Have a personal or library account? Click to login
High-resolution ultrasound and MRI in the evaluation of pectoralis major injuries Cover

High-resolution ultrasound and MRI in the evaluation of pectoralis major injuries

Open Access
|Nov 2023

Full Article

Introduction

The pectoralis major (PM) is the largest muscle of the anterior chest wall and serves to adduct, flex, and internally rotate the humerus(1,2). The PM muscle is broken down into two main components or “heads” based upon muscle fiber origin: clavicular and sternal (Fig. 1).

Fig. 1.

Anatomical drawing of the pectoralis major (PM) muscle superimposed on a frontal chest radiograph demonstrates the singular clavicular head and seven labeled segments of the sternal head

PM injury results from direct trauma or indirect force overload. This commonly includes muscle overload during eccentric contraction with the humerus extended, as in performing the bench press maneuver(1,35).

This paper outlines the normal anatomy of the PM and the spectrum of PM injury on magnetic resonance imaging (MRI) and high-resolution ultrasound (HRUS). Advantages and disadvantages of these modalities in the setting of PM evaluation will be discussed. Important anatomical landmarks and imaging features are reviewed to aid the radiologist in diagnosing the type of PM injury and differentiating PM injury from other entities, such as infection or neoplasm. Operative and non-operative management of PM injury is also described.

Biomechanics and anatomy

The clavicular head is a single muscular segment arising anteriorly from the medial clavicle(2). It assists in forward elevation or flexion of the arm. The sternal head of the PM is more inferior and originates from the anterior surface of the manubrium, sternum, and first/second to sixth costal cartilages(2). The sternal head can have as many as seven individual segments. The lowest fibers originate from the fifth and sixth costal cartilage and fascia of the external oblique and transversalis abdominal muscles(6). Some authors describe it as the “abdominal segment” of the sternal head while others characterize it as a distinct third head(1,5,7). The sternal head assists in internal rotation of the humerus at the glenohumeral joint. It comprises a majority of the PM volume(2,6) (Fig. 2).

Fig. 2.

Sagittal fluid-sensitive MR images show the short axis of the PM muscle with color overlay (B) to indicate the clavicular (blue) and sternal (orange) heads

The clavicular and sternal heads form a common tendon that traverses anterior to the coracobrachialis and short head biceps brachii muscles and inserts onto the anterior surface of the humeral diaphysis, just lateral to the long head of the biceps brachii tendon (Fig. 3). The length of the tendon footprint on the humeral diaphysis measures approximately 4–6 cm in the craniocaudal dimension(8). The PM tendon has complex anatomy. There are distinct anterior and posterior layers, each measuring approximately 2 mm in thickness, which connect at the inferior margin in the shape of the letter “U”(2,4,9) (Fig. 4). The anterior tendon layer is comprised of the clavicular head and three to five most superior segments of the sternal head while the posterior layer is comprised of the two to three most inferior segments of the sternal head. In addition, the sternal segments twist as they course towards their insertion, with the lowest segments inserting most superiorly in the posterior layer(2,4).

Fig. 3.

Axial T1-weighted MR image (A) and long axis gray scale ultrasound image (B) of the arm show the relationship between the PM tendon (solid arrowheads) and the regional anatomy: long head biceps brachii tendon (arrow), short head biceps brachii muscle (asterisk), and coracobrachialis muscle (open arrowhead)

Fig. 4.

Drawing of the orientation of the PM tendon (A) with superimposition on a coned down frontal chest radiograph at the humeral footprint (B). The anterior tendon layer is comprised of the clavicular head (blue) and the three to five most superior segments of the sternal head (orange). The posterior layer is comprised of the most distal fibers of the sternal head (black)

Imaging of the pectoralis major

MRI and US are well established as the two main imaging modalities for investigation of PM muscle pathology(5,1012) (Fig. 5, Fig. 6, Fig. 7, Fig. 8, Fig. 9, Fig. 10, Fig. 11, Fig. 12, Fig. 13, Fig. 14, Fig. 15). However, it should be noted that some patients with suspected PM injury undergo initial radiographs, which may identify an osseous avulsion injury arising from the humeral insertion of the PM (Fig. 12).

Fig. 5.

Axial fluid-sensitive MR image of the arm with FOV tailored for pathology of the shoulder shows edema (asterisk) about the long head biceps tendon (open arrowhead) with anterior positioning of the tendon with respect to the humerus on the most inferior axial image, in keeping with PM tear. Note the residual stump of the PM tendon on the humerus (solid arrowhead)

Fig. 6.

Drawing of the short axis of the PM tendon showing the different types of tendon tear described by Deveraux and ElMaraghy. Black denotes torn PM fibers. A. Full width, partial thickness tear involving the posterior layer. B. Partial thickness, partial width tear involving the posterior fibers. C. Full width tear of the posterior layer and partial width tear of the anterior layer, together which form a full thickness component involving the inferior fibers. D. Full width full thickness tear

Fig. 7.

A. Coronal fluid-sensitive MR image shows a PM tear at the clavicular head origin with edema (arrowheads) interposed between the clavicle (asterisk) and the muscle. B. Axial fluid-sensitive MR image shows a PM tear at the myotendinous junction (between empty arrowheads) with edema, fiber disorganization, and surrounding poorly organized hematoma (asterisks). Note intact tendon insertion onto the humerus (solid arrowheads). C. Short axis gray scale ultrasound image shows feathery anechoic fluid (arrows) tracking along the expected course of the pectoralis muscle fibers in the setting of intramuscular PM tear (not shown). D. Coronal fluid-sensitive MR image shows an intramuscular PM tear with edema and discontinuous fibers (arrowheads). E. Long axis gray scale ultrasound image shows an intramuscular PM tear with intramuscular edema at the site of tear (arrowheads) and more focal anechoic abnormality that represents a small intramuscular hematoma (asterisk)

Fig. 8.

A. Long axis gray scale ultrasound images (A and B) and short axis fluid-sensitive MR image (C) show complete tear of the PM tendon with residual tendon stump (arrowheads) attached to the humerus and hematoma formation (asterisk)

Fig. 9.

Axial fluid-sensitive MR images in two different patients show complete tear of the PM tendon from the humeral insertion with tendon retraction (empty arrowheads) medial to the short head of the biceps brachii muscle (asterisks) and anterior displacement of the long head biceps brachii tendon (solid arrowhead)

Fig. 10.

A, B. Consecutive axial fluid-sensitive MR images in a patient who previously underwent PM tendon repair show a full width partial thickness re-tear of the PM tendon. The superficial anterior layer is torn and retracted (B, empty arrowhead) with adjacent hematoma formation (A,B-asterisk) while the deep posterior layer is thickened but intact (A,B – solid arrowheads). Note the susceptibility artifact from surgical hardware (arrow, A). C. Long axis gray scale ultrasound image in a different patient shows an anechoic linear tear in the sternal head, measuring approximately 3 cm superior to inferior (arrows). D. Long axis gray scale ultrasound image further laterally at the PM tendon insertion in the same patient shows the intact superficial anterior tendon layer (arrowheads) and avulsed deep posterior layer with accompanying mineralized periosteum (arrow); bicipital groove is shown for reference (asterisk)

Fig. 11.

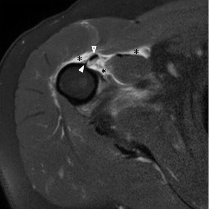
Axial T1 (A) and axial fluid-sensitive (B) MR images show periosteal thickening and edema (arrowheads) at the insertion of the PM tendon (arrow) with marrow edema (B – asterisk) consistent with mechanical tug-type changes without overt tendon tear

Fig. 12.

Axial fluid-sensitive MR image (A) shows avulsion of the PM tendon from the humeral insertion (arrow) with associated bone marrow edema (asterisk). AP (B) and axillary (C) radiographs of the shoulder show the avulsed cortical fragment from the anterior proximal humeral diaphysis (circle, B, C)

Fig. 13.

Axial T1 (A) and axial fluid-sensitive (B) MR images show focal fat at site of discontinuous muscle fibers (A, between arrowheads) from a chronic tear. Note the paucity of associated edema on the fluid-sensitive sequence (B, circle). C. Short axis gray scale ultrasound image shows a thickened and retracted torn PM tendon stump medially (between arrows). D. Corresponding MR image shows the retracted tendon stump (between arrows) with relative paucity of surrounding edema in this patient with chronic PM tear. Fibrosis was confirmed intraoperatively, which can also be seen with chronic tears

Fig. 14.

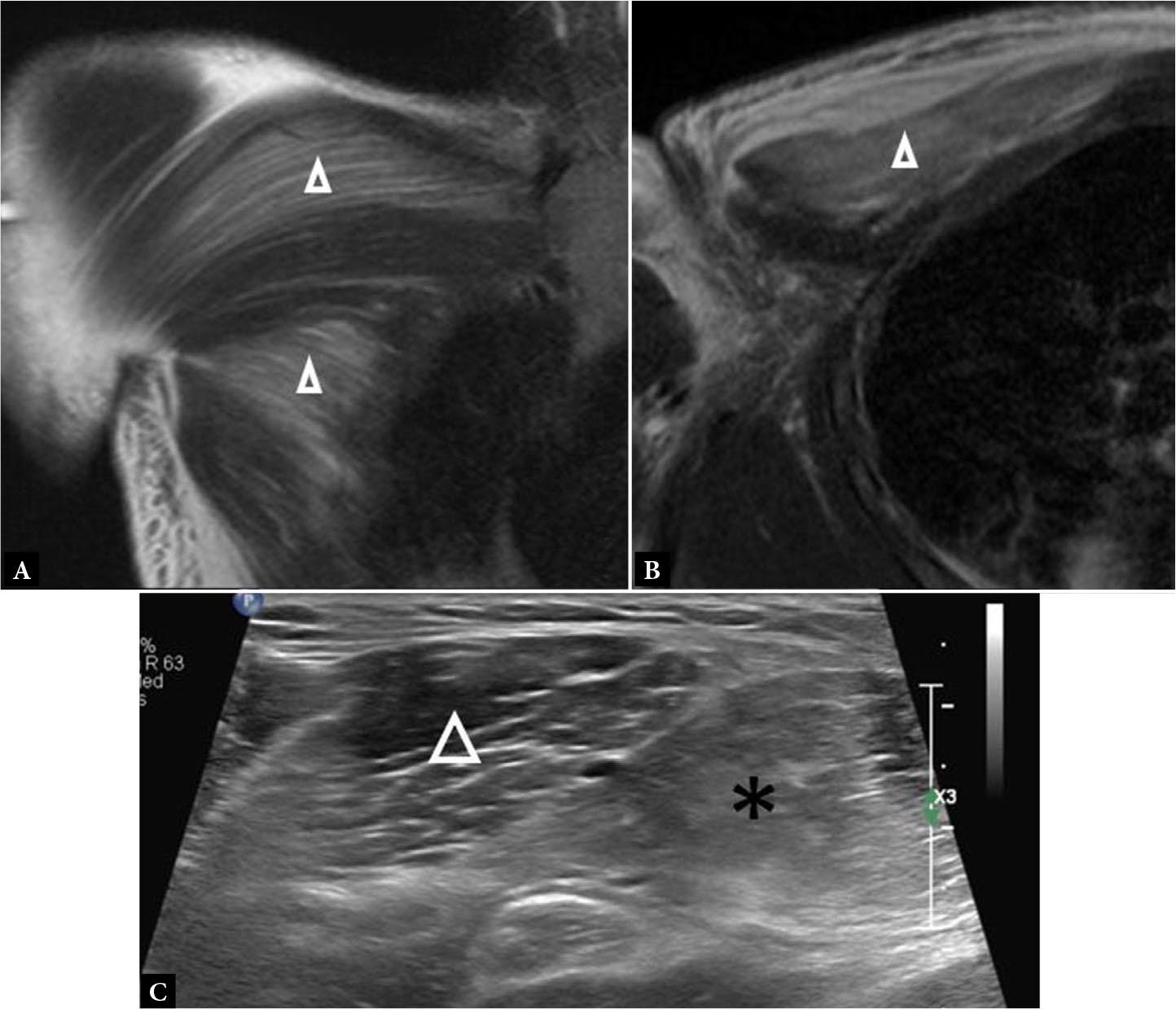
Coronal (A) and axial (B) fluid-sensitive MR images show diffuse, feathery signal hyperintensity in the PM muscle (open arrowheads) without fiber disorganization or laxity, consistent with PM strain. C. Long axis gray scale ultrasound image in another patient demonstrates increased echogenicity and poorer fiber conspicuity in a patient with strain of the clavicular head of the PM (asterisk). Note the normal architecture of the adjacent deltoid muscle (arrowhead). There is no frank fiber disruption or disorganization in these images to suggest tear

Fig. 15.

A. Axial fluid-sensitive MR image shows hyperintensity in the PM muscle. B–D. Post contrast axial T1 MR image with fat saturation (B) shows a region of peripheral enhancement (asterisk) in the medial fibers of the PM with corresponding high diffusion weighted imaging (C) and low apparent diffusion coefficient (D) values, in keeping with intramuscular abscess. Note the similarity in appearance of Figures 15A and 14B, underscoring the importance of clinical history

MRI affords superior contrast resolution between the intermediate signal of muscle, hypointense signal of tendon, and the fluid signal hyperintensity that is associated with injury. The pathologic fluid signal is best depicted on fat saturated (FS) T2-weighted (T2-w) sequences, which are complemented by the anatomical detail better visualized on T1-weighted (T1-w) sequences. While sequence selection varies between institutions, most protocols typically contain axial, coronal, and sagittal fluid-sensitive sequences, such as T2-w FS, proton density (PD) FS, or short tau inversion recovery (STIR), as well as axial T1-w and coronal T1-w or PD sequences. Axial images are particularly useful in identifying the relationship between the PM tendon, biceps brachii and coracobrachialis muscle (Fig. 3). Occasionally, the axial images will be a smaller field of view to facilitate injury detection at the distal tendon insertion. Sagittal and coronal imaging planes help further characterize the extent and location of PM injury. This can include additional coronal oblique imaging in the plane of the PM muscle and tendon. Standard imaging time is approximately 45 minutes.

US provides a portable, more cost-effective, and faster alternative to MRI and affords superior spatial resolution. Although US is more user-dependent, studies have shown inter-observer reliability in detecting PM injury and adequate correlation with MRI and intraoperative findings(8,12). US assessment is conducted with a linear high-resolution transducer positioned transverse and longitudinal to the longitudinal axis of the PM muscle. The muscular clavicular and sternal segments are imaged from their origins to the common tendon insertion onto the humerus. Care is taken to identify the relationship of the PM tendon with respect to the regional anatomy. This includes following the bicipital groove in the transverse plane inferiorly to locate the PM tendon, which crosses superficial to the long head biceps brachii tendon and inserts on the lateral margin of the groove (Fig. 3). In addition, the short head biceps brachii muscle has been described as a useful anatomical landmark and can be followed from the coracoid process of the scapula inferiorly, superficial to which the PM tendon and myotendinous junction course.

Sometimes the symptoms of PM pathology can overlap with those occurring in the shoulder. Irrespective of modality, it is prudent to evaluate for primary and secondary signs of PM injury on imaging examinations that are otherwise tailored for the shoulder (Fig. 5).

Pectoralis major tear, imaging findings, and mimickers of tear
Pectoralis major muscle tear

PM tears occur almost exclusively in active men between 20–40 years of age(1,4,13,14). Approximately 75% of these injuries are related to sports activity with weight-lifting accounting for nearly 50% of the reported cases(3,4). PM tears often present clinically with sudden onset of pain and weakness during arm adduction(1,14). Chest wall and axillary hematoma formation and swelling is frequently encountered and can sometimes obfuscate medial retraction of the muscle(1,7).

The variation in muscle segment lengths in the PM is atypical compared to other muscles, which demonstrate more uniformity(2,6). While this maximizes power production, it predisposes the inferior segments of the sternal head to higher fiber excursion during 0° and 30° of humerus extension(6). Thus, the biomechanical model of failure is described as muscle overload during eccentric contraction with the humerus extended, as in performing the bench press maneuver(1,5). As a result, the inferior sternal head fibers are most commonly torn(2,10). The PM tendon is most commonly torn at the humeral insertion(13). The myotendinous junction is the second most common location of PM tears and has been documented to occur more frequently in those older than 30 years of age(15). With respect to tears involving the muscle proper, those involving the muscle origin from the sternal or clavicular head or intramuscular tears are less common than tears at the myotendinous junction.

The classification system developed by ElMaraghy and Deveraux is the most commonly used to describe tear of the PM and is based on the “U-shaped” orientation of the tendon (Fig. 6)(4). “Width” is characterized as the craniocaudal extent of the anterior and posterior layers(4). For example, a full width tear involves the entirety of the posterior or anterior layer. “Thickness” refers to the antero-posterior orientation of the fibers. A full thickness tear will therefore involve both the posterior and anterior layers. Tears are also characterized by the location: at the tendon insertion on the humerus, mid tendon substance, myotendinous junction, intra-muscular, or at the muscular origin. Tears at the humeral insertion can have associated avulsed osseous fragments; however, this is a rare injury location(13).

Imaging findings of pectoralis major muscle tear

Muscle fiber and tendon disorganization, laxity and/or focal defect are characteristic imaging findings of acute PM tear (Fig. 7, Fig. 8, Fig. 9, Fig. 10). In the acute phase, this manifests as a focal T2 hyperintense or hypo/anechoic abnormality within the substance of the muscle or tendon on MRI and US, respectively.

Hematoma formation is a secondary sign of injury and can be within the muscle or tissues surrounding the torn tendon (Fig. 7, Fig. 8).

Acute hematoma demonstrates fluid signal on MRI and is predominately hypoechoic on US(12). In the subacute and chronic phases, hematoma can appear more organized and anechoic on US and, depending on chronicity, shows variable signal intensity on MRI(12).

Full-thickness tears at the distal humerus insertion result in nonvisualization of PM tendon fibers superficial to the long head biceps brachii tendon which may be anteriorly displaced(8,10) (Fig. 9). Care must be taken on image interpretation to accurately identify the anterior and posterior layers of the PM tendon so that full width partial thickness tears are not misdiagnosed as completely intact tendon (Fig. 10).

Periosteal reaction can be detected on US in the setting of PM tendon injury (Fig. 10 D). MRI offers the additional benefit of detecting bone marrow edema which can be a secondary sign of injury (Fig. 11)(10). Radiography is beneficial in detecting periosteal reaction and osseous avulsion fracture (Fig. 12).

Findings of chronic PM injury include scar tissue formation, muscle atrophy, and tendon retraction (Fig. 13). A relative paucity of edema surrounding the PM tear is another characteristic of chronic injury.

PM strain manifests as less well-defined echogenicity and architecture on US and feathery fluid signal MRI abnormality without overt tear (Fig. 14).

Mimickers of pectoralis major muscle tear

In most instances, clinical history, patient demographics, and physical examination are adequate to diagnose the anterior chest wall findings as traumatic in etiology. However, infection and neoplasm are also possible and can present with similar symptoms and imaging findings. For example, a posttraumatic hematoma can appear similar to the more focal, circumscribed, or “mass-like” appearance of abscess or neoplasm (Fig. 15). This is particularly true for chronic PM tears, where the fiber disorganization may be less obvious with decreased edema and the propensity for chronic hematomas to have thicker walls. On post-contrast MRI, fibrous or scar tissue can enhance which may complicate the diagnosis. Axillary lymphadenopathy is rare in isolated traumatic muscle injury and if present, it should raise concern for infection or neoplasm.

Management of pectoralis major injury
Non-operative management

Non-operative management of PM tears is recommended for partial tears, tears that exclusively involve the muscle belly, and contusion or strain. Initial management consists of rest, ice, analgesia, and immobilization of the adducted and internally rotated arm in a sling. Patients transition from passive to active range of motion and eventually to full resistance training from two weeks to four months post injury(16). Return to contact sports should not commence until 5–6 months after injury and, in some instances, certain training maneuvers like the bench press should be permanently avoided(16). Often, patients experience strength deficit and cosmetic defect with non-operative management(9,17). In the setting of low functional demand, patients with full-thickness tears may also undergo nonoperative management with satisfactory recovery to performing activities of daily living(18).

Operative management

In 1980, Tietjen described a classification system for the management of PM injury based upon tear location and severity(19). This system was modified by Bak et al. to include further subclassification of injury location(3) (Tab. 1). Operative management is recommended for tears at the humeral insertion and for musculotendinous junction tears with severe cosmetic/functional deformity (Fig. 16). The indications for surgical intervention have been further expanded to complete intra-tendinous tears and those located at the sternal head/posterior lamina(1,20).

Tab. 1.

Classification of pectoralis tear, modified by Bak et al.

GradeLocation
Imuscle contusionAmuscle originDtendon avulsion from humerus
IIpartial tearBmuscle bellyEBony avulsion from tendon insertion
IIIcomplete tearCmyotendinous junctionFtendon intra-substance tear

Fig. 16.

Intra-operative clinical photo of a left shoulder during PM tendon reattachment at the humeral insertion. The clavicular head (C) is superficial and superior to the sternal head (S). Both tendon stumps are clamped and will be sutured to attach to the proximal humerus

It is generally accepted that surgical repair produces higher patient satisfaction with better functional and cosmetic outcomes(1,3,6,9,17,21). Bone trough, suture anchor, and cortical button technique are all effective methods to repair the PM tendon(13,2224). Further description of these techniques is beyond the scope of this article.

Patients are immobilized in a sling for six weeks following surgery. Passive range of motion begins after six weeks and at three months the patient should have full range of motion and can begin light resistance training(20). Return to full activity is achieved at six months postoperatively(17). High-weight, low repetition exercises that involve the PM, such as bench press, are discouraged indefinitely(20).

The timing of surgical intervention is important. Repair of an acute PM tear leads to better patient satisfaction and functional outcomes(3,25,26). After 6 weeks, a PM tear is generally considered to be chronic. Surgical management of chronic injuries can be more technically challenging and often requires a larger surgical field secondary to scar tissue formation and muscle retraction(4).

Artifact from surgical intervention and hardware is commonly visualized on post-operative MRI and US, (Fig. 10 A and Fig. 17).

Fig. 17.

A. Axillary shoulder radiograph shows endobuttons from previous PM tendon repair (arrow). B. Long axis gray scale ultrasound image shows the intact repaired PM tendon (solid arrowheads) and echogenic artifact from the surgical hardware with posterior acoustic shadowing (open arrowhead)

Conclusion

Tear of the PM most commonly occurs in athletic males between the ages of 20–40 years. MRI and US are useful imaging modalities to diagnose PM injury. Recognition of regional anatomical landmarks and other etiologies of PM pathology results in the accurate description of injury which guides non-operative and surgical management.

DOI: https://doi.org/10.15557/jou.2023.0029 | Journal eISSN: 2451-070X | Journal ISSN: 2084-8404
Language: English
Page range: e202 - e213
Submitted on: Aug 13, 2023
|
Accepted on: Sep 13, 2023
|
Published on: Nov 23, 2023
In partnership with: Paradigm Publishing Services
Publication frequency: 4 issues per year

© 2023 Nicholson Chadwick, Jennifer S. Weaver, Christopher Shultz, Yoav Morag, Arjun Patel, Mihra S. Taljanovic, published by MEDICAL COMMUNICATIONS Sp. z o.o.
This work is licensed under the Creative Commons Attribution-NonCommercial-NoDerivatives 4.0 License.