Testicular gray-scale ultrasonography (US) and real-time shear wave elastography (SWE) can provide additional quantitative and qualitative information about tissue stiffness to evaluate testicular involvement in different clinical conditions. Real-time SWE is a newly developed technique for the sonographic quantification of tissue stiffness.
Several studies have demonstrated that it is able to differentiate between diseased and normal tissue in several other organs. As mentioned above, SWE is effective in predicting the degree of fibrosis resulting from damage to various organs such as the liver, kidneys, and thyroid; however, the usefulness of SWE in the diagnosis of testicular diseases is not clear. Only recently, it has been proved to be a feasible option in the quantified assessment of normal testicular stiffness, and modified stiffness has been demonstrated in some pathological conditions. The applicability of the technique has been confirmed for testicular tissue, mainly for the detection of testicular torsion, for the subsequent evaluation of spermatogenesis, and for the assessment of testicular involvement of hematologic malignancies in children and young adults.
Cryptorchidism (undescended testes, UDT) is a very common anomaly in pediatric patients, with a prevalence of 0.8%–1.5% at one year of age(1). UDT is a well-known risk factor for testicular torsion, infertility, and testicular cancer(2). If the condition is not treated properly, germ cell agenesis at puberty is inevitable due to irreversible alterations in germ cell development and increased pressure within the inguinal canal and maturation at high temperature(1,3,4). To prevent tissue damage due to UDT, orchidopexy is recommended as soon as possible(5,6,7,8). Elastography is used in the assessment of other organs discussed in the introduction to assess the risk of parenchymal disease and determine the need for or timing of tissue biopsy. The same may not be true for the testes. Although testicular biopsy is the gold standard for evaluating the histological features of undescended testicular damage, biopsy is not recommended in the current guidelines due to possible complications(5,6).
Gray-scale US with Doppler is the most commonly used imaging modality to detect testicular abnormalities. It is characterized by high sensitivity but relatively low specificity(7). SWE is a suitable technique for examining the testicular parenchyma. With the quantitative value added by SWE, it can help differentiate testicular fibrosis from tumor processes and benign lesions with a high level of confidence(7). US is used to evaluate UDT because of its easy availability and noninvasiveness. Advancements in US technology, with newer transducers, have made it possible to visualize testes with a greater resolution, differentiating them from adjacent tissues(8). SWE is a novel elastography modality that tracks shear waves passing through tissues, quantifying the stiffness of structures and nodules, and yields valuable information about the histological properties of tissues by assessing stiffness. It is very rudimentary to perform and offers the possibility of obtaining dynamic images in real time(9,10). Besides, it has additional benefits including ultrafast imaging, obtaining multiple stiffness values in a larger region of interest (ROI), and displaying gray-scale images simultaneously with a color stiffness map(11). SWE is effective in predicting the degree of fibrosis resulting from damage to various organs such as the liver, kidney, and thyroid, but unfortunately, not enough studies have been conducted to predict potential damage in UDT(10,12,13). This measurement method allowed us to obtain more reliable, re-measurable average SWE numerical values in boys with UDT. The aim of this study was to evaluate parenchymal echogenicity, volume and stiffness changes in UDT patients with gray-scale US and SWE. We also investigated the feasibility and applicability of SWE in the assessment of testicular tissue in patients with UDT and in predicting damage to the parenchyma.
In our prospective observational study, we initially included a total of 74 boys, however, after the evaluation of puberty risk and testicular surgery, eight patients were excluded. Finally, we enrolled 66 patients and 31 healthy boys who had been examined by the department of pediatric surgery at a university hospital. The boys in the study groups had non-operated testes located in the inguinal canal. With regard to the methodology, it was a prospective observational study with two groups of participants (with UDT and healthy boys), aimed to determine the degree of compromise of the testicular parenchyma using gray-scale US and SWE in UDT. There were no signs of the onset of puberty in any of the cases.
Informed written consent was obtained from the parents or legal representatives of all participants. Ethics approval was granted by the local ethics committee at the university, and a consent form was obtained from each participant of the study (09/03/2020-1628). This prospective observational study was performed by gray-scale US and SWE in pediatric patients with UDT between January 2019 and December 2020. Patients with non-palpable UDT, retractile and ec-topic testes, endocrine diseases, systemic diseases, and incomplete data were excluded from the study. All testes were examined using an ultrasound scanner (Toshiba/Canon, Japan), which supports B mode gray-scale US and SWE modalities (Fig. 1). SWE images were viewed using three display modes: elasticity mode (kPa) (A), speed mode (m/s) (B), and propagation mode (C) (Fig. 2).

Gray-scale ultrasonography images in a 120-month-old boy. A. Deep plane undescended testis with reduced echogenicity and dimensions in the right inguinal canal. B. Image of left testis with normal echogenicity, located in the scrotum

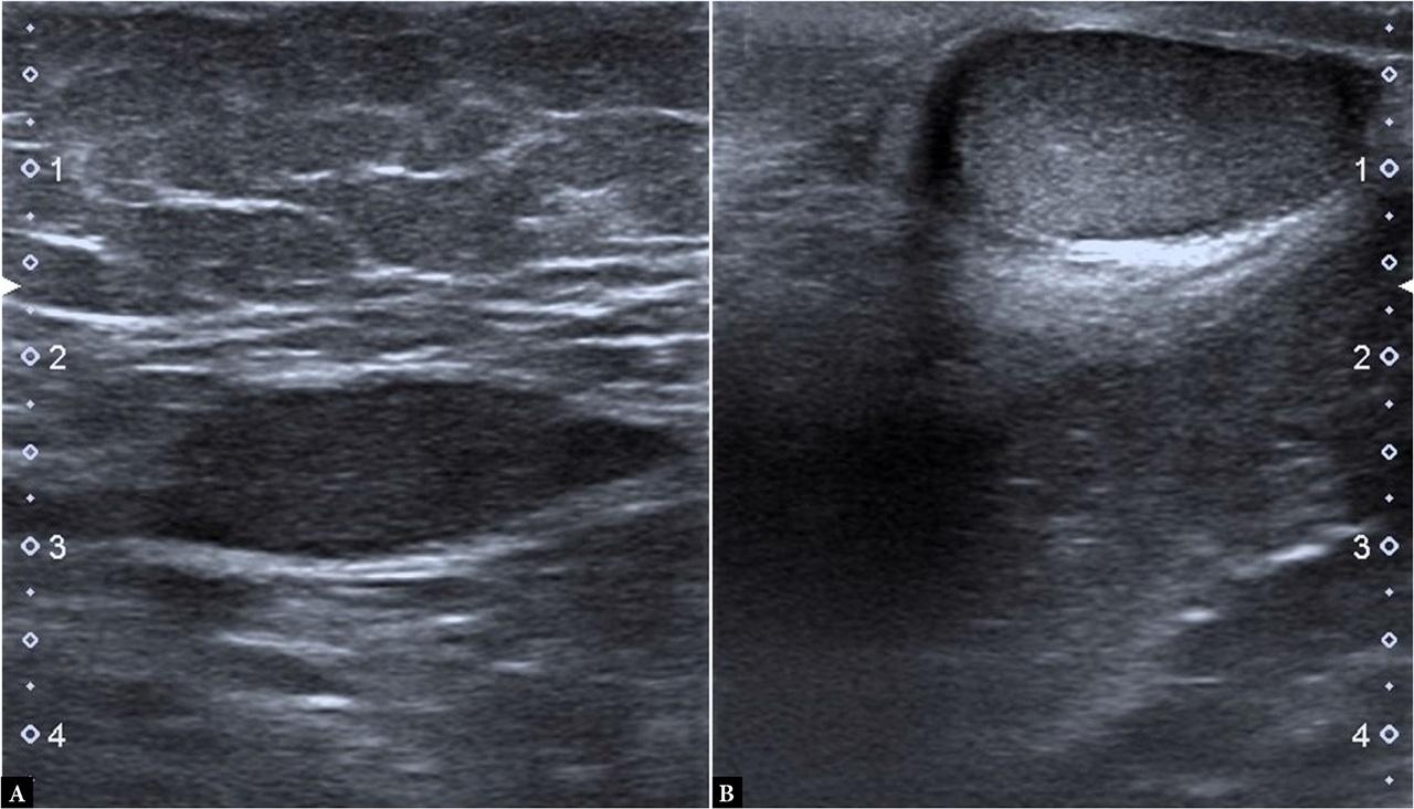
Shear wave elastography (SWE) images in a 120-month-old boy with UDT. A. Elasticity mode 23.3 kPa kilopascals (kPa). B. Velocity mode 2.77 meters per second (m/s). C. Propagation (arrival time contour) mode parallel lines taken for confirmation
Linear transducers (14 MHz) were used for all examinations. Three elastography images of the testes were obtained by placing the ultrasound probe very lightly on the scrotum, exerting no pressure. During the gray-scale US examination, the transducer was placed on the inguinal region or the scrotum. All testes were measured in three dimensions and the volume was calculated with US (testicular volume (cc) = width (mm) × height (mm) × depth (mm) × 10−3 × 0.523). Three ROIs for testicular stiffness were used to analyze the results. Based on these measurements, the average and maximum stiffness values and the ratio of stiffness to the adjacent soft tissue were determined. A single radiologist with 13 years of experience in gray-scale US and five years’ experience in SWE performed the examination. The radiologist was blinded to the laboratory and clinical conditions of the pediatric patients studied.
Both the descended and undescended testes were analyzed by gray-scale US. Three planes (one mid-sagittal and two mid-axial planes) of both testes were measured in millimeters. The structure of the testes was assessed in gray scale with the same settings of the gain, focus, and depth. Echogenicity was scored in two grades: normal (homogeneous) and abnormal (inhomogeneous, hypoechoic or decreased echogenicity)(14).
The transducer was placed onto the skin surface over the testes with light contact, using ample coupling gel to avoid a compression effect, and was kept stationary during acquisitions for SWE examination. The optimal axial or longitudinal images were obtained via SWE examination. SWE measurements were performed away from the mediastinum of the testis. SWE values were measured in the longest longitudinal plane using a circular region of interest (ROI). After freezing, SWE images were viewed using three display modes: speed mode in meters per second (m/s), elasticity mode in kilopascals (kPa), and propagation (arrival time contour) mode (Fig. 2). We hypothesized that this approach increased the accuracy of the numerical values obtained. Tissue stiffness was displayed on a chromatic scale with progression from blue to red, which indicated stiffness values from low to high. The observer adjusted the chromatic scale in the range of 0–30 (kPa) and 0.5–5 (m/s) to perform the interpretation optimally, since the stiffness value of testicular parenchyma is considerably low compared to the other organs. The stiffness values were calculated using Young’s modulus and recorded in m/s and kPa as units (Dewall RJ. Elastic value) E (kPa) is calculated using the equation E = 3ρ (m/s)2 (ρ refers to tissue density, with approximated value in human body defined as 1 g/cm3, and m/s refers to shear wave propagation velocity)(15). The average stiffness values of the testes were derived from three separate 2–4 mm diameter ROIs, which were placed in the testicular parenchyma (upper, central, and lower region). The ROIs were placed on the stiffness areas in the testicular parenchyma regions as determined by the quantitative values displayed during examination for SWE imaging. Stiffness was measured in meters divided by seconds (m/s) with the ROI technique in three different areas on the testicle, and maximum and average values were recorded accordingly (Fig. 2). SWE was obtained as three separate images for each testis, which were quantitatively analyzed. The average of these three measurements was then determined as the SWE value of the testes. The SWE values of the UDT were compared with the SWE values of the adjacent soft tissue measured at the same level, and the elastography ratio was calculated. Thus, our aim was to increase the accuracy of the obtained numerical values. It was essential to keep the probe stationary over the testes without compression for a few seconds until a complete color map was obtained. The average time devoted to each patient’s examination was approximately 10 minutes to avoid the risk of variability in shear-wave speed measurements.
Descriptive statistics were expressed as means ± standard deviation, medians (minimum-maximum), and frequencies with percentages. Analyses were done with the Kruskal Wallis test, and pairwise comparisons were done with the Dunn-Bonferroni, chi-squared test, while pairwise comparisons for the chi-squared test were performed with the Bonferroni correction (for three pairwise comparisons Bonferroni correction adj. p-value <0.017), Mann-Whitney U test, Independent Samples t-test, Wilcoxon signed-rank test, Spearman’s correlation coefficient, and Pearson’s correlation coefficient. We attempted to determine a cut-off SWE value for decreased testicular echogenicity using the ROC curve and average SWE values.
The level of significance was defined as α = 0.05. SPSS (IBM Corp. Released 2021. IBM SPSS Statistics for Windows, Version 28.0. Armonk, NY: IBM Corp) and MedCalc 12.3.0.0 software was used for the analyses.
This study involved a total of 66 pediatric patients (boys) with UDT and 31 boys in the healthy group. The patients’ median age was 35.5 (10–118) months, and the healthy participants’ median age was 50 (13–115) months. The patient group in this prospective study consisted of 51 unilateral UDT patients with a median age of 32 (10–118) months and 15 bilateral UDT (30 testicles) patients with a median age of 51 (10–116) months. The control group consisted of 31 healthy boys (62 testes) with a median age of 50 (13–115) months. Measurement comparisons between groups are presented in Tab. 1. Correlations with age and SWE measurements results are shown in Tab. 2.
Comparison of testicular echogenicity and SWE measurement between healthy and UDT groups
| Healthy group (n = 62) | Bilateral UDT group (n = 30) | Unilateral UDT group (n = 51) | p | |
|---|---|---|---|---|
| Age (in months) | 50 (13–115) | (n = 15) 51 (10–116) | 32 (10–118) | 0.090 |
| Echogenicity normal decreased |
|
|
| <0.001 |
| Average of SWE (m/s) | 1.47 (1.02–1.99) | 2.86 (2.30–3.69) | 2.59 (1.71–3.88) | <0.001 |
| ||||
| Ratio of SWE (m/s) | 1.02 (0.68–1.61) | 1.83 (1.21–2.43) | 1.74 (1.15–3.45) | <0.001 |
| ||||
| Maximus of SWE (m/s) | N/A | 3.27 ± 0.37 | 3.09 ± 0.50 | 0.090 |
p-values that compared with p <0.017.
UDT – undescended testes; Echogenicity – view of testes in gray-scale US; SWE – shear wave elastography; Average of SWE – average of SWE values obtained for testes by ROI method; Maximus of SWE – maximus of SWE values obtained for testes by ROI method; Ratio of SWE – ratio of the average SWE values of the testis to the SWE obtained for the adjacent soft tissue
Correlation of UDT ages and SWE values
| Age in unilateral UDT group | Age in bilateral UDT group | |||
|---|---|---|---|---|
| r | p | r | p | |
| Average of SWE values | −0.022 | 0.878 | 0.347 | 0.060 |
| Maximus of SWE values | 0.209 | 0.142 | −0.151 | 0.425 |
| Ratio of SWE values | 0.015 | 0.918 | 0.180 | 0.340 |
UDT – undescended testes; Echogenicity – view of testes in gray-scale US; SWE – shear wave elastography; Average of SWE – average of SWE values obtained for testes by ROI method; Maximus of SWE – maximus of SWE values obtained for testes by ROI method; Ratio of SWE – ratio of the average SWE values of the testis to the SWE obtained for the adjacent soft tissue
Age had no statistically significant difference across the healthy, bilateral UDT, and unilateral UDT groups (p = 0.090). The average of SWE values revealed a statistically significantly difference between groups (p <0.001). According to the pairwise comparisons, the unilateral UDT group and the bilateral UDT group had significantly high average SWE values when compared to the healthy group (p <0.001 in both). The average of SWE values did not point toward a significant difference between the unilateral UDT group and the bilateral UDT group (p = 0.170). The ratio of SWE values showed a significant difference between the groups (p <0.001). Based on the pairwise comparisons, the unilateral UDT group and the bilateral UDT group had significantly higher ratios of SWE values when compared to the healthy group (p <0.001 in both). The ratio of SWE values revealed no significant difference between the unilateral UDT group and the bilateral UDT group (p = 1.000). The maximum of SWE values showed no statistically significant difference between the unilateral UDT group and the bilateral UDT group (p = 0.090).
The average SWE values (right side: 2.84 ± 0.48 m/s, left side 2.60 ± 0.32 m/s) were statistically significantly high on the right side of testes in the study patients (p = 0.011), however the ratio of SWE values found no significant difference between the sides of the testes (p = 0.169). The median volume of the descending side of the testicles was 594 mm3 (263–1,235 mm3) and the unilateral UDT volume was 444 (124–943) mm3, higher than the undescended side of the testes (p <0.001). The mean SWE value of the healthy descending testes in UDT patients was found to be 1.77 (1.29–2.40) m/s, and it was statistically significantly higher compared to 1.02 (0.68–1.61) m/s in the healthy group (p <0.001).
Receiver operating characteristic curve analysis was performed to estimate the sensitivity and specificity of the presence of reduced echogenicity using the UDT mean SWE values (Fig. 3). The ROC curve was used to identify a cut-off SWE value for predicting decreased testicular echogenicity by using average SWE values. The area under the curve for the UDT was 0.78 (95% CI: 0.70–0.85, sensitivity 83.7%, specificity 68.7%, p <0.001), with an average SWE value of 2.32 (m/s) for above the cut-off point indicates. This was found to be significantly associated with reduced echogenicity on gray-scale US, suggesting that it may be correlated with fibrosis developing in UDT patients.

We used the ROC curve to define an interrupt SWE value that predicted decreased testicular echogenicity using average SWE values. The area under the curve for the UDT was 0.78 (95% CI: 0.70–0.85, sensitivity 83.7%, specificity 68.7%, p <0.001), with an average SWE value of 2.32 (m/s) for above the cut-off point indicates
In patients with unilateral or bilateral cryptorchid testicles, elevated infertility rates, increased testicular malignancy rate, increased testicular torsion, and psychological stigma associated with the empty scrotum are among the most important reasons for diagnosis and treatment(4,6). Wide availability, high repeatability, low costs, and non-invasive nature of US have made it the imaging modality of choice for examining the scrotum(14).
US is a cost-efficient and reliable way to measure and demonstrate alterations in the volume of the UDT(16). Thus, manual palpation and testicular volume measurements used to be the only two ways to properly predict morphological changes in the condition of UDT. However, there have been many disagreements among scientists, with some claiming that these methods are not reliable enough to accurately determine the relationship between the volume of the testes and testicular histology(17,18). Histopathological examination of UDT revealed a significant decrease in the number of germ cells and Leydig cells; progressive reduction in the size of the seminiferous tubules followed by peritubular fibrosis(6,19,20,21,22). Numerous reported studies have shown that these histopathological alterations cause a significant reduction in the volume of the UDT(23,24). While biopsies were previously recommended in the evaluation of fibrosis, volume measurement and manual palpation methods have recently come to the fore. However, the prognostic predictive values of these methods are quite low(25). Testicular stiffness was affected by the composition and changes in testicular volume(26,27). SWE is a simple non-invasive method for measuring tissue stiffness(28). SWE is a novel elastography method that tracks shear waves passing through tissues provides valuable information about the histological properties of tissues by assessing stiffness, and offers the possibility of obtaining dynamic images in real time(9,10,29). Nowadays, the SWE technique is the gold standard for accurately estimating the quantitative stiffness alterations in testicular tissue. Also, there is a positive strong relationship between the degree of fibrosis and SWE values.
Cryptorchidism (undescended testicle, UDT) refers to the inability of the intra-abdominal testicles to descend into the scrotum. UDT is the most frequent congenital genital abnormality found in boys, with a prevalence of 2–5% at birth and 1–2% by the age of three months. The testicles may be located in the inguinal canal in 72% of cases, in the prescrotal position in 20%, and in the abdominal cavity in 8% of cases(30). Histopathological findings associated with UDT include decreased germ-cell counts, lack of spermatogenesis, Leydig cell hypoplasia, and testicular fibrosis(30). Testicular volume of patients with UDT is lower than in the testes descended into the scrotum(30,31). Although the causes of growth and development impairments in UDTs have not been determined, one of the primary suggested causes is exposure to an abnormally high temperature environment(30). UDTs located deep or near the abdomen have been shown to have lower volumes due to higher temperature environments(30). Of the cases we examined, 34 unilateral UDTs had a lower volume and were less echogenic on US than the contralateral testes (Fig. 1 A). Dal Mo Yang et al. reported similar findings(30). USE is a simple non-invasive method for measuring tissue stiffness. Patients with cryptorchidism present with higher testicular stiffness than that found in normal testes due to increased intertubular fibrosis and testicular atrophy. As in our cases, patients with UDT show higher testicular stiffness compared to the normal testes due to increased intertubular fibrosis and testicular atrophy(30).
Hence, the SWE technique is the best method to properly assess the extent of damage to UDT. Zhang et al. reported a study in which they utilized the SWE values in demonstrating stiffness in children with UDT by histopathological changes(32,33,34). In previous studies, fibrotic changes have been blamed for the increased SWE values of UDT. It is known that parenchymal fibrosis has an important role in the etiology of infertility(29,35). Another study revealed that patients with UDT had higher SWE values compared to the control group(32,33,34). Other authors reported that the mean SWE values in normal testes were 0.62–1.01 m/s(27).
In the present study, we found a significant decrease in the echogenicity and volume in patients with UDT compared to the healthy group and the healthy side. Our findings were thus found to be compatible with the previous literature(21,22,23). Both conventional methods of measuring testicular volumes and the novel SWE-based method were utilized in our study. It is scientifically indisputable that growth spurts and hormonal alterations in children play an integral role in testicular volume growth throughout childhood(9,26,27).
In our unilateral and bilateral UDT patients, the SWE measurement results were compared with the testicles of patients in the healthy group and the testicles of the healthy side. We found that the average and maximum testicular SWE values increased in patients with unilateral and bilateral UDT compared to the healthy group. There was no significant difference between the SWE values of bilateral UDT and unilateral UDT.
SWE is an important method to demonstrate increased stiffness values affecting UDT volume and functions(24,36,37,38). In our study, the average values for the healthy group were 1.47 (1.02–1.99) m/s. The average value of SWE in patients with unilateral UDT was 2.59 (1.73–3.88) m/s, and the SWE value was 2.86 (2.30–3.69) m/s in patients with bilateral UDT. Bilateral UDT SWE values were higher compared to unilateral UDT SWE values. Intriguingly, the SWE values of unilateral UDT in the healthy side testes were significantly higher compared to the healthy group.
In this study, increased SWE values may be a marker of fibrosis and testicular pathologies that may develop due to UDT. Based on our findings, we think that testicular SWE values can provide prognostic prediction in the evaluation of fibrosis and the etiology of dysfunctions.
There are some limitations to our study. First of all, we do not normally use US for the diagnosis of UDT, and physical examination is enough to decide which patients require surgery. Furthermore, SWE requires experienced radiologists, who may not be easily available in all centers, with the risk of delaying treatment. Secondly, UDT is a condition that should be resolved as promptly as possible after diagnosis to prevent testicular damage. Waiting to be able to identify these changes in the testicular parenchyma could mean we are already late, and that the patient should have been operated on a long time before. An interesting alternative could be to use this method for retractile testes under surveillance, to determine which ones require surgery. Lastly, unfortunately, the results cannot be compared appropriately due to a scarcity of similar publications in the pediatric population. Many studies have assessed these methods for different testicular conditions (torsion, malignancies, etc.), but only a few addressed specifically UDT cases.
The findings of the study support the application of US as a simple non-invasive method for measuring tissue stiffness and, in this case, for determining the degree of testicular fibrosis in accordance with the echogenicity of the testicles and their volume, to reliably assess the extent of damage of the UDT. Nevertheless, it should not be a determinant for the management and surgical decision-making. Physical examination is the gold standard in diagnosis, and surgical correction should be performed at 6–12 months of age to prevent testicular damage, mainly to the contralateral healthy testis. Our paper strongly supports the claim that it would be of more value when used to determine the potential damage after surgery (to establish a baseline), avoiding possible surgical delays, and/or when used for the assessment of retractile testicles as part of the management algorithm.