Fig. 1.

Fig. 2.

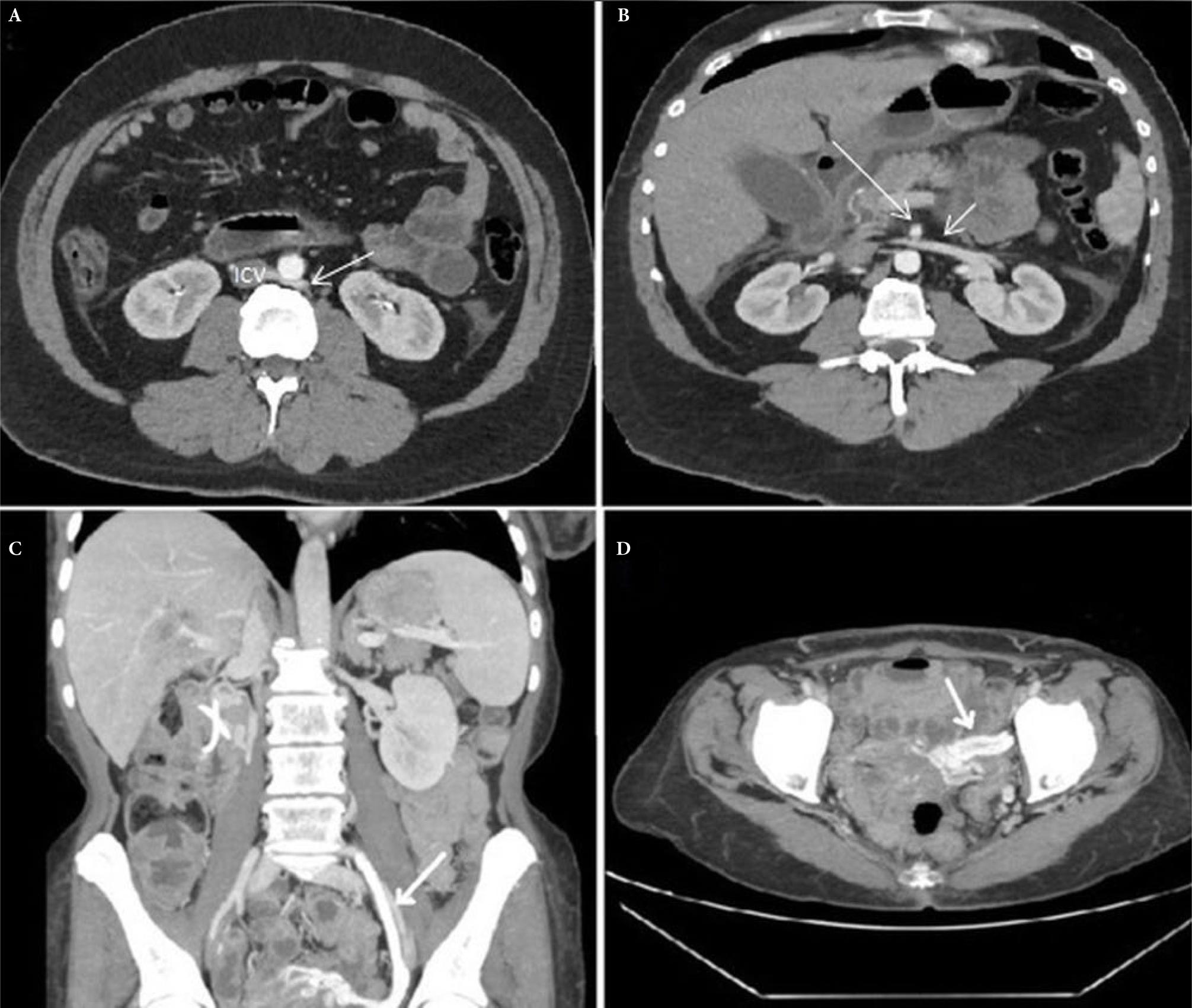
Fig. 3.

Summary of results obtained by Doppler US
| Flow ratio | Prestenotic PSV | Poststenotic PSV | Flow ratio after 1 month | |
|---|---|---|---|---|
| Anterior LRV | 2.69 | 18.8 cm/s | 50.6 cm/s | 2.4 |
| Posterior LRV | 2.75 | 8 cm/s | 22 cm/s | 2.75 |



| Flow ratio | Prestenotic PSV | Poststenotic PSV | Flow ratio after 1 month | |
|---|---|---|---|---|
| Anterior LRV | 2.69 | 18.8 cm/s | 50.6 cm/s | 2.4 |
| Posterior LRV | 2.75 | 8 cm/s | 22 cm/s | 2.75 |
© 2023 Renato Farina, Pietro Valerio Foti, Lorena Nicolosi, Antonio Basile, published by MEDICAL COMMUNICATIONS Sp. z o.o.
This work is licensed under the Creative Commons Attribution-NonCommercial-NoDerivatives 4.0 License.