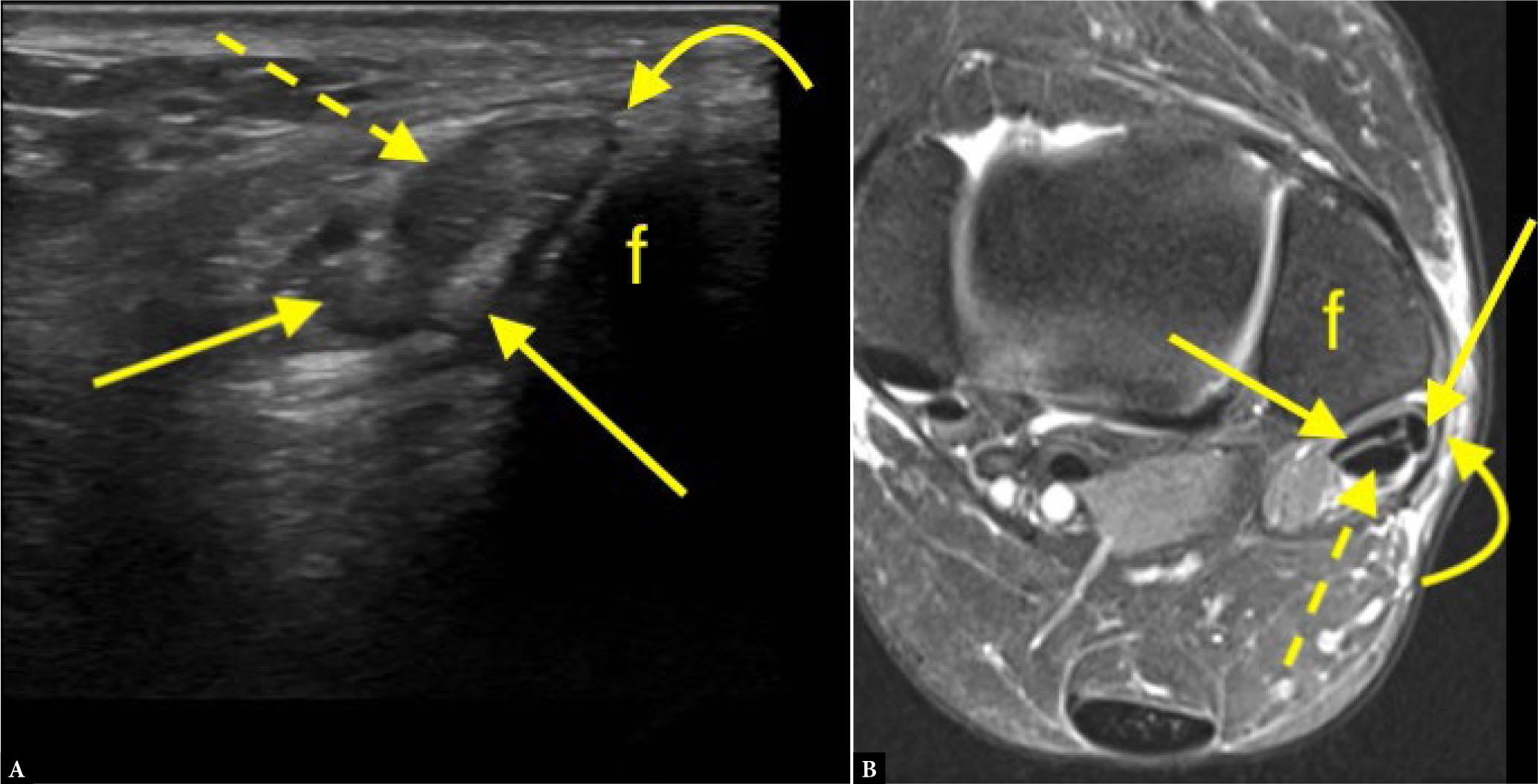
True positive finding on ultrasound. A 49-year-old patient with pain posterior to the left lateral malleolus for 9 months. A. Ultrasound (transverse crosssection at the level of the lateral malleolus marked with ‘f ’) revealed a peroneus brevis split rupture. B. MRI conducted 6 months after the ultrasound confirmed the peroneus brevis split rupture (proton density-weighted image with fat suppression). Straight arrows indicate the peroneus brevis split rupture, the dashed arrow points to the normal peroneus longus, and the curved arrow indicates the superior peroneal retinaculum

True positive finding on ultrasound. A 45-year-old patient with pain posterior to the right lateral malleolus for 8 months. Ultrasound (transverse cross-sectional) revealed a peroneus brevis split rupture at the level of the lower half of the lateral malleolus (A). MRI conducted 3 months after the ultrasound confirmed the peroneus brevis split rupture (B. proton density-weighted image with fat suppression). Straight arrows indicate the peroneus brevis split rupture, the dashed arrow points to the peroneus longus, and ‘f ’ shows the lateral malleolus. P brev and p longus refer to the peroneus brevis and peroneus longus
Using MRI as the reference standard, ultrasound exhibited a sensitivity of 40.00% and a specificity of 85.42% (Tab. 1). The positive predictive value was 46.15%, and the negative predictive value (NPV) was 82.00%.
Diagnostic test evaluation
| Statistic | Value | 95% CI |
|---|---|---|
| Sensitivity | 40.00% | 16.34% to 67.71% |
| Specificity | 85.42% | 72.24% to 93.93% |
| Positive likelihood ratio | 2.74 | 1.09 to 6.91 |
| Negative likelihood ratio | 0.70 | 0.46 to 1.08 |
| Disease prevalence* | 23.81% | 13.98% to 36.21% |
| Positive predictive value* | 46.15% | 25.39% to 68.34% |
| Negative predictive value* | 82.00% | 74.78% to 87.50% |
| Accuracy* | 74.60% | 62.06% to 84.73% |
These values are dependent on disease prevalence
In 21 patients (51.2%) where neither MRI nor ultrasound detected a split rupture, symptoms persisted for at least a year post-ultrasound examination. Among this group, 14 new MRI examinations were conducted within six months of follow-up, none of which confirmed the presence of a split rupture.
The ROC analysis did not demonstrate a clear superiority of either imaging modality (Fig. 3). The area under curve (AUC) was 0.627 (Standard Error 0.088), 95% CI (0.454–0.800).

Receiver operating characteristic (ROC) curve in the study
A peroneus longus split rupture at the level of the lateral malleolus was identified in one patient using both ultrasound and MRI. Additionally, MRI revealed two further cases of peroneus longus split rupture that were missed by ultrasound.
The main findings of our study indicate that the detection rate of peroneus split ruptures using ultrasound is limited. Ultrasound demonstrated limited sensitivity but high specificity in detecting peroneus brevis split ruptures. According to our study results, ultrasound may not effectively differentiate between true and false positives. Notably, the incidence of peroneus split ruptures revealed in our study was lower than the lowest rate reported in a previous cadaveric study(14). This discrepancy means that MRI may also be insufficient to detect split ruptures, highlighting the need for further studies. We analyzed the characteristics of the falsely negative and falsely positive ruptures but did not identify any specific patterns or distinguishing features. We acknowledge that these factors may influence diagnosis and should be addressed in future prospective studies to better understand their impact on diagnostic accuracy.
Peroneal tendon pathology is often overlooked(15) and contributes to lateral ankle and hindfoot pain, posing challenges in distinguishing it from lateral ankle ligament injuries and laxity(15,16). The peroneus brevis and longus tendons are located in the lateral leg compartment, and play a crucial role as pronators and stabilizers of the foot and ankle. Pathological conditions include tendinitis, tenosynovitis, tendon subluxation, dislocation, splits, and tears, potentially leading to ankle instability, ankle and hindfoot deformity, and anatomical anomalies(15). Clinical evaluation should comprise an assessment of foot type, peroneal palpation during resisted ankle movements, and testing of lateral ankle ligaments. Imaging modalities, such as radiographs, ultrasound, and MRI, aid in diagnosis(3,4,15,17). Treatment depends on the detection of a split tear; however, there is no consensus, based on studies on larger cohorts, regarding the diagnostic value of radiological examinations for this condition.
The sensitivity and specificity for detecting interstitial tears in the peroneus brevis performed before on MRI(13) with correlation to surgical findings showed similar results as in our study for ultrasound with correlation to MRI. In contrast, a study conducted on a cohort nearly three times smaller(18) reported almost double the sensitivity compared to our study and the previously cited one(13). Recently, a comparative analysis of ultrasound and MRI in the diagnosis of peroneus brevis tears was published, showing that MRI was marginally superior to ultrasound(19). However, the study was conducted on a cohort nearly three times smaller than ours, making it difficult to compare the results directly. It is also important to note that variations in study outcomes may arise because some peroneus split ruptures are asymptomatic(20), and patients may have symptoms of varying duration. As observed, cohort size can be a factor impacting the results.
A study evaluating the value of ultrasound on a cohort similar in size to ours reported sensitivity, specificity, and accuracy rates of 100%, 85%, and 90%, respectively(21). Another study showed that ultrasound had a sensitivity of 100%, specificity of 89.9%, and accuracy of 94.4%(22). These sensitivity rates are significantly higher than those found in our study. The authors compared ultrasound findings with surgical findings; however, patients whose ultrasounds did not show a split rupture were not operated on. In contrast, our study identified a group of patients in whom ultrasound failed to detect a split rupture, but MRI did. We thus conclude that the lack of surgical confirmation for patients with normal tendons on ultrasound is a limitation in the referenced study. Using intraoperative findings as a reference means that less advanced changes are excluded from analysis. Similarly, relying on magnetic resonance imaging (MRI) as a reference is also challenging due to variations in imaging protocols and the quality of the studies. Methodological differences make it difficult to directly compare results from different studies. While our sample size was adequate for an initial evaluation, a larger cohort would enhance the generalizability of our findings. The inclusion of more patients across multiple centers would help validate our results and ensure their applicability to a broader patient population.
Diagnostic ultrasonography of peroneus brevis split rupture remains challenging. Clinical evaluation of patients with lateral ankle pain is equally demanding. Chronic ankle instability may stem from a peroneus brevis tendon split. The condition is often treated surgically through tendon repair, superior peroneal retinaculum reconstruction, and fibular posterior edge flattening(23). The true incidence of peroneus split rupture is not known(14), as clinical symptoms are nonspecific and may overlap with lateral ligament ruptures(16). In our study, conducted in a clinical settings, orthopedic physicians examined patients, and clinical findings were included in the referral process. However, questions regarding the peroneus brevis split were often clinical inquiries. Patients with peroneus split ruptures may also have coexisting lateral ankle ligament injuries, such as those to the anterior talofibular ligament and calcaneofibular ligament(12,16). The complex anatomy of these ligaments and their connections to the superior trochlear retinaculum(7), can lead to peroneus tendon instability in the event of injury, contributing to tendinosis and tear(24).
The clinical diagnosis and imaging of peroneus brevis split ruptures are challenging. Approximately 50% of peroneus brevis split ruptures can be missed on MRI examinations(9), leading to the progression of clinical symptoms and delayed diagnosis. The potential for overlooking a peroneus brevis split on MRI underscores the importance of seeking second opinions and consultations with more experienced colleagues. From the perspective of radiologist education, feedback and surgical findings are very important.
Experience in musculoskeletal ultrasound is essential for accurate diagnosis(25). The complex anatomy and varied course of the structures make ultrasonographic evaluation challenging. Clinical skills are acquired with experience, which is why our study included examinations performed by radiologists with comparable expertise. In patients where neither MRI nor ultrasound detected any abnormalities, additional examinations were conducted. This illustrates the uncertainty in clinical diagnosis, which generates further examinations, potential progression of an unrecognized disease, and additional healthcare costs(26).
Although ultrasound has its limitations, it remains a valuable diagnostic tool in the clinical evaluation of peroneus brevis split ruptures. Its high specificity supports its use in confirming diagnoses; however, its limited sensitivity highlights the need for further imaging and clinical correlation to ensure comprehensive patient care. False positives and false negative findings in our study have significant clinical implications. False positives can lead to unnecessary surgical interventions, causing patient anxiety and increasing healthcare costs. On the other hand, false negative findings can delay appropriate treatment, potentially worsening patient outcomes, prolonging recovery, and increasing complications. The study highlights the role of a multimodal diagnostic approach in musculoskeletal radiology, specifically for peroneus brevis split ruptures, by combining ultrasound and MRI to improve diagnostic accuracy. By leveraging the strengths of both imaging modalities, clinicians can make more informed decisions, ultimately improving patient care and reducing the risk of misdiagnosis.
The limitations of our study include its retrospective design, as it was conducted in a single-center clinical setting. Surgical correlation is lacking because peroneus split ruptures are not always operated on, or patients undergo surgery outside our center, leading to limited access to surgical data. Ultrasound examinations were performed as part of clinical routine by three specialists (with each examination conducted by one radiologist) from our center, making it impossible to assess interobserver variability. The use of MRI as the reference standard is also a limitation, as the effectiveness of MRI in assessing peroneus split rupture remains uncertain.
Our study revealed that while ultrasound has limited sensitivity, it exhibits high specificity in detecting peroneus brevis split ruptures compared to MRI. The accuracy of ultrasound in diagnosing peroneal tendon tears may be influenced by the operator’s expertise. Despite these limitations, ultrasound remains a valuable imaging method, allowing for a dynamic evaluation of the joint. In cases where a peroneus brevis split is suspected but not confirmed by ultrasound, MRI should be considered as an additional diagnostic tool to ensure accurate diagnosis.