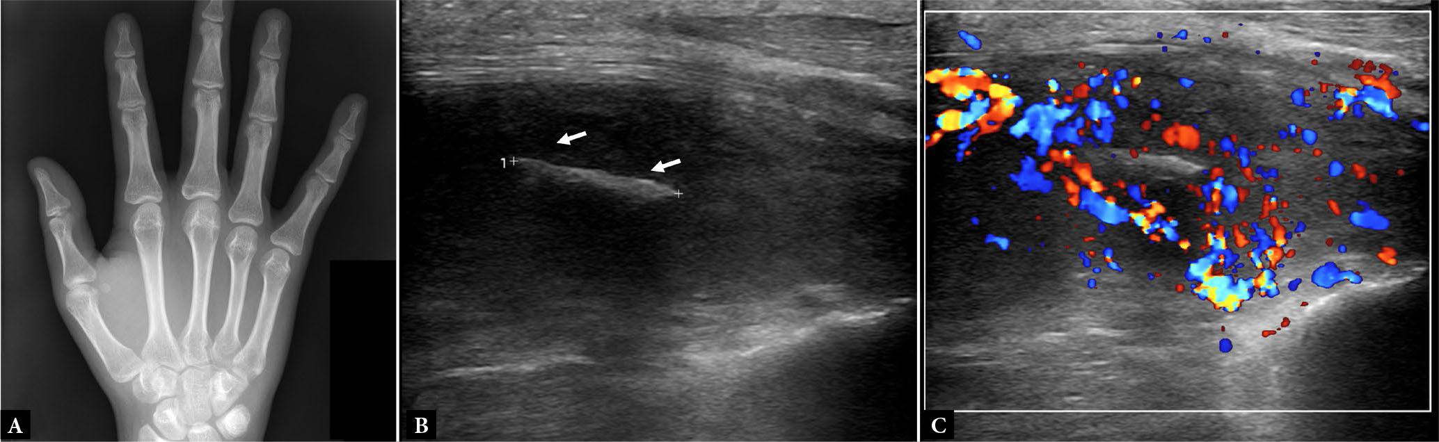
Fig. 1.

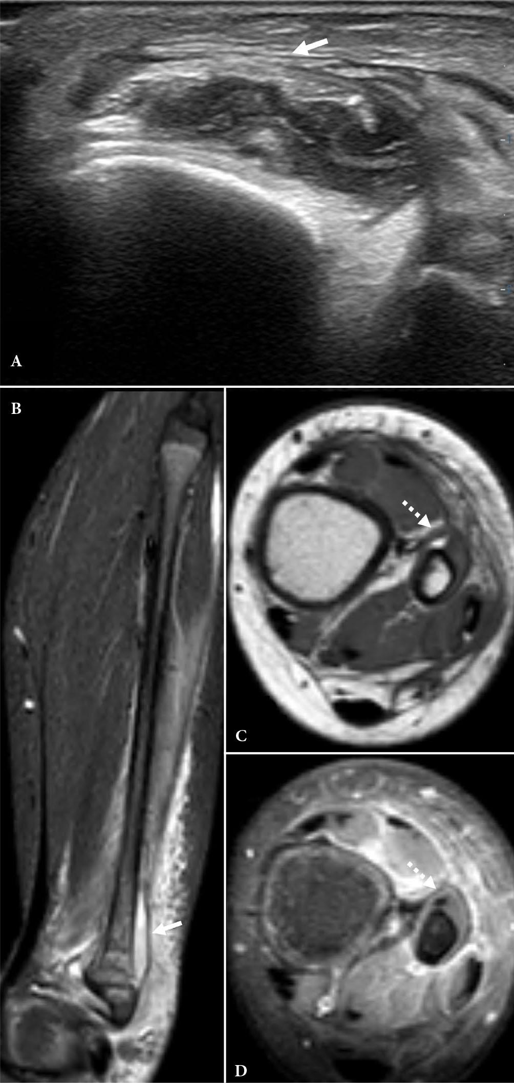
Fig. 2.

Fig. 3.

Fig. 4.

Fig. 5.

Fig. 6.

Fig. 7.

Fig. 8.

Fig. 9.

Fig. 10.

Fig. 11.

Fig. 12.

Most common bacterial species causing musculoskeletal infections by age and conditions
| Age/condition | Most common bacterial species |
|---|---|
| Neonate | Staphylococcus aureus, Streptococcus, and Escherichia coli |
| Children aged 1–4 years | Staphylococcus aureus, Streptococcus pyogenes, and Haemophilus influenzae |
| Children aged >4 years | Staphylococcus aureus |
| Adults | Staphylococcus aureus and Enteric species |
| Prosthetic joints | Propionibacterium acnes |