Hydrocele of the canal of Nuck is defined as a collection of fluid within the processus vaginalis in females and is the equivalent of a spermatic cord hydrocele(1). It typically presents as an inguinal swelling which extends to the labia major during the Valsalva maneuver and does not usually enlarge in size, which differentiates it from an inguinal hernia. If the mass is large enough and not reducible, it might be transilluminated to reveal its contents. A patent peritoneal evagination is a precursor for an indirect inguinal hernia. The processus vaginalis may be partially obliterated at the proximal end only while leaving the distal aspect intact, resulting in the formation of a hydrocele of the canal of Nuck(2,3,4)
Only 400 cases of hydrocele of the canal of Nuck have been reported to date, making it an uncommon diagnosis(3). Given its rarity, it is uncertain how common the canal of Nuck hydroceles actually are, and accurate data on the precise prevalence of hydrocele throughout childhood is not accessible(5).
Only 0.76% of females under the age of 12 were reported as affected by the condition in a study done by Akkoyun et al.(5) In another study, conducted by Papparella et al, the authors examined a total of 353 operated female patients with inguinal edema, finding a similar proportion of Nuck hydrocele cases, equaling 0.74%(4,5). The available literature on the canal of Nuck hydrocele in adults is even more sparse(4)
A two-month-old female infant was brought by her parents to the emergency department with a one week history of a non-tender lump noted in the right groin. The patient was vitally stable and afebrile. On physical examination, an oval-shaped, firm, mobile non-tender lump, 2 cm in size, was noted at the right groin. No skin changes or redness was observed at the region. No abdominal distention was seen, and the girl’s bowel sounds were normal on auscultation. No vomiting or urinary symptoms were reported. There was no previous history of trauma or prior surgical intervention. Basic laboratory work-up was within normal limits.
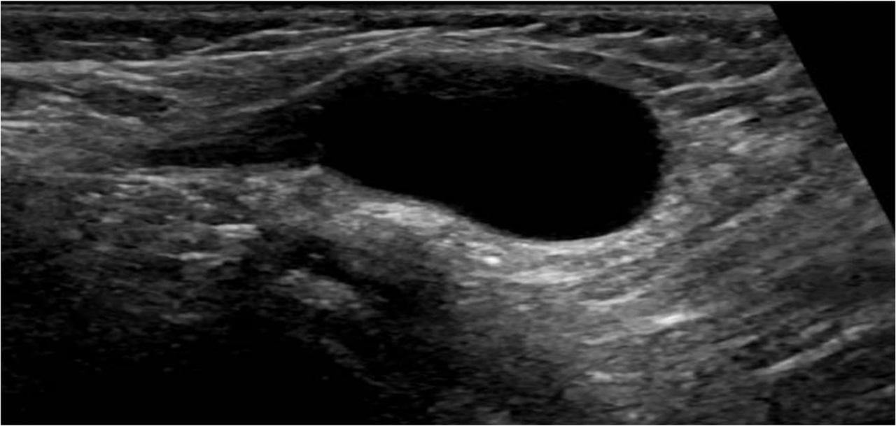
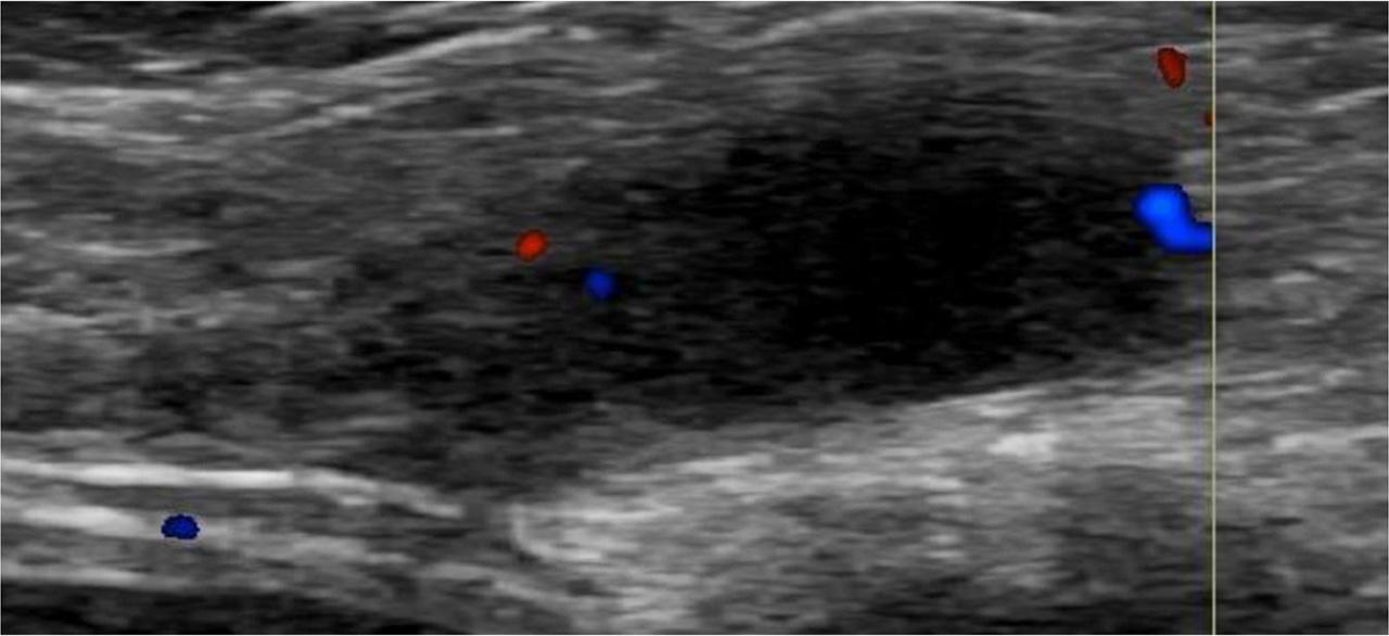
Ultrasound of the right groin was done, revealing a 2 × 1.9 × 1.4 cm fluid-filled superficial cystic lesion seen medial to the pubic bone at the level of the right superficial inguinal canal and 1.1 cm away from the deep inguinal ring (Fig. 1). No abnormal vascularity was depicted on color Doppler images (Fig. 2). The amount of fluid did not change with the Valsalva maneuver. No intervening bowel loops were seen. The left inguinal canal was normal. The rest of the examined abdominal viscera showed no abnormalities. The sonographic features were compatible with a hydrocele of the canal of Nuck. The patient was referred to the pediatric surgical clinic for consultation, where conservative management and observation were recommended, with surgical repair to be considered if any symptoms or complications should occur.

Longitudinal gray-scale superficial ultrasound of the right groin showing an elongated fluid-filled cystic lesion medial to the pubic bone and at the level of the right superficial inguinal ring. No herniation of pelvic organs or bowel loops seen

Color Doppler ultrasound image of the right groin showing a fluid-filled cystic lesion with no notable abnormal vascular uptake
During embryonic development, the gubernaculum gives rise to the round ligament(1). While the caudal component of the gubernaculum develops into the round ligament of the uterus, the cranial portion becomes the ovarian ligament(1). The round ligament attaches terminally to the muscles of the abdominal wall after passing through the internal ring, inguinal canal, and external ring(1). The round ligament travels with the processus vaginalis through the inguinal canal and into the labium majora. This parietal peritoneal evagination is the canal of Nuck in females and the processus vaginalis peritonei in males. This peritoneal evagination typically disappears entirely within the first year of life. The patient may develop a hernia or a hydrocele if the processus vaginalis remains patent. The canal of Nuck typically disappears within the first eight months of pregnancy, though its patency may continue after birth as well(1,6).
The hydrocele of the Nuck canal may present in three different types. Type 1 appears as a unilocular encysted hydrocele with no apparent contact with the peritoneal cavity and is the most common type. Hydrocele of type 2 is distinguished by its connection to the peritoneal cavity. In type 3, the internal inguinal ring is obliterated by a massive hydrocele; it is the least common variety, giving an hourglass appearance(6). In our case, our patient had type 1 unilocular encysted hydrocele with no communication with the peritoneal cavity.
Clinically, a hydrocele of the canal of Nuc k may appear as a painless or uncomfortable fluctuating inguinal lump with no accompanying nausea or vomiting(7). According to an analysis of 105 cases, a hydrocele of the canal of Nuck most frequently develops on the right side, and it is typically non-tender, non-reducible, and mobile(5).
The differential diagnosis of a swelling at the inguinal canal includes indirect inguinal hernias, where intra-abdominal structures herniate through the deep inguinal ring and reach the labia majora in females. Hernias are associated with an increased risk of complications such as incarcination and tissue necrosis. Inguinal gonads (ovaries) in the canal have an increased risk of torsion. Inguinal hernias are more common in preterm infants, as the canal usually closes at one year of age. Soft tissue tumors such as lipomas and leiomyomas, endometriosis of the round ligament and enlarged lymph nodes are also included among the differentials of an inguinal swelling. Ganglion cysts protruding from the hip joint, para-spinal abscesses erupting onto the groin and vascular abnormalities such as hematomas and varicocele are less frequently seen differentials. Varicoceles usually expand during the Valsalva maneuver and are typically seen in pregnant patients at later stages of pregnancy(3,8).
The differential diagnosis for a vulvar hydrocele includes both a Gartner duct cyst and a Bartholin gland cyst. It is currently recognized that hydrocele of the canal of Nuck is more common than thought previously, however physicians are still inexperienced with this differential and some patients are preoperatively misdiagnosed with inguinal hernias, Bartholin cysts, or a Bartholin abscess(1). The current literature denotes an accompanying inguinal hernia in almost one-third of cases, making the diagnosis more challenging(3). The cystic mass in the hydrocele does not contain omental or intestinal components, which differentiates it from an inguinal hernial sac(3).
Clinicians should have a high index of suspicion for an accurate diagnosis, as its patency may lead to herniation of abdominal structures such as the ovaries, bowels, or urinary bladder, and could represent a site for endometriosis or carcinomas(4,5).
Diagnostic radiology plays a crucial role in the initial diagnosis of a canal of Nuck hydrocele, and ultrasound is considered the modality of choice for early diagnosis(2). High-resolution sonographic imaging demonstrates its supremacy in accessing superficial structures(2). A well-defined unilocular or multilocular, anechoic or hypoechoic lesion with posterior acoustic enhancement is the typical presentation of a hydrocele of the canal of Nuck(2,7). With hydrocele complications such as infection or bleeding, the lesion may appear as a complicated cyst with echogenic contents, thicker wall, and internal septations(2).
The appearance of a ‘cyst-in-cyst’ may be observed when a tiny thin-walled cyst inside is connected to a bigger cyst that moves in response to the pressure produced by the transducer(2). An ovarian follicle, which also has thin vascularized parenchyma surrounding it, may be misinterpreted for a cyst-in-cyst characteristic(2). Evidence for continuity of the contents with the intraperitoneal cavity differentiates an incarcerated bowel loop from a hydrocele.
When using Doppler ultrasound, the hydrocele of the canal of Nuck usually does not demonstrate any color flow. The hydrocele also shows posterior acoustic enhancement on ultrasound imaging(2). Drawbacks of sonographic imaging include its dependence on the skills of the specialist as well as the constrained field of view in relation to the tissues around it, especially for larger masses(1).
Magnetic resonance imaging may be used when ultrasonography is inconclusive(2). Because of its wider field of view, it is possible to determine with greater anatomical accuracy how intraperitoneal structures relate to the pathology in the canal of Nuck, especially on MR hydrography, thus evaluating the full extent of the hydrocele. On T1-weighted images, hydroceles of the canal of Nuck are hypointense, while they and appear hyperintense on T2-weighted images. With inflammatory or infected cysts, faint interior septation may be seen(1,2).
The ability to successfully excise hydroceles is made possible by the fact that MRI clearly shows how far they stretch both inside and outside the inguinal canal(1). MRI also aids in distinguishing other pathologies such as soft tissue tumors from a hydrocele or an inguinal hernia. However, it is challenging for pediatric patients to remain motionless for the lengthy scanning period in MRI, and they usually require sedation(2).
Due to high levels of radiation, CT scan is not the first modality of choice when assessing a groin mass in pediatric patients. CT scan is frequently used in the adult population because of its quick scanning time and wide availability for the diagnosis of inguinal hernia and other groin masses(2). On CT imaging, Hounsfield units may aid in measuring the fluid attenuation, a well-defined low-density collection may be visible(2). CT scan is also used for the diagnosis of patients presenting with nonspecific abdominal pain at the emergency department, and a canal of Nuck hydrocele may be an incidental finding(2). When the collection is infected, a complex cyst with septations or proteinaceous/hemorrhagic components with higher fluid density is seen(2).
Management of hydrocele of the canal of Nuck should be tailored to each patient accordingly, and includes conservative treatment and observation for low-risk lesions and in asymptomatic patients. Surgical management options include open or laparoscopic procedures for symptomatic patients or in complicated cysts with removal of the hydrocele and closure of the neck of the processus vaginalis at the deep ring. Patients who refuse surgery may have the cystic fluid aspirated but the risk of recurrence is high(1,7,8). Infection and abscess formation are possible hydrocele-related complications(5). Other complications include hemorrhage within the cyst and cyst rupture(9). However, there is no urgency for repair in the absence of such complications(5).
Diagnostic imaging plays a crucial role in the diagnosis of hydroceles of the canal of Nuck, with sonography and MRI recognized as the main modalities of choice.
Differential diagnosis of inguinal swelling in a female patient should include inguinal hernias, soft tissue tumors, enlarged lymph nodes and, rarely, a hydrocele of the canal of Nuck.
There are three different types of hydrocele of the canal of Nuck, with type 1 being the most common, presenting as a unilocular cystic lesion with no connection to the peritoneal cavity.