Have a personal or library account? Click to login
Practical approach to ultrasound of soft tissue tumors and the added value of MRI: how I do it Cover

Practical approach to ultrasound of soft tissue tumors and the added value of MRI: how I do it

Open Access
|Nov 2023

Full Article

Introduction

The spectrum of ultrasound (US) appearances in common neoplastic and non-neoplastic soft tissue tumors has been described in several recent reviews and case reports(13). Armed with this knowledge, this review focuses on a practical approach to the imaging of soft tissue tumors, mainly US examination. Even though most soft tissue masses present as a palpable lump, clinical examination alone may not be sufficient for accurate diagnosis in some cases and, as such, the more atypical or sinister soft tissue masses tend to be referred for imaging. Of soft tissue masses referred for US examination, clinical assessment was compatible with final histology in only one-quarter of superficial and one-half of deep soft tissue masses(4,5). For determining whether the mass was likely to be benign or malignant, clinical examination was correct in 42% of superficial and 61% of deep soft tissue masses(4,5).

Provided that the local practice patterns and experience is favorable, US should be considered as a first-line investigation for all superficial and most deep soft tissue tumors(5,6). ‘Superficial’ refers to a tumor located in the cutaneous or subcutaneous tissues. ‘Deep’ refers to a tumor located either within or deep to the investing fascia. Many deep tumors are located close to the skin surface(5). For example, many tumors in the hands and feet are in a deep location anatomically, i.e. located deep to the investing fascia, though they are close to the skin. Nevertheless, dividing soft tissue tumors into whether they arise in the superficial or deep compartments is still valid, as it affects the surgical approach, the type of tumor encountered, and the risk of malignancy. Of soft tissue masses referred for ultrasound examination, about 1.5% of superficial and 7% of deep masses are malignant(4,5). Magnetic resonance imaging (MRI) is the preferred first-line investigation if there is a large soft tissue mass located deep in the pelvis or thigh (Fig. 1). For all other musculoskeletal soft tissue masses, US is usually the preferred first-line investigation(46).

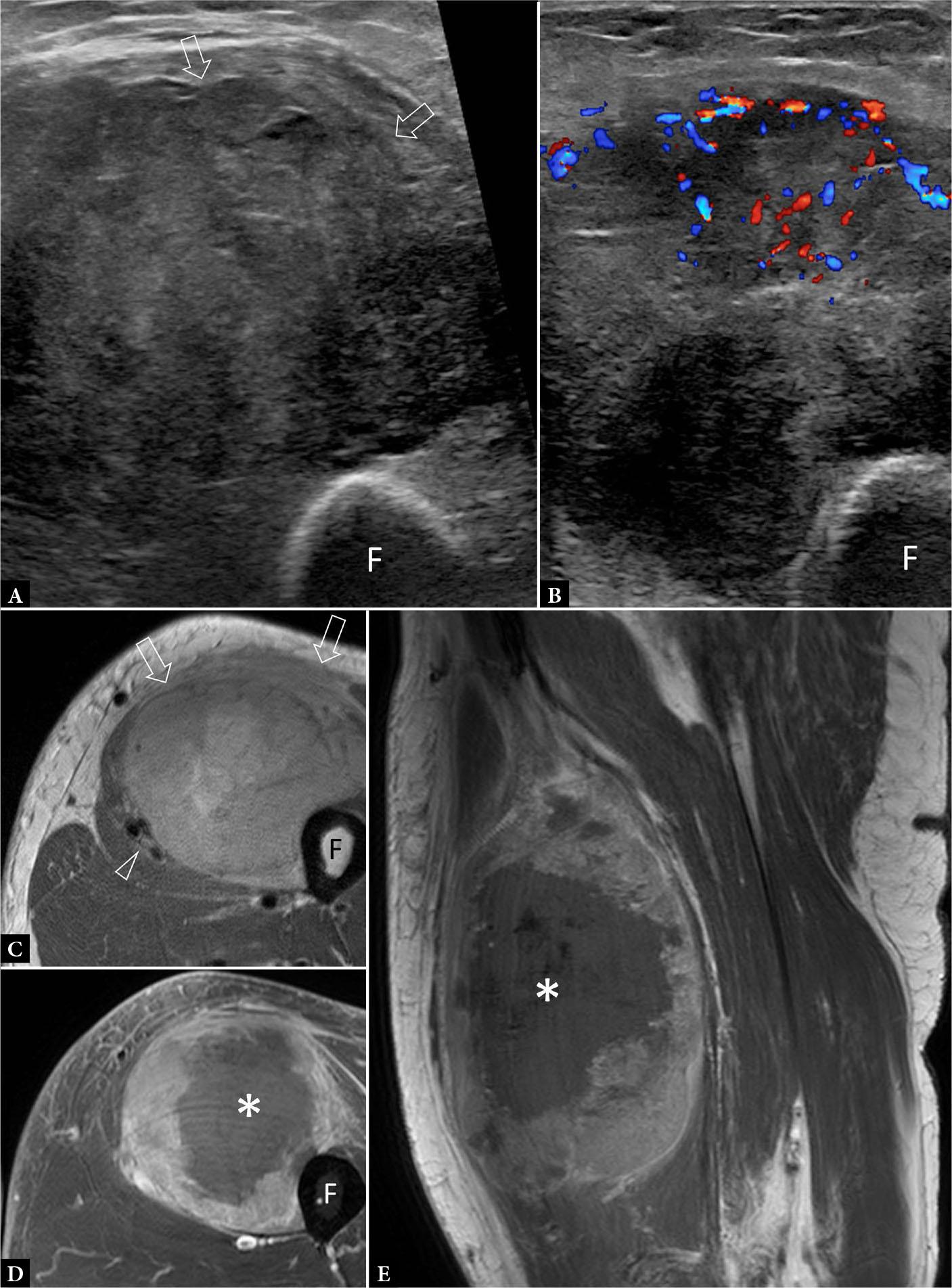
Fig. 1.

63-year-old male with enlarging thigh mass for five months. Transverse A. greyscale and B. color Doppler ultrasound show large moderately hyperemic mass (arrows) partially encasing the femoral (F) cortex. The large size, rapid growth, and moderate hyperemia make sarcoma most likely. No necrosis is evident. C. Axial proton-density weighted image shows that the tumor contacts, but does not infiltrate, the femoral cortex. The femoral neurovascular bundle (NVB) is also not infiltrated (arrowhead). T1-weighed fat-saturated post-contrast D. axial and E. sagittal images show that the central tumor area (*) is non-enhancing, compatible with necrosis. The necrosis cannot be appreciated on ultrasound A., B. Percutaneous biopsy of the tumor margins revealed a pleomorphic rhabdomyosarcoma

US examination of a soft tissue mass should be quite systematic(1,6). First, it is helpful to review any available radiographs or previous imaging related to the site of the mass. Radiographs may reveal calcification (17%), fat (7%), or bony involvement (14%)(7). Second, it is also beneficial to obtain a brief clinical history addressing pertinent questions such as “How long has the mass been present?”; “Is the mass increasing or decreasing in size?”; “Is the mass painful or tender?”; “Is there a history of trauma?”. This, together with palpation of the mass, will allow one to have a reasonable differential diagnosis in mind even before applying the US transducer (Fig. 2, Fig. 3). Third, it is good practice to always first examine the comparative area on the contralateral side to appreciate the normal anatomy and expected US appearances.

Fig. 2.

56-year-old female with discomfort and swelling in the infrascapular region. A. Clinical photograph shows site of swelling (arrow) marked by the patient prior to US examination. B. Transverse US shows a large mass with alternating hypoechoic bands (which are compatible with fibrous tissue) and hyperechoic bands (which are compatible with fatty tissue) at the inferior tip of the scapula (S). The mass was mildly compressible. No tumor vascularity was present on color Doppler imaging (not shown). This fibrolipomatous-type mass (arrowheads) is consistent with elastofibroma dorsi

Fig. 3.

4-year-old female with mass, deep to colored birthmark on dorsal aspect of trunk, enlarging over the past two years A. Clinical photograph shows the site of mass (arrow). Transverse B. greyscale and C. color Doppler US shows a medium-sized moderately hyperemic vascular anomaly involving the skin and subcutaneous tissues (arrowheads), most likely either venocapillary vascular malformation or hemangioma. No deep extension present. Follow-up US will be performed in two years to assess for further commensurate growth (favoring vascular malformation) or involution (favoring hemangioma)

Usually, a high-resolution 12–15 MHz linear transducer will be adequate, even for most deep-seated masses. Especially for superficial masses, one should use sufficient US gel to avoid compressing the mass. This will improve the delineation of surface tissues and minimize effacement of internal cystic or vascular structures (Fig. 3). Time-gain compensation and other adjustments should be optimized to achieve the best possible image quality and the visibility of the more superficial and deep structures. One should ascertain the presence of a discrete tumor present rather than other masses that masquerade as tumors (such as hematoma or hernia) (Fig. 4)(1,2,8). The tumor should be imaged in at least two orthogonal planes. A key feature to determine is the location of the mass relative to the investing fascia (Fig. 5) and adjacent structures such as neurovascular bundles (NVB), tendons, and joints(1). Dynamic movement of tendons or muscle can occasionally be helpful in this respect (Fig. 6). Examining the mass with the transducer stationery helps visualization of either slow venous flow with rouleaux formation (which may not be visible on power or color Doppler imaging) or high arterial flow with pulsatility of the mass. The internal echotexture, including calcification and cystic component, tumor margins, and the presence of acoustic enhancement or shadowing should be examined carefully and compressibility assessed by applying and releasing mild transducer pressure (Fig. 7, Fig. 8). Finally, the presence and degree (mild, moderate, marked) of hyperemia on color Doppler imaging should be determined. During color Doppler assessment, the transducer should be kept still, with minimal transducer pressure (Fig. 9). Color Doppler signal can be increased until artifactual Doppler noise appears and then reduced until noise is minimized. If vascularity is pronounced, the vascular arrangement can be assessed to determine whether it is orderly or chaotic. The presence of vascular convergence, i.e. when vessels converge to a single point at the periphery of the tumor, should be noted. as this may be seen in vascular leiomyoma (Fig. 1). Compared to color Doppler imaging, power Doppler is more sensitive to both low flow and slow flow states. Microvascular imaging, if available, uses adaptive algorithms to improve the visibility of small, low velocity flow vessels. Utilizing these features along with spectral wave analysis improves tumor characterization. Malignant tumors tend to have high vascularity(9,10), as well as a chaotic vascular pattern with higher mean systolic velocity (0.55 m/s) compared to benign tumors (0.27 m/s)(10,11). A chaotic vascular pattern and mean tumoral systolic velocity >0.50 m/s achieved 90% sensitivity, 91% specificity at differentiating benign from malignant tumors(10). In addition, utilizing a combination of spectral wave analysis, color Doppler, and three-dimensional power Doppler US to identify any two major tumor vascular flow characteristics (stenosis, occlusion, trifurcation, and anarchic arterial pattern) yielded a sensitivity of 94%, and specificity of 93% at differentiating benign from malignant tumors(12). Resistive indices per se are not helpful at differentiating benign from malignant mases(11,12). Other than assessing the presence, degree and pattern or vascularity, further detailed vascular assessment is timeconsuming and challenging in most benign and some malignant tumors with low inherent vascularity(10,12) (Fig. 9, Fig. 10). For these reasons, spectral wave analysis is not performed for most soft tissue tumors. Also, for reasons explained later, we do not routinely use elastography or contrast-enhanced US. Finally, if the mass is considered suspicious for malignancy, the ipsilateral regional lymph nodes should be examined.

Fig. 4.

75-year-old male with painful abdominal wall lump just cephalad to umbilicus. Transverse A. greyscale and B. color Doppler US show a medium-sized (15 mm long × 7 mm deep) hernia of the linea alba (arrow). The incarcerated hernia contains pre-peritoneal fat, some vascular channels, and no bowel. The linea alba fascial defect (arrowheads) measured 9 mm wide. Surgical reduction and repair were performed

Fig. 5.

44-year-old male with back lump clinically suggestive of lipoma. A., B. Transverse US shows a well-defined, oval-shaped, mildly compressible, mass (open arrow) with thin linear internal striations paralleling long axis of tumor. There was no demonstrable internal vascularity. The appearances are compatible with a subcutaneous lipoma. In this instance, as the tumor lies close to the investing fascia, the tumor margins (arrow) should be checked to confirm that the tumor is superficial to, rather than just deep to, the investing fascia (arrowheads). Subfascial lipomas have a higher risk of malignancy and, therefore, tend to be monitored and treated more actively than subcutaneous lipomas. An atypical lipoma would show features that look for the most part like a lipoma, though it has areas where the fine linear striations may not be readily apparent, and may have areas of calcification or areas of hyperemia

Fig. 6.

62-year-old female with slow-growing radial-sided wrist mass for two years. A. Longitudinal, B. transverse greyscale and C. longitudinal color Doppler US show a soft tissue mass (arrowheads) surrounding the 1st extensor compartment tendons (*), compatible with giant cell tumor of tendon sheath (GCTTS). Dynamic ultrasound can help to exclude intratendinous extension. GCTTS was confirmed on surgical excision

Fig. 7.

47-year-old female with slow-growing distal thigh mass for two years. Longitudinal A. greyscale and B. color Doppler US show a large well-encapsulated mildly hyperemic tumor (arrow) located between the investing fascia and the sartorius muscle (*). The overall appearance favored sarcoma. C. US image obtained during percutaneous biopsy shows sampling from the immediate subcapsular area of tumor (arrowheads). Histology was compatible with synovial sarcoma. D. T2-weighted fat-suppressed coronal MR image shows tumor (arrow) located proximal to medial femoral condyle (C) displacing the sartorius muscle deeply. Wide excision was performed with a 2 mm rim of muscle. No muscle invasion was present

Fig. 8.

41-year-old male with multiple, occasionally painful, subcutaneous lumps in the abdominal and thigh regions. A., B. Longitudinal US shows three variably-sized small echogenic masses (arrows) consistent with multiple subcutaneous lipomas (Dercum disease). Overall, there were more than twenty such lipomas present. When multiple lipomas exist, such as in this case, the lipomas tend to be more rounded, more echogenic, and have less pronounced internal striation and encapsulation than solitary lipomas

Fig. 9.

52-year-old male with a three-year history of slow-glowing medial ankle mass. Longitudinal A. greyscale and B. color Doppler US show a medium-sized nerve sheath tumor (NST) (*) arising concentrically from the tibial nerve (arrowheads). No tumoral vascularity was evident. Only 50% of NSTs have discernable neural continuity on US. Neural continuity may not be seen when NSTs arise from very small peripheral nerves

Fig. 10.

76-year-old female with a self-palpated nodular calf swelling slowly enlarging for one year. A. Longitudinal and B. transverse color Doppler US show a lobulated hypoechoic medium-sized (1.6 mm long × 0.8 mm deep × 3.0 cm wide) subcutaneous mass (*), in contact with, but not extending through, the investing fascia (arrowheads). C. Color Doppler US shows no demonstrable tumor vascularity. Either a solitary fibrous tumor or, less likely, plexiform neurofibroma, or a conglomerate of thrombosed varicose veins were considered the most likely diagnoses. Three months later, excisional biopsy was performed. Histology revealed myxoid dermatofibrosarcoma protuberans. Although the tumor margins were clear, wide local excision of the surgical bed was performed four months later. Three years later, the patient is well, with no evidence of recurrence

Characterization of any soft tissue mass and determination of malignancy should not be based only on one or two US features(1,2,13). Instead, one should assimilate all the presenting clinical and US characteristics, suitably weighted, to ascertain the most likely diagnosis. Rather than defining the actual type of mass present, more broadly determining whether the mass is benign or malignant is the most pertinent clinical concern of US examination. Features that favor malignancy are quite similar for superficial and deep soft tissue masses, and are outlined in Tab. 1. In our experience, it is possible to recognize malignancy using US with 93% sensitivity and 98% specificity for superficial soft tissue masses, and 97% sensitivity and 58% specificity for deep soft tissue masses(4,5). A key discriminating feature is “lack of similarity with the known US appearances of particular benign soft tissue masses” emphasizing the need to be familiar with the range of US appearances of common benign soft tissue masses(1,2). Specificity is lower for deep tumors as characterization of deeper tumors is not always as clear-cut as for superficial tumors. Malignancy in deep tumors can still be determined with high sensitivity, which is more relevant than specificity. It should be noted, however, that the high reported accuracy of US for recognizing malignancy in soft tissue tumors is, in part, skewed by a high pretest probability that most soft tissue tumors are benign(13,14). Following US examination, one is faced with three potential scenarios, as outlined below, and summarized in Tab. 2.

Tab. 1.

Features which favor malignancy in soft tissue tumors

1.Progressive growth of tumor clinically (particularly if growth is rapid and patient has or had known primary tumor)
2.Middle-aged or elderly patient
3.Medium to large-sized tumor (>2 cm if superficial), (>3 cm if deep)
4.

Moderate to severe tumor hyperemia (if superficial)

Mild to moderate tumor hyperemia (if deep)

5.More rounded, rather than elongated, tumor shape
6.Chaotic, rather than organized, tumoral vascular pattern
7.Lack of similarity with the known US appearances of particular benign soft tissue masses
Tab. 2.

Suggested further work-up of soft tissue tumors following US assessment in situations where (a) one is confident regarding ultrasound diagnosis, or when the ultrasound diagnosis is not certain, though there is (b) no evidence of malignancy or (c) possibility of malignancy

Confident regarding diagnosisIndeterminate mass with no evidence of malignancyIndeterminate mass with possibility of malignancys

Provide definitive diagnosis.

If benign, no need for additional investigation in most instances.

If considered malignant, proceed to: percutaneous biopsy ± MRI.

List three most likely diagnoses ± comment that tumor is much more likely to be benign rather than malignant.

Proceed to either:

  • percutaneous biopsy

  • excisional biopsy

  • MRI examination

  • follow-up ultrasound

Proceed to:

  • percutaneous biopsy

  • ± MRI examination

Confident regarding diagnosis

In about three-quarters of soft tissue tumors, the US features are specific enough for an experienced operator to be confident regarding the type of tumor present (Tab. 3) (Fig. 2, Fig. 3, Fig. 8, Fig. 9)(4,5). Tumors which tend to have more distinctive US features are listed in Tab. 4 along with an approximation of the perceived confidence with which the diagnosis can usually be made based on US alone(4,5,8). When one is confident as to the nature of the tumor, a single specific diagnosis can be provided in the US report without requiring a differential diagnosis (Tab. 2). Based on data drawn from references (Hung et al.(4) and Griffith et al.(5)), this single confident diagnosis will be correct in 95% of cases compared to histology(4,5) (Tab. 3). Most of the 5% incorrect diagnoses are benign tumors considered on US assessment to be other types of benign tumor (Tab. 3). Also, for masses in which the radiologist was confident regarding the diagnosis, based on data from references Hung et al.(4) and Griffith et al.(5), malignancy was overlooked in <0.1% of soft tissue masses overall and in <0.3% of those with histology(4,5) (Tab. 3).

Tab. 3.

Based on data compiled from the references Hung et al.4 and Griffith et al.5 The studies employed identical methodology to investigate the accuracy of US when experienced examiners were confident about the US diagnosis of (both neoplastic and non-neoplastic) superficial and deep soft tissue masses. Masses without histology were followed up clinically. Of 1,402 soft tissue masses studied, the examiner was confident about the type of mass in 71–75% of cases. Compared to histology, this confident diagnosis was correct in 95-96% of cases. Of the nine incorrect diagnoses, eight were benign tumors found to be another type of benign tumor. The ninth case was considered to be a benign tumor (calcified granuloma) on US, though it was found to be malignant histologically (calcified metastasis). Therefore, for patients with a confident US diagnosis, malignancy was overlooked in only <0.1% of soft tissue masses overall and in <0.3% in those with histology

Superficial massesDeep masses
Number of masses studied (n = 1402)823579
‘Confident diagnosis’ regarding nature of mass585 (71%)436 (75%)
Number of masses with subsequent histology219/823 (27%)134/579 (34%)
‘Confident diagnosis’ regarding nature of mass in masses with histology132/219 (60%)67/134 (57%)
Correct ‘confident diagnosis’ compared to histology126/132 (95%)64/67 (96%)
Incorrect confident diagnosis for superficial masses (n = 6):
  • Glomus tumor considered to be nerve sheath tumor

  • Dermoid cyst considered to be infected collection

  • Vascular leiomyoma considered to be vascular anomaly

  • Vascular anomaly considered to be lipoma

  • Neurofibroma considered to be epidermoid cyst

  • Calcified metastatic deposit considered to be calcified granuloma

Incorrect confident diagnosis for deep masses (n = 3):
  • Giant cell tumor of tendon sheath (GCTTS) considered to be ganglion

  • Vascular malformation considered to be intra-fascial lipoma

  • Organized inflammatory mass considered to be lipoma

Tab. 4.

Some soft tissue masses (both neoplastic and non-neoplastic) which tend to have a more distinctive US appearance. The perceived frequency with which each of these specific tumors can be characterized based on US assessment alone is also provided.

SuperficialDeep
NeoplasticNon-neoplasticNeoplasticNon-neoplastic
Lipoma and variantsAEpidermoid cystBLipoma and variantsAElastofibroma dorsiA
Vascular anatomyBInflammatory massAGCTTSBGanglionA
Nerve sheath tumorsCForeign body granulomaBPlantar or palmar fibromaABakers’ cystA
PilomatrixomaCCalcified or injection granulomaAFibromatosis (desmoid tumor)BHerniaA
Lymph nodeAFat necrosisBMyxomaCGouty tophusB
LeiomyomaCRheumatoid noduleBSarcomaBHematomaB
Subcutaneous lymphomaCPanniculitis-like massCSubcutaneous lymphomaCVarix, pseudoaneurysm, aneurysmA
LymphoceleB
Lipohypertrophy/lipomatosisAMyositis ossificansB
Encysted fluid spermatic cord/canal of NuckBMuscle hypertrophyA
Abscess or collectionA
Intravascular papillary epithelialMorton’s neuromaB
hypertrophyCBursitisA
Organizing hematomaBEndometriosisC
Tumoral calcinosisBXanthomaC
Accessory breast issueA

A – vast majority (>95%) cases.

B – majority (>80%) cases.

C – frequently (>50%) cases(1,2,4,5,10)

Indeterminate mass with no evidence of malignancy

In most of the remaining cases, one will not be completely confident regarding the nature of the tumor following US examination, though one is still quite confident, based on the US appearances and clinical history, that the tumor is benign (Fig. 11). In such situations, the three most likely diagnoses in order of perceived likelihood can be listed, and, if the initial clinical suspicion was that of a malignant lesion, the US examiner should emphasize that the appearances favor a benign rather than a malignant tumor. Depending on location, the clinical context, and the patient’s response to being informed of the US findings, percutaneous biopsy, excisional biopsy, or MRI examination can be performed. If the patient refuses a biopsy or surgery, and MRI examination is not feasible, follow-up US examination is usually recommended at an appropriate time, usually in 3–6 months.

Fig. 11.

72-year-old male with painless lump in the apical pulp space of the index finger, which was slowly enlarging for one year. A. Clinical photograph shows the mass (arrow). Longitudinal B, C. greyscale and D. color Doppler US show a well-defined medium-sized mass (arrowheads) in the apical pulp space. The mass extends to, but does not definitely involve, the distal interphalangeal joint (DIPJ) (*). The mass seems to extend into a small cortical defect (open arrow) of the distal phalanx. No tumoral vascularity was evident. Overall, in view of possible intracortical extension, nerve sheath tumor was considered more likely than giant cell tumor tendon sheath (GCTTS) or glomus tumor. MRI and US-guided biopsy were recommended. MRI will help clarify the extent of the mass and possibility yield more information on the nature of the mass, such as hemosiderin deposition in GCTTS. Biopsy will help confirm the nature of the mass, which will help surgical planning

Indeterminate mass with possibility of malignancy

Occasionally, based on US appearances and clinical history, there is a possibility that the tumor may be malignant (Tab. 1) (Fig. 7). In this scenario, it is best to arrange an US-guided biopsy and/or MRI examination and proceed accordingly. The value of MRI is to provide a roadmap for surgical excision and also, in some instances, to supply more information on the type of tumor and consistency, such as whether there is necrosis or de-differentiation, which will influence the approach (Fig. 1). The threshold for undertaking percutaneous biopsy in our institution is low and recommended for any soft tissue mass not confidently considered to be benign, based on US and clinical features (Fig. 12). It is not necessary to perform MRI examination prior to percutaneous biopsy, as there is little or no consequent artifact related to biopsy. MRI should be performed, however, prior to open biopsy, which is seldom performed nowadays.

Fig. 12.

Schematic diagram showing the approach for percutaneous needle biopsy. The co-axial tip is placed just deep to the capsule, enabling it to be more easily directed to target different tumor areas. For suspected STS, samples should be preferentially obtained from area immediately deep to the capsule as well as any vascular areas rather than the central areas, which tend to be more necrotic

We generally do not recommend ultrasound follow-up for tumors suspected of being malignant, though this may be done in uncommon situations, where the initial percutaneous biopsy (of, for example, a lymph node) is inconclusive. One could also consider followup in situations where the likelihood of malignancy is low and the patient is not keen on percutaneous biopsy. Ultrasound follow-up in 1–3 months, depending on initial tumor growth pattern, will help to assess changes in tumor size or appearance.

Cautionary note: US is accurate at defining the presence and location of soft tissue masses and is quite accurate, though not 100% accurate, at defining the nature of many soft tissue masses. One is, after all, making a judgement call based on the clinical history and US appearances alone. US characterization of tumors is not an exact science. Exceptions do occur and incorrect diagnoses will occasionally be made, even by experienced operators (Fig. 10). One should use all available clinical information, as well as a thorough ultrasound assessment, to provide the most likely diagnosis. If uncertainty exists, listing the three most likely diagnoses based on experience is useful for further management rather than merely describing the tumor as ‘indeterminate’. Providing non-committal reports is not informative to the referring clinician, adds to patient and clinician anxiety/uncertainty, potentiates unnecessary investigation and possibly intervention, and is of little value in guiding further clinical management. It is best to be as definite as possible, though clearly not committing to a single specific diagnosis, unless one is sure. If there is a possibility of malignancy, percutaneous biopsy or excision should be arranged. The report should be tempered to reflect the level of any uncertainty. For example, one can use terminology like “probable giant cell tendon sheath” or “most likely a metastatic deposit” to reflect such findings (Fig. 11). Other tips on the ultrasound reporting of soft tissue masses are:

  • The location (subcutaneous, subfascial, etc.) of mass and relationship to adjacent structures should be noted.

  • Measurements. Rather than reporting measurements as “14 mm CC × 15 mm TS × 17 mm AP”, it may be easier to comprehend when written as “14 mm long × 15 mm wide × 17 mm deep”. Also, describing the tumor as small/medium/large before providing measurements ensures that the person reading the report does not have to envisage whether the tumor is small, medium, or large based on the measurements provided (“There is a medium-sized (12 mm long × 6 mm deep × 11 mm wide) nerve sheath tumor arising concentrically within the ulnar nerve”).

  • It would seem best to avoid descriptive terminology such as a “well-defined homogenous hypoechoic nodule with moderate posterior acoustic shadowing and no color flow”. Such descriptions mean little to the clinician reading the report. It would seem best to try and determine the likely nature of the tumor based on imaging appearances and state that there is, for example, a “well-defined fibrotic-type nodule” present.

  • Use of -like or -type classifiers. Using classifiers can help if one is unsure of the composition or nature of a lesion (“There is a myxoid-like tumor within the..” or ‘reactive -type adenopathy’ or ‘metastatic-type adenopathy’).

  • When there is a clinical question of malignancy, it can be helpful to specifically address this issue in the report by using statements such as “there is no evidence of malignancy”; “Overall, this tumor is much more likely to be benign rather than malignant”; “there is a malignant-type mass…”. It is best to avoid terms such as “malignancy cannot be excluded”.

  • Subsequent investigation or management when appropriate should be mentioned.

Additional techniques: Elastography and contrast-enhanced US (CEUS) are two US techniques that interrogate aspects other tissue reflectivity and may be helpful in soft tissue tumor characterization.

Elastography measures tumor stiffness. The two types of US elastography used in musculoskeletal imaging are compression-based and shear wave. For compression-based elastography, the transducer is manually compressed and relaxed gently over the tumor, inducing a variable strain which indirectly assesses tissue strain. Tissue stiffness is conventionally color-coded from red (soft) to yellow, green, blue (hard), though the color range can be adjusted and inverted by the operator. The color pattern in the tumor can be subjectively assigned to a numbered category (‘elasticity score’) (Fig. 13). Tumor stiffness can also be compared with adjacent fat for superficial masses and muscle for deep masses, providing a semi-quantitative ‘strain ratio’ measurement. Strain ratio is calculated automatically by the US machine, comparing regions of interest in the tumor with peritumoral tissue. Each region of interest should be as large as possible.

Fig. 13.

Elastography score based on color map ranging from score 1 (soft) to score 4 (hard)

In shear wave elastography, an US pulse causes horizontal displacement of the tumor tissues inducing a shear wave. Shear wave elastography is less operator-dependent than strain wave elastography and allows both qualitative and quantitative measurements. Stiffness is assessed qualitatively using a machine-dependent elasticity score or quantitatively using ‘shear wave velocity’ (m/s) of the induced shear wave or ‘Young’s modulus’ (kilopascals, kPa), based on certain assumptions(15) (Fig. 13). Velocity measurements should be made on the most solid non-calcified part of the tumor, with sufficient gel to minimize any tumor compression. Elastography has issues related to inter-operator variability and imperfect uniformity across US machines.

While elastography may serve as a helpful adjunct to standard US examination, it is not specific enough to act as a standalone technique in characterizing soft tissue masses or differentiating benign from malignant masses. The shear wave modulus of epidermoid cysts (23.7 ± 15.5) is higher than that of ganglion cysts (5.8 ± 5.2) or lipomatous tumors (9.2 ± 5.3 kPa)(16). The strain ratio of epidermoid cysts (0.17 ± 2.1) is less than that of lipomas (0.83 ± 0.18), which is less than that of ganglion cysts (2.78 ± 0.48)(17).

Rather than identifying the specific type of tumor, it would be helpful if elastography could broadly differentiate between benign and malignant soft tissues masses, and thus reduce the number of percutaneous biopsies. Most studies, however, have found that standard elastography assessment does not perform sufficiently well enough for it to be applied in clinical practice, at least for detecting sarcomas(15,1821). This modest discriminatory ability of elastography in part reflects the tissue heterogeneity of sarcomas. Conversely, carcinomas tend to have a more uniform tissue composition than sarcomas, and, as such, strain elastography is accurate at discriminating cutaneous carcinomas (squamous and basal cell carcinoma) from benign cutaneous lesions (such as seborrhoeic keratosis, actinic keratosis, keloid scar, pilar cyst, epidermoid cyst) with a strain ratio of value of >3.0 indicating malignancy(22,23). An alternative strain elastography measure, known as the elasticity/ B-mode ratio (E/B ratio), may prove to be more helpful in discriminating malignant from benign soft tissue tumors(18). E/B ratio incorporates peritumoral as well as tumoral tissue stiffness. Malignant tumors often seem larger on elastography than on greyscale US, probably due to a ‘desmoplastic effect’ (i.e. fibrous tissue reaction) around malignant soft tissue tumors. The E/B ratio is obtained by dividing elastography tumor length by greyscale tumor length, with a ratio of >1.0 indicating malignancy and <1.0 indicating benignity. In a study of 83 soft tissue tumors (36 malignant, 47 benign), 86% of malignant tumors had an E/B ratio of >1.0, while only 3% had a ratio of <1.0(18). A total of 30% of benign tumors had an E/B ratio of >1.0, while 58% had a ratio of <1.0(18). Thus, malignancy is more likely if tumor length is larger on elastography than on greyscale imaging.

Contrast-enhanced ultrasound (CEUS) enables real time assessment of tumor microvascularity. Vascular endothelial growth factor (VEGF) activation and neoangiogenesis are features of many malignant soft tissue tumors. A low volume (usually 4.8 ml) bolus of US contrast agent (e.g. SonoVue, Bracco, Milan, Italy), comprising gas microbubbles with a stable shell, is injected intravenously, followed by a 5 ml saline flush. The transducer is positioned stationary over the soft tissue tumor, with microbubbles appearing within seconds of injection, depicting arterial and capillary flow <5 um, with different enhancement patterns (Fig. 14). Microbubbles remain within the intravascular space and are completely cleared from the circulation within 10 minutes(24). Six perfusion patterns are generally recognized based on the shape of the time-intensity curve (TIC)(25,26) (Fig. 15). P1 is almost invariably seen in benign tumors, P2, P3, and P4 occur quite commonly in both benign and malignant tumors, while P5 and P6 patterns tend to be seen more in malignant tumors. For discriminating between benign and malignant tumors, the pooled sensitivity (76%) and specificity (67%) of CEUS is only moderate(25).

Fig. 14.

57-year-old man with known subcutaneous recurrence of high-grade sarcoma (arrow). Shear wave elastography (SWE) shows that the known sarcoma recurrence is nearly entirely blue i.e. comprising hard tissue. Mean SWE modulus was 18.8 kPa. SWE ratio with subcutaneous fat (dashed circle) was 1.49. Elastography measures are not useful at differentiating benign soft tissue masses from sarcoma. Both these SWE modulus and ratio values can be observed in benign tumors, such as epidermoid cysts

Fig. 15.

Perfusion pattern types seen on CEUS. P1 (no enhancement) is characteristic of benign tumors. P2, P3, and P4 are non-discriminatory. P5 or P6 (marked enhancement) are more common in malignant tumors

Video recording of the perfusion characteristics for 2 minutes also enables a TIC to be drawn using in-built software. Empirical parameters of tissue perfusion are derived from this TIC, such as time-to-peak (TTP), peak intensity (PI), and 50% wash-out intensity. CEUS-derived TICs parameters, similar to dynamic contrast-enhanced MRI, show only limited ability to distinguish benign from malignant soft tissue tumors(26,27). While 50% wash-out intensity (odds ratio (OR) 1.156, p = 0.016) and 50% washout time (OR 1.023, p = 0.0222) were independent risk factors for malignancy, the relative risk afforded is less than that of, for example, an irregular tumor margin (OR 4.490, p = 0.000) or high tumor vascularity (OR 2.307, p = 0.013)(26). Therefore, while perfusion patterns parameters could be used in conjunction with other discriminators of malignancy (Tab. 1), they are not sufficiently accurate to be used as a standalone measure to distinguish benign and malignant soft tissue tumors.

CEUS may, however, be helpful in assessing tumor activity and treatment response. In a study of 19 patients with desmoid-type fibromatosis, variable tumor enhancement was seen, with the most common pattern being hyperenhancement with rapid wash-in and slow washout, compared to surrounding muscle(28). CEUS can also be helpful in identifying areas of viable tissue for targeted biopsy, especially in heterogeneous, possibly necrotic soft tissue tumors(29).

When is MRI necessary?

US alone is sufficient to fully evaluate most soft tissue masses. If US assessment is indeterminate regarding the nature of a soft tissue tumor, MRI usually does not increase specificity regarding tumor type(30). Of 42 soft tissue tumors deemed indeterminate on ultrasound examination, subsequent MRI examination (most performed at the behest of the reporting radiologist) did not narrow the differential diagnosis in over two-thirds of cases(30). In the remaining one-third of cases, MRI helped with tumor characterization(30). Situations where MRI may be advantageous over US in the assessment of soft tissue tumors are outlined in Tab. 5 (Fig. 1, Fig. 16). When MRI is performed following US examination, it can be tailored to address specific unanswered questions(31). For example, if the tumor is hypervascular on US, there is often no need to undertake contrast-enhanced MRI to assess tumor perfusion(31). Large deep soft tissue sarcomas (STS) should be evaluated by MRI, primarily to define tumor location and NVB involvement (Fig. 17). Optimization of MR protocol can be helpful in this regard, utilizing, if necessary, small field-of-view imaging or microscopy coils (Fig. 18, Fig. 19). NVB invasion also depends on the nature of the STS. For example, well-differentiated liposarcomas may completely encase a NVB but still be fully resectable (Fig. 20). If the STS abuts bone, the periosteum can be resected en-bloc with the tumor, though cortical or medullary invasion requires bone resection. Contact with the bone cortex in the absence of cortical signal change does not indicate bone invasion (Fig. 1). Joint involvement is uncommon in STS. High-grade (grade 2 or 3) STS on MRI tend to be larger, deeper, with unclear boundaries, have more T2 signal heterogeneity, necrosis, peritumoral edema and peritumoral enhancement compared to low grade STS(32). Specialized MRI techniques can help in grading tumor severity, assessing tumor chemotherapy response, and detecting local recurrence(33,34).

Tab. 5.

Potential advantages of MRI over US in the assessment of soft tissue masses

  • More global, encompassing assessment

  • Anatomical road map to excision

  • Appreciation of extent of large ill-defined tumor, such as vascular malformation

  • Delineation of medium or large deep-seated mass

  • Delineation of large mass in anatomically complex areas such as the wrist or mid-foot

  • Delineation of mass in any area where transducer access is limited

  • Assessment of peritumoral and muscle edema

  • Delineation of neurovascular infiltration

  • Delineation of bone and joint involvement

  • Tumor tissue composition

  • Tumor characterization occasionally

  • Monitoring chemotherapy response (functional imaging)

  • Surveillance for STS tumor recurrence (± functional imaging)

Fig. 16.

63-year-old male following resection of well-differentiated liposarcoma posterior aspect thigh. T1-weighted (T1W) axial MR images thigh A. nine months post-operation shows severe semitendinosus muscle atrophy (*), increased intermuscular fat (arrowhead) between semimembranosus (Sm) and long head biceps femoris B. muscles as well a fatty mass (volume 1.6 ml) (open arrow) posterior to sciatic nerve (arrow). B. Fourteen months post-operation, the fatty mass posterior to sciatic nerve had increased by 143% (volume 3.9 ml). C. Nineteen months post-operation, the fatty mass posterior to sciatic nerve had further increased by another 130% (volume 9 ml), compatible with liposarcoma recurrence. MRI is generally better than US for post-operative surveillance. Volume, rather than linear, measurements provide a more ready appreciation of changing tumor size. In this case, volume measurements were made by formulaic estimation (length × width × depth × 0.52) rather than tumor segmentation

Fig. 17.

Schematic representation of NVB involvement. The NVB is resectable when it is A. not in contact with or B. just contacts the tumor margin. C. When the NVB is partially encased by tumor it is still usually resectable. D. When the NVB is completely encased by tumor, it is non-resectable, though exceptions may occur in some well-differentiated liposarcomas (Fig. 20)

Fig. 18.

55-year-old female with biopsy-proven undifferentiated pleomorphic sarcoma of thigh. A. T2-weighted fat-suppressed (T2W FS) axial MR image thigh shows a large soft tissue tumor in the anterior compartment contacting the cortex of the femoral shaft (*). It was uncertain whether the femoral vessels (open arrow) were involved by tumor. B. T2W FS axial MR image thigh with surface coil (inset) shows clearer delineation of femoral vessels (open arrow), which do not seem to be infiltrated by tumor. C. Proton-density-weighted (PDW) axial MR image with microscopy coil (inset) shows femoral artery and vein (open arrow) unequivocally not involved by tumor. Use of different MR techniques enables more confident assessment of NVB infiltration

Fig. 19.

72-year-old male with biopsy-proven malignant fibrous histiocytoma of the popliteal fossa. A. PDW axial MR image with standard coil shows possible partial encasement of the popliteal artery (open arrow) by tumor (T). A, B. PDW axial MR image with microscopy coil (inset) shows the popliteal artery (open arrow), vein, and tibial nerve to be clearly separated from tumor (T)

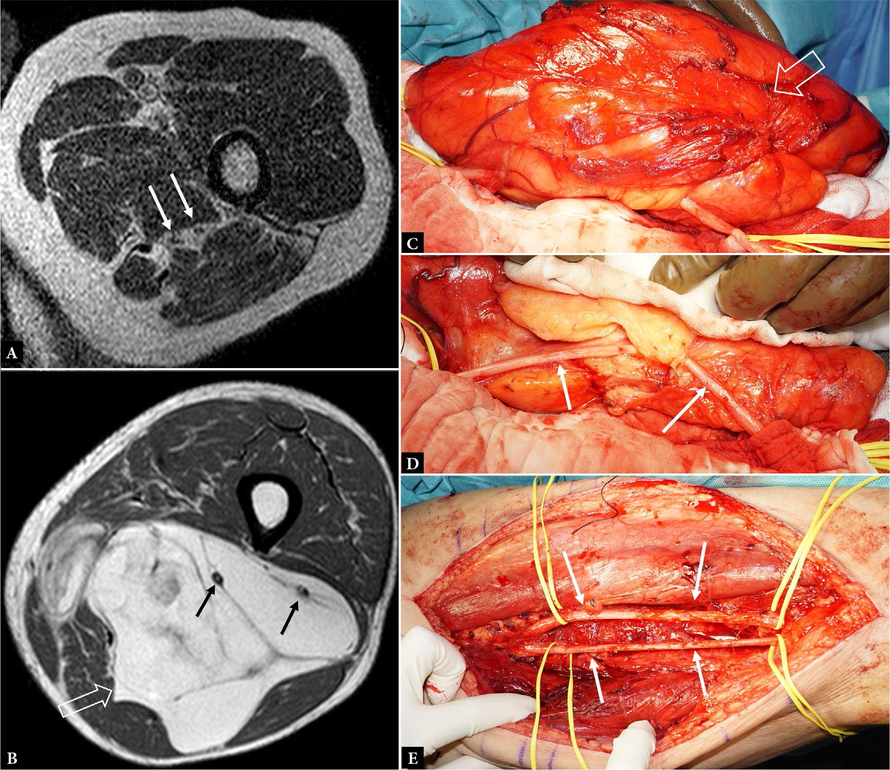
Fig. 20.

78-year-old male with well-differentiated liposarcoma of the thigh. Axial T1W MR image shows A. a high division of the sciatic nerve into the tibial and peroneal nerves (arrows) and B. a large intermuscular liposarcoma (open arrow), between the adductor and hamstring muscle groups, encasing the tibial and peroneal nerves (arrows). C.-E. Clinical photographs of surgically exposed tumor (open arrow) showing the invaginated tibial nerve (arrows) which, for the most part, easily freed from the tumor pseudocapsule. As the tibial nerve was focally tethered in the mid-portion of the tumor, the epineurium in this area was resected. The exposed nerve fibers were not visibly infiltrated by tumor. E. Preserved tibial and peroneal nerves (arrows) after complete tumor resection. Histologically, the tethered small segment of the tibial nerve had epineurial tumor involvement. Three years after resection, the patient has no local recurrence

Soft tissue sarcomas (STS)

Sarcoma accounts for about 1% of all malignant tumors, with about 40% of sarcomas occurring in the limbs, especially the lower limbs. There are over fifty different types of musculoskeletal STS, though liposarcoma, undifferentiated pleomorphic sarcoma, leiomyosarcoma, myxofibrosarcoma, and synovial sarcoma account for three-quarters of these sarcomas(35). Rhabdomyosarcoma is more common in children. Synovial sarcomas are more widespread in young adults, usually in the extremities and often around large joints(36). 44% of synovial sarcomas show matrix calcification on CT(36). Absence of calcification on CT is a poor prognostic sign along with increased patient age, higher tumor grade, and larger tumor size(36). On imaging alone, it is usually neither possible nor necessary to characterize the type of sarcoma, and biopsy should be performed instead. Molecular testing for amplification of the MDM2 gene region via fluorescence in situ hybridization (FISH) is 100% sensitive and specific on core needle biopsies at distinguishing benign lipomatous tumors from well-differentiated liposarcoma(37).

Conclusions

A practical approach to the imaging of soft tissue masses is outlined, with US being suitable as a first-line investigation for most tumors. Many tumors can be characterized accurately by US alone. US is also accurate at identifying possible malignant tumors with a key factor being “lack of similarity with the known US appearances of particular benign soft tissue tumors”. Currently, elastography and contrast CEUS are not specific enough to accurately characterize soft tissue tumors. Percutaneous biopsy is helpful in all tumors where a definitive diagnosis cannot be made on US appearances alone, and it is recommended for all tumors with even a low suspicion of malignancy. MRI usually does not help in further characterizing masses deemed indeterminate on US assessment, though it is helpful in defining tumor location and NVB involvement if these features cannot be fully addressed by US. In such situations, MRI examination can be tailored to address these specific questions.

DOI: https://doi.org/10.15557/jou.2023.0036 | Journal eISSN: 2451-070X | Journal ISSN: 2084-8404
Language: English
Page range: e299 - e312
Submitted on: Jun 21, 2023
|
Accepted on: Sep 28, 2023
|
Published on: Nov 23, 2023
In partnership with: Paradigm Publishing Services
Publication frequency: 4 issues per year

© 2023 James Francis Griffith, published by MEDICAL COMMUNICATIONS Sp. z o.o.
This work is licensed under the Creative Commons Attribution-NonCommercial-NoDerivatives 4.0 License.